疾病分類
婦產科疾病描述
纖維瘤由纖維母細胞增生而成。多見於大陰唇。症狀體徵
初起為硬的皮下結節,繼而可增大,形成有蒂的硬的實性塊物,大小不一,表面可有潰瘍和壞死。其切面為緻密、灰白色纖維結構。鏡下見波浪狀或相互盤繞的膠質束和纖維母細胞。疾病病因
(一)發病原因外陰纖維瘤一般起源於會陰部或圓韌帶的帶的深部的纖維組織,是由纖維細胞增生而形成。
(二)發病機制
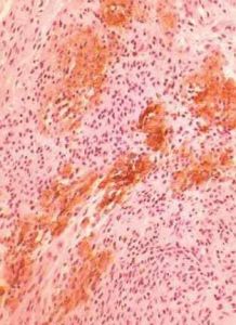
外陰纖維瘤鏡下可見平行的纖維索呈波浪狀或互相盤繞,實質由成熟的成纖維細胞和膠原纖維組成,呈束狀編織狀。細胞核呈梭形,有的地方可見黏液樣退行性變,無分裂象,包膜為纖維結締組織,表面分葉不規則,光滑,質硬。切面為緻密灰白色纖維組織,呈束狀縱橫交錯排列或呈漩渦狀排列。間質一般更緻密,膠原纖維多,即纖維瘤切面呈緻密的、堅硬而灰白色的纖維結構。
診斷檢查
外陰纖維瘤大多發生於大陰唇,發生於小陰唇、陰蒂及圓韌帶者較少。生長緩慢,一般無症狀,偶爾因摩擦,表面可有潰瘍,可出現下墜及疼痛症狀。檢查可見大陰唇綠豆到櫻桃大小,直徑在0.6~8cm,光滑質硬有蒂的贅生物,表面有溝紋,色澤如正常皮膚或呈淡黃色,常為單發。個別可長得很大,國外文獻報導有達268磅者,呈球形或卵圓形。當局部血液循環發生障礙時可囊性變,質地柔軟,如腫瘤過大,可伴排尿障礙及性交困難。
外陰纖維瘤的診斷一般不困難。根據臨床表現、實驗室檢查可明確診斷。如腫瘤發展快,表面有破潰時,應做活檢明確診斷。
可做以下檢查以排除其他疾病:
一、陰道分泌物常規檢查:
觀察陰道分泌物的顏色和性狀。陰道分泌物即女性生殖系統分泌的液體,又稱為白帶。檢查可偶發現白細胞增多。
二、腫瘤標誌物檢查:腫瘤標誌物(TumorMarker)是反映腫瘤存在的化學類物質。
(1)分類
1)腫瘤組織產生,包括:分化抗原;胚胎抗原(AFP,CEA);同工酶(NSE);激素(HCG);組織特異性抗原(PSA,freePSA):粘蛋白,糖蛋白,糖脂(CA125);癌基因及其產物;多胺類等。
2)腫瘤與宿主相互作用後產生,包括:血清鐵蛋白;免疫複合物;急性時相蛋白;同工酶;白細胞介素受體;腫瘤壞死因子等。
三、組織病理檢查:
外陰纖維瘤鏡下可見平行的纖維索呈波浪狀或互相盤繞,實質由成熟的成纖維細胞和膠原纖維組成,呈束狀編織狀。
細胞核呈梭形,有的地方可見黏液樣退行性變,無分裂象,包膜為纖維結締組織,表面分葉不規則,光滑,質硬。間質一般更緻密,膠原纖維多,即纖維瘤切面呈緻密的、堅硬而灰白色的纖維結構。
治療方案
治療原則為沿腫瘤根部切除。中醫治療
辨證論治:脾虛痰滯型。
[證候] 外陰瘤體日久,無痛感,神疲乏力,食納減少,舌淡,苔白,脈細緩。
[治法] 健脾化痰,理氣散結。
預後
預後良好,一般情況下手術切除後不復發。
用什麼藥
婦科千金片商品名婦科千金片
通用名稱婦科千金片
批准文號國藥準字Z43020027
生產廠商株洲千金藥業股份有限公司
功效主治清熱除濕,益氣化瘀。用於濕熱瘀阻所致的帶下病,腹痛
商品名惠而白
通用名稱千金藤素片
批准文號國藥準字Z20026796
生產廠商瀋陽管城製藥有限責任公司
功效主治清熱涼血。用於腫瘤病人因放療化療引起的白細胞減少症。
商品名唯愛
通用名稱維A酸軟膏
批准文號國藥準字H10930141
生產廠商上海通用藥業股份有限公司
功效主治尋常痤瘡、特別是黑頭粉刺皮損,老年性、日光性或藥物性皮
保健貼士
女性外陰的良性腫瘤,如乳頭瘤、纖維瘤等,並不多見。它們是生長在大陰唇外側的單個腫瘤。宜手術切除,切除物送病理檢查。
外陰纖維瘤吃什麼好?
