概述
假麥格綜合徵部位:胸部,腹部,盆腔
科室:婦科,婦產科
症狀:腹脹腹痛咳嗽胸痛胸悶
本徵系指由於盆腔腫瘤伴發腹水和胸腔積液並且腫瘤切除後腹水及胸腔積液仍不一定消失的一種綜合徵。
流行病學
1937年Meig和Cass二人詳細闡述了7例麥格綜合徵後1954年
Meig在obstetGynecol雜誌上提出了假麥格綜合徵1968年,Brenner與Scott以“繼發於Krukenberg腫瘤的類Meig綜合徵”為題報導了此綜合徵。病因
本徵發生腹水的原因多是伴發卵巢輸卵管、子宮等處的惡性腫瘤,尤其是發生有腹膜種植或轉移者良性乳頭狀囊腺瘤與黏液性囊腺瘤因乳頭穿破囊壁可種植於腹膜,也可產生大量腹水
發病機制
假麥格綜合徵假性麥格綜合徵系非卵巢纖維瘤而為卵巢其他類型的良、惡性腫瘤、胰腺疾患或其他部位腫瘤。假性麥格綜合徵產生腹水多是伴發卵巢輸卵管、子宮或圓韌帶等處的惡性腫瘤尤其是發生腹膜種植或轉移者上皮性乳頭狀癌因乳頭穿破囊壁在腹膜種植,這些種植或轉移至腹膜的瘤細胞可有分泌以及它的分解產物使腹膜受到化學性刺激產生腹水;也可來自卵巢腫瘤破裂,瘤內容物不斷滲入腹腔形成腹水;也可經橫膈或經淋巴到達胸腔,引起胸腔積液。
臨床表現
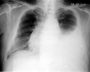
假性麥格綜合徵的臨床表現與真性麥格綜合徵相似。發生的腹水大多為棕紅色血性腹水,有時混有黏液或瘤內容物腹水黏稠混濁,通過離心沉澱作塗片檢查有時可找到癌細胞,因此做腹腔穿刺採取腹水標本進行檢查,有利於診斷和鑑別。
併發症
胸腔積液和腹水於手術後消退又於短期內復發。
診斷
首先具備診斷惡性盆腔腫瘤的臨床表現結合胸腔或腹腔穿刺陽性,即可診斷
鑑別診斷
假麥格綜合徵與麥格綜合徵的鑑別要點:
1.腫瘤的部位與性質麥格綜合徵系指卵巢纖維瘤伴腹腔積液和胸腔積液腫瘤多發生於單側,是一種良性實質性腫瘤偶發惡性。而本徵的腫瘤在卵巢輸卵管子宮子宮圓韌帶均可發生大部分是惡性腫瘤以及良性腫瘤有臨床惡性表現者如良性乳頭狀漿液性囊腺瘤和乳頭狀生長的黏液性囊腺瘤等。本徵的腫瘤也可發生其他器官的轉移及腹膜、周圍組織的種植
2.腹腔積液檢查卵巢纖維瘤所引起的腹水清亮、淡黃色或黃綠色相對密度(比重)較低,其中膠體、細胞和細胞碎屑成分少找不到癌細胞假麥格綜合徵發生的腹腔積液,大部分是棕紅色、血性腹腔積液有時由於混有黏液或瘤內容物,腹水黏稠混濁通過離心沉澱做塗片檢查有時可見癌細胞或脫落的瘤細胞。因此根據情況可做腹腔穿刺,採取腹水標本進行檢查,有利於診斷和鑑別
實驗室檢查
1.激素測定本徵如果是由有功能性腫瘤引起的,則相應的激素有所升高例如,卵巢原發性絨毛膜癌患者血和尿中可測到絨毛膜促性腺激素
2.超音波檢查可協助診斷腫瘤的部位,以區分囊性或實質性腫瘤。
3.腹水的性狀檢查假麥格綜合徵大多腹水為血性,可找到癌細胞;而真麥格綜合徵腹水是清亮的;假麥格綜合徵在腹水中往往可找到一些腫瘤標記物。
其它輔助檢查
組織病理學檢查是診斷該病的金指標。手術切除腫瘤後或腹腔鏡取活檢,也是明確診斷本徵的惟一方法。
相關檢查
•>絨毛膜促性腺激素
治療
