病因
子宮切割圖儘管圍絕經期功血多由卵巢衰竭、無排卵、性激素分泌失調造成,但並非每個絕經前婦女都出現功血,因此對於無排卵周期造成子宮出血的確切機制仍有待進一步深入研究。最近的研究認為圍絕經期功血也與種種子宮內膜的局部因素有關其中幾種主要的因素包括:
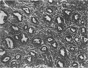
1.血管形態異常通過對功血患者螺鏇小動脈的結構和形態觀察表明,子宮內膜增生過長組中,有螺鏇小動脈異常者占80%。異常血管形態按照發生頻率有血管周圍纖維化,血管內膜下玻璃樣變,血管平滑肌增生或肥大,血管彈力組織變性等。螺鏇小動脈異常干擾子宮內膜微循環功能,影響內膜功能層脫落和剝離面血管和上皮修復,影響血管舒縮功能和局部凝血纖溶功能導致異常子宮出血。
2.纖溶活性增強功血時子宮內膜纖溶酶活化物質增多活性增強,激活纖溶酶原形成纖溶酶。纖溶酶裂解纖維蛋白使纖維蛋白降解產物(FDP)增加鶒,血漿纖維蛋白減少,形成子宮內去纖維蛋白原狀態,從而影響正常內膜螺鏇小動脈頂端和血管湖的凝血止血過程,釀成長期大量出血。
3.局部前列腺素的生成異常的實驗結果顯示,無孕激素對抗的大量雌激素可導致培養的子宮內膜毛細血管內皮分泌前列環素(PGI2)的量增加。其結果造成PGI2與血栓素A2(TXA2)這一對主要調節子宮局部血量螺鏇小動脈、肌肉收縮活性和凝血因素之間的平衡失調在大量PGI2的作用下,子宮螺鏇小動脈、微血管擴張血栓形成受阻,子宮出血時間延長。
4.溶酶體的數量功能異常子宮內膜細胞溶酶體功能受性激素調節,並直接影響前列腺素合成,從而與內膜脫落和出血相關子宮內膜超微結構觀察證實:從卵泡期至黃體期,溶酶體數目和酶活性進行性增加孕酮起到穩定溶酶體膜的作用,而雌激素則破壞溶酶體膜的穩定性因此,當月經前孕酮降低或功血時雌、孕激素比例失調,均將破壞溶酶體膜的穩定性,導致磷脂酶A2從溶酶體中析出釋放而進入胞質體細胞,引起花生四烯酸活化和前列腺素(PGs)大量形成。另一方面溶酶體膜破裂使破壞性水解酶析出和釋放,這將造成內膜細胞破裂、內膜層崩塌、壞死和出血。
發病機制
圍絕經期功能失調性子宮出血2.圍絕經期功能失調性子宮出血患者子宮內膜的病理變化無排卵型功能失調性子宮出血由於子宮內膜缺乏限制其生長的孕酮(P)的作用僅受單一雌激素(E)刺激,故內膜可因血中E水平的高低,E作用持續時間的長短以及子宮內膜對E反應的敏感性而呈現不同程度的增生狀態。少數呈萎縮性改變。
(1)增殖期子宮內膜:子宮內膜所見與正常月經周期中的增生期內膜無區別,只是在月經周期後半期甚至月經期,仍表現為增生期形態。
(2)子宮內膜增生過長:根據國際婦科病理協會(ISGP,1998)分類如下:
①簡單型增生過長(腺囊型增生過長):指腺體增生有輕至中度的結構異常子宮內膜局部或全部增厚,或呈息肉樣增生。鏡下特點是腺體數目增多,腺腔囊性擴大,大小不一,猶如瑞士乾酪樣外觀,故又稱瑞士乾酪樣增生過長;或腺體輪廓不規則,腺體較擁擠,腺體與間質比例增加;但無腺體背靠背現象和細胞的異形性。腺上皮細胞為高柱狀,可增生形成假復層,核橢圓形,染色質緻密,可見核仁;胞質含有豐富的RNA染色略藍,並可見透亮狀細胞,系進行分裂的細胞停止在分裂前期或中期所致脫氧核糖核酸合成活躍,細胞內常有糖原小滴及脂質顆粒,腺體含有較多黏液尤其是酸性黏多糖,在細胞頂緣間質常出現水腫、壞死、伴少量出血和白細胞浸潤。
