病因
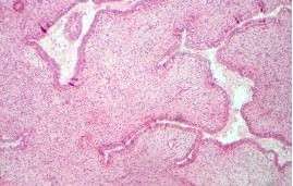
乳腺纖維腺瘤組織切片臨床表現
主要為乳房無痛性腫塊,很少伴有乳房疼痛或乳頭溢液。腫塊往往是無意中、洗澡時,或體檢中被發現。單發腫塊居多,亦可多發,也可兩側乳房同時或先後觸及腫塊。多為圓形或橢圓形,直徑常為1~3cm,亦有更小或更大者,偶可見巨大者。境界清楚,邊緣整齊,表面光滑,富有彈性,無壓痛,活動度較大,與皮膚無粘連。
檢查
乳腺纖維腺瘤組織切片能顯示乳房各層次結構及腫塊形態、大小及回聲狀況。乳腺纖維腺瘤彩超多為圓形、卵圓形均勻低回聲腫物,多可見光滑清晰的包膜回聲,腫塊後方回聲正常或輕微增強,可見側方聲影,腫塊內可見伴聲影的粗大鈣化。彩色都卜勒顯示腫塊內多無血流信號或見少量血流信號,RI<0.7。
2.乳腺X線攝影
青春期女孩,緻密型乳腺,不適宜進行乳腺X線攝影。中年及以上婦女乳腺X線片纖維腺瘤表現為圓形、卵圓形腫塊,也可呈分葉狀,直徑多為1~3cm,邊緣光滑清楚,與等體積的正常腺體比較,腫塊呈等或稍高密度,周圍可有低密度暈環。部分病灶內可見鈣化,鈣化多位於腫塊中心或邊緣,多呈粗顆粒狀、樹枝狀或斑點狀,也可相互融合成大塊狀,占據腫塊大部或全部,與乳腺癌的成簇沙粒樣鈣化灶不同。
3.乳腺病灶活檢
根據病史、體檢或影像學檢查難以鑑別的乳腺腫塊,可採取穿刺或手術切除的方法,進行組織病理學檢查,明確診斷。
診斷
乳房位於體表,典型的乳腺纖維腺瘤相對容易診斷。青少年女性,無意中或體檢中發現乳房無痛性腫塊1~3cm,圓形或卵圓形,與周圍無粘連,活動度大,觸診有滑脫感;生長緩慢,與月經周期無關;臨床可考慮為乳腺纖維腺瘤。但對於妊娠後,特別是絕經後婦女,乳房發現無痛性腫塊,要提高警惕,不要輕易診斷乳腺纖維腺瘤,應藉助影像學檢查鑑別診斷,必要時需依據病理組織學檢查確診。
治療
乳腺纖維腺瘤乳腺纖維腺瘤是常見的良性腫瘤,極少惡變。發展緩慢,沒有症狀,不影響生活和工作,可以密切觀察定期隨診。
2.外科手術切除
(1)觀察過程中,如乳房自查或去醫院檢查,發現纖維腺瘤有增大傾向,或彩超原顯示腫塊內無血流信號現可見大量血流信號,應手術切除。
(2)乳腺纖維瘤患者,準備懷孕之前,應進行纖維腺瘤切除術。原因:a.乳腺纖維腺瘤的發生與雌激素水平升高有關,妊娠、哺乳期,隨著體內激素水平的變化,可導致腫瘤體積迅速增大。b.妊娠期乳腺不宜進行手術及有創性檢查,哺乳期亦不適合手術。
(3)青少年巨大纖維腺瘤(幼年性纖維腺瘤),因腫瘤生長快,體積大,對正常乳腺組織產生擠壓,應考慮手術切除,手術不會對以後的妊娠、哺乳產生不良影響。
(4)有乳腺癌家族史者可考慮手術切除。
3.乳腺微創鏇切手術
選擇乳腺纖維腺瘤診斷明確者(不適宜乳腺癌的治療)。利用真空輔助鏇切設備,在乳腺超聲引導下,一次進針多次切割將腫瘤切除。切口僅0.3cm,恢復快,美學效果好。纖維腺瘤完整切除後很少復發,但可再發。
預防
建立良好地生活飲食習慣,避免和減少心理緊張因素,保持心情舒暢。控制高脂肪、高熱量飲食的攝入,不亂服用外源性雌激素。掌握乳房自我檢查方法,養成每月一次的乳房自查習慣,若發現原因不明的乳腺結節,應及時去醫院診斷。積極參加乳腺癌篩查。
醫學疾病任務——婦科
| 婦科是醫療機構的一個診療科目,是婦產科的一個分支專業,是以診療女性婦科病為診療的專業科室。女性生殖系統所患的疾病才叫婦科疾病。婦科疾病的種類可分很多種,本任務包含大多數婦科疾病。 |

