概述
功能失調性子宮出血病分為無排卵型功血和有排卵型功血兩種,前者是排卵功能發生障礙,好發於青春期及更年期;後者系黃體功能失調,多見於育齡期婦女。主要症狀為月經周期紊亂、經量增多、出血時間延長、淋漓不淨等。
病因
功能失調性子宮出血疾病主要是
正常增生的子宮內膜現代醫學認為,機體受內外因素,如精神過度緊張、環境和氣候的改變、營養不良或代謝紊亂等影響,可通過大腦皮層,干擾下丘腦—垂體—卵巢軸的相互調節和制約。這種關係失常時,突然地表現在卵巢功能的失調,從而影響子宮內膜,導致功能失調性子宮出血。中醫認為“腎主生殖”,“腎為生命之源”,“經本於腎”,功能失調性子宮出血多與腎有密切關係,並與肝脾及血瘀等也有一定聯繫。
無排卵性功血原因是促性腺激素或卵巢激素在釋出或調節方面的暫時性變化,機體內部和外界許多因素諸如精神過度緊張、恐懼、憂傷、環境和氣候驟變以及全身性疾病,均可通過大腦皮層和中樞神經系統影響下丘腦-垂體-卵巢軸的相互調節,營養不良、貧血及代謝紊亂也可影響激素的合成、轉運和對靶器官的效應而導致月經失調。排卵性月經失調常由黃體功能不足引起。月經周期中有卵泡發育及排卵,但黃體期孕激素分泌不足或黃體過早衰退,導致子宮內膜分泌反應不良。
症狀體徵
無排卵性功血患者可有各種不同的臨床表現。臨床上最常見的症狀是子宮不規則出血,特點是月經周期紊亂。經期長短不一,出血量時多時少,甚至大量出血。有時先有數周或數月停經,然後發生陰道不規則流血,血量往往較多,持續2~4周或更長時間,不易自止;有時則一開始即為陰道不規則流血,也可表現為類似正常月經的周期性出血。出血期無下腹疼痛或其他不適,出血多或時間長者常伴貧血。婦科檢查子宮大小在正常範圍,出血時子宮較軟。
機理
無排卵性功能失調性子宮出血促性腺激素或卵巢激素在釋出或調節方面的暫時性變化,機體內部和外界許多因素諸如精神過度緊張、恐懼、憂傷、環境和氣候驟變以及全身性疾病,均可通過大腦皮層和中樞神經系統影響下丘腦-垂體-卵巢軸的相互調節,營養不良、貧血及代謝紊亂也可影響激素的合成、轉運和對靶器官的效應而導致月經失調。排卵性月經失調多跟黃體有關。黃體的發育健全有賴於足夠水平的FSH和LH,卵巢對LH也必須具有良好的反應並分泌足量甾體激素。目前認為黃體功能不足因多種因素所致:神經內分泌調節功能紊亂,可導致卵泡期FSH缺乏,使卵泡發育緩慢,雌檄素分泌減少;LH脈衝頻率雖增加,但峰值不高,LH不足使排卵後黃體發育不全,孕激素分泌減少;LH/FSH比率異常也可造成性腺軸功能紊亂,使卵泡發育不良,排卵後黃體發育不全,以致子宮內膜分泌反應不足。有時黃體分泌功能正常,但維持時間短。部分患者在黃體功能不足的同時,表現為血催乳激素水平增高。此外,生理性因素如初潮、分娩後及絕經前,也可能出現下丘腦.垂體-卵巢軸功能紊亂,導致黃體功能不足的發生。
診斷
1.詳細詢問病史應注童患者的年齡、月經史、婚育史及避孕措施,全身有無慢性病史如肝病、血液病以及甲狀腺、腎上腺或垂體疾病等,有無精神緊張、情緒打擊等影響正常月經的因素。了解病程經過.如發病時間、目前流血情況、流血前有無停經史及以往治療經過。了解異常子宮出血的幾種類型:
(1)月經過多:周期規則,但經量過多(>80m1)或經期延長(>7日);
(2)月經頻發:周期規則,但短於21日;
(3)子宮不規則出血:周期不規則,經期長面經量不太多;
(4)子宮不規則過多出血:周期不規則,血量過多。
2.體格檢查包括全身檢查、婦科檢查等,以除外全身性疾病及生殖道器質性病變。
3.輔助診斷