②複雜型增生過長(腺瘤型增生過長):指腺體增生擁擠且結構複雜。子宮內膜腺體高度增生呈出芽狀生長,形成子腺體或突向腺腔,腺體輪廓不規則,可呈鋸齒狀或乳頭狀,腺體擁擠密集,形成背靠背現象,腺體間僅少量結締組織腺上皮細胞生長活躍,呈高柱狀,復層或假復層,透亮細胞增多;胞質內富於RNA,核內有豐富的脫氧核糖核酸,分裂活躍,分裂象增多;腺細胞可發生纖毛化生,嗜伊紅化生漿液乳頭狀化生等;間質內可出現成熟的鱗化細胞,或小結節狀較不成熟的鱗形細胞,甚至突向腺腔形成桑椹樣結構;間質內尚可見含脂質的泡沫細胞。總之,在複雜型增生過長的內膜中腺體具有各種結構異常及腺上皮的增生,但腺上皮細胞的形態仍是正常的,各種化生細胞的核是規則的不具有惡性細胞的特徵,仍屬良性病變。
③不典型增生過長:即癌前期病變10%~15%可轉化為子宮內膜癌。不典型增生過長的內膜在上述簡單型和複雜型兩種增生過長的基礎上,腺上皮出現細胞的異形性,小區域腺體可出現篩狀結構,腺細胞呈復層或假復層,排列紊亂,細胞大小、形態不一,核增大深染、極性喪失,核漿比增加,核仁明顯,染色質不規則聚集,染色質旁透亮,並可有巨核細胞,細胞內及腺腔內有炎性滲出。複雜型與不典型增生過長的鑑別,主要在細胞核的改變健康搜尋。輕度異形性細胞,細胞核增大,染色質細、分布均勻;中度異形性細胞,核增大並有多形性,核仁明顯;染色質成簇、分布不均勻。細胞不典型出現於簡單型增生過長中者,稱簡單型伴細胞不典型增生過長(簡單的非典型的增生);細胞不典型出現於複雜型增生過長中者稱複雜型伴細胞不典型增生過長(複雜的非典型的增生)。
④萎縮型子宮內膜:檢出率1.9%~21.9%。子宮內膜萎縮菲薄,腺體少而小,腺管狹而直,腺上皮為單層立方形或低柱狀細胞,間質少而緻密,膠原纖維相對增多。
臨床表現
診斷無排卵功能失調性子宮出血往往先有數周或數月停經,然後有多量出血,也可一開始即為陰道不規則出血。臨床可表現為月經過多、月經頻發子宮不規則出血、子宮不規則過多出血。
併發症:
嚴重出血或出血時間長可導致貧血,休克和感染。
圍絕經期功能失調性子宮出血的診斷必須首先排除全身及生殖系統器質性病變,除外醫源性因素,如濫用性激素導致的異常出血等。診斷未明確前不可盲目進行激素治療。
1.病史仔細詢問個人月經史、生育及避孕史、發病年齡、發病情況、可能誘因有無甲狀腺、腎上腺、肝臟與血液病及其治療史,性激素治療情況尤應注意所用激素和藥物的名稱、劑量、療效、激素測定和內膜診刮的病理結果對診斷和進一步治療有十分重要的參考價值。
2.體格檢查注意全身營養、精神狀況、有無貧血血液病、出血疾病症狀體徵(出血點瘀斑、紫癜和黃疸)、淋巴結和甲狀腺及乳房檢查。盆、腹腔有無腫物和肝脾是否腫大等。
3.婦科檢查已婚婦女應常規作三合診檢查。注意觀察出血量、來源、性質子宮頸、子宮、卵巢有無腫瘤、炎症、子宮內膜異位症等器質病變。肛查了解後盆腔和直腸情況。
鑑別診斷
細胞圖1.妊娠及妊娠相關疾病
(1)流產:當患者無停經史而伴有不規則少量陰道出血,尤其近圍絕經期者,容易誤診為功能失調性子宮出血。
(2)宮外孕:部分宮外孕患者無停經史而以不規則陰道出血為主要表現,個別還可表現為較多量的陰道出血,如以“功能失調性子宮出血”給予雌孕激素治療,常可導致嚴重後果,可能發生輸卵管妊娠破裂。
