流行病學
肝臟錯構瘤肝錯構瘤罕見Ishalk(1953)收集文獻僅67例。Wilson等(1971)報導了16例,年齡在7個月至3歲之間,男女之比為3∶1。長海醫院1960~1980年僅收住4例其中1例為25歲男性余為女性80%~90%的錯構瘤發生在右葉。儘管多數肝錯構瘤發生在2歲或2歲以下的兒童但病灶可在成人才診斷出來通過檢索文獻發現國外有100多例其中日本報導30多例,中國亦有個案報導共約10例據Exelby統計,發生率約占小兒肝臟腫瘤的6%在良性腫瘤中僅次於血管瘤。
病因
肝臟錯構瘤——症狀肝錯構瘤一直被看作生長發育期形成的伴隨肝門結構生長的腫瘤,而不是新生腫瘤。一些病理學家認為很可能是原始間葉細胞異常的發育這種異常發育很可能發生在胚胎晚期當肝形成小葉結構與膽管連線時Stocker等人描述,間葉組織囊性變伴隨著梗阻引起的液體蓄積,同時淋巴管和陷入其中的膽管導致了腫瘤的增大。之後腫瘤沿門管結構擴散生長形成陷入正常組織的孤島。Stocker等同時指出,由於缺少間葉組織有絲分裂活動的證據說明大多數增殖生長發生在出生之前或剛剛出生但囊腫增大成巨大腫物發生在兒童。但最近更多的理論假設這些病灶實際比單純生長更活躍在這種情況下一種異常的血流供應灌注其他正常肝組織而病灶部位組織最終缺血、反應性囊性變。在觀察中發現,一些錯構瘤有中心壞死和與正常組織有蒂相連這些結果支持這一理論。
發病機制
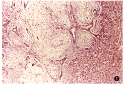
肝臟錯構瘤——機制1956年,Edmondson發現淋巴管瘤錯構瘤膽管細胞纖維腺瘤、海綿狀淋巴管瘤病假囊腫間葉性錯構瘤和囊性錯構瘤具有相同的組織學特點而統一命名為肝間葉性錯構瘤。肝錯構瘤常發生在右葉靠近邊緣表面凸凹不平呈結節狀。典型的肝間葉性錯構瘤大體和顯微鏡特徵可明顯地與其他肝臟腫瘤區分。病理上可分為實質性和囊性兩大類實質性包括起源於肝細胞及間質,伴有大量纖維組織、血管脂肪和黏液。病灶很典型的表現為:巨大、邊界清或有包膜的腫瘤一般直徑8~10cm。儘管很多腫瘤為多囊的,但單發大的囊腫占多數病灶多有莖且有發生扭轉的報告。囊性的包括血管性、淋巴血管性和膽管錯構瘤,可能有上皮內襯。大體標本組織切面可呈棕灰色或硬魚肉樣囊內充滿漿液性或黏液性液體被疏鬆組織和黏液樣組織分隔。在囊腫之間的組織為蒼白、水腫或紅褐色似正常肝間葉組織組織病理特點包含囊腫、膽道、肝細胞、間葉組織以不同比例形成的混合物但也有非囊性實性肝間葉性錯構瘤的報導膽管被結締組織包繞、拉長變形,分布在間葉組織中。肝細胞為正常(沒有不成熟的類似在肝細胞癌中的肝細胞)在腫瘤的間葉組織中可出現血管和淋巴結構。
鏡下根據起源不同而異。實質性錯構瘤以肝細胞增生為主膽管錯構瘤以膽管和纖維膠原基質增生為主,間質性錯構瘤以間葉組織增生為主,大量結締組織呈中心性星狀排列肝細胞排列不規則,不形成小葉膽管上皮及血管已纖維化Dehnet用電鏡觀察腫瘤由疏鬆的黏液樣細胞主要為成熟的間質及散在的肝細胞、膽管細胞構成血管性錯構瘤以血管和纖維結締組織增生為主囊性的可見大小不等的囊腔,部分囊腔內襯單層扁平間皮細胞部分為結締組織裂隙腫瘤周邊有少量膽管和肝細胞索腫瘤與正常組織界線明顯。
臨床表現
肝臟錯構瘤——臨床表現臨床特徵為無症狀性迅速生長的腫塊。本病多發於嬰幼兒,多見於4月至2歲,通常5歲前發病男∶女為2∶1成人發病極為罕見,但亦有報導。早期無任何症狀有的在出生時就有腹部腫塊隨生長發育腫塊可迅速生長,當腫瘤逐漸增大時可在右上腹捫及腫塊,質硬無壓痛,隨呼吸上下移動晚期可出現腹部無痛性巨大包塊及所產生的壓迫症狀消化道表現為噁心,嘔吐,腹脹,便秘等胃腸道壓迫症狀腫塊向上壓迫膈肌可導致呼吸困難嚴重的可引起呼吸窘迫或心功能不全偶有帶蒂者可發生腫瘤扭轉、壞死。全身表現可有貧血消瘦等。
