基本概述
絨毛膜癌據統計絨毛膜癌及惡性葡萄胎發病之前約有50%患過葡萄胎,25%發生在流產之後,其餘22%則發生在正常妊娠以後。流行病學調查所示,絨毛膜癌及惡性葡萄胎高發的國家都以大米和蔬菜為主食,葡萄胎在歐美國家比較少見,大約2000次妊娠中有1次,而在東南亞國家則多見:中國葡萄胎髮生率為每1231次妊娠中有1次,即0.81%,以長江以南及沿海各地較高。本病以往死亡率很高,自從開展化學療法以來,絨毛膜癌及惡性葡萄胎的死亡率已下降至20%以下。
傳統醫學對本病的認識可追溯到2000多年前的醫學典籍《黃帝內經》,知“日以益大,狀如懷子,月事不以時下”(《靈樞·脹論》)。漢代張仲景所著《金匱要略》也談到“經斷未及三月,而得漏下不止”並開創用活血祛瘀法治療本病之先河,爾後在大量醫療實踐中,又不斷總結髮掘出對本病具有一定治療作用的單驗方等療法,對於改善症狀,減輕西醫放、化療不良反應,提高生命質量具有一定的優勢。
絨毛謨癌及惡性葡萄胎在傳統醫學中稱謂不一,中醫學中屬“水泡狀鬼胎”、“奇胎”、“怪胎”等範疇。蒙醫學稱之為“水泡痞”。
病因病機
病因
絨毛膜癌絨毛膜癌是有男方的成分在內的異體細胞變成的腫瘤,具有較強的免疫原性或抗原性,因其肇始於來自下一代的胚滋養細胞惡變,而滋養細胞來源於胚外層,不屬於上皮細胞性質,因此,傳統?quot;絨毛膜癌上皮癌"的說法被"絨毛膜癌"所替代。絨毛膜癌中妊娠性絨癌基本上繼發於不正常的妊娠之後;非妊娠性絨癌(也稱原發性絨癌),發生的原因與身體其他惡性腫瘤一樣,由自身正常體細胞惡變而來,是人體一種罕見的腫瘤。有學者提出畸胎髮生學說、孤雌生殖學說等,但均不能圓滿解釋其發生的原因與機理,有待進一步研究。
絨毛膜癌的病理形態可見癌變多發於胎盤附著處,亦可充滿整個宮腔。絨癌幾乎皆由血行播散,可轉移至任何器官和組織,最常見者為肺(70%),其次為肝(20%),腦轉移者也不少見,且常向陰道、外陰轉移。絨毛膜癌惡性度高,發展迅速,轉移較早。
近年來絨癌的化療進展很快,是人體惡性實體瘤中第一個可以單獨套用化學藥物治癒的腫瘤。即是有遠處轉移的晚期患者,通過化療也能獲得較好的療效。中醫學中無絨毛膜癌病名,根據其臨床表現與醫籍中記載的“奇胎”、“水泡狀鬼胎”、“崩漏”、“症瘕”等病症相似。絨毛膜癌-預防保健:http://www.clsbio.com/azbk/rmma/rmmayf/26308.html
病機
婦女房勞多產,素體正氣不足,故在胚胎形成之時,既有外邪入侵與精血相博,瘀滯胞脈伏於沖任。分娩或流產之後,胞脈空虛,血虛血瘀,瘀血凝滯,氣機被阻漸成皔瘕。脈絡瘀阻不通,血運失常,瘀血不去,新血難安,郁久化熱,邪毒內蘊,灼傷陰津,導致正氣虛弱,臟腑功能衰竭,出現全身症狀。
病理變化
肉眼觀,癌結節呈單個或多個,位於子宮的不同部位,大者可突入宮腔,常侵入深肌層,甚而穿透宮壁達漿膜外。由於明顯出血壞死,癌結節質軟,色暗紅或紫蘭色。
