病因
外陰基底細胞癌外陰基底細胞癌為來源於外陰上皮基底細胞的惡性腫瘤。外陰基底細胞癌真正病因不明。有報導可能與局部放射治療有關。但其他部位的基底細胞癌,如頭面部的基底細胞癌可能與日光有關,但這仍不能完全解釋全部外陰基底細胞癌的原因。
發病機制
腫瘤位於大陰唇,發展緩慢,很少侵犯淋巴結。有3種基本類型。3種類型可單獨存在,也可混合存在。
1.結節潰瘍型表現為一實質性結節;中間形成深潰瘍,邊緣隆起呈圍堤狀隆起,為侵蝕性潰瘍。
2.扁平型病灶較表淺,扁平,表面粗糙呈蠟狀、丘疹、紅斑樣,帶有黑色素或呈微紅色,質地較硬。
3.息肉型息肉狀贅生物表面完整。
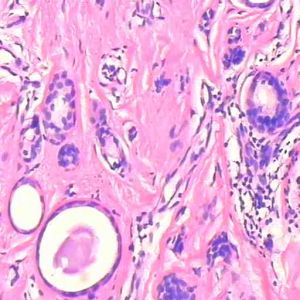
鏡下腫瘤組織自表皮基底層長出,伸向真皮或間質,輪廓如棒狀,或不規則地圖形分布。在細胞團巢的外線為柵欄狀排列的一層細胞,呈柱形,梭長桿形、深色,其長軸呈柵欄狀排列,相當於表皮的基底細胞。在中央部分的細胞,核呈卵形,胞質也不多;有的含較多色素而呈深色。組織結構多種多樣,有的呈巢團狀,巢內有角化珠;也有巢內出現腺腔樣空隙;有的細胞巢團與表皮基層相連,有的接近毛囊形狀。不管哪一種都具有一特徵,即瘤組織邊緣部總有一層柵狀排列的基底狀細胞。有的瘤組織被周圍纖維組織擠壓成索條狀則稱硬化型。這種癌有局部浸潤的行為,但一般不發生轉移,為低度惡性。如癌灶中部分為鱗狀細胞癌則稱為基底鱗狀細胞癌,其惡性程度是根據這部分鱗狀細胞癌的分化程度而決定。組織學上基底細胞癌應與皮膚汗腺癌和毛髮癌區別,汗腺瘤有2層細胞排列特點,毛髮癌有始基毛囊的結構。這兩者皆無邊緣柵狀排列的基底細胞層的特徵。此外尚應與基底樣細胞癌鑑別,後者發病年齡較輕,組織學上有挖空細胞,對HPVDNA的檢測呈陽性結果,這些是基底細胞癌所缺乏的。
臨床表現
1.症狀 外陰基底細胞癌病灶多為單發,偶為多發。該病病史長,初起無自覺症狀。此後以外陰瘙癢、燒灼感為主要症狀。有潰瘍形成可出現疼痛或有出血、滲出,並有血性臭味分泌物。可有身體其他部位基底細胞癌的病史。
2.體徵 常表現為小的病灶,位於大陰唇,也可在小陰唇、陰蒂和陰唇系帶出現。病灶早期呈灰色,幾乎有些半透明,位於變薄的上皮下,小結節直徑常常<2cm。有3種基本類型即結節潰瘍型、扁平型、息肉型。
根據臨床表現和檢查所見,診斷一般無困難,但需作病理組織學檢查以確診。由於外陰基底細胞癌生長發展緩慢,很少侵犯淋巴結,所以從出現症狀到診斷治療,往往經過較長時間,有報導平均為6.6年。若在外陰部僅見一個病灶,應檢查全身皮膚有無基底細胞癌。
治療
外陰基底細胞癌治癒率很高。北京朝陽醫院於1986年曾報導1例外陰基底細胞癌合併轉移及多次復發,第1次手術切除後6年局部復發,又行手術切除,術後行放療及順鉑化療。再隔7年同側腹股溝淋巴結復發,再行手術切除。術後輔用化療及放療。隔5年有肺轉移為1.7cm直徑瘤。做肺葉切除,術後又行順鉑、氟尿嘧啶(5-Fu)化療,追蹤至末次手術後兩年半尚健在。患者前後病程共20年。可以看出基底細胞癌雖有可能復發或轉移,但經過積極治療,預後尚好。預後對老年婦女大陰唇有小腫塊應及時就醫,必要時活檢,確診後應注意全身體格檢查排除其他惡性腫瘤。應做好隨訪。
