病因
外陰假上皮瘤樣增生具體病因不詳,可能與外陰潮濕或分泌物長期刺激有關 發病機制:外陰表皮的棘細胞層增生,上皮腳向下延伸,但越向下伸展,則細胞減少而釘腳變細,末端鈍圓,釘腳的延伸方向平行,釘腳間可有淋巴細胞或少量漿細胞浸潤,但上皮細胞排列整齊,細胞大小、極性、形態染色正常。 實驗室檢查: 腫瘤標誌物檢查。 其它輔助檢查: 病理活檢:先用1%甲苯胺藍塗抹外陰病損處乾燥後用1%醋酸脫色,在不脫色區活檢,甲苯胺藍為核染色劑不脫色區常表示有裸核存在。若病檢結果提示不典型增生或原位癌,則應歸屬於外陰上皮內瘤樣病變。
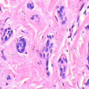
發病機制
外陰表皮的棘細胞層增生,上皮腳向下延伸,但越向下伸展,則細胞減少而釘腳變細,末端鈍圓,釘腳的延伸方向平行。
釘腳間可有淋巴細胞或少量漿細胞浸潤,但上皮細胞排列整齊,細胞大小、極性、形態、染色正常。
臨床表現
多見於中年或絕經後的老年婦女,主要表現為外陰瘙癢由於反覆搔抓可使局部皮膚增厚,色素沉著或出現苔蘚樣變。病變可累及大陰唇,陰蒂及陰唇後聯合。病損可孤立、局灶或多發、融合。本病可與外陰浸潤癌並存,惡變率約為2%。
早期症狀
一、症狀體徵:
病變可累及大陰唇,陰蒂及陰唇後後聯合,可為單一或者多發,病變範圍可為局限性,也可為浸潤性。
具體表現為外陰瘙癢,同時由於反覆搔抓,局部皮膚增厚,產生色素沉著的現象或出現苔蘚樣變。
本病可與外陰浸潤癌並存,惡變率約為2%。
檢查
一、腫瘤標誌物檢查:
腫瘤標誌物(TumorMarker)是反映腫瘤存在的化學類物質。
(1)分類
1)腫瘤組織產生,包括:分化抗原;胚胎抗原(AFP,CEA);同工酶(NSE);激素(HCG);組織特異性抗原(PSA,freePSA);粘蛋白,糖蛋白,糖脂(CA125);癌基因及其產物;多胺類等。
2)腫瘤與宿主相互作用後產生,包括:血清鐵蛋白;免疫複合物;急性時相蛋白;同工酶;白細胞介素受體;腫瘤壞死因子等。
二、病理活檢:
對任何可疑病變應作多點活組織檢查。為排除浸潤癌,取材時需根據病灶情況決定取材深度,一般不需達皮下脂肪層。
1)方法:先用1%甲苯胺藍塗抹外陰病損處,乾燥後用1%醋酸脫色,在不脫色區活檢,甲苯胺藍為核染色劑,不脫色區常表示有裸核存在。
2)檢查結果:若病檢結果提示不典型增生或原位癌,則應歸屬於外陰上皮內瘤樣病變。
併發症
可並發外陰浸潤癌。
1、發生年齡:
外陰浸潤癌約占女性生殖道惡性腫瘤的4%左右,其中95%為鱗狀細胞癌,多見於老年婦女。
2、發生部位:
腫瘤可發生在外陰任何部位、單發或多發。
3、臨床表現:
早期:可無症狀。症狀可有外陰瘙癢、外陰糜爛、潰瘍或腫物,如伴感染則局部有滲出、或出血和疼痛。
晚期:可伴泌尿系症狀或排便困難以及消瘦等。
4、大體:
病變可呈結節狀、菜花狀或糜爛、潰瘍狀,邊界清楚,不規則,癌組織脆,基底部質硬。
4、病理檢查:
對外陰腫物、久治不愈的外陰白色病變、糜爛或潰瘍及其他可疑病變均應行活檢或局部病灶切除病理確診。
鑑別診斷