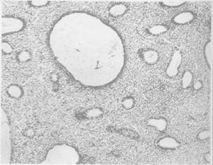
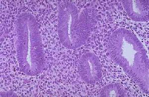
(1)診斷性刮宮:為排除子宮內膜病變和達到止血目的,必須進行全面刮宮,搔刮整個官腔。診刮時應注意宮腔大小、形態,宮壁是否平滑,刮出物的性質和量。為了確定排卵或黃體功能,應在經前期或月經來潮6小時內刮宮;不規則流血者可隨時進行刮宮。子宮內膜病理檢查可見增生期變化或增生過長,無分泌期出現。
(2)子宮鏡檢查:子宮鏡下可見子宮內膜增厚,也可不增厚,表面平滑無組織突起,但有充血。在子宮鏡直視下選擇病變區進行活檢,較盲取內膜的診斷價值高,尤其可提高早期宮腔病變如子宮內膜息肉、子宮黏膜下肌瘤、子宮內膜癌的診斷率。
(3)基礎體溫測定:是測定排卵的簡易可行方法。基礎體溫呈單相型,提示無排卵。
(4)宮頸粘液結晶檢查:經前出現羊齒植物葉狀結晶提示無排卵。
(5)陰道脫落細胞塗片檢查:塗片一般表現為中、高度雌激素影響。
(6)激素測定:為確定有無排卵,可測定血清孕酮或尿孕二醇。病史中常訴月經周期縮短,不孕或早孕時流產。婦科檢查生殖器官在正常範圍內。基礎體溫雙相型,但排卵後體溫上升緩慢,上升幅度偏低,升高時間僅維持9-10日即下降。子宮內膜顯示分泌反應不良。
預防
青春期
首先,應該要正確地認識青春期發育過程,合理地安排學習和生活。
其次,青春期少女應了解有關青春期生長發育過程,月經是怎么回事,哪些因素會引起月經異常,應該怎么辦。少女一般在13至16歲來月經。其中多數在初次行經後很快即建立了正常月經周期,按月行經;而少數由於其內分泌功能尚未完全成熟,可能出現月經紊亂現象。
再次,要避免精神過度緊張、勞累、營養不良等可誘發此種現象發生。因此,青春期少女一定要安排好學習和生活,注意勞逸結合,鍛鍊身體,增強體質,要保證足夠的營養(蛋白質、維生素、鐵)的攝入,避免生冷飲食。在出血時子宮腔內外相通,細菌因有很好的生長環境,將會迅速繁殖而致病。因此出血時要注意外陰清潔,勤換內褲及月經墊等月經用品;千萬不能因有出血而不清洗外陰,相反,行經期一定要每日清洗以去除血污。可用一些外陰清潔劑,也可用溫開水清洗,但應避免盆浴。
更年期
(1)廣泛進行更年期的生理衛生知識宣傳教育,使其了解生理變化;進行個別心理諮詢疏導,使其了解由於內分泌變化而產生更年期綜合症和月經不調的醫學常識,減輕精神負擔,保持樂觀心理,安度更年期。
(2)運用體操、太極拳等項目,以及集體文體娛樂活動鍛鍊身體、陶冶情操、調節神經功能,達到增進身心健康的目的。
(3)保持日常飲食、睡眠、工作、活動等生活作息的平靜而有規律,避免過度緊張和勞累;增加含有鈣質的食物,如牛奶、排骨,延緩骨質疏鬆等老年疾病的發生。
(4)注意月經的變化和心血管症狀,每1-2年定期作婦科檢查和必要的全身檢查,早期發現器質性疾患,早期治療,包括防癌檢查在內。
(5)可以適量地給予雌激素類藥物。用3周,停1周,減輕體內因雌激素不足所致的症狀和病症。用任何藥物都應注意更年期婦女的腎功能、肝功能是否正常,是否會由於排泄解毒功能減退引起積蓄性中毒。
治療
藥物治療
功能失調性子宮出血2.藥物治療內分泌治療極有效,但對不同年齡的對象應採取不同方法。青春期少女以止血、調整周期、促使卵巢排卵為主進行治療;圍絕經期婦女止血後以調整周期、減少經量為原則。使用性激素治療時應周密計畫,制定合理方案,儘可能使用最低有效劑量,並作嚴密觀察,以免性激紊套用不當面引起出血。
