定義
錯構瘤錯構瘤(hamartoma):是指機體某一器官內正常組織在發育過程中出現錯誤的組合、排列,因而導致的類瘤樣畸形。
錯構瘤不是真性腫瘤,該瘤生長緩慢,隨機體的發育生長而增大,但增大到一定程度即可停止,和機體之間是協調的,極少惡變。也有少數學者認為錯構瘤是真性腫瘤(如:腎血管平滑肌脂肪瘤),而不是“正常組織的異常組合”,應被歸為間葉源性腫瘤。
分類
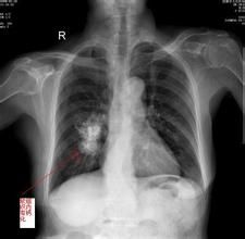
錯構瘤可來自許多組織,常見於肺(由軟骨島、支氣管上皮和腺體等混合,局部增生而形成局限型或瀰漫型錯構瘤)、腎(血管平滑肌脂肪瘤)、乳腺(乳腺小葉脂肪形成的乳腺錯構瘤)和嬰兒肝(間葉性錯構瘤)等。肺錯構瘤
是支氣管的一片組織在胚胎髮育時期倒轉和脫落,被正常肺組織包繞,這一部分組織生長緩慢,也可能在一定時期內不生長,以後逐漸發展形成瘤。大多數在40歲以後發病。腎錯構瘤
腎錯構瘤又稱腎血管平滑肌脂肪瘤,為良性腫瘤。近年來發病率有增高趨勢,可能與診斷技術水平提高有關。腎錯構瘤可以是獨立的疾病,也可能伴有結節性硬化,後者是常染色體顯性遺傳。臨床特點為雙腎多發病灶,合併智力發育遲緩,面部蝴蝶狀皮脂腺瘤等。女性多見,發病年齡多為20-50歲。但我國腎錯構瘤患者絕大多數並不伴有結節性硬化。肝錯構瘤
肝錯構瘤即“肝臟錯構瘤”,該病多見於兒童,組織學上由排列紊亂的間葉組織、膽管和肝實質組成,屬良性腫瘤,手術切除效果較理想。而肝臟血管肉瘤是由肝竇血管內皮細胞發生的惡性腫瘤,是肝臟最常見的原發性惡性間葉組織腫瘤,多見於有氯乙烯長期接觸史的男性,臨床上進展迅速,缺乏有效的治療手段,預後差。乳腺錯構瘤乳腺錯構瘤(hamartomaofmammarygland)是由脂肪組織、纖維組織、乳腺導管和乳腺小葉多種組織成分混合生長而成,是臨床上比較少見的特殊類型的乳腺良性腫瘤。
病因
從發病機理上經多年來詳細深入的研究,並結合現代生物分子學理論,終於總結出各種類型錯構瘤形成的根本原因是“脂肪瘤因子”,在患者體內也存在一種脂肪瘤因子,在正常情況下,這種脂肪瘤因子處於一種失活狀態(無活性狀態),正常情況下是不會發病,但在各種內外環境的誘因影響作用下,這種脂肪瘤因子的活性處於活躍狀態具有一定的活性,在外界因素改變時,加上體內的內環境改變,脂肪瘤因子活性進一步增強,使正常的脂肪細胞發生異常增生現象,導致脂肪組織沉積於毛細血管的平滑肌組織中,形成臟器突出的腫塊,稱之錯構瘤。
病理學
腎錯構瘤屬腎實質良性腫瘤,皮質和髓質內均可發生。病理檢查見腫瘤大小不一,可向腎外或集合系統生長,無完整被膜,但界限清楚,切面呈灰白、灰黃或混雜黃色,有的可見出血灶。鏡下見腫瘤由成熟的脂肪組織、血管和平滑肌以不同比例構成,也可混有纖維組織。一般認為,腫瘤出血的主要病理基礎是由於腫瘤含有豐富的血管組織,而這些血管管壁厚薄不一且缺乏彈性,血管行徑迂曲並可成動脈瘤樣改變,受輕微外力打擊即可破裂。
此外,可能還存在兩種影響因素:
其一,錯構瘤中各種組織成熟程度不一,有些含有生長活躍的平滑肌和纖維組織,以致瘤體快速生長,血供增加,有人認為這些細胞具有肌母細胞和纖維母細胞的特點,具有潛在侵襲性行為,甚至有惡變的可能。
其二,快速生長的瘤體在體積增大、重量增加的同時壓迫毗鄰的正常腎組織,造成正常腎組織萎縮甚至局灶性缺血壞死,以致輕微外力即可使瘤體與腎臟的界面斷裂而出血。
中醫認為致病原因
一、過度飲酒,經常進食肥肉、動物內臟、無鱗魚或蛋黃等人群。因為進食過多肥膩之品,高膽固醇食物,可造成下焦濕熱,痰濕內生,運化失調,即新生脂肪組織多,使體內過多的脂肪細胞異聚,變性。治療原則是:清熱利濕,健腎補脾,軟堅散結。
二、工作壓力過大,心情煩躁,經常生氣的人。因為肝氣鬱結,氣血不暢,經脈不通,可造成正常的脂肪組織和淤血交織在一起,長時間可形成結締組織包裹脂肪細胞,形成脂肪瘤。治療原則:疏肝理氣,活血化瘀,軟堅散結。通過治療打通經脈,疏通經血,消散脂肪瘤。
三、經常熬夜,想問題過多的人。因為傷及肝腎,使肝腎陰虛,陰陽失調,這樣人體對脂肪的分解能力下降,原有的脂肪組織和新生的脂肪不能正常排列,形成異常的脂肪組織,即“錯構瘤”。
治療原則:滋補腎陰,調理陰陽平衡,軟堅散結。
保健措施
患者平時應注意保持心情舒暢、切忌大怒暴怒,多吃蔬菜、水果,保持大便通暢,進食不宜過飽,以七八分飽為宜,少食牛、羊、豬、狗肉,忌食油膩厚味、烈性酒及辛辣煎炸食品,以食清淡、富含營養的食物為宜。錯構瘤患者工作中及做家務活動時防止過度用力,不要手持重物,不宜做劇烈運動,以免增加腹腔壓力,引起瘤體破裂出血。可經常做長距離散步等低強度運動,定期複查腎臟B超,注意觀察瘤體大小。
錯構瘤