外陰纖維瘤食療方(下面資料僅供參考,詳細需要諮詢醫生)
(1)首烏雞蛋湯
組成:首烏120克,雞蛋4隻。
用法:將首烏煎取濃湯,煮雞蛋4隻。此為一日劑量,日服2次。
(2)芝麻紅糖粥
組成:黑芝麻200克,紅糖30克。
用法:黑芝麻揀淨,略炒,入瓶備用或搗柞裝瓶。每次用2湯匙加紅糖適量,蘸饅頭或用開水沖服。
(3)核桃芝麻粥
組成:核桃仁200克,芝麻100克,粳米100克。
用法:將核桃仁及芝麻各研末。粳米加適量水煮熟,再加入核桃仁、芝麻即可食用。
(4)首烏山藥羊肉湯
組成:首烏30克,山藥100克,羊瘦肉500克,生薑9克。
5、肉300克、鮮河魚1條(500克)、白蘿蔔1個。 羊肉切成大塊,放入滾水中,同切片的蘿蔔煮15分鐘,湯和蘿蔔棄之。羊肉放入鍋內,加水(約為鍋容量的2/3)、蔥、姜、酒,煮至熟透。若湯太少可加適量開水。將魚用豆油煎透後,放入凌晨肉鍋內煮30分鐘。湯中加鹽、香菜、蒜苗、蔥末,即成美味可口的羊魚鮮湯。主要用於外陰纖維瘤術後的調養。
6、鵪鶉蛋20個、洋蔥半隻、胡蘿蔔80克、蘆筍80克、香茄4個、青椒1隻。 蛋煮熟運用殼。蔬菜切成小塊。胡蘿蔔煮至剛熟。碗中依次放入湯料200毫升、砂糖40克、醋45毫升、酒15毫升、番茄醬20克、麻油5毫升、傑粉10克、調成料汁。鍋中放油30毫升,燒熟後投入蛋和蔬菜秒炒,倒入料汁略煮一下即可食用。主治外陰纖維瘤慢性出血所致貧血。
外陰纖維瘤吃那些對身體好?
(1)宜多吃具有抗外陰腫瘤的食物,如芝麻、杏仁、小麥、大麥、土瓜、烏骨雞、烏賊、烏梢蛇、豬胰、菊花、烏梅、桃子、荔枝、馬齒莧、雞血、鰻魚、鮑魚、蟹、鱟、沙丁魚、文蛤、玳瑁。疼痛宜吃鱟、赤、龍蝦、淡菜、海參、虎魚、甜菜、綠豆、蘿蔔、雞血。瘙癢宜吃莧菜、白菜、芥菜、芋艿、海帶、紫菜、雞血、蛇肉、穿山甲。
(2)疼痛宜吃鱟、赤、龍蝦、淡菜、海參、虎魚、甜菜、綠豆、蘿蔔、雞血。
(3)瘙癢宜吃莧菜、白菜、芥菜、芋艿、海帶、紫菜、雞血、蛇肉、穿山甲。
(4)增強體質、預防轉移宜吃銀耳、黑木耳、香菇、猴頭菇、雞肫、海參、薏米、核桃、蟹、石龍子、針魚。
(5)外陰纖維瘤手術手術後,耗氣傷血,宜多食補氣養血之品,如大棗、龍眼、扁豆、粳米、荔枝、香菇、胡蘿蔔、鵪鶉蛋、藕粉、豆類等。
外陰纖維瘤最好不要吃那些食物?
1.禁食發物。如魚類、蝦、蟹、雞頭、豬頭肉、鵝肉、雞翅、雞爪等,食後會加重陰部的瘙癢和炎症。
2.儘量少吃辛辣、刺激的食物。例如:洋蔥、胡椒、辣椒、花椒、芥菜、茴香。
3.避免吃油炸、油膩的食物。如油條、奶油、黃油、朱古力等,這些食物有助濕增熱的作用,會增加白帶的分泌量,不利於病情的治療。
4.戒菸戒酒、咖啡等興奮性飲料。
外陰纖維瘤應該如何預防?
多見於育齡婦女,生長緩慢,一般不惡變.多位於大陰唇,大小差異很大,一般綠豆到櫻桃大小,光滑,質硬,可以推動,表面有溝紋,色澤如正常皮膚,呈淺黃色或深紅色,以單發為主,生長緩慢。
預後:女性外陰的良性腫瘤,如乳頭瘤、纖維瘤等,並不多見。它們是生長在大陰唇外側的單個腫瘤。宜手術切除,切除物送病理檢查。
醫學疾病任務——婦科
| 婦科是醫療機構的一個診療科目,是婦產科的一個分支專業,是以診療女性婦科病為診療的專業科室。女性生殖系統所患的疾病才叫婦科疾病。婦科疾病的種類可分很多種,本任務包含大多數婦科疾病。 |

