概述
結核性宮頸炎結核性宮頸 炎是西醫學病理名稱,肉眼觀察呈慢性炎症表現,與一般慢性宮頸炎無異。可呈顆粒狀或有潰瘍形成,有觸血,須與癌腫鑑別。組織學檢查見宮頸組織內有結核結節,由乾酪壞死組織、類上皮細胞、多核巨細胞組成,其外層有多量淋巴細胞浸潤。幾乎都繼發於子宮內膜結核和輸卵管結核。宮頸結核的治療應採用中西醫結合治療,但主要為抗結核藥物的全身治療。具體治療為:1.支持療法應注意休息,加強營養,適當參加體育活動,增強體質。急性患者至少休息3個月,慢性患者可以從事部分較輕工作和學習,但應勞逸結合。抗結核治療抗結核化學藥物治療:抗結核藥物治療對90%女性生殖器結核有效。藥物治療應遵循早期、聯合、規律、適量、全程的原則。既往多採用1.5~2年的長療程治療,近年採用異煙肼、利福平、乙胺丁醇、鏈黴素及吡嗪醯胺等抗結核藥物聯合治療醫學教育網蒐集|整理,其中異煙肼、利福平為主要基本組成,將療程縮短為6~9個月,取得良好療效。中醫認為結核性宮頸炎主要是由於氣血虧虛,濕熱下注所致,一般藥物很難治癒。中醫中藥長期臨床實踐積累了許多非常有效的治療方法。
流行病學
急性宮頸結核較少見,占生殖器結核的5%~15%多見於20~40歲婦女,也可見於絕經後鶒的老年婦女近年因耐藥結核及對其病控制的鬆懈,結核病的發病率有升高的趨勢。
病因
宮頸結核常由子宮內膜結核蔓延而來或經淋巴或血循環傳播。
1.血行傳播青春期時正值生殖器官發育,血供豐富,結核分枝桿菌易借血行傳播結核分枝桿菌感染肺部後,大約1年內可感染內生殖器官,由於輸卵管黏膜有利於結核分枝桿菌的潛伏感染,結核分枝桿菌首先侵犯輸卵管,然後依次擴散到子宮內膜及卵巢,侵犯宮頸、陰道或外陰者較少健康搜尋。
2.直接蔓延腹膜結核、腸結核可直接蔓延到內生殖器官。
3.經期不注意衛生:女性在月經來潮時,子宮內膜會隨之有脫落游離的情況,並且宮腔內部的血竇也會開放,女性在此時會有血液凝塊的現象。女性經期的環境為細菌的滋生提供了非常良好的條件,如果在經期不注意衛生,或者使用了不標準的衛生棉,在性生活期間進行性生活,那么細菌會藉此機會造成逆行的感染,通而引發女性盆腔炎的發生。
4.婦科手術後感染:一些人工流產、節育手術、造影、宮腹腔內的手術等等,如果在進行手術治療前,沒有經過嚴格的消毒,或者女性原本的生殖器官就存在有炎症的情況,那么是很容易在手術時造成女性感染的情況。並且女性在手術恢復期時,如果不注意個人的衛生,沒有遵照醫生的囑咐進行恢復,在恢復期間進行性生活,那么都會造成細菌感染,引發女性盆腔炎的發生。
5.附屬檔案器官炎症蔓延:很多女性在生殖器官發生炎症時,因為沒有明顯的症狀表現,因此很難發現,當炎症逐漸的嚴重時會擴散到附近的生殖器官部位,造成女性的盆腔炎症。一些慢性的炎症也會通過淋巴血液的循環,因而會引發女性盆腔部位締結而引發女性盆腔炎症的情況。
6.產後或流產後感染:女性朋友們在分娩或者是流產、小產後,身體情況是非常虛弱的,並且此時宮頸是一個擴張的狀態,並沒有很好的閉合,此時女性要特別的注意,殘留在女性宮頸中的細菌很容易造成女性的感染。如果女性的宮腔內部還存在有胎盤、胎膜的殘留物質,那么女性受到感染的幾率會更加的大。
發病機制