(3)滋養細胞疾病:近圍絕經期葡萄胎患者可能被忽略妊娠的可能性無葡萄胎史的絨癌患者也可能誤診功能失調性子宮出血延誤確診時間。
2.生殖器官腫瘤
(1)子宮肌瘤:尤以小型黏膜下肌瘤伴有不規則陰道出血的圍絕經期患者可能誤診。應了解子宮基本正常大小時,仍有器質性疾患存在的可能。若按功能失調性子宮出血治療無效時,更應進一步確定診斷。
(2)宮頸及子宮惡性腫瘤:如子宮內膜癌往往以不規則陰道出血為主要症狀。如不及時行診刮術則可能誤診為功能失調性子宮出血而延誤治療。
(3)功能性卵巢腫瘤:如卵巢顆粒細胞瘤及卵泡膜瘤,可因腫瘤分泌的雌激素作用導致子宮內膜增生過長,如僅針對內膜病變治療,則延誤了卵巢腫瘤的診斷。
3.生殖器的其他器質性疾患常見的有子宮內膜異位症、子宮肌腺病、盆腔炎盆腔結核,尤其在子宮內膜結核的早期,以及子宮內膜息肉、宮內節育器所致不規則陰道出血均常與功能失調性子宮出血混淆。
4.全身性疾病包括急性感染、血小板減少症、再生障礙性貧血、白血病、肝硬化、以及抗凝血治療等,都有可能在一段時期內被誤為“功能失調性子宮出血”。
檢查
治療1.性激素測定為反映體內生殖內分泌狀態和卵巢功能最確切的指標。於激素治療前,或在基礎體溫(BBT)指導下擇期採血,測定FSH、LH催乳素(PRL)、雌二醇(E2)、孕激素(P)、睪酮(T)水平區別功能失調性子宮出血類型、與多囊卵巢綜合徵、高泌乳素血症鑑別,從而指導臨床制定治療方案,使治療更具有針對性。
2.陰道脫落細胞塗片動態觀察陰道脫落細胞通過陰道上皮細胞成熟指數(MI)了解體內E水平作為診斷、分型及治療中的監測指標。
其它輔助檢查:
1.宮頸黏液評分了解體內E水平,如在出血前甚至流血期宮頸黏液仍呈羊齒狀結晶則提示為單一E作用,無排卵功能可作為功能失調性子宮出血臨床分型、E水平估量和觀察療效的簡易指標。
2.BBT是功能失調性子宮出血診斷中最常採用的簡單易行的方法之一根據BBT相,結合其他監測指標,作為功能失調性子宮出血分型,觀察療效以及指導治療的最簡單易行的手段。
3.診斷性刮宮術可了解子宮內膜與卵巢功能狀態又能直接止血。對圍絕經期出血及有內膜癌高危因素者,應首先行分段刮宮術,排除惡性病變。診刮必須全面刮除子宮內膜功能層組織物送病理檢查。還應注意宮腔深度、形態、宮壁是否光滑等。診斷性刮宮術的敏感性78.8%~84.5%特異性100%。
4.B型超聲B超可以發現被診刮忽略的黏膜下小肌瘤,發現卵巢腫瘤,子宮內膜厚度測量與動態觀察等。由於其無創傷和可重複性,對功能失調性子宮出血的診斷和鑑別診斷、判斷治療效果及指導臨床治療均起重要作用。
5.宮腔鏡檢查宮腔鏡檢查能直接觀察宮內及頸管內病灶的外觀形態、位置和範圍對可疑病灶進行定位活檢。故對久治不愈的功能失調性子宮出血宮腔鏡檢查有助於發現子宮內病變並可在直視下選點取材,減少誤診宮腔鏡檢查的敏感性94.1%,特異性95.5%。
治療
子宮圖析1.一般治療在明確功血的診斷後應注意患者的全身情況。了解出血的時間和貧血的程度。對輕度貧血者(血紅蛋白80~100g/L),可給予口服鐵劑,常用的製劑有硫酸亞鐵,0.3g,3次/d;琥珀酸亞鐵(速力菲),0.1~0.2g,3次/d;輔以維生素C0.1g3次/d。伴有胃腸道疾病時,可採用鐵劑注射,如右鏇糖酐鐵50~100mg,肌內注射,1次/d。對重度貧血者(血紅蛋白<60g/L),應臥床休息除應補充鐵劑外,還應少量多次輸血,可給予濃集紅細胞1~2U,1~2次/周,同時注意營養,補充維生素。出血時間長者,為防止感染,可適當選用抗生素。