體檢見患者腹部極度膨隆,腹壁靜脈曲張可觸及巨大包塊質硬形態不規則無壓痛,不隨呼吸上下移動,肝大。
併發症
本病少有發生扭轉的報導,但不伴有肝硬化,無惡性傾向
1.腫塊向上壓迫膈肌可導致呼吸困難嚴重的可引起呼吸窘迫或心功能不全
2.全身表現可有貧血消瘦。
診斷
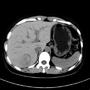
肝臟錯構瘤——解剖圖本病為較罕見的良性腫瘤,多發生於嬰幼兒,臨床特徵除為無症狀迅速增大的腹部包塊外尚缺乏典型的特異徵象如果發現肝臟巨大腫塊在排除轉移癌甲胎球蛋白(-)患者一般情況良好良性可能性大應該考慮本病。除臨床症狀與體徵外,B超、CT等對診斷有一定幫助,但通常只能提示肝臟占位性病變,定性診斷常較困難,明確診斷仍靠病理檢查。
1.臨床表現
2.實驗室及其他輔助檢查。
鑑別診斷:
錯構瘤屬於良性腫瘤但由於腫塊較大且可能在短時間內迅速生長,很容易和惡性腫瘤相混淆,臨床上應與肝細胞肝癌、肝母細胞瘤嬰兒成血管內皮細胞瘤、肝腺瘤相鑑別
1.肝母細胞瘤 肝間葉性錯構瘤需與肝母細胞瘤鑑別但後者為實性腫塊AFP 90%以上陽性
2.其他的肝囊腫病變 其他可能的肝囊腫病變包括膽管囊腺瘤寄生蟲性和非寄生蟲性囊腫也需與肝間葉性錯構瘤鑑別囊性畸胎瘤和單純性囊腫一般在腹平片或腹部超聲上有鈣化。
3.惡性間葉組織瘤並囊腫和惡性組織細胞瘤在切除大體標本上都像良性肝間葉性錯構瘤,因此需細緻的鏡下檢查。
檢查
實驗室檢查。肝功能可在正常範圍,有少數AFP升高腫瘤摘除後下降,其原因不明,不易解釋。甲胎球蛋白陰性另外CA19-9可能升高。
其它輔助檢查。X線腹部超聲CT和MRI對診斷有幫助。
1.B超檢查。腹部超聲示邊界清楚的肝無回聲囊腫,可以是孤立的或多發的可見腫瘤內呈多囊狀(圓形或橢圓形)、壁厚、無鈣化的巨大塊影
2.CT檢查。CT表現為少血管團塊,有包膜的囊和實質組織,密度低於肝臟。可見肝臟內巨大的密度不均的低密度區可見多個囊性的液性暗區目前CT仍是快速低廉的方法同時可以很好地顯示解剖邊界以便決定手術切除的可能性。
3.血管造影。表現為無或少血管(纖維組織間小血管)腫塊。病灶侵入周圍肝實質或侵犯下腔靜脈在肝間葉性錯構瘤並不常見。因病灶血供少動脈造影對診斷和手術的幫助很小。
4.放射性核素掃描。對本病的診斷也有一定的幫助
5.腹平片示。其他正常腸內氣體影像位置變低但鈣化並不一定都能在影像上發現。
6.MRI同樣是一種有效的手段隨著先進的MRI技術如梯度回波成像、自旋迴波等技術的發展MRI得到很大的提高。
治療
手術治療仍是本病的首選方法此瘤雖為良性,但增大迅速給手術增加難度,故宜及早手術為妥。根據腫瘤所居部位,施行腫瘤切除或肝葉切除術。因錯構瘤常與正常肝組織分界清可選擇腫瘤摘除術如腫瘤與肝組織緊密粘連可作肝部分切除或肝葉切除。小兒肝臟多無硬化再生能力強為進行複雜的廣泛肝切除提供條件。對巨大的腫瘤,且與第1、2肝門及下腔靜脈粘連的,應根據腫塊的大小部位及與周圍血管的關係選擇術式,必要時採取全肝血流阻斷或低溫灌注全肝血流阻斷切肝,此法使肝局部溫度降低術野處於無血狀態,解剖清楚又保護肝細胞,有利於術後肝功能恢復。
預後
經過長期的臨床檢查證實傳統上認為肝間葉性錯構瘤為良性病變屬發育畸形,沒有惡變傾向。儘管肝間葉性錯構瘤因囊腫迅速擴大產生了類似新生物的生長特徵但全切術可治癒這一良性病變本病偶有復發,應術後隨訪。

