疾病描述
自體瓣膜心內膜炎感染性心內膜炎為微生物心臟內膜面,伴贅生物形成。贅生物為大小不等、形狀不一的血小板和纖維素團塊,其內含大量微生物合少量炎症細胞。瓣膜為最常受累部位,但感染也可發生在間隔缺損部位或腱索與心壁內膜。動靜膜瘺、動脈瘺( 如動脈導管未閉)或主動脈縮窄的感染雖屬動脈內膜炎,但臨床與病理均類似於心內膜炎。根據病程分為急性和亞急性,並可分為自體瓣膜、人工瓣膜和靜脈藥癮者的心內膜炎。
自體瓣膜心內膜炎臨床表現:
一、症狀 從暫時性菌血症的發生致症狀出現之間的時間間隔長短不一,多在2周以內,但不少患者無明確的細菌進入途徑可尋。除有些老年或心、腎衰竭重症患者外,幾乎均有發熱。亞急性者起病隱匿,可有全身不適、乏力、食欲不振和體重減輕等非特異性症狀。可有馳張性低熱,一般<39℃,午後和晚上高,伴寒戰和盜汗。頭痛、背痛和肌肉關節痛常見。急性者呈暴發性敗血症過程。有高熱寒戰,常訴頭、胸、背和四肢肌肉關節疼痛。突發心力衰竭者較常見。
二、體徵
(一)心臟雜音 幾乎所有患者均可聞及心臟雜音,可由於基礎心臟病和(或)心內膜炎所致的瓣膜損害所致。急性者要比亞急性者更易出現雜音強度和性質的變化,或出現新的雜音(尤其主動脈瓣關閉不全多見)。除心瓣膜的進行性損害之外,貧血等因素導致的心率加快和心排血量變化也可引起雜音強度的改變。
(二)周圍體徵 多為特異性,近已不多見:①瘀點,可出現於任何部位,以鎖骨以上皮膚、口腔黏膜和結合膜常見,病程陳者較多見;②指(趾)甲下線狀出血;③Roth斑,為視網膜的卵圓形出血斑,其中心呈白色,多見於亞急性感染;④osler結節,為指(趾) 墊出現的豌豆大的紅或紫色痛性結節,較常見於亞急性者;⑤Janeway為損害,為首長和足底處直徑1-4mm出血紅斑,主要見於急性患者。引起這些周圍體徵的菸癮可能是微血管炎或微血栓。
(三)脾大 見於30%的病程>6周的患者,急性者少見。
(四)貧血交換常見,尤其多見於亞急性者,多為輕、中度貧血,晚期患者可重度貧血。主要由於感染抑制骨髓所致。
疾病病因
自體瓣膜心內膜炎發病機制:
一、亞急性 至少占據2/3的病例,發病與以下因素有關:
(一)血流動力學因素 亞急性者主要發生於器質性心臟病,尤其是二尖瓣和主動脈瓣;其次為先天性心血管病,如室間隔缺損、動脈導管未閉、法洛四聯症和主動脈縮窄。贅生物常位於血流從高壓腔經病變瓣口或先天缺損至低壓腔產生高速射流和湍流的下游,如二尖瓣關閉不全的瓣葉心房面、主要動瓣關閉不全的瓣葉心室面和室間隔缺損的間隔右心室側,可能與這些部位的側壓下降和內膜灌注減少,有利於微生物沉積和生長有關。高速射流衝擊心或大血管內膜處可致局部損傷,如二尖瓣反流面對的左心房壁、主動脈反流面對的二尖瓣前葉有關腱索和乳頭肌,未閉動脈導管射流面對的肺動脈壁的內皮損傷,並易於感染。本病在壓差小的部位,如房間隔缺損和大室間隔缺損或血流減慢時,如心房顫動和衰竭時少見,瓣膜狹窄時較關閉不全少見。
(二)非細菌性血栓性心內膜炎 實驗研究證實,當內膜的內皮受損暴露了其下結締組織的膠原纖維時,血小板微血栓和纖維蛋白沉著,成為結節樣無菌性贅生物,稱非細菌性血栓性心內膜炎,是細菌定居瓣膜表面的重要因素。無菌性贅生物偶見於正常瓣膜,但最常見於湍流區、瘢痕處(如感染性心內膜炎後)和心外因素所致的內膜受損區。
