病因
發病原因不明。20%~25%有外傷史或在瘢痕的基礎上發生,與大多數軟組織肉瘤一樣,上皮樣肉瘤沒有確定的危險因素。創傷可能是腫瘤發生的因素,發病機理尚不明確。有報導患者染色體22q雜合性缺失,此外還有報導存在8q的異常和21單體。
臨床表現
上皮樣肉瘤發病男性多於女性,,好發於20~40歲青壯年,在兒童和老年人少見,但任何年齡均可發病。
根據發生部位分為遠端型(即經典型,主要位於四肢的末端)和近端型(發生於頭頸部及軀幹),以前者多見。遠端型以手腕部多見,腫瘤表現為生長緩慢的結節或斑塊,如侵犯真皮,可能引起潰瘍,進展期皮損可表現為線狀排列的潰瘍性結節,通常直徑<5 cm,沿血管、神經及筋膜擴散,如累及大神經,可出現疼痛、感覺異常甚至肌肉萎縮。近端型上皮樣肉瘤發病年齡偏大,通常為深部多發軟組織腫塊,體積較大,最大者直徑可達20 cm,好發於頭頸部、盆腔、腹股溝區、會陰肛旁區、外生殖器區等,發生於盆腔者常易產生壓迫症狀。上皮樣肉瘤雖然是一類低度惡性的腫瘤,但由於早期即有淋巴結及肺轉移,所以建議廣泛性或根治性切除。
檢查
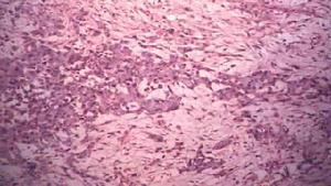
1.組織病理檢查
經典型主要表現為真皮及皮下組織內呈結節狀的腫瘤團塊,瘤體由上皮樣細胞和梭形細胞交織而成,周邊細胞可呈柵狀排列,腫瘤細胞體積較大,可為多邊形上皮樣細胞,核大深染,有異形性,胞質豐富,嗜伊紅深染,另一類為梭形細胞,瘤體內可有片狀壞死,間質有明顯纖維結締組織,可有不同程度的炎性細胞浸潤。近端型上皮樣肉瘤腫瘤細胞主要由上皮樣細胞構成,細胞體積較大,異形明顯,核呈空泡狀,常有橫紋肌樣細胞的特徵,可見腫瘤性壞死。經典型和近端型兩型腫瘤免疫組化表現相似,上皮樣肉瘤的腫瘤細胞CK和vimentin 反應呈陽性,EMA 呈陽性。2.影像學檢查
推薦X片、CT、磁共振(MRI)檢查,可更好地了解軟組織受累的情況,腫瘤切除術後MRI可用來鑑別術後改變還是殘留。
診斷
上皮樣肉瘤病程較長,青年男性患者相對多見,發病部位多位於四肢末端。確診主要依靠病理學檢查,組織學特徵之一為瘤細胞聚積成不規則結節樣結構。在對臨床的可疑皮下病灶進行活檢時,最好先行影像學檢查,以明確病變範圍。
治療
廣泛切除或根治性切除,是目前首選的治療方法。手指、腳趾部位的腫瘤,以截肢為宜。由區域淋巴結轉移者,可同時行區域淋巴結清掃術。因腫瘤傾向沿腱膜或筋膜播散及沿淋巴途徑轉移,對位於手掌深在的、較大的腫瘤行肘關節以下截肢較為安全。對於復發病例應行截肢。放化療儘管對晚期患者有益,但其作為輔助治療的價值待研究。
預後
有文獻報導,患者總體5 年生存率為68%,單純皮疹無轉移的患者5 年生存率為75%,區域淋巴結轉移患者5 年生存率為49%,遠處轉移生存不超過5 年,而1 年生存率為46%,手術治療患者比非手術治療患者5 年生存率明顯提高,分別是68%與33%。上上皮樣肉瘤沿淋巴途徑播散是其特徵,故易發生區域淋巴結轉移,腫瘤也可經血液循環轉移至肺、皮膚和腦等臟器。
不良的預後因素包括:男性、老年人、腫瘤直徑大於5厘米、位置深在、細胞核具有多形性和分裂活性高、血管和/或神經侵犯、多次復發伴/不伴診斷時淋巴結轉移。