2.止血對圍絕經期功血所適用的止血方法有刮宮,孕激素內膜脫落法止血劑,合成孕激素內膜萎縮法。宮縮劑被認為無明顯止血效果。
(1)刮宮:據統計,有一定數量的功血患者在刮宮後自然痊癒。Mock僅用刮宮術,即獲得83%的治癒率因為退化變性的內膜被刮除後,流血會自然停止。刮宮是最迅速而有效的止血方法,特別是在出血嚴重,出血時間長,威脅患者的健康時能迅速止血。圍絕經期功血者應常規給予刮宮術,可採用分段刮宮,刮宮應徹底,既起止血作用又可通過對刮出物的病理檢查,了解內膜增生情況,除外內膜惡變但如出血量不多,近期刮宮病檢陰性者則不必反覆進行
(2)孕激素內膜脫落法:孕激素止血適用於患者體內尚有一定的雌激素水平時,此時加上孕激素的作用,可使子宮內膜發生分泌期變化而能完全剝脫,然後在自身的雌激素影響下修復而出血停止。這種止血的方法亦稱為“藥物性刮宮”此法的缺點是撤退開始第2~3天出血較多尤其是在子宮內膜積累較厚及在第一次使用時,有時血紅蛋白可下降20~30g/L。為彌補出血多的缺點,可加用丙酸睪酮減少撤退出血量睪酮能對抗雌激素的作用,減少充血,從而減少出血量。故此法適用於子宮出血量不多,貧血不明顯者,若患者因子宮出血而血紅蛋白已降至60g/L時,不宜用撤退法止血,避免血紅蛋白進鶒一步下降造成嚴重貧血。
孕激素可選用黃體酮或人工合成的孕激素類黃體酮20mg/d,3天停藥後一般1~3天即有撤退性出血。若用孕激素偶爾引起排卵,則停藥後可能10餘天才有撤退性出血。合成孕激素可選用炔諾酮(婦康片)5~10mg/或醋酸甲地孕酮(甲地孕酮,婦寧片)8~12mg/d,或甲羥孕酮(安宮黃體酮)10~16mg/d,或醋酸甲羥孕酮(甲孕酮,普維拉)50~100mg/d,共5天,停藥後亦同樣有撤退性出血。注射法用藥時間短作用可靠。為減少出血量可同時配伍丙酸睪酮25~50mg/d,5天撤退出血應在7~10天內停止否則應懷疑功血診斷之正確性。
(3)合成孕激素內膜萎縮法:此法止血適用於伴有重度貧血且已除外宮腔惡性病變的更年期患者。所用合成孕激素量應大,連用20天,若有突破性出血可配伍小量雌激素。原理是通過大量孕激素作用,使內膜同步性分泌化而止血鶒,孕激素繼續持續作用則可使內膜由分泌向萎縮轉變,停藥後出現集中性撤退出血。常用的方法有:炔諾酮5~7.5mg或醋酸甲地孕酮(甲地孕酮)、甲羥孕酮(安宮黃體酮)8~10mg,每4~6小時1次。經3~4次口服後(24~36h)流血停止,改每8小時1次口服。然後每3天遞減1/3劑量直至維持量炔諾酮2.5~5mg,或醋酸甲地孕酮(甲地孕酮)、甲羥孕酮(安宮黃體酮)4~6mg/天,於止血後20天停藥。也可肌注己酸羥孕酮(複方己酸孕酮)1支:己酸羥孕酮(己酸孕酮)250mg+戊酸雌二醇5mg,1~2天血止於7~10天再肌注1支即為1個周期。從撤退出血的第5天開始視個體情況給予鞏固治療或誘導絕經。