病變可表現為乳頭狀增生或為潰瘍這時外觀易與宮頸癌混淆。一般可分為4種類型:
1.潰瘍型在宮頸結核中比較多見健康搜尋,潰瘍形狀不規則,比較表淺,邊緣較硬基底不乾,色澤灰黃,組織脆弱易出血。
2.乳頭型比較少見,呈乳頭狀或結節狀。色灰紅,質脆似菜花型宮頸癌,分泌物成膿血樣。
3.間質型粟粒型病變累及子宮頸致使宮頸明顯肥大。
4.子宮頸黏膜型結核病變限於宮頸管內,系由子宮內膜結核蔓延而來。
臨床表現
因病情輕重病程長短而異。有些患者無任何症狀,有些患者則症狀較重。
1.不孕多數生殖器結核因不孕而就診健康搜尋。在原發性健康搜尋不孕患者中生殖器結核為常見原因之健康搜尋一。由於輸卵管黏膜破壞與粘連,常使管腔阻塞;或因輸卵管周圍粘連,有時管腔尚保持部分通暢,但黏膜纖毛被破壞輸卵管僵硬、蠕動受限,喪失運輸功能;子宮內膜結核妨礙受精卵的著床與發育,也可致不孕
2.月經失調早期因子宮內膜充血及潰瘍,可有經量過多;晚期因子宮內膜遭不同程度破壞而表現為月經稀少或閉經。多數患者就診時已為晚期。
3.下腹墜痛由於盆腔炎症和粘連,可有鶒不同程度的下腹墜痛,經期加重。
4.全身症狀若為活動期可有結核病的一般症狀如發熱、盜汗、乏力、食欲不振、體重減輕等輕者全身症狀健康搜尋不明顯有時僅有經期發熱,經期發熱是生殖器結核典型臨床表現之一症狀重者可有高熱等全身中毒症狀。
5.全身及婦科檢查由於病變程度與範圍不同而有較大差異,較多患者因不孕行診斷性刮宮、子宮輸卵管碘油造影及腹腔鏡檢查時,發現患有盆腔結核,而無明顯體徵和其他自覺症狀。若同時患有腹膜結核,檢查時腹部有柔韌感或腹水征,形成包裹性積液時可觸及囊性腫塊,邊界不清,不活動,表面因有腸管粘連,叩診空響。宮頸結核可見乳頭狀增生及小潰瘍
症狀
因病情輕重病程長短而異。有些患者無任何症狀,有些患者則症狀較重。
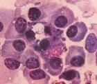
宮頸表面呈顆粒狀或有潰瘍形成、少數呈乳頭狀或結節狀、有明顯的接觸出血,病理切片可見結核結節、由於乾酪壞死組織、類上皮細胞、多核巨細胞組成,外層有多數淋巴細胞浸潤。宮頸組織病理檢查是診斷最可靠的依據。
併發症
常伴有陰道結核、外陰結核。
診斷
宮頸表面呈顆粒狀或有潰瘍形成、少數呈乳頭狀或結節狀、有明顯的接觸出血,病理切片可見結核結節、由於乾酪壞死組織、類上皮細胞、多核巨細胞組成外層有多數淋巴細胞浸潤鶒。宮頸組織病理檢查是診斷最可靠的依據。
鑑別診斷
1.子宮內膜異位症子宮內膜異位症與生殖器結核的臨床表現多有相似之處,如低熱、痛經,盆腔有粘連、增厚及結節等。但子宮內膜異位症痛經為繼發性並進行性加重火罐網,經量較多,經以上檢查多能確診。
2.宮頸癌宮頸結核可有乳頭狀增生或表淺潰瘍,與宮頸癌有時不易鑑別應作宮頸細胞學檢查及宮頸活組織檢查。
3.阿米巴性子宮頸炎在分泌物中找到阿米巴滋養體即可區別。
實驗室檢查
1.結核分枝桿菌檢查取月經血或宮頸刮出物或腹腔液作結核分枝桿菌檢查,常用方法:
(1)塗片抗酸染色查找結核分枝桿菌。
(2)結核分枝桿菌培養,此法準確,但結核分枝桿菌生長緩慢火罐網通常1~2個月才能得到結果。