手術切除腫瘤是本徵的治療原則根據腫瘤的性質,可在術前、術後進行放療及化療。
治療用藥
氫氯噻嗪片
氫氯噻嗪片【批准文號】國藥準字H21020207
【中文名稱】氫氯噻嗪片
【產品英文名稱】Chlorothiazide Tablets
【生產企業】朝陽富祥藥業有限公司
【功效主治】1.水腫性疾病排泄體內過多的鈉和水,減少細胞外液容量,消除水腫。常見的包括充血性心力衰竭、肝硬化腹水、腎病綜合症、急慢性腎炎水腫、慢性腎功能衰竭早期、腎上腺皮質激素和雌激素治療所致的鈉、水瀦留。2.高血壓可單獨或與其他降壓藥聯合套用,主要用於治療原發性高血壓。3.中樞性或腎性尿崩症。4.腎石症主要用於預防含鈣鹽成分形成的結石。
【化學成分】主要成分:氫氯噻嗪。化學名稱:6-氯-3,4-二氫-2H-1,2,4-苯並噻二嗪-7-磺醯胺-1,1-二氧化物。分子式:C7H8ClN3O4S2分子量:297.74
【藥理作用】1對水、電解質排泄的影響。①利尿作用,尿鈉、鉀、氯、磷和鎂等離子排泄增加,而對尿鈣排泄減少。本類藥物作用機制主要抑制遠端小管前段和近端小管(作用較輕)對氯化鈉的重吸收,從而增加遠端小管和集合管的Na+-K+交換,K+分泌增多。其作用機制尚未完全明了。本類藥物都能不同程度地抑制碳酸酐酶活性,故能解釋其對近端小管的作用。本類藥還能抑制磷酸二酯酶活性,減少腎小管對脂肪酸的攝取和線粒體氧耗,從而抑制腎小管對Na+、Cl-的主動重吸收。②降壓作用。除利尿排鈉作用外,可能還有腎外作用機制參與降壓,可能是增加胃腸道對Na+的排泄。2對腎血流動力學和腎小球濾過功能的影響。由於腎小管對水、Na+重吸收減少,腎小管內壓力升高,以及流經遠曲小管的水和Na+增多,刺激緻密斑通過管-球反射,使腎內腎素、血管緊張素分泌增加,引起腎血管收縮,腎血流量下降,腎小球進球和出球小動脈收縮,腎小球濾過率也下降。腎血流量和腎小球濾過率下降,以及對亨氏袢無作用,是本類藥物利尿作用遠不如袢利尿藥的主要原因。
【藥物相互作用】1腎上腺皮質激素、促腎上腺皮質激素、雌激素、兩性黴素B(靜脈用藥),能降低本藥的利尿作用,‘增加發生電解質紊亂的機會,尤其是低鉀血症。 2非甾體類消炎鎮痛藥尤其是吲哚美辛,能降低本藥的利尿作用,與前者抑制前列腺素合成有關。3與擬交感胺類藥物合用,利尿作用減弱。4考來烯胺(消膽胺)能減少胃腸道對本藥的吸收,故應在口服考來烯胺1小時前或4小時後服用本藥。5與多巴胺合用,利尿作用加強。6與降壓藥合用時,利尿降壓作用均加強7與抗痛風藥合用時,後者應調整劑量。8使抗凝藥作用減弱,主要是由於利尿後機體血漿容量下降,血中凝血因子水平升高,加上利尿使肝臟血液供應改善,合成凝血因子增多。9降低降糖藥的作用。10洋地黃類藥物、胺碘酮等與本藥合用時,應慎防因低鉀血症引起的副作用。11與鋰製劑合用,因本藥可減少腎臟對鋰的清除,增加鋰的腎毒性。 12烏洛托品與本藥合用,其轉化為甲醛受抑制,療效下降。13增強非去極化肌松藥的作用,與血鉀下降有關。 14與碳酸氫鈉合用,發生低氯性鹼中毒機會增加。
【不良反應】大多不良反應與劑量和療程有關。