(4)止血劑:出血量多時還可加用一般止血劑,包括止血藥抗纖溶藥、前列腺素合成酶抑制劑、凝血因子等。止血藥根據出血量多少,選擇口服或注射。出血量少時可口服維生素C、K,卡巴克絡(安絡血)雲南白藥等出血量多時可採用酚磺乙胺(止血敏)3~5g置入5%葡萄糖水500~1000ml內靜滴。纖溶活性增強被認為是子宮出血的重要因素之一,故臨床也常用抗纖溶藥來減少子宮出血。據研究抗纖溶藥可減少出血約50%。常用的藥物及給藥方式為:氨基己酸4~6g加入10%葡萄糖液100ml快速滴注(15~30min),後改為1g/h速率維持每天總量6~12g;氨甲苯酸(止血芳酸)0.3~0.5g加入10%葡萄糖液100~200ml滴注每天總量0.6~1g;氨甲環酸(止血環酸)0.25~0.5g/d於5%~10%葡萄糖液中滴注。此類藥物有顱內血栓形成的報告,故慎用於有血栓疾患既往史及危險因素的婦女。
前列腺素合成酶抑制劑,又稱非甾類抗炎藥物(NSAIDs)通過抑制環氧化酶降低子宮局部前列腺素水平,以及改變前列腺素E2(PGE2)、前列腺素F2α(PGF2α)和前列腺環素(PGl2)、血栓素(TXA2)之間的比例而減少子宮出血。研究表明1/3的婦女用NSAIDs後可減少出血量20%~30%。常用的藥物有:吲哚美辛(消炎痛)25mg,3次/d;甲芬那酸(甲滅酸)250mg,3次/d;氯芬那酸(氯滅酸)200mg,3次/d。通常用3~5天。常見的副作用有頭痛及胃腸功能紊亂。
出血嚴重時還可補充凝血因子,如凍乾人纖維蛋白原(纖維蛋白原)、血小板新鮮凍乾血漿和新鮮血的輸入。
3.鞏固治療及誘導絕經圍絕經期功血患者的出血被止住後,需要給予進一步的治療,以防復發。目前減少出血、誘導絕經的方法有多種,需視病人的具體情況,如出血量多少,更年期早期抑或更年期晚期而選擇性地套用。過快過早的誘導患者進入絕經將出現較多的絕經症狀以及加重骨質疏鬆,過慢的進入絕經,出血階段延長對患者亦不利常用的方法有以下幾種:
(1)孕激素:只要有足夠劑量和足夠時間,所有孕激素都可使雌激素樣內膜轉為萎縮樣內膜。孕激素因療效確切鶒,價錢便宜,副作用小而成為臨床最常用的療法。對更年期無排卵功血患者,在血止後7~10天,應取陰道塗片了解雌激素水平若陰道塗片水平為輕至中度影響者,有可能再次出血。應於黃體期(周期19~26天)給予孕激素補充治療。肌注黃體酮20mg/d,或口服甲羥孕酮(安宮黃體酮)8~10mg/d,或炔諾酮5~10mg/d使內膜定期撤退。此方法可使月經血量減少15%。如欲進一步減少撤退性出血,還可加用丙酸睪酮25~50mg肌注,1次/d但需注意丙酸睪酮有抑制卵巢功能、加速絕經的作用,故套用時應結合病人的個體情況決定使用的劑量及時間。
圍絕經功血的出血量與子宮內膜的增生程度密切相關若在單獨雌激素影響下達3個月內膜將生長較厚,則撤退出血勢必較多因此每停經1~2個月即應撤退1次。若用撤退法而無撤退出血即說明卵巢分泌雌激素量甚少,不足以準備子宮內膜因而無撤退出血,標誌著已進入絕經可停用撤退法臨床觀察。一般用藥約3~6次短者1~2次,長者約10餘次後即進入絕經。對於近絕經期患者,孕激素既可使月經量減少,還有抑制子宮內膜增生過長、癌變的作用。採用控制式釋放左鏇炔諾孕酮(18甲基炔諾酮)的宮內節育器3個月,可使月經血量明顯減少。當然放入此節育器前首先要除外內膜惡性病變。他認為,如40歲的婦女放置此節育器,到絕經前僅需更換1~2次即可,同時還有避孕作用。