(3)分子生物學方法,如PCR技術,方法快速、簡便,但可能出現假陽性。
(4)動物接種,方法複雜,需時較長難以推廣。
2.結核菌素試驗結核菌素試驗陽性說明體內曾有結核分枝桿菌感染,若為強陽性說明目前仍有活動性結核病灶,但不能說明病灶部位,若為陰性一般情況下表示未有過結核分枝桿菌感染
3.其他白細胞計數不高,分類中淋巴細胞增多,不同於化膿性盆腔炎性疾病;活動期血細胞沉降率增快,但正常不能除外結核病變這些化驗檢查均為非特異性,只能作為診斷參考。
其它輔助檢查
1.宮頸組織病理檢查若宮頸可疑結核,應做活組織檢查確診鶒在病理切片上找到典型結核結節,診斷即可成立但陰性結果並不能排除結核的可能。
2.X線檢查
(1)胸部X線拍片,必要時行消化道或泌尿系統X線檢查,以便發現原發病灶
(2)盆腔X線拍片,發現孤立鈣化點,提示曾有盆腔淋巴結結核病灶。
(3)子宮輸卵管碘油造影可能見到下列徵象:
①宮腔呈不同形態和不同程度狹窄或變形,邊緣呈鋸齒狀。
②輸卵管管腔有多個狹窄部分呈典型串珠狀或顯示管腔細小而僵直
③在相當於盆腔淋巴結、輸卵管卵巢部位有鈣化灶。
④若碘油進入子宮一側或兩側靜脈叢應考慮有子宮內膜結核的可能。
子宮輸卵管造影對生殖器結核的診斷幫助較大,但也有可能將輸卵管管腔中的乾酪樣物質及結核分枝桿菌帶到腹腔,故造影前後應肌注鏈黴素及口服異煙肼等抗結核藥物。
3.腹腔鏡檢查能直接觀察子宮、輸卵管漿膜面有無粟粒結節,並可取腹腔液行結核分枝桿菌檢查,或在病變處做活組織檢查。作此項檢查時應注意避免腸道損傷。
相關檢查
>淋巴細胞
>白細胞計數
結核性宮頸炎>血小板
治療
宮頸結核的治療應採用中西醫結合治療,但主要為抗結核藥物的全身治療。具體治療為:
1.支持療法應注意休息,加強營養,適當參加體育活動,增強體質。急性患者至少休息3個月,慢性患者可以從事部分較輕工作和學習但應勞逸結合。
2.抗結核治療
(1)抗結核化學藥物治療:抗結核藥物治療對90%女性生殖器結核有效。藥物治療應遵循早期、聯合、規律、適量全程的原則。既往多採用1.5~2年的長療程治療,近年採用異煙肼、利福平乙胺丁醇、鏈黴素及吡嗪醯胺等抗結核藥物聯合治療火罐網,其中異煙肼、利福平為主要基本組成,將療程縮短為6~9個月,取得良好療效。
①常用的抗結核藥物有:
A.異煙肼(isoniazid,或INH,H)鶒:300mg,1次/d,頓服,或每周2~3次,每次600~800mg。
B.利福平(rifampicin健康搜尋,R):450~600mg/d(體重<50kg用450mg),早飯前頓服,便於吸收,間歇療法為每周2~3次,每次600~900mg。
C.鏈黴素(streptomycinS):肌注,0.75g/d(50歲以上或腎功能減退者可用0.5~0.75g)。
D.乙胺丁醇(ethambutol,E):口服,0.75~1g/d,也可開始時25mg/(kg·d),8周后改為15mg/kg。間歇療法為每周2~3次,每次1.5~2g。
E.吡嗪醯胺(pyrazinamide,Z):1.5~2g/d,分3次口服。
目前推行兩階段短療程藥物治療方案火罐網,前2~3個月為強化期,後4~6個月為鞏固期或繼續期健康搜尋。