(1)止血:對大量出血患者,要求在性激素治療6小時內見效,24~48小時內出血基本停止,若96小時以上仍不止血,應考慮有器質性病變存在。
1)孕激素:無排卵性功血由單一雌激素刺激所致,補充孕激素使處於增生期或增生過長的子宮內膜轉化為分泌期,停藥後內膜脫落,出現撤藥性出血。由於此種內膜脫落較徹底,故又稱“藥物性刮宮”。適用於體內已有一定水平雌激素的患者。合成孕激素分為兩類,常用的為17-羥孕酮衍生物(甲羥孕酮,甲地孕酮)和19-去甲基睪酮衍生物(炔諾酮,雙醋炔諾酮等)。可選用對內膜作用效價高的炔諾酮(婦康片)5-7.5mg口服,每6小時一次,一般用藥4次後出血量明顯減少或停止,改為8小時一次,再逐漸減量,每3日遞減1/3量,直至維持量每日5mg,持續用到血止後20日左右停藥,停藥後3-7日發生撤藥性出血。
2)雌激素:套用大劑量雌激素可迅速提高血內雌激素濃度,促使子宮內膜生長,短期內修復創面而止血。適用於內源性雌激素不足者,主要用於青春期功血。目前多選用妊馬雌酮1.25~2.5mg,每6小時一次,血止後每3日遞減1/3量直至維持量1.25mg;也可用己烯雌酚1~2mg,每6-8小時一次,直止後每3日遞減1/3量,維持量每日lng。口服己烯雌酚的缺點是胃腸道反應重,藥物吸收慢,不易迅速奏效,必要時可口服微粒化17β-雌二醇、妊馬雌酮,或苯甲酸雌二醇肌注。以達到快速止血。不論套用何種雌激素,血止後2周開始加用孕激素,使子宮內膜轉化,可用甲羥孕酮10mg口服,每日一次,共10日停藥。雌、孕激素的同時撤退,有利於子宮內膜同步脫落,一般在停藥後3-7日發生撤藥性出血。
3)雄激素:雄激素血而減少出血量。但大出血時雄激章不能立即改變內膜脫落過程,也不能使其迅速修復,單獨套用效果不佳。
4)聯合用藥:由於性激素聯合用藥的止血效果憂於單一藥物,因此①青春期功血在孕激素止血時,同時配伍小劑量雌激素,以克服單一孕激素治療的不足,可減少孕激素用量,並防止突破性出血。具體採用孕激素占優勢的口服避孕藥1片。每6小時一次,血止後按上法遞減至維持量,每日一片,共20日停藥。②圍絕經期功血則在孕激素止血基礎上配伍雌、雄激素,具體用三合激素(黃體酮12.5mg,雌二醇1.25mg,皋酮25mg)2ml肌注,每12小時一次,血止後遞減至每3日一次,共20日停藥。
5)抗前列腺素藥物:出血期間服用前列腺素合成酶抑制劑如氟芬那酸200mg,每日3次,可使子宮內膜剝脫時出血減少。主要通過改變血栓素A2和前列環素之間的平衡而起作用。血栓素A2為血小板凝聚前體和合成平滑肌收縮物質,而前列環素是一種有力的平滑肌鬆弛劑和抗血小板凝聚物。
6)其他止血藥:安絡血和止血敏可減少微血管通透性,氨基己酸、氨甲苯酸、氨甲環酸等可抑制纖維蛋白溶酶,有減少出血量的輔助作用,但不能賴以止血。
(2)調整月經周期:上述用性激素止血效果一般良好,若驟然停藥所造成的撤藥性出血,必將使流血已久的患者增添困擾,故在止血後應繼續用藥以控制周期,使無流血期廷長至20日左右。為此,宜將止血時所用較高劑量的激素,於血止後逐漸減量,減量不能過速,否則子宮內膜可再次發生局部性脫落出血,此時再欲止血,則所需藥量較出血前更大,且效果也差。使用性激素人為地控制流血量並形成周期是治療中的一項過渡措施,其目的為一方面暫時抑制患者本身的下丘腦—垂體-卵巢軸,使能恢復正常月經的分泌調節,另一方面直接作用於生殖器官,使子宮內膜發生周期性變化,並按預期時間脫落,所伴出血量不致太多。一般連續用藥3個周期。在此過程中務必積極糾正貧血,加強營養,以改善體質。