1水、電解質紊亂所致的副作用較為常見。低鉀血症較易發生與噻嗪類利尿藥排鉀作用有關,長期缺鉀可損傷腎小管,嚴重失鉀可引起腎小管上皮的空泡變化,以及引起嚴重快速性心率失常等異位心率。低氯性鹼中毒或低氯、低鉀性鹼中毒,噻嗪類特別是氫氯噻嗪常明顯增加氯化物的排泄。此外低鈉血症亦不罕見,導致中樞神經系統症狀及加重腎損害。脫水造成血容量和腎血流量減少亦可引起腎小球慮過率降低。上述水、電解質紊亂的臨床常見反應有口乾、煩渴、肌肉痙攣、噁心、嘔吐和極度疲乏無力等。2高糖血症。本藥可使糖耐量降低,血糖升高,此可能與抑制胰島素釋放有關。3高尿酸血症。干擾腎小管排泄尿酸,少數可誘發痛風發作。由於通常無關節疼痛,故高尿酸血症易被忽視。4過敏反應,如皮疹、蕁麻疹等,但較為少見。5血白細胞減少或缺乏症、血小板減少性紫癜等亦少見。6其他,如膽囊炎、胰腺炎、性功能減退、光敏感、色覺障礙等,但較罕見。
【禁忌症】【產品規格】10mg/片
【用法用量】1成人常用量口服。①治療水腫性疾病,每次25~50mg,每日1~2次,或隔日治療,或每周連服3~5日。②治療高血壓,每日25~100mg,分1~2次服用,並按降壓效果調整劑量。
2小兒常用量口服。每日按體重1~2mg/kg或按體表面積30~60mg/m2,分1~2次服用,並按療效調整劑量。小於6個月的嬰兒劑量可達每日3mg/kg。
【貯藏方法】遮光,密封保存。
【注意事項】1交叉過敏:與磺胺類藥物、呋塞米、布美他尼、碳酸酐酶抑制劑有交叉反應。
2對診斷的干擾:可致糖耐量降低、血糖、尿糖、血膽紅素、血鈣、血尿酸、血膽固醇、甘油三酯、低密度脂蛋白濃度升高,血鎂、鉀、鈉及尿鈣降低。3下列情況慎用:①無尿或嚴重腎功能減退者,因本類藥效果差,套用大劑量時可致藥物蓄積,毒性增加;②糖尿病;③高尿酸血症或有痛風病史者;④嚴重肝功能損害者,水、電解質紊亂可誘發肝昏迷;⑤高鈣血症;⑥低鈉血症;⑦紅斑狼瘡,可加重病情或誘發活動;⑧胰腺炎;⑨交感神經切除者(降壓作用加強);⑩有黃疸的嬰兒。4隨訪檢查:①血電解質;②血糖;③血尿酸;④血肌酶,尿素氮;⑤血壓。5應從最小有效劑量開始用藥,以減少副作用的發生,減少反射性腎素和醛固酮分泌。6有低鉀血症傾向的患者,應酌情補鉀或與保鉀利尿藥合用。
螺內酯膠囊
【中文名稱】螺內酯膠囊
【產品英文名稱】Spironolactone Capsules
【生產企業】重慶科瑞製藥有限責任公司
【功效主治】(1)水腫性疾病與其他利尿藥合用,治療充血性水腫、肝硬化腹水、腎性水腫等水腫性疾病,其目的在於糾正上述疾病時伴發的繼發性醛固酮分泌增多,並對抗其他利尿藥的排鉀作用。也用於特發性水腫的治療。(2)高血壓作為治療高血壓的輔助藥物。(3)原發性醛固酮增多症螺內醋可用於此病的診斷和治療。(4)低鉀血症的預防與噻嗪類利尿藥合用,增強利尿效應和預防低鉀血症。
【化學成分】本品主要成份為:螺內酯。
【藥理作用】本藥結構與醛固酮相似,為醛固酮的競爭性抑制劑。作用於遠曲小管和集合管,阻斷Na+-K+和Na+-H+交換,結果Na+、C1-和水排泄增多,K+、Mg2+和H+排泄減少,對Ca2+和的作用不定。由於本藥僅作用於遠曲小管和集合管,對腎小管其他各段無作用,故利尿作用較弱。另外,本藥對腎小管以外的醛固酮靶器官也有作用。