護理
自我診斷:本病很少轉移。若在外陰部僅見一個病灶,應檢查全身皮膚有無基底細胞瘤。本病也常伴其他原發性惡性腫瘤如乳房、胃、直腸、肺、宮頸、於宮內膜及卵巢癌等。須與前庭大腺癌相鑑別。
對老年婦女大陰唇有小腫塊應及時就醫,必要時活檢,確診後應注意全身體格檢查排除其他惡性腫瘤。應做好隨訪
預後:預後較好,5年生存率為80%~95%,然而由於處理不當,可有10%~20%的復發率。復發病灶應再次切除,預後依然良好。
保健:
1、不在或儘量少在烈日下活動,必須在烈日下工作者應搞好皮膚保護。
2、從事接觸X線或熱輻射工作的人,應搞好勞動保護。
3、避免皮膚直接接觸石油、瀝青、焦油及砷等化學物質。
4、積極治療皮膚慢性病症,如潰瘍、炎症、燒傷疤痕、日光性角化症、脂溢性角化症、皮膚白斑等。
5、經常食用具有防癌抗癌作用的食品。
驗方偏方
驗方
地鱉蟾蜍湯:地鱉蟲、蟾蜍、大茯苓、豬苓、黨參各15g,白花蛇舌草、苡仁、半枝蓮各18g,三棱、白朮各10g,莪術12g,甘草3g。水煎3次,分3次服。如無明顯反應可連服2—3個月以上。
療效:潘明繼等人套用本方治療卵巢癌取得一定療效。
偏方
核桃樹枝30g,紫草根30g,水煎服。
食療方
1、肉300克、鮮河魚1條(500克)、白蘿蔔1個。羊肉切成大塊,放入滾水中,同切片的蘿蔔煮15分鐘,湯和蘿蔔棄之。羊肉放入鍋內,加水(約為鍋容量的2/3)、蔥、姜、酒,煮至熟透。若湯太少可加適量開水。將魚用豆油煎透後,放入凌晨肉鍋內煮30分鐘。湯中加鹽、香菜、蒜苗、蔥末,即成美味可口的羊魚鮮湯。主要用於外陰基底細胞癌術後的調養。
2、鵪鶉蛋20個、洋蔥半隻、胡蘿蔔80克、蘆筍80克、香茄4個、青椒1隻。蛋煮熟運用殼。蔬菜切成小塊。胡蘿蔔煮至剛熟。碗中依次放入湯料200毫升、砂糖40克、醋45毫升、酒15毫升、番茄醬20克、麻油5毫升、傑粉10克、調成料汁。鍋中放油30毫升,燒熟後投入蛋和蔬菜秒炒,倒入料汁略煮一下即可食用。主治外陰基底細胞癌慢性出血所致貧血。
保健貼士
宜吃的食物
(1)宜多吃具有抗外陰腫瘤作用的食物,如芝麻、杏仁、小麥、大麥、土瓜、烏骨雞、烏賊、烏梢蛇、豬胰、菊花、烏梅、桃子、荔枝、馬齒莧、雞血、鰻魚、鮑魚、蟹、鱟、沙丁魚、文蛤、玳瑁。
(2)疼痛宜吃鱟、赤、龍蝦、淡菜、海參、虎魚、甜菜、綠豆、蘿蔔、雞血。
(3)瘙癢宜吃莧菜、白菜、芥菜、芋艿、海帶、紫菜、雞血、蛇肉、穿山甲。
(4)增強體質、預防轉移宜吃銀耳、黑木耳、香菇、猴頭菇、雞肫、海參、薏米、核桃、蟹、石龍子、針魚。
(5)供給易消化吸收的蛋白質食物,如牛奶、雞蛋、魚類、豆製品等,可提高機體抗癌力。其中牛奶和雞蛋可改善放療後蛋白質紊亂。