功能失調性子宮出血1)雌、孕激素序貫療法:即人工周期,為模擬自然月經周期中卵巢的內分泌變化,將雌、孕激素序貫套用,使於宮內膜發生相應變化,引起周期性脫落。適用於青春期功血或育齡期功血內源性雌激素水平較低者。己烯雌酚lmg(諾坤復lmg或妊馬雌酮0.625mg),於出血第5日起,每晚1次,連服20日,至服藥第11日,每日加用黃體酮注射液10mg肌注(或甲羥孕酮8—10mg口服),兩藥同時用完,停藥後3-7日出血。於出血第5日重複用藥,一般連續使用3個周期。用藥2-3個周期後,患者常能自發排卵。
2)雌、孕激素合併套用:雌激素使子宮內膜再生修復,孕激素用以限制雌激索引起的內膜增生程度。適用於育齡期功血內源性雌激素水平較高者。可用複方炔諾酮片(口服避孕藥1號)全量或半量,於出血第5日起,每晚一片,連服20日,撤藥後出現出血,血量較少。連用3個周期。
3)後半周期療法:適用於更年期功血。於月經周期後半期服用甲羥孕酮8-10mg/d,連服10日以調節周期.共3個周期為一療程。若療效不滿意,可配伍雌激素(諾坤復lmg或妊馬雌酮0.625mg/d)和/或雄激素(甲睪酮5mg/d)。
(3)促進排卵:適用於青春期功血和育齡期功直尤其不孕患者。
1)氯米芬(CC):為非甾體化合物,有微弱雌激素作用。它在下丘腦競爭性結合雌激素受體產生抗雌激素作用。通過抑制內源性雌激素對下丘腦的負反饋,誘導促性腺激素釋放激素的釋放而誘發排卵。適用於體內有一定水平雌激素的功血患者。於出血第5日起,每晚服50mg,連續5日。若排卵失敗,可重複用藥,CC劑量逐漸增至100-200mg/d。若內源性雌激素不足,可配伍少量雌激素。一般連用3個月,不宜長期套用,以免發生卵巢過度刺激綜合徵或引起多胎妊娠。排卵率為80%,妊娠率僅其半數。
2)絨促性素(HCG):具有類似LH作用而誘發排卵,適用於體內FSH有一定水平、雌激素中等水平者。一般與其他促排卵藥聯用,B超監測卵泡發育接近成熟時,可大劑量肌內注射HCG5000-10000U以誘發排卵。
3)尿促性索(HMG):每安瓿含FSH及LH各75U。FSH刺激卵泡發育成熟,所產生的雌激素通過正反饋使垂體分泌足量LH而誘發排卵。出血乾淨後每日肌注HMG1-2支,直至卵泡發育成熱,停用HMG,加用HCG5000-10000U,肌內注射,以提高排卵率。應注意套用HMG時易並發卵巢過度刺激綜合徵,故僅用於對氯米芬效果不佳、要求生育的功血患者。
功能失調性子宮出血3.手術治療以刮宮術最常用,既能明確診斷,又能迅速止血。更年期出血患者激素治療前宜常規刮宮,最好在子宮鏡下行分段診斷性刮宮,以排除子宮內細微器質性病變。對青春期功血刮宮應持慎重態度。子宮切除術很少用以治療功血,適用於患者年齡超過40歲,病理診斷為子宮內膜複雜型增生過長,甚至已發展為子宮內膜不典型增生時。通過電凝或雷射行子宮內膜去除術,僅用於年齡超過40歲的頑固性功血,或對施行子宮切除術有禁忌證者。
排卵性功血的治療:
1.促進卵泡發育黃體功能不足的治療方法較多,首先應針對其發生原因,調整性腺軸功能,促使卵泡發育和排卵,以利於正常黃體的形成。首選藥物是CC,適用黃體功能不足卵泡期過長者。CC療效不佳尤其不孕者考慮用HMG-HCG療法,以加強卵泡發育和誘發排卵,促使正常黃體形成。黃體功能不足催乳激素水平升高者,宜用溴隱亭治療。隨著催乳激素水平下降,可調節垂體分泌促性腺激素及卵巢分泌雌、孕激素增加,從而改善黃體功能。
2.黃體功能刺激療法通常套用HCG以促進及支持黃體功能。於基礎體溫上升後開始,隔日肌注HCG2000~3000U,共5次,可使血漿孕酮明顯上升,隨之正常月經周期恢復。