【藥物相互作用】1腎上腺皮質激素尤其是具有較強鹽皮質激素作用者,促腎上腺皮質激素能減弱本藥的利尿作用,而拮抗本藥的瀦鉀作用。
2雌激素能引起水鈉瀦留,從而減弱本藥的利尿作用。
3非甾體類消炎鎮痛藥,尤其是吲哚美辛,能降低本藥的利尿作用,且合用時腎毒性增加。
4擬交感神經藥物降低本藥的降壓作用。
5多巴胺加強本藥的利尿作用。
6與引起血壓下降的藥物合用,利尿和降壓效果均加強。
7與下列藥物合用時,發生高鉀血症的機會增加,如含鉀藥物、庫存血(含鉀30mmol/L,如庫存10日以上含鉀高達65mmol/L)、血管緊張素轉換酶抑制劑、血管緊張素Ⅱ受體拮抗劑和環孢素A等。
8與葡萄糖胰島素液、鹼劑、鈉型降鉀交換樹脂合用,發生高鉀血症的機會減少。
9本藥使地高辛半衰期延長。
10與氯化銨合用易發生代謝性酸中毒。
11與腎毒性藥物合用,腎毒性增加。
12甘珀酸鈉、甘草類製劑具有醛固酮樣作用,可降低本藥的利尿作用。
【不良反應】
1常見的有:①高鉀血症,最為常見,尤其是單獨用藥、進食高鉀飲食、與鉀劑或含鉀藥物如青黴素鉀等以及存在腎功能損害、少尿、無尿時。即使與噻嗪類利尿藥合用,高鉀血症的發生率仍可達8.6%~26%,且常以心律失常為首發表現,故用藥期間必須密切隨訪血鉀和心電圖;②胃腸道反應,如噁心、嘔吐、胃痙攣和腹瀉;尚有報導可致消化性潰瘍。
2少見的有:①低鈉血症,單獨套用時少見,與其他利尿藥合用時發生率增高;②抗雄激素樣作用或對其他內分泌系統的影響,長期服用本藥在男性可致男性乳房發育、陽萎、性功能低下,在女性可致乳房脹痛、聲音變粗、毛髮增多、月經失調、性機能下降;③中樞神經系統表現,長期或大劑量服用本藥可發生行走不協調、頭痛等。
3罕見的有:①過敏反應,出現皮疹甚至呼吸困難;②暫時性血漿肌酐、尿素氮升高,主要與過度利尿、有效血容量不足、引起腎小球濾過率下降有關;③輕度高氯性酸中毒;④腫瘤,有報導5例患者長期服用本藥和氫氯噻嗪發生乳腺癌。
【禁忌症】高鉀血症患者禁用。
【產品規格】20mg
【用法用量】1成人①治療水腫性疾病,每日40~120mg,分2~4次服用,至少連服5日。以後酌情調整劑量。②治療高血壓,開始每日40~80mg,分次服用,至少2周,以後酌情調整劑量,不宜與血管緊張素轉換酶抑制劑合用,以免增加發生高鉀血症的機會。③治療原發性醛固酮增多症,手術前患者每日用量100~400mg,分2~4次服用。不宜手術的患者,則選用較小劑量維持。④診斷原發性醛固酮增多症。長期試驗,每日400mg,分2~4次,連續3~4周。短期試驗,每日400mg,分2~4次服用,連續4日。老年人對本藥較敏。
2小兒治療水腫性疾病,開始每日按體重1~3mg/kg或按體表面積30~90mg/m2,單次或分2~4次服用,連服5日後酌情調整劑量。最大劑量為每日3~9mg/kg或90~270mg/m2。
【貯藏方法】遮光,密封保存。
【注意事項】1下列情況慎用:①無尿;②腎功能不全;③肝功能不全,因本藥引起電解質紊亂可誘發肝昏迷;④低鈉血症;⑤酸中毒,一方面酸中毒可加重或促發本藥所致的高鉀血症;另一方面本藥可加重酸中毒;⑥乳房增大或月經失調者。
