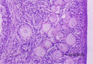
卵泡
卵泡超聲顯像對檢測卵泡發育和有否排卵提供了一項有效的方法,對卵泡發育的異常和各種排卵障礙能比較明確地進行診斷。臨床上最常見的異常有卵泡發育不良、和無卵泡發育。
分類及特徵
卵泡b.生長卵泡:
初級生長卵泡:一層或多層立方形卵泡細胞,卵細胞與卵泡細胞之間出現紅染的透明帶,卵泡外圍出現結締組織的卵泡膜。
次級生長卵泡:卵泡細胞之間出現卵泡腔,有的卵泡腔很大,形成卵丘。位於卵泡內壁上的卵泡細胞密集排列成數層,稱為顆粒層。卵泡膜可分出內膜及外膜兩層。
c.成熟卵泡:卵泡腔很大,卵丘很明顯。卵泡內膜細胞緊靠卵泡顆粒層,與顆粒層細胞之間有一層基膜相隔,內膜細胞呈多邊形,胞質清亮,胞核圓形,細胞間可見許多毛細血管,外膜細胞位於最外層,多呈梭形,與周圍結締組織分界不明顯。放射冠。
d.閉鎖卵泡:卵細胞結構不清晰,甚至消失,透明帶皺縮,卵泡壁塌陷。
卵泡囊腫
卵泡慕雄狂(nymphomania)是卵泡囊腫的一種症狀表現,其特徵是持續而強烈的表現發情行為。
但並不是所有的卵泡囊腫都具有慕雄狂的症狀,也不是只有卵泡囊腫才引起慕雄狂。卵巢炎、卵巢腫瘤以及內分泌器官(腦下垂體、甲狀腺、腎上腺)或神經系統(主要是丘腦下部)機能擾亂都可發生慕雄狂。在後一種情況,檢查卵巢找不出任何變化,有時卵巢體積甚至縮小。
卵泡發育
卵泡⑴卵泡出現時間:每個月經周期開始有多個卵泡同時發育但一般僅1個或2個卵泡發育至成熟,稱主卵泡(優勢卵泡),其餘卵泡相繼閉鎖。據報導,90%以上的周期只有一個卵泡迅速生長至成熟,5%-11%有2個主卵泡發育。卵泡超聲顯像最早時間可在月經周期第5-7天,顯示的最小直徑為4-5mm。
⑵卵泡生長速度:超聲在月經周期第3-5天,可在卵巢內發現小卵泡,以後逐漸長大,平均第14天最大,可發生排卵。月經第5天到排卵前,主卵泡平均每日增長1.5mm;第10天前平均每天增長1.2mm,排卵前4天平均增長1.9mm,至卵泡發育成熟。
成熟卵泡可顯示如下特徵:①卵泡呈圓形或橢圓形,直徑達15-30mm(21.2+-0.53mm),卵泡內呈無回聲區,清亮純淨,邊界清晰,壁菲薄。②20%成熟卵泡在排卵前一天,可見卵丘(cumulusoophorus)圖像,在卵泡內近壁處呈短強回聲。
⑶臨近排卵卵泡超聲圖像:①卵丘出現率約20%,大多出現在>18mm成熟卵泡中,預測排卵發生在24小時內。②卵泡周圍透聲環,隨lh值上升,膜組織水腫,粒層細胞從膜層細胞分離而形成。預測排卵發生在24小時內。目前超聲顯示機率很低。③卵泡壁粒層細胞與膜組織底層完全分離,出現卵泡壁齒狀。
卵泡圖解
卵泡(folliole)卵巢皮質內由一個卵母細胞和其周圍許多小型卵泡細胞所組成。根據卵泡發育過程的形態和功能變化,可分為原始卵泡、生長卵泡和成熟卵泡三個階段。女性的原始卵泡是與生俱來的,新生兒兩側卵巢就有70萬~200萬個原始卵泡,到青春期約有4萬個原始卵泡。每一月經周期中只有一個卵泡生成至成熟,叫做優勢卵泡。其它卵泡受抑制因子(Inhibin)的抑制,停止生長,退化為閉鎖卵泡。成熟的優勢卵泡迅速長大,直徑達20mm,並逐漸移行至卵巢表面,其貼近部分因無血管,呈半透明圓錐狀,稱排卵斑(Stigma),突出於卵巢的表面,準備排卵。
生長類型
①迅速增長型,一日間卵泡直徑可增長一倍;
②排卵前2~3天,每日增長2~3mm;
③排卵前數小時內可增長6~7mmc。
優勢卵泡
卵泡優勢卵泡的標準是怎樣的呢?生長卵泡(growingfollicle)初級卵母細胞增大,細胞內發生明顯的RNA與蛋白質的合成。卵泡細胞變成立方或柱狀後,迅速增殖成多層。在卵母細胞與卵泡細胞間形成一層厚膜,稱透明帶(zonapellucida),為凝膠狀糖蛋白複合體。電鏡下可見卵母細胞表面的微絨毛和卵泡細胞的突起伸入透明帶內,這有利於卵泡細胞將營養物質輸送給卵母細胞。透明帶在與精子種的識別上及阻止多精入卵均具有重要作用。卵泡細胞繼續增殖,卵泡細胞間的小腔隙漸融合成一個較大的卵泡腔,腔內充滿卵泡液,內含透明質酸、雌激素和營養物質。優勢卵泡的標準隨卵泡液的不斷增多和卵泡腔的繼續擴大,卵母細胞及其周圍一些卵泡細胞被壓擠至卵泡的一側,並突向卵泡腔,稱卵丘。其餘構成卵壁的卵泡細胞密集排列成數層,稱粒層。緊靠透明帶的一層柱狀卵泡細胞,呈放射狀排列,稱放射冠。卵泡周圍的結締組織形成兩層卵泡膜,內層細胞多,富含毛細血管,內層細胞與卵泡細胞共同完成分泌雌激素的作用;外層纖維多。從青春期開始,每個周期有數個至十數個卵泡生長、發育,但只有一個卵泡發育成熟,偶有兩個,其餘卵泡均閉鎖。
