詞語解釋
淤血 yū//xiě
【屬性】多音詞
【詞目】淤血
【讀音】yū//xiě
【釋義】因靜脈血液回流受阻,機體內的器官或組織內血液淤積。
淤血 yūxuè
【詞目】淤血
【讀音】yūxuè
【釋義】淤積的血液 :清除顱內~。
疾病介紹
基本含義
淤血[疾病]淤血多是在外力作用下,使皮下毛細血管破裂出血所致。因血液從毛細血管破裂處外滲致皮下。所以我們在完整的皮膚上可以看到皮膚一片淤青。此時外滲致皮下的血液已屬異物,又因皮下神經豐富。所以疼痛感明顯。發生淤血24小時後,可以用溫水熱敷患處。以促進局部血液循環,促進淤血消散。一般皮下淤血機體會慢慢吸收,時間大約需要兩周左右。
處理方法:1.在淤血處,用藥酒擦拭後輕揉,促進淤血消散。
2.建議服用中藥進行調理。
原因、病理變化及對機體的影響
(一)淤血的原因
1.靜脈受壓靜脈受壓使管腔發生狹窄或閉塞、血液回流受阻導致相應部位的器官和組織發生淤血。如妊娠子宮壓迫髂靜脈引起的下肢靜脈淤血。
2.靜脈管腔阻塞 常見於靜脈血栓形成,由於靜脈分支多,只有當靜脈腔阻塞而血流又不能通過側支回流時,才發生靜脈性充血。
3.心力衰竭 二尖瓣瓣膜病和原發性高血壓引起左心功能不全時,可導致肺淤血,肺源性心臟病導致右心功能不全可造成肝、腎和下肢等器官淤血,引起體循環淤血。
(二)淤血的病理變化
肉眼:由於靜脈回流受阻,血液淤積在擴張的小靜脈和毛細血管內,故淤血的器官和組織體積增大;由於淤血區血液流動緩慢、缺氧,氧合血紅蛋白減少,還原血紅蛋白增多,故淤血臟器呈暗紅色。
代謝:靜脈淤血時,器官和組織得不到充足的氧氣和營養物質,使組織代謝率降低,產熱減少,使體表淤血處溫度降低;淤血的組織相對缺氧,代謝機能減弱。
光鏡下:小靜脈和毛細血管擴張充盈,可見出血,間質水腫。
(三)常見器官淤血舉例
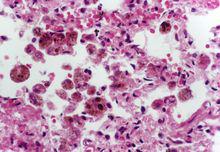
1.肺淤血:多為左心衰竭引起,左心腔內壓力升高,阻礙肺靜脈回流,造成肺淤血。肉眼表現為肺臟腫脹、重量增加、色暗紅或呈棕褐色,質地變硬。切面流出泡沫狀紅色血性液體,光鏡下急性肺淤血見肺泡壁毛細血管擴張充血,肺泡壁增厚,肺泡腔內充滿水腫液及出血。慢性肺淤血時,可見肺泡壁變厚及纖維化,肺水腫、肺出血,並見大量吞噬含鐵血黃素的巨噬細胞,稱為心力衰竭細胞。長期慢性肺淤血可致肺臟褐色硬化(肺質地變硬,肉眼呈棕褐色)。肺淤血患者臨床上有明顯氣促、發紺及咳出大量粉紅色泡沫痰等。
2.肝淤血 主要見於右心衰竭,肝靜脈回流受阻,致使肝小葉中央靜脈及肝竇擴張淤血。急性肝淤血時肝臟體積增大,暗紅色。鏡下中央靜脈及肝竇擴張,小葉中央可見肝細胞萎縮、壞死。周圍肝細胞發生脂肪變性。慢性肝淤血時,肝小葉中央嚴重淤血呈暗紅色,多個肝小葉中央淤血區相連,而肝小葉周邊肝細胞因脂肪變性為黃色,致使肝臟呈紅(淤血區)黃(肝脂肪變區)相間的花紋狀,如同檳榔的切面,稱為 檳榔肝。光鏡下可見肝靜脈、中央靜脈和肝竇擴張淤血,肝小葉中央部肝細胞因缺氧和受壓發生萎縮和壞死,肝小葉周邊部肝細胞發生脂肪變性。長期慢性肝淤血可致肝臟淤血性硬化。與門脈性肝硬化不同,淤血性肝硬化的病變較輕,肝小葉改建不明顯,不形成門脈高壓和不產生肝功能衰竭。
(四)淤血對機體的影響
①淤血可致淤血性出血、組織水腫
②臟器實質細胞的萎縮、變性和壞死;
③長期慢性淤血可致臟器硬化
④側支循環的建立。在肝硬變時門靜脈和腔靜脈之間側支循環的吻合支開放,形成胃底食管靜脈曲張,腹壁淺靜脈曲張,以及痔靜脈曲張。
病理
器官或局部組織靜脈回流受阻,血液淤積於小靜脈及毛細血管內,稱靜脈性充血,簡稱淤血。
常引起的後果:1.淤血性水腫。2.淤血性出血。3.淤血性硬化
病理變化
發生淤血的局部組織和器官,由於血液的淤積而腫脹。發生於體表時,由於微循環的灌注量減少,血液內氧合血紅蛋白含量減少而還原血紅蛋白含量增加,局部皮膚呈紫藍色,稱發紺(cyanosis)。由於局部血停滯,毛細血管擴張,使散熱增加,體表溫度下降。鏡下見局部細靜脈及毛細血管擴張,過多的紅細胞積聚。毛細血管淤血導致血管內流體靜壓升高和缺氧,其通透性增加,水、鹽和少量蛋白質可漏出,漏出液瀦留在組織內引起淤血性水腫(congestive edema)。漏出液也可以積聚在漿膜腔,引起胸水、腹水和心包積液。毛細血管通透性進一步增高或破裂,引起紅細胞漏出,形成小灶性出血,稱淤血性出血(congestive hemorrhage)。出血灶中的紅細胞碎片被吞噬細胞吞噬,血紅蛋白被溶酶體酶分解,析出含鐵血黃素(hemosiderin)並堆積在吞噬細胞胞漿內,這種細胞稱含鐵血黃素細胞。
後果
淤血的後果取決於器官或組織的性質、淤血的程度和時間長短等因素。短時間的淤血後果輕微,而長時間的淤血後果較為嚴重。長時間的淤血又稱慢性淤血(chronic congestion),由於局部組織缺氧,營養物質供應不足和代謝中間產物堆積和刺激,導致實質細胞發生萎縮、變性,甚至死亡。間質纖維組織增生,加上組織區域網路狀纖維膠原化,器官逐漸變硬,出現淤血性硬化(congestive sclerosis)。
![淤血[疾病] 淤血[疾病]](/img/3/302/nBnauM3X1YTM5AjM1gTN5EDN0UTMyITNykTO0EDMwAjMwUzL4UzL1IzLt92YucmbvRWdo5Cd0FmLwE2LvoDc0RHa.jpg)
