流行病學
卵泡腺細胞增殖綜合徵較少見。
病因
卵泡腺細胞增殖綜合徵本徵病因機制不詳由於本徵在某些方面與“多囊卵巢綜合徵”有共同之處,例如月經稀少、閉經、多毛、肥胖以及卵巢增大,所以過去人們將兩者並為一談。卵泡腺細胞增殖綜合徵患者睪素的增加,可能與卵巢內某些酶的缺乏有關,並導致雌激素的生成障礙,同時引起下丘腦-垂體功能紊亂。這點似乎與多囊卵巢綜合徵也相似。
但從病理及臨床表現上來看,本徵患者卵巢沒有增厚的纖維化包膜在卵巢皮質間質中有一層周圍的卵泡膜細胞增生,卵泡大都是原始濾泡,並有男性化的臨床特殊表現,故有關本徵的發病機制有待今後進一步探討。
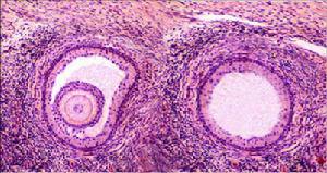
發病機制
症狀1.大體觀 卵巢常呈雙側性增大最大直徑可達7cm,卵巢表面光滑、乳白色有光澤皮質內有小囊向表面突起,其表面還可以見到很多散在的小黃色區域,多發性小囊內充滿清液。
2.鏡檢 卵巢表面呈間質膠原化,其間有很多的原始濾泡,而有早期的生長濾泡較深處有很多大小不等的囊性濾泡,並有一層黃素化的增生的內卵泡膜細胞,未見黃體。離囊性濾泡較遠處,有很多的多邊形間質卵泡膜細胞形成的小巢,這些細胞內含有類脂質。
臨床表現
卵泡腺細胞增殖綜合徵1.月經改變、肥胖 本徵絕大部分患者一開始就表現月經稀少最終可導致閉經明顯肥胖。
2.男性化徵象 患本徵者面頰部、下頜及頸部出現多毛也可見生須、喉結增大、不同程度的乳房萎縮陰蒂肥大。
3.婦科檢查所見 患者陰道壁光滑、萎縮,宮頸萎縮。剖腹探查時可見子宮、輸卵管正常,雙側卵巢增大。
併發症:
常伴有男性化。
診斷
組織學上發現在遠離卵泡的卵巢間質中,有形態學上類似泡膜細胞而含有脂肪的細胞時可以確診為卵泡腺細胞增殖綜合徵,當這些病理現象伴隨著臨床上男性化,就可以診斷為卵泡腺細胞增殖綜合徵。臨床表現與多囊卵巢綜合徵類似兩者易混淆。
鑑別診斷:
與多囊卵巢綜合徵相鑑別
檢查
發育實驗室檢查:
2.睪酮增高 多毛患者的睪酮水平比正常婦女的平均值要高,但也有1/3的本徵患者可在正常範圍內。
3.地塞米松抑制試驗正常,用絨毛促性腺激素後,可有顯著的升高
4.患者尿17-羥、17-酮均正常。
5.服葡萄糖耐量試驗顯著異常。
其它輔助檢查:
組織病理學檢查。
相關檢查:尿素、睪酮、葡萄糖耐量試驗
治療
本綜合徵尚無特殊的治療方法使其排卵或恢復正常月經。對於症狀顯著者可給予潑尼松治療,尤其對多毛和有男性化表現者更為適宜。症狀不緩解者,可手術切除卵巢,術後給予雌激素治療,以維持和保成性發育
預防
早期發現、及時治療、做好隨訪
醫學疾病任務——婦科
| 婦科是醫療機構的一個診療科目,是婦產科的一個分支專業,是以診療女性婦科病為診療的專業科室。女性生殖系統所患的疾病才叫婦科疾病。婦科疾病的種類可分很多種,本任務包含大多數婦科疾病。 |