(三)短暫性菌血症 各種感染或細菌寄居的皮膚黏膜的創傷(如手術、器械操作等)常導致暫時性菌血症;口腔組織創傷常致草綠色鏈球菌菌血症;消化道和泌尿生殖系統創傷和感染常引起腸球菌和革蘭陰性桿菌菌血症;葡萄球菌。
(四)細菌感染無菌性贅生物 此取決於:①發生菌血症之頻度在循環中細菌的數量,後者與創傷、感染嚴重程度和寄居皮膚黏膜處細菌的數量有關;②細菌粘附於血小板微血栓和纖維蛋白能力。草綠色鏈球菌從口腔進入血流的機會頻繁,粘附性強,因而為亞急性感染性心內膜炎的最常見致病菌;而大腸桿菌的粘附性差,雖然其菌血症常見,但極少致心內膜炎。細菌定居後,迅速繁殖,促使血小板進一步聚集和纖維蛋白沉積,感染贅生物增大。厚的纖維蛋白層覆蓋在贅生物外,組織吞噬細胞進入,為其內細菌生存繁殖提供良好的庇護所。
二、急性 發病機制尚不清楚,主要累及正常心瓣膜。病原菌來自皮膚、肌肉、骨骼或肺等部位的活動性感染灶,循環中細菌量大,細菌毒力強,具有高度侵襲性和粘附於內膜的能力。主動脈瓣常受累。
病理:
一、心內感染和局部擴散 ①贅生物呈小疣結節或菜花狀、息肉樣,小至不足1mm2,大至可阻塞瓣口。贅生物導致瓣葉破損、穿孔或腱索斷裂,引起瓣膜關閉不全。②感染的局部擴散產生瓣環或心肌膿腫、傳導組織破壞、乳頭肌斷裂或室間隔穿孔和化膿性心包炎。
二、贅生物碎片脫落致栓塞 ①動脈栓塞導致組織器官梗死,偶可形成膿腫;②膿毒性栓子栓塞動脈血管壁的滋養學乾引起動脈管壁壞死;或栓塞動脈管腔,細菌直接破壞動脈壁。上述兩種情況均可形成細菌性動脈瘤。
三、血源性播散 菌血症持續存在,在心外的機體其他部位播種化膿性病灶,形成轉移性膿腫。
四、免疫系統激活 持續性菌血症刺激細胞核體液介導的免疫系統、引起:①脾大;②腎小球炎(循環中免疫負荷物沉積於腎小球基膜);③關節炎、腱鞘炎、心包炎和微血管炎(可引起皮膚、黏膜體徵和心肌炎)。
診斷檢查
自體瓣膜心內膜炎一、常規檢驗
(一)尿液 常有顯微鏡下血尿和輕度蛋白尿。肉眼血尿提示腎梗死。紅細胞管型和大量蛋白尿提示瀰漫性腎小球性腎炎。
(二)血液 亞急性者正常色素型正常細胞性貧血常見,白細胞計數正常和輕度升高,分類計數輕度左移。揉耳垂後穿刺的第一滴血塗片可見大單核細胞(“耳垂組織細胞”,為單核-吞噬細胞系統過度受刺激的表現)。急性者陳有白細胞計數增高和明顯核左移。血沉幾乎均升高。
二、免疫學檢查 25%的患者有高丙種球蛋白血症。80%的患者出現循環中免疫複合物。病程長於6周的亞急性患者中50%的類風濕因子試驗陽性。血清補體降低見於瀰漫性腎小球腎炎。上述異常在感染治癒後消失。
三、血培養 是診斷菌血症和感染性心內膜炎的最重要方法。在近期末接受過抗生素治療的患者血培養陽性率可高達95%以上,其中90%以上患者的陽性結果獲自入院後第一日採取的標本。對於未經治療的亞急性著,應第一日間隔1小時採血1次,共3次。如次日未見無細菌生長,重複採血3次後,開始抗生素治療。已用過肯生素者,停藥2-7天后採血。急性患者應在入院後3小時內,每隔1小時1次供取3個血標本開始治療。本病的菌血症為持續性,無需在體溫升高時採血。每次取靜脈血10-20ml作需氧和厭氧培養,至少應培養3周,並周性作革蘭染色塗片和次代培養。必要時培養基需補充特殊營養或採用特殊培養技術。血培養陰性率2.5%-64%。念珠菌(約1/2病例)、曲菌酶、組織胞漿菌、Q熱柯克斯體、鸚鵡熱衣原體等致病時,血培養陰性。2周內用過抗生素或採血、培養技術不當,常降低血培養的陽性率。
