發病原因
有學者認為該病的發生與妊娠和哺乳等激素變化有一定關係,且認為是發生本病的
乳腺錯構瘤發病機制
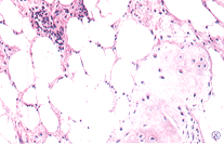
乳腺錯構瘤2.病理改變
(1)大體形態:腫瘤大小不一,直徑1~17cm,呈圓形、扁圓形,有包膜,質較中韌、切面淡黃色,間有灰紅色。
(2)組織形態:腫瘤由乳腺上皮性成分和間葉性成分兩者以不同的數量混合而成。根據上皮性成分和間葉性成分所占比例的多少,將本瘤分成3種類型:以上皮成分為主,稱為腺性錯構瘤(glandularhamartoma);以纖維組織占優勢者,稱為錯構瘤(fibroushamartoma);以脂肪組織占優勢者,稱為腺脂肪瘤(glandularpimeloma)。這是本病具有特色的一種徵象,瘤體內的腺體成分尚保持著分泌乳汁的功能。
臨床症狀
病人無意中發現乳內有一腫塊。腫瘤生長較緩慢。位於左乳內上象限及左乳內下象限者多見,也可位於乳房皮下。瘤體常單個,大小不一,呈圓形、扁圓形,界限清楚,移動良好。一般無觸痛。位於乳房皮下者,質軟,很似乳房脂肪瘤。位於腺體內者質較堅實,似乳腺增生症或乳腺纖維腺瘤,術前不易區別。該病的診斷要點為:多發生於40歲以上女性,腫瘤呈圓形、橢圓形,有包膜,質較軟不均勻,生長緩慢,有時可停止生長。X線顯示在低密度基礎上出現密度不均勻的特點。腫塊細針吸取細胞學檢查有時可抽出乳汁。
鑑別診斷
本病需與乳腺纖維腺瘤和乳腺增生症進行鑑別。乳腺纖維腺瘤多發生於青年女性,乳腺增生症腫塊常為多發,兩乳同時發病,腫物無包膜。若術前診斷有困難時,術後送病理檢查可鑑別。輔助檢查
腫塊細針吸取細胞學檢查有時可抽出乳汁。鉬靶X線片可見腫物處乳腺組織密度增高,瘤體的結構和形態清晰,呈圓形或橢圓形,邊緣光滑,界限清楚。腫物密度不均,外有緊密的包裹,乳腺組織失去指向乳頭的三角形結構,瘤體將正常的乳腺組織推向一邊。X線片呈現密度不均的低密度區是本病的特點。
治療方法
手術切除腫物是該病治療的首選方法。切除腫物應嚴密止血,術後可不放引流條,均可一期縫合。所要提及的是:根據腫瘤位置及病人年齡選擇放射狀或弧狀等切口,既方便切除腫塊,又保持了乳房外形不被破壞。疾病預防
1.營養充足,保持乳房部的肌肉強健,脂肪飽滿。行端坐正,保持優美的體態,特別是不能含胸,應挺胸、抬頭、收腹、直膝,使優美的乳房能驕傲地挺出,女性的風采充分展示。2.注意保護乳房,免受意外傷害,在擁擠的公共汽車上及逗弄小孩時尤其應該注意。
3.根據自己乳房的情況佩戴質地柔軟、大小合體的乳罩我不是隨便的人,我隨便起來不是人!,使乳房在呈現優美外形的同時,還能得到很好的固定、支撐。
4.期對乳房實施自我檢查,定期到專科醫生處做乳房部的體格檢查,有必要時還可定期做乳腺X線攝片。在自我感覺不適或檢查發現問題時,應及時就診,以早期診斷、早期治療各種乳房疾病。
飲食保健
一、乳腺錯構瘤的食療方(下面資料僅供參考,詳細需要諮詢醫生)1、淮杞西洋參燉海參