2給藥應個體化,從最小有效劑量開始使用,以減少電解質紊亂等副作用的發生。如每日服藥一次,應於早晨服藥,以免夜間排尿次數增多。
3用藥前應了解患者血鉀濃度,但在某些情況血鉀濃度並不能代表機體內鉀含量,如酸中毒時鉀從細胞內轉移至細胞外而易出現高鉀血症,酸中毒糾正後血鉀即可下降。
4本藥起作用較慢,而維持時間較長,故首日劑量可增加至常規劑量的2~3倍,以後酌情調整劑量。與其他利尿藥合用時,可先於其他利尿藥2~3日服用。在已套用其他利尿藥再加用本藥時,其他利尿藥劑量在最初2~3日可減量50%,以後酌情調整劑量。在停藥時,本藥應先於其他利尿藥2~3日停藥。
5用藥期間如出現高鉀血症,應立即停藥。
6應於進食時或餐後服藥,以減少胃腸道反應,並可能提高本藥的生物利用度。
7對診斷的干擾:①使螢光法測定血漿皮質醇濃度升高,故取血前4~7日應停用本藥或改用其他測定方法:②使下列測定值升高,血漿肌酐和尿素氮(尤其是原有腎功能損害時)、血漿腎素、血清鎂、鉀;尿鈣排泄可能增多,而尿鈉排泄減少。
飲食注意食療方
1.玉米須30至60克,冬瓜子15克,赤小豆30克,水煎服,每日1劑,15劑為一療程。功效:利尿消腫,治腹水。
2.綠豆500克,豬膽4個。用豬膽汁調綠豆面為丸(如綠豆大),每日3次,每次6至9克,服完為止。
功效:利水消腫。
3.赤小豆50克煮熟,再加入一斤重鯉魚(去內臟及鱗),不加油、鹽、醋等調料。
早飯前或早飯同時一次服完,病重者一天服二劑,輕症及鞏固療效階段可只服半劑。
4.泥鰍500克,去腮及內臟,洗淨,加食鹽少許(腹水明顯者不加),加水適量,清燉至五成熟,加入豆腐250克,再燉至魚熟爛即可,吃魚、豆腐、喝湯,分頓食用。
功效:補中益氣,清利濕熱。
飲食禁忌
1.飲食清淡而富有營養。
2.多吃含有抗癌物質:蔬菜、蘿蔔、酸梅、黃豆、牛肉、蘑菇、蘆筍、薏苡仁等
3.多吃水果、牛奶、甲魚等富含多種胺基酸、維生素、蛋白質和易消化的滋補食品。
4.對高熱傷津的病人可給予梨汁或蘋果汁、西瓜汁等。
5.白帶色黃、量多、質稠的患者忌食煎烤油膩、辛辣之物。
6.少腹冷痛、怕涼,腰酸疼的腫瘤患者,給予薑湯、紅糖水、桂元肉等溫熱性食物。
7.五心煩熱、腰痛者多,食肉蛋類血肉有情之品,以滋補強壯。
8.限制膳食中的鹽與鈉。
有水腫或輕度腹水的病人:每日攝入的鹽量不超過3克。
嚴重水腫:鈉應限制在500毫克左右。
9.每日進水量應限制在1000毫升~1500毫升。
10.少吃油膩過重的食物。
11.忌食過酸、過辣、過鹹、菸酒等刺激物。
12.少吃含化學物質、防腐劑、添加劑的飲料和零食。
13.少吃容易過敏的"發物":不帶殼的海鮮、筍、芋等。
預後
本徵預後取決於腫瘤的性質以及有無轉移一般較差,在轉移前手術預後可能稍好
預防
1、定期檢查,做到早期發現、診斷。
2、早期發現、早期手術、做好隨訪。
醫學疾病任務——婦科
| 婦科是醫療機構的一個診療科目,是婦產科的一個分支專業,是以診療女性婦科病為診療的專業科室。女性生殖系統所患的疾病才叫婦科疾病。婦科疾病的種類可分很多種,本任務包含大多數婦科疾病。 |