根據臨床症狀及體徵及組織病理檢查可以明確診斷。與外陰上皮內瘤樣病變相鑑別。 治療: 1.一般治療 症狀嚴重、失眠者可加用鎮靜劑。2.藥物治療 局部皮質激素以控制瘙癢。1%~2%氫化可的鬆軟膏1~2次/d,或0.025%氟輕鬆軟膏,3次/d治療往往有效,但停藥後可使症狀重現,故需長期用藥。3.雷射治療 採用CO2雷射治療,破壞真皮層內的神經末梢,以改善瘙癢症狀CO2雷射治療具有創傷小,操作簡單易行等特點,但仍有50%的遠期復發率。4.手術治療 僅適用於反覆藥物治療無效或有惡變可能者。手術方式以單純外陰切除為宜。若創面較大估計術後瘢痕形成可致術後性交痛者可同時行皮膚移植以減少瘢痕攣縮由於同樣存在遠期復發率(約50%),故術後應定期隨訪。
外陰假上皮瘤樣增生應與下列病症相鑑別。
一、外陰上皮內瘤樣病變
1、簡介:
外陰上皮內瘤樣病變是一組外陰病變,是外陰癌的癌前期病變,包括外陰上皮不典型增生及原位癌。多見於45歲左右婦女。
外陰皮膚或黏膜鱗形上皮內不典型增生由基底層開始,不典型增生程度加重時向上擴展,占的層次增加。
另外,還根據細胞排列的異常情況,通過病理細胞學所發現細胞不典型增生的程度和所占的範圍,又將其分成I、Ⅱ、Ⅲ級(即輕、中、重度)。
2、臨床表現:有一部分患者無症狀。
1)常見的症狀為:主要為瘙癢、皮膚破損、燒灼感、潰瘍等。
2)體徵:有時表現為丘疹或斑點,單個或多個,融合或分散,灰白或粉紅色;少數為略高出表面的色素沉著。
預防
1、定期體檢:早期防治可提高生存率,應定期進行身體檢查,注意隨訪。
2、注意個人衛生,保持外陰清潔,忌穿不透氣的化纖內褲,禁用刺激性大的鹼性肥皂清洗外陰。
3、增強體質,提高自身免疫力:注意勞逸結合,多參加體育鍛鍊,多進食富含維生素的新鮮蔬果。
預後
預後良好,一般情況下堅持治療可有效控制病情。僅有少數病例有癌變。
飲食保健
外陰假上皮瘤樣增生食療方(下面資料僅供參考,詳細需要諮詢醫生)
1、海帶綠豆粥
【原料】海帶30克,綠豆30克,白糖適量,粳米100克。
【製作方法】先將海帶洗淨切碎,綠豆浸泡半天,粳米淘洗乾淨,共煮為粥。將熟時加入白糖調味即成。
【用法】每日早晚服用,宜連續食用7天~10天。
【功效】清熱解毒,利水泄熱。適用於陰部瘙癢。
2、薏仁紅棗粥:薏仁30g,紅棗10枚,大米50g.
洗淨,共煮粥食用。有清熱健脾止癢之功。
3、首烏桑葚芝麻粥:何首烏30g.桑葚果10g,黑芝麻10g,大米50g。
洗淨,共煮粥食用。有養血滋陰止癢之功。
4、蒸豬肝:豬肝60g,馬鞭草30g.
將豬肝與馬鞭草切成小塊拌勻,裝在有蓋的碗中,放在蒸鍋內蒸30分鐘即可。1次頓服。有清熱祛濕功效。
外陰假上皮瘤樣增生吃那些對身體好?
(1)宜多吃具有抗外陰腫瘤和白斑作用的食物,如芝麻、杏仁、小麥、大麥、土瓜、烏骨雞、烏賊、烏梢蛇、豬胰、菊花、烏梅、桃子、荔枝、馬齒莧、雞血、鰻魚、鮑魚、蟹、鱟、沙丁魚、文蛤、玳瑁。
(2)疼痛宜吃鱟、赤、龍蝦、淡菜、海參、虎魚、甜菜、綠豆、蘿蔔、雞血。
(3)瘙癢宜吃莧菜、白菜、芥菜、芋艿、海帶、紫菜、雞血、蛇肉、穿山甲。
(4)增強體質、預防轉移宜吃銀耳、黑木耳、香菇、猴頭菇、雞肫、海參、薏米、核桃、蟹、石龍子、針魚。
外陰假上皮瘤樣增生最好不要吃那些食物?
(1)忌咖啡等興奮性飲料。
(2)忌蔥、蒜、姜、桂皮等辛辣刺激性食物。
(3)忌肥膩、油煎、霉變、醃製食物。
(4)忌公雞、豬頭肉等發物。
(5)忌海鮮。
(6)忌羊肉、狗肉、韭菜、胡椒等溫熱性食物。
(7)忌煙、酒。
醫學疾病任務——婦科
| 婦科是醫療機構的一個診療科目,是婦產科的一個分支專業,是以診療女性婦科病為診療的專業科室。女性生殖系統所患的疾病才叫婦科疾病。婦科疾病的種類可分很多種,本任務包含大多數婦科疾病。 |