方藥及用法:發海參96克,西洋參10克(另包,只燉15分鐘),豬脊骨250克,淮山65克,鹽、花生油適量。先將發海參切成小塊,與斬塊的豬脊骨放入大燉盅,放入淮山、水適量,水開後用文火燉1小時,然後放入西洋參片和杞子、生油和鹽再燉15分鐘即成。分數次喝湯,吃海參。
效能:防癌抗癌,補氣益血。
評價:海參性溫,含豐富的蛋白質、鈣、鐵,其所含的粘多糖,能有效提高機體的免疫功能,抑制腫瘤細胞的生長和阻止其轉移,其所含的海參素也有抗癌作用;西洋參微苦微甘,性涼,具有補氣養陰、清火生津的效能;淮山味甘性平,益氣養陰,補脾腎;杞子味甘性平,養血益精,明目護肝,能減輕化療藥物對肝臟的損害;配上補髓的豬脊骨,起防癌抗癌,補氣益血之功效。
還可用於常人補益,婦人月經淨後補養等。
2、茄子鳳尾菇炒鵝血
方藥及用法:茄子125克(洗淨、留皮、切塊),鳳尾菇150克(洗淨、切段),鵝血96克。先將茄子與鳳尾菇用花生油、適量鹽在鍋中文火炒至七八成熟,然後放入鵝血快炒,上碟佐餐。每日1~2劑,可連用7~10天,或與其他防癌抗癌食療方交替食用。
效能:補血,防癌抗癌。
評價:茄子味甘性涼,富含維生素A、C、E,其中所含的龍葵鹼,能抑制消化道腫瘤的形成,且通利大便,具有防癌抗癌的作用;鳳尾菇味甘性涼,蛋白質含量高達21%以上,含8種人體必需的胺基酸和多種維生素,它能誘發乾擾素的合成,從而起到防癌作用,對乳腺癌、淋巴瘤等有輔助治療的作用;鵝血味微鹹,含維生素、血紅蛋白,對食道癌有一定輔助治療作用。三者共炒為菜,不僅可作為健身防癌之品,還可作為乳腺腫瘤的有效食療方。
二、乳腺錯構瘤吃哪些食物好?
1、進食適量糖類,補充熱量。大劑量放射治療病人,可使其體內的糖代謝遭到破壞,糖原急劇下降,血液中乳酸增多,不能再利用;而且胰島素功能不足加重。所以補充葡萄糖的效果較好,另外宜多吃蜂蜜、米、面、馬鈴薯等含糖豐富的食物以補充熱量。
2、多吃有抗癌作用的食物,如甲魚、蘑菇、黑木耳、大蒜、海藻、芥菜及蜂皇漿等食物。
3、維生素A和C有阻止細胞惡變和擴散,增加上皮細胞穩定性的作用,維生素C還可防止放射損傷的一般症狀,並可使白細胞水平上升;維生素E能促進細胞分裂,延遲細胞衰老;維生素B1可促進病人食慾,減輕放射治療引起的症狀。因此,應多吃含上述維生素豐富的食物,如新鮮蔬菜、水果、芝麻油、穀類、豆類以及動物內臟等。
三、乳腺錯構瘤最好不要吃哪些食物?
1、不吃鹽醃,煙燻,火烤的食物,特別是烤糊焦化了食物。
2、禁食發物。如魚類、蝦、蟹、雞頭、豬頭肉、鵝肉、雞翅、雞爪等,食後會加重陰部的瘙癢和炎症。
3、儘量少吃辛辣、刺激的食物。例如:洋蔥、胡椒、辣椒、花椒、芥菜、茴香。
4、避免吃油炸、油膩的食物。如油條、奶油、黃油、朱古力等,這些食物有助濕增熱的作用,會增加白帶的分泌量,不利於病情的治療。
5、戒菸戒酒、咖啡等興奮性飲料。
6、忌咖啡等興奮性飲料。
醫學疾病任務——婦科
| 婦科是醫療機構的一個診療科目,是婦產科的一個分支專業,是以診療女性婦科病為診療的專業科室。女性生殖系統所患的疾病才叫婦科疾病。婦科疾病的種類可分很多種,本任務包含大多數婦科疾病。 |
