病因
1.心臟疾患
各種類型的心臟病,如心瓣膜病、心肌梗死、肺源性心臟病等,引起右心功能不全,或心包疾病引起右心房壓力增加,均易使下腔靜脈壓力升高,傳遞到肝靜脈,導致肝內靜脈血液回流障礙,中央區肝靜脈竇擴張淤血。可引起肝淤血的心臟疾病有:縮窄性心包炎;風濕性心臟瓣膜病;動脈硬化性心臟病及高血壓心臟病。
2.靜脈病變
下腔靜脈血栓形成、肝靜脈血栓形成(巴德-吉亞利綜合徵)、多發性漿膜炎時瘢痕收縮或腫瘤生長壓迫所致的靜脈血管狹窄等,引起肝靜脈急性或慢性阻塞,使肝靜脈內血壓升高,發生肝淤血。也有學者認為與先天性靜脈畸形有關,但仍有不少患者原因不明。
臨床表現
肝臟急性充血、增大,肝包膜被拉緊,患者可出現右上腹疼痛。體檢可見肝頸靜脈反流徵和輕度肝功能異常。當心臟病患者反覆發生心力衰竭,肝大可達肋緣下2~10cm,硬度增加,表面光滑。脾臟在初期時反而縮小。根據淤血的程度、速度和病變特點的不同,肝淤血可分為急性和慢性兩型。
1.急性肝淤血
急性肝淤血患者,臨床表現除觸診可查到肝大外,還有肝區膨脹性疼痛和觸痛。由於肝細胞淤血性缺氧,可引起肝功能障礙,表現為血清轉氨酶升高,尿膽原增多,肝臟排泄功能也受一定影響。
2.慢性肝淤血
(1)最多見於充血性心力衰竭,也可發生於下腔靜脈或肝靜脈阻塞,以及肺循環受阻引起的右心衰竭。右心衰竭時體靜脈系統壓力增高,肝臟受到的影響比其他系統早而嚴重。
(2)慢性肝淤血病情進展較慢,肝大程度不及急性肝淤血時顯著。右上腹可有持續性疼痛,彎腰或用力觸摸時有壓迫感。觸診時肝下緣在肋緣下,質較硬,邊緣鈍圓。當回心血流嚴重受阻時可出現腹水。肝功能有輕或中度異常,尿酸生成和凝血因子生成減少,血清白蛋白降低而球蛋白增高。
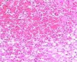
(3)慢性淤血的肝臟腫大飽滿,深紅或紫色,邊緣鈍圓,硬度增加。切面見小葉中央為深紅色,小葉周圍呈灰白或灰黃色。紅黃相間,好像檳榔切面的花紋,所以又稱為檳榔肝(豆蔻肝)。
檢查
1.超聲檢查
早期即可見肝大,肝下緣變鈍,肝內回聲增強。下腔靜脈和肝靜脈擴張,呼吸動作加時,下腔靜脈和肝靜脈的內徑改變很小。
2.CT檢查
肝淤血的CT表現包括腔靜脈和肝靜脈擴張,升高的中心靜脈壓造成的對比劑逆流和強化下腔靜脈和肝靜脈不顯影。CT增強掃描時,肝實質可顯示為瀰漫性不均勻的斑點樣和格線狀(馬賽克樣)增強。此外,CT還可顯示心臟增大、肝大、血管周圍淋巴水腫造成的門靜脈周圍透亮帶、胸腔積液、腹水和心包積液等肝淤血的其他相關改變。
3.磁共振成像(MRI)檢查
肝臟可顯示為馬賽克樣增強,以及顯示未增強門靜脈和肝靜脈所造成的低信號條狀影,之後門脈期和延遲期肝臟實質信號強度變為比較均勻,門靜脈和肝靜脈也逐漸增強,並可見有肝靜脈和肝上的下腔靜脈擴張。
4.實驗室檢查
肝功能有輕或中度異常,尿酸和凝血因子生成減少,血清白蛋白降低而球蛋白增高。血清轉氨酶升高,尿膽原增多。
診斷
主要依靠超聲、CT、磁共振成像等影像學檢查結合實驗室肝功能檢查結果做出診斷。
治療
主要是針對病因治療,積極控制引起肝淤血的原發病如縮窄性心包炎、風濕性心臟瓣膜病、動脈硬化性心臟病及高血壓性心臟病等。