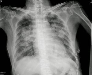
四、X線檢查 肺部多處小片狀浸潤陰影體勢膿毒性肺栓塞所致肺炎。左心衰竭時有肺淤血或肺水腫征。主動脈細菌性動脈瘤可致主動脈增寬。細菌性動脈瘤有時需經血管造影診斷。此掃描有助於腦梗死、膿腫和出血的診斷。
五、心電圖 偶爾客觀見急性心肌梗死或房室、室內傳導阻滯,後者提示瓣環(尤其是主動脈瓣環)或室間隔膿腫。
六、超聲心動圖 經胸部超聲檢查可診斷出50%-75%的贅生物,經食管超聲可檢出<5mm贅生物,敏感性高達95%以上。贅生物≥10mm時,易發生動脈栓塞。未發生贅生物,不能排除感染性心內膜炎。感染治癒後,贅生物可持續存在。除非發現原有贅生物增大或新贅生物出現,難以診斷復發或再感染。超聲檢查可見的其他異常有瓣葉結節樣增厚、瓣葉穿孔、粘連、室間隔或瓣環膿腫、主動脈細菌性動脈瘤和心包積液。
預後:未治療的急性患者幾乎均在4周內死亡。亞急性者的自然史一般≥6個月。預後不良因素中以心力衰竭最為嚴重,其他包括主動脈損害、深衰竭、由革蘭陰性桿菌或真菌致病、瓣環或心肌膿腫、中老年等。死亡原因為心力衰竭、腎衰竭、栓塞、細菌性動脈瘤破裂和嚴重感染。除由耐藥個蘭陰性桿菌和真菌所致者外,大多數患者可獲細菌性治癒。但本病的近期和遠期病死率仍較高,治癒後的5年存活率僅60%-70%。10%在治療後數月或數年內再次發病。
治療方案
自體瓣膜心內膜炎(一)經驗治療 在病原菌尚未培養出來時,急性者採用萘夫西林(新青黴素Ⅲ)2g,每4小時靜脈注射或滴注,加氨苄西林2g,每4小時靜脈注射或滴注慶大黴素,每日160-240mg;亞急性患者按常見致病菌的用藥方案,以青黴素為主或加慶大黴素,劑量同上。
(二)已知致病微生物時的治療
1、對青黴素敏感的細菌(MIC<0.1μg/ml) 草綠色鏈球菌、牛鏈球菌、肺炎球菌等多屬此類。首選青黴素,400萬U每6小時靜脈緩注或滴注;或用頭孢曲松(頭孢三嗪)肌肉注射或靜脈注射,每日2g;對青黴素過敏者可用萬古黴素15mg/(kg.d),分兩次靜脈注射。所有病例均至少用藥4周。
2、對青黴素敏感性不確定者(0.1μg/ml<MIC<1.0μg/ml) 上列細菌或其他細菌對青黴素敏感試驗測定為I時,青黴素用藥量應加大為400萬U,每4小時一次,同時加慶大黴素,每日160-240mg,前者用藥4周以上,後者一般用藥不超過兩周。
3、對青黴素耐藥的細菌(MIC≥1.0μg/ml) 如腸球菌族的糞鏈球菌等多對清素不敏感,青黴素的用量需高達1800萬-3000萬U,持續靜脈滴注,或用氨苄西林2g,每4小時靜脈注射或滴注,加用慶大黴素160-240mg/d,用藥4-6周。治療過程中酌減或撤出大慶黴素,預防其毒副作用。上述治療效果不佳或患者不能耐受者也可改用萬古黴素1g,每12小時靜脈滴注。