3.功能替代療法、黃體功能替代療法一般選用天然黃體酮製劑,因合成孕激素多數具有溶黃體作用,孕期服用還可能使女胎男性化。自排卵後開始每日肌注黃體酮10mg,共10~14日,用以補充黃體分泌孕酮的不足。用藥後可使月經周期正常,出血量減少。
功能失調性子宮出血屬中醫學"崩漏"的範疇。臨床表現為月經周期無周期可循,經量多或暴下如注,或漏下不只,或兩者交替出現,面色白光白或萎黃,身體倦怠,四肢不溫,氣短懶言,胸悶納呆。舌質淡,舌體胖,苔薄白,脈沉弱。部分患者有五心煩熱,腰膝酸軟,舌質紅,脈沉細;中醫學認為崩者臟腑損傷,漏者勞傷氣血,均為沖任二脈受損之故。常見原因有腎陽虛衰,血海失固;心氣下陷,氣不攝血;腎陰虧損,血熱偏亢;肝不藏血;郁怒傷肝,氣滯血瘀;脾陽不振,脾濕不化,濕熱下注,脾不統血等。以上因素導致心、肝、脾、腎功能失調,沖任受損,發生崩漏。所以治療本病需從補腎、補氣血、健脾、補肝入手;中醫認為婦女七七天癸竭,腎氣衰弱,沖任虛衰而致,以腎虛為主。
曾氏祖上百餘年治療婦女血症之經驗,按照自創的養宮理念,從補腎、補氣、補血入手,對祖傳方劑進行科學改進,辨證組方。婦科血症者、功能性子宮出血者,子宮內膜增厚者服用後調養效果極佳,且發揮了食療獨特的安全性
食療
(1)紅糖木耳。
木耳120克(水發),紅糖60克。先將木耳煮熟,加入紅糖拌勻。1次服完。連服7天為1療程。
(2)玉米須豬肉湯。
玉米須15克—30克,豬肉250克。將上二味同煮,待肉熟後食肉喝湯。每日1劑。
(3)烏梅膏。
淨烏梅1500克。將烏梅加水3000毫升,用炭火煎熬,待水分蒸發至1半,再加水至原量,煎濃,用乾淨紗布濾去渣,裝瓶待用。服用時加白糖調味,成人每次服5毫升—10毫升,開水沖服,日服3次。
預後
2.避免暴飲暴食,以免損傷脾胃;忌食辛辣及過於寒涼之品。
3.經前期的保健食品有大米、包心菜、韭菜、芹菜、橘子等;經後期的保健食品有牛奶、豬胰、胡蘿蔔、紅花等;經前、經後均可食用的食品有海帶、乾棗、豆腐皮、高粱、薏苡仁、羊肉、蘋果等。
4.經期禁忌的食品有雪梨、香蕉、馬蹄、石耳、石花、地耳等寒涼食品;肉桂、花椒、丁香、胡椒、辣椒等辛辣刺激的食品;菱角、茭筍、冬瓜、芥蘭、蕨菜、黑木耳、兔肉等損傷脾胃或腎氣的食品。
5.加強衛生宣傳教育,對絕經後出血,更年期月經紊亂應注意排除癌病的可能,對年輕婦女月經過多而治療2~3個月無效者,應做細胞學檢查及子宮內膜和頸管內膜檢查。已證實為內膜腺瘤樣增生或不典型增生等癌前病變者,根據患者情況宜行全子宮切除術。
6.嚴格掌握雌激素的適應症,併合理使用;對更年期及絕經後婦女更應慎用,套用時間不宜過長,量不宜大,並應嚴密觀察反應。
7.手術治療中應注意防止癌細胞擴散或直接種植,以致未能治癒,促使復發。應採取的預防措施。
8.治療後應定期隨診。出血時要注意外陰清潔,勤換內褲及月經墊等月經用品;千萬不能因有出血而不清洗外陰,相反,行經期一定要每日清洗以去除血污。可用一些外陰清潔劑,也可用溫開水清洗,但應避免盆裕;已婚婦女在出血期要避免性生活。若出血量大,可致貧血及機體抵抗力降低,應加強止血措施及酌情抗感染以防炎症及急性傳染病的發生。
病理學常識
| 伴隨著人們生活水平的日益提高,各種各樣的疾病也以極高的頻率出現在我們的生活中,這些疾病困擾著人們,讓人們備受折磨。現在,病理學常識帶我們去科學的認識了解這些疾病,在科學的指引下,認清這些疾病的真面目,擺脫疾病的困擾,讓每一個人都有一個健康的體魄! |