排卵
增大的卵泡接近卵巢皮層,卵泡壁和腹腔只隔有一層上皮細胞,卵泡壁內壓力並未增高,血液供應增加,卵泡壁水腫、變薄,纖維蛋白溶菌酶,活化膠原酶,前列腺素作用於卵泡壁的基底膜,消化卵泡壁的蛋白並使周圍平滑肌收縮,上皮細胞壞死,釋放水解酶、蛋白酶,排卵孔形成,卵泡破裂,內容物排出。卵母細胞以很少的一束卵丘細胞和顆粒細胞相連,此束斷裂後,卵冠丘複合物排出。排卵後14天左右,伴隨子宮內膜脫落的周期性出血便是月經。黃體形成
排卵後毛細血管及來自周圍基質的纖維母細胞增生進入基底膜,首先形成血體,排卵後2—3天,卵泡內膜細胞恢復對LH的反應而黃素化。催乳素促使LH受體的恢復,顆粒細胞也黃素化形成黃體,卵泡發育的不同類型影響黃體的功能。黃體產生雌激素和孕激素,作用於子宮內膜,為胚胎的植入做準備。黃體功能一般持續14±2天左右。由於E2和P的負反饋及抑制素的作用,促性腺激素下降,黃體與排卵後1周開始逐漸退化,經過5個周期變為白體。如果有胚胎植入,產生絨毛膜促性腺激素,就可以維持黃體。妊娠6周時,由於血管及結締組織的增生和黃素化顆粒細胞及泡膜細胞的增大,黃體的體積增大了1倍,以後又逐步發生退行性變,胎盤取代黃體的功能。到妊娠足月時,黃體縮小到月經周期時的一半大小。受孕影響
卵泡的生長速度與程度是否正常,如果在正常範圍應選擇排卵期受孕。在月經規律的前提下,排卵往往發生在下次月經來潮前的14天。成熟卵子排出後的壽命估計為24加減6小時,排卵後12小時之內,卵子的受精能力最強,15-18小時內仍有受精能力,24小時後受精能力喪失。正常射精後精子進入子宮腔能存活2-3天,但其生殖能力僅能保持1-2天;未進入宮腔而滯留在陰道內的精子,其存活時間不超過24小時。所以受精時間應在排卵後24小時以內。卵泡發育不良
卵泡發育不良是指在卵泡晚期,卵泡生長始終不能達到成熟卵泡大小,且功能差,分泌雌激素不足,臨床檢查宮頸評分不能達到應有高值(>10分)。本組監測發現,此種情況在不孕婦女中甚為多見,發生率可達27.0%,而且在同一患者不同周期反覆出現,重複率達63.8%,即使在其非FM周期亦多有不同程度的異常情況。這種發現提示,FM可能是導致不孕的一個重要原因。Ritchie也曾報導,不孕症中因卵泡發育異常及排卵障礙引起的約占15%~25%,與本組資料相近。
卵泡發育不良的原因
卵泡如果發育不良,就不能正常排卵或者排出的卵子質量不好,都會影響正常受孕,即便精卵相結合,也會容易出現流產、死胎等情況,所以,卵泡發育不良女性要引起重視,應及時到正規醫院進行檢查及治療。
對於卵泡發育不好的情況,就一定要進行檢查並積極治療,不能正常排卵或者排出的卵子質量不好,都會影響正常的受孕生育,為了避免不孕發生,一定要及時發現及時檢查及時治療才是關鍵。
卵泡發育不良的原因主要有以下三點:
1、垂體性無排卵:器質性因素、功能性因素;
2、卵巢性無排卵:多囊卵巢綜合症、單純性腺發育不全綜合徵,性腺形成不全症、卵巢早衰、黃體化未破裂卵泡綜合症;
3、下丘腦性不排卵:原發性器質性因素、原發的功能性因素、繼發性器質性病變、繼發性功能性因素。
卵泡破裂對受孕的影響
卵泡 的生長速度與程度是否正常,如果在正常範圍應選擇排卵期受孕。在月經規律的前提下,排卵往往發生在下次月經來潮前的14天。成熟卵子排出後的壽命估計為24加減6小時,排卵後12小時之內,卵子的受精能力最強,15-18小時內仍有受精能力,24小時後受精能力喪失。
正常射精後精子進入子宮腔能存活2-3天,但其生殖能力僅能保持1-2天;未進入宮腔而滯留在陰道內的精子,其存活時間不超過24小時。所以受精時間應在排卵後24小時以內。
卵泡成熟後排卵
卵泡排卵後到下次月經來潮前這段時期叫黃體期,是黃體發育及退化的時期,一般來說月經周期的長短主要是由卵泡期的長短來決定的。也就是說卵泡期的長短變化比較大,黃體期則相對比較固定,黃體期一般多固定在14大左右。黃體期前即排卵期,所以,排卵期大多數在下次月經來潮前的14天。