(2)促性腺激素釋放激素激動劑(GnRH-A):許多學者利用GnRH-A的性腺抑制作用,即藥物閹割作用治療圍絕經期功血取得了滿意的療效。GnRH-A能與垂體中特異受體結合,抑制促性腺激素釋放從而使雌、孕激素下降至絕經期水平,進而導致子宮內膜萎縮。GnRH-A的抑制作用大致需要3周時間所以急性出血時需先用常規治療方法。待血止後按病人具體情況選用GnRH-A。現一般多用其長效製劑,3.75mg一支,1個月注射1次,根據病情使用2~3個周期。大多數病人在用藥4~6周后出現閉經。部分更年期晚期病人可能就此進入絕經期。
GnRH-A的主要副作用為短期內形成的低雌激素水平導致的更年期症狀和骨質丟失,故不宜較長期使用。一般最長不應超過6個月。由於GnRH—A對性腺的抑制作用是可逆的,一旦停藥,以上副作用均可消失。為了防止骨質疏鬆,也有人嘗試在用藥期間加用小劑量的雌激素,即所謂的“墊背”療法。此療法是否適用於功血的治療,有待進一步的研究Vercellini的研究認為,GnRH-A同其他激素藥一樣能緩解出血症狀,有選擇的短期套用可以避免輸血和急診手術,可作為治療的首要步驟。治療後血紅蛋白升高,隨之可行周期性孕激素治療。
(3)達那唑:是一種稍具雄激素性質的17α-乙炔睪酮異嗯唑衍生物,通過直接酶抑制甾體性激素的合成以及競爭性抑制甾體性激素與雄激素、孕酮受體的結合而起作用較大劑量還可改變脈衝式促性腺激素的釋放並抑制排卵其減少子宮出血的機制是造成內膜萎縮,故適用於更年期功血的治療研究表明,達那唑200mg/d連用3個周期,可減少出血58.9%,而且其減少出血的作用在停藥4個月內仍起效應。如將其劑量減到100~50mg則其療效相應降低,並可導致月經紊亂。如增加劑量至400mg/d可致閉經經過隨機分組實驗表明,達那唑減少出血的作用優於甲芬那酸(甲滅酸)和炔諾酮。後兩者在500mg,3次/d和5mg,3次/d(周期第19~26天)的劑量下分別減少出血量為22.2%和10%~15%。達那唑的副作用有頭痛或周期性偏頭痛、腹脹、肌肉痙攣、體重增加、痤瘡及抑鬱等。每天200mg之劑量時,副作用小,多數患者可耐受。有學者將達那唑推薦為需要藥物治療的功血患者的一線選擇。
4.手術治療儘管已有多種藥物可用來治療圍絕經期功血但仍有部分患者最後需求助手術才得以根治。對發病年齡早,反覆治療多年,或因生活工作條件不能長期治療及觀察者,超過40歲,可考慮手術切除子宮此類患者常在40歲時發生子宮肌瘤,更是手術指征。近絕經婦女,多次診刮提示內膜複雜性和非典型增生,合併子宮肌瘤、子宮肌腺症、嚴重貧血者亦為子宮切除術的指征若年齡達54~55歲卵巢功能仍不衰退,陰道塗片雌激素水平仍高而不斷出血者,為避免子宮內膜惡變應考慮切除子宮及卵巢。
至於手術方法,除傳統的經腹、經陰道子宮切除術外,還有腹腔鏡下全子宮或次全子宮切除,腹腔鏡輔助的經陰道子宮切除術,宮腔鏡下子宮內膜切除術等。對於圍絕經期功血患者應儘可能選擇創傷小的手術途徑及手術方法。對以往無盆腹腔手術史,無盆腔炎史,無附屬檔案腫瘤者應選擇經陰道子宮切除,其創傷要明顯小於經腹子宮切除,術後疼痛亦輕,恢復亦快。對有相對陰道手術禁忌證者,則可術前加用腹腔鏡輔助,在腹腔鏡下評價盆腔情況,去除影響陰道手術的因素再經陰道切除子宮。此術式即使加用了腹腔鏡,仍比開腹手術創傷要小。至於腹腔鏡下全子宮切除術,雖然它具備創傷小的優點,但需複雜的儀器和受過特殊訓練有經驗的醫生,且費時較多,目前還處於發展階段,尚不普及。
子宮結構圖總之圍絕經期功血的治療方法有多種醫生應根據患者的具體情況選擇決定,使患者儘快擺脫貧血狀態,安全平穩地過渡到絕經期。