②常用健康搜尋的治療方案:
A.強化期2個月,每天鏈黴素異煙肼、利福平、吡嗪醯胺四種藥物聯合套用,後4個月鞏固期每天連續套用異煙肼、利福平(簡稱2SHRZ/4H3R3);或鞏固期每周3次間歇套用異煙肼、利福平(2SHRZ/4H3R3)。
B.強化期每天鏈黴素、異煙肼、利福平吡嗪醯胺4種藥聯合套用2個月,鞏固期每天套用異煙肼、利福平、乙胺丁醇連續6個月(2SHRZ/6H3R3E3);或鞏固期每周3次套用異煙肼、利福平、乙胺丁醇連續6個月(2SHRZ/6H3R3E4);也可採用全程間歇療法,強化期2個月,每周3次聯合套用鏈黴素、異煙肼、利福平、吡嗪醯胺,鞏固期6個月每周3次套用異煙肼利福平、乙胺丁醇(2S3H3R3Z3/6H3R3E3);或採用2SHRZE/6H3R3E3方案http://www.huoguan.com。第一個方案可用於初次治療的患者,第二個方案多用於治療失敗或復發的患者。若對以上方案中鶒的鏈黴素耐藥,可用乙胺丁醇代替火罐網。其他可選用的方案有2HRZ/7H3R3或3SHR/6H2R2多用於病情較輕的患者。以上各方案,可根據病情,酌情選用。
現目前常用的治療方案採用利福平、異煙肼、乙胺丁醇、鏈黴素及吡嗪醯胺等抗結核聯合治療療程為6~9個月
③具體治療方案為:
A.利福平、異煙肼乙胺丁醇3種藥聯合套用6個月。利福平可加強作用並延遲耐藥的發生。口服吸收達90%,半衰期達4~8h有效血藥濃度維持6~12h。口服,450~600mg/d飯後1h空腹頓服,便於吸收間歇給藥600mg/d頓服。異煙肼又稱雷米封對結核殺菌力強,用量小,與其他抗結核藥物合用可減少耐藥性的產生,並有協同作用提高療效。口服,300mg/dh,頓服。乙胺丁醇對結核桿菌有較強抑制作用,與其他抗結核藥物無交叉耐藥性,聯合使用可加強療效並延緩耐藥性的產生,口服後吸收迅速劑量為0.75~1g/d
B.利福平、異煙肼聯合套用9個月。
C.利福平、異煙肼、鏈黴素或3種藥物每天聯合套用2個月然後每周2次套用利福平、異煙肼6個月。
以上治療方案,可根據病情,酌情使用。
(2)中醫治療活動期結核:作為輔助鞏固療效手段,(活動期期間,抗結核藥物+中藥),而對陳舊性結核可作為主要治療手段。其治療原則為抗結核與行氣潔血軟堅散結並用(非活動期期間,中藥治療)。
3.手術治療為避免手術時感染擴散及減輕粘連對手術有利,術前應採用抗結核藥物1~2個月。手術範圍根據年齡及病變範圍而定。
護理要點
做好卡介苗接種,增強體質,積極防治肺結核、淋巴結結核和腸結核。做好結核性宮頸炎治療後的隨訪工作。預後:內生殖器結核是導致不孕的主要原因之一。由於結核菌同時對輸卵管的破壞較嚴重,雖然生殖器結核經藥物治療取得良好療效,但治療後的妊娠成功率極低,套用足夠的抗結核藥物後獲得正常妊娠的機會也甚微。對希望妊娠者,可行輔助生育技術助孕。
食療
處方①(《男女科藥膳秘寶大全》):雞蛋4枚?蕎麥麵200克?將雞蛋打破放入面內,用砂鍋研為老黃色,勿炒焦,研為細末,早晚每服12克。本方具有清熱解毒,活血化瘀,通經活絡的功效。
處方②蘿蔔燉羊肉(《養生食療菜譜》):白蘿蔔1000克 羊肉800克 蔥 姜 味素 花椒?精鹽適量?