4、金黃色葡萄球菌和表皮葡萄球菌 ①萘夫西林或苯唑西2g,每2小時1次,靜脈注射或點滴,用藥4-6周;②副用青黴素後延遲出現皮疹,用頭孢噻吩2g,每4小時1次,或頭孢唑啉(先鋒V)2g,每6小時1次,靜脈注射或點滴,用藥4-6周;③如對青黴素和頭孢菌素過敏或耐甲氧西林菌株致病者,用萬古黴素4-6周。如有嚴重感染播散,每一方案的初始3-5天加慶大黴素。
5、其他細菌 用青黴素、頭孢軍素或萬古黴素,加或不加氨基糖苷類,用藥4-6周。革蘭陰性桿菌感染用泔苄西林2g,每4小時1次,或哌拉西林(氧哌嗪青黴素),3g,每4小時1次,或頭孢噻齶(頭孢氨噻肟)2g,每4-6小時1次,或頭孢他啶(頭孢羥甲噻肟)2g,每8小時1次,靜脈注射或滴注,加慶大黴素160-240mg/d,靜脈滴注;環丙沙星200mg,每12小時1次,靜脈點滴也可有效。
6、真菌感染 用靜脈滴注兩性黴素B,首日1mg,之後每日遞增3-5mg,直至25-30mg/d。應注意兩性黴素B的毒副作用。兩性黴素B用夠療程後口服胞嘧啶100-150mg/(kg.d),每6小時1次,用藥數月。
二、外科治療 人工瓣膜置換術的適應證為:①嚴重瓣膜反流致心力衰竭;②真菌性心內摩炎;③雖充分使用抗微生物藥物,血培養持續陽性或反覆復發。④雖充分抗微生物藥物治療,仍反覆發作大動脈栓塞,超聲檢查證實有贅生物(≥10mm)。⑤主動脈瓣受累致房室阻滯,心急火瓣環膿腫需手術引流。⑥手術關閉動脈導管未閉或室間隔缺損為治療其並發的頑固性心內膜炎的重要措施。
疾病預防
自體瓣膜心內膜炎一、口腔、上呼吸道手術或操作 預防藥物應針對草綠色鏈球菌:①術前1小時口服阿司匹林(羥氨苄青黴素)3.0g,6小時後再服1.5g;對青黴素過敏者,術前2小時口服琥乙紅黴素800mg或依託紅黴素1.0g,6小時後再服半量;也可術前1小時口服克林黴素(氯潔黴素)300mg,6小時後服150mg。②不能口服藥物者,術前30分鐘肌肉或靜脈注射氨苄西林2g為,6小時後注射1g;對青黴素過敏者,術前30分鐘靜脈點滴克林黴素300mg,6小時後150mg。③有主張對高危者(如人工瓣膜置換術後,體-肺循環分流術後、感染性心內膜炎史),術前30分鐘靜脈或肌肉注射氨苄西林2g,加慶大黴素1.5mg/kg(不超過800mg)靜脈點滴或肌肉注射,6小時後口服阿司匹林1.5g額或8小時候重複以上注射用藥;對青黴素過敏者,術前1小時內靜脈點滴萬古黴素,不重複用藥。
二、泌尿、生殖和消化道手術和操作 預防用藥針對腸球菌:①用藥同上述③,但對青黴素過敏者,除萬古黴素外,還需在術前1小時加用慶大黴素1.5mg/kg(不超過80mg)靜脈點滴或肌肉注射,8小時後可重複用藥一次。②低危患者小手術時,術前1小時口服阿司匹林3.0g,6小時候再服1.5g。
病理學常識
| 伴隨著人們生活水平的日益提高,各種各樣的疾病也以極高的頻率出現在我們的生活中,這些疾病困擾著人們,讓人們備受折磨。現在,病理學常識帶我們去科學的認識了解這些疾病,在科學的指引下,認清這些疾病的真面目,擺脫疾病的困擾,讓每一個人都有一個健康的體魄! |