(6進食適量糖類,補充熱量。大劑量放射治療病人,可使其體內的糖代謝遭到破壞,糖原急劇下降,血液中乳酸增多,不能再利用;而且胰島素功能不足加重。所以補充葡萄糖的效果較好,另外宜多吃蜂蜜、米、面、馬鈴薯等含糖豐富的食物以補充熱量。
(7)維生素A和C有阻止細胞惡變和擴散,增加上皮細胞穩定性的作用,維生素C還可防止放射損傷的一般症狀,並可使白細胞水平上升;維生素E能促進細胞分裂,延遲細胞衰老;維生素B1可促進病人食慾,減輕放射治療引起的症狀。基底細胞癌飲食應多吃含上述維生素豐富的食物,如新鮮蔬菜、水果、芝麻油、穀類、豆類以及動物內臟等。
(8)放療和化療的病人,一般宜進食涼食、冷飲,但有寒感的病人,則宜進食熱性食物。
禁吃的食物
(1)忌咖啡等興奮性飲料。
(2)忌蔥、蒜、姜、桂皮等辛辣刺激性食物。
(3)忌煙、酒。
(4)忌肥膩、油煎、霉變、醃製食物。
(5)忌公雞、鵝等發物。
(6)瘙癢嚴重時忌海鮮及刺激、致敏食物。
治療用藥
六甲蜜胺膠囊中文名稱六甲蜜胺膠囊
產品英文名稱 AltretamineCapsules
生產企業 山西昂生藥業有限責任公司
功效主治 本品用於卵巢癌、SCLC、惡性淋巴瘤、子宮內膜癌的聯合化療,對卵巢癌及SCLC療效尤佳。
化學成分 本品主要成分為:六甲密胺
化學名:2,4,6-三(二甲氨基)均三嗪,分子式:C9H18N6分子量:210.28
藥理作用 本品為嘧啶類抗代謝藥物,主要抑制二氫葉酸還原酶,干擾葉酸代謝,選擇性抑制DNA、RNA和蛋白質的合成。為周期特異性藥,與烷化劑無交叉耐藥。
中文名稱 止痛化癥膠囊
生產企業 吉林金寶藥業股份有限公司
功效主治 益氣活血,散結止痛。用於氣虛血瘀所致的月經不調、痛經等,慢性盆腔炎。
化學成分 全蠍、蜈蚣、魚腥草、三棱、丹參、當歸、黃芪、延胡索等19味中藥精製而成。
藥理作用 1藥效學實驗表明:本品具有明顯的抗炎鎮痛作用,同時能促進生殖系統微循環,化解體內腫塊,並有增強免疫力的作用。2體外試驗顯示:對致病性大腸桿菌,金黃色葡萄球菌具有明顯的抑制和殺滅作用。3毒理試驗表明:該藥安全可靠,副作用,臨床服用劑量均為安全。
中文名稱環磷醯胺片
產品英文名稱 CyclophosphamideTablets
生產企業 上海華氏製藥有限公司天平製藥廠
功效主治 本品為目前廣泛套用的抗癌藥物,對惡性淋巴瘤、急性或慢性淋巴細胞白血病、多發性骨髓瘤有較好的療效,對乳腺癌、睪丸腫瘤、卵巢癌、肺癌、頭頸部鱗癌、鼻咽癌、神經母細胞瘤、橫紋肌肉瘤及骨肉瘤均有一定的療效。
婦科病
| 婦科病是困擾很多女性的常見病,關愛女性,呵護健康,遠離婦科病的威脅。 |
醫學疾病任務——婦科
| 婦科是醫療機構的一個診療科目,是婦產科的一個分支專業,是以診療女性婦科病為診療的專業科室。女性生殖系統所患的疾病才叫婦科疾病。婦科疾病的種類可分很多種,本任務包含大多數婦科疾病。 |