將羊肉及蘿蔔洗淨切塊。羊肉放鍋內加入清水,中火燒,加入蔥、姜、花椒,30分鐘後,移至小火上燉至將熟時,加蘿蔔燉熟,最後加鹽、味素。本方具有益氣血、補虛損之功。
結核性宮頸炎患者吃什麼好?
飲食宜清淡
結核性宮頸炎患者吃什麼不好?
1.忌多食甜味食品
結核病人多食糖後,體內白細胞的殺菌作用會受到抑制。吃糖越多,其抑制就越明顯,這會加重病情。
2.忌肥膩油炸熱性食物
結核病人消化功能多低下,食慾較差,若過多食用動物油、羊肉、狗肉、火烤食物及油炸食品,更會影響消化功能,使必需的營養得不到補充,以致抗病能力低下。
注意事項
首先,在結核性宮頸炎治療後注意私處護理,可用全棉織品衛生墊,並且需勤換新墊。還可用嬌妍Ph4弱酸配方的女性護理液清洗外陰,早晚各一次。
其次,最好穿全棉織品的內褲,並要勤換洗,以保持外陰清潔。最後,禁房事1—2個月,因為結核性宮頸炎治療後,表面有一層發炎的痂皮要脫落,新的組織在慢慢長出來,在組織修復過程中,如果進行性交,會使宮頸新的創面磨損甚至出血,影響療效。
如何調理
做好卡介苗接種,增強體質,積極防治肺結核、淋巴結結核和腸結核。做好結核性宮頸炎治療後的隨訪工作。
治療後
預後:內生殖器結核是導致不孕的主要原因之一。由於結核菌同時對輸卵管的破壞較嚴重,雖然生殖器結核經藥物治療取得良好療效,但治療後的妊娠成功率極低,套用足夠的抗結核藥物後獲得正常妊娠的機會也甚微。對希望妊娠者,可行輔助生育技術助孕。
忌食
1、忌海腥河鮮發物:專家介紹,海魚、螃蟹、蝦、蛤蜊、毛蚶、牡蠣、鮑魚等水產品均為發物,不利於炎症消退,對此宮頸炎患者不宜多食用這一類食物。
2、忌飲酒:西安最好的婦科醫院婦科專家介紹,酒屬溫熱刺激食物,而宮頸炎患者飲酒後會加重濕熱,從而導致使病情加重,因此專家提醒,宮頸炎患者應該要忌飲酒。
3、忌甜膩厚味食物:專家指出,過於甜膩的食物如糖果、奶油蛋糕、八寶飯、糯米糕團、豬油及肥豬肉、羊脂、蛋黃,這些食物有助濕的作用,會降低療效果,使病情遷延難治。
4、忌食辛辣煎炸及溫熱性食物:宮頸炎患者應該要忌食辛辣、煎炸食物如辣椒、茴香、花椒、洋蔥、芥末、烤雞、炸豬排等;溫熱食物如牛肉、羊肉、狗肉等均可助熱上火,加重病情。
醫學疾病任務——婦科
| 婦科是醫療機構的一個診療科目,是婦產科的一個分支專業,是以診療女性婦科病為診療的專業科室。女性生殖系統所患的疾病才叫婦科疾病。婦科疾病的種類可分很多種,本任務包含大多數婦科疾病。 |