鏡下,瘤組織由分化不良的細胞滋養層和合體細胞滋養層兩種瘤細胞組成,細胞異型性明顯,核分裂像易見。兩種細胞混合排列成巢狀或條索狀,偶見個別癌巢主要由一種細胞組成。腫瘤自身無間質血管,依靠侵襲宿主血管獲取營養,故癌組織和周圍正常組織有明顯出血壞死,有時癌細胞大多壞死,僅在邊緣部查見少數殘存的癌細胞。癌細胞不形成絨毛和水泡狀結構,這一點和侵蝕性葡萄胎明顯不同。
病症危害
一、引起宮外孕絨毛膜癌的症刺激會引起輸卵管水腫,黏膜變薄,不利於精子和卵子的結合,且不及時治療,病情加重,輸卵管會因為黏膜上皮細胞的壞死,出現粘連,堵塞,影響精子的通過,即使和卵子結合了也不能及時到達子宮,可能會引起宮外孕,威脅女性的健康。
二、損害卵巢正常功能
絨毛膜癌真正的災難性後果是使卵巢無法發揮正常的生理功能。但卵巢不僅承擔著產生卵子與精於結合,創造延續人類歷史重任,而且還承擔著女性特有的雌激素,孕激素與雄性激素的分泌,支撐著女性的第二性徵;使乳房亢盈、挺拔、子宮充滿活力:使皮膚百嫩細膩,線條柔潤魅力四射。絨毛膜癌不但可使女性不孕不育,第二性徵弱化消失,尚可直接造成內分泌失調,致使皮膚早衰,偷走女人的美麗。
三、帶來不孕症
絨毛膜癌的感染途徑有多種,可以通過臨近器官的症波及而來,如闌尾等。也可經過淋巴道、血行播散等,性接觸,不注意衛生也會引起絨毛膜癌症,女性朋友應該引起重視,特別是已婚女性患病率更大。未婚女性雖然抵禦病菌的屏障比已婚女性多,但是因為它的感染途徑多,所以未婚女性也是可能感染的,如未及時治療,可演變成慢性絨毛膜癌,阻塞輸卵管,導致宮外孕或不孕症,造成終身憾事。
症狀表現
(一)陰道流血 在產後、流產後,特別在葡萄胎清宮後有不規則陰道流血,量多少不定。少數原發灶已消失而僅有繼發灶者,則無陰道流血,甚至出現閉經。
(二)假孕症狀 由於腫瘤分泌的hCG及雌、孕激素的作用,使乳頭、外陰色素加深,陰道及子宮頸黏膜也有著色,並有閉經、乳房增大、生殖道變軟等症狀。
(三)腹部包塊 因增大的子宮或闊韌帶內形成血腫,或增大的黃素囊腫,患者往往主訴為下腹包塊。
(四)腹痛 癌細胞侵蝕子宮壁或子宮腔積血所致,也可因癌組織穿破子宮或內臟轉移所致。
(五)轉移灶表現:
1.肺轉移 絨癌因其血運轉移的特點,故肺部最為多發,因轉移的部位不同,可產生不同的症狀,如咳嗽、血痰,反覆咯血。肺X攝片檢查可見片狀、棉球狀、結節狀陰影。
2.陰道轉移 癌細胞經宮旁靜脈逆行至陰道所致,發生率僅次於肺,其特徵為紫紅色的結節,突出於陰道黏膜面,為柔軟而實質的腫塊,如表面破裂,可引起大量流血,甚至致命。
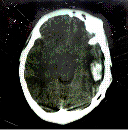
3.腦轉移 常繼發於肺轉移之後,是死亡的主要原因,在最早期,是腦動脈內瘤栓期,造成局部缺血,出現一過性症狀,如腿軟跌倒、失語、失明,經幾秒鐘或幾分鐘後即恢復。以後在小動脈內形成動脈瘤,繼續生長發展,產生破壞性症狀,造成蛛網膜下腔及附近腦組織出血,主要的症狀為頭痛、偏癱、嘔吐、平衡失調、視覺障礙、失語、高熱、抽搐,以至昏迷,如引起腦疝,病人可突然死亡。
4.肝、腎、消化道轉移 轉移灶小而未破裂出血,不易被發現,若破裂出血,則有相應臟器的症狀
併發症
預後與很多因素有關,如早期診斷,及時治療,預後較佳;分娩、流產後的絨毛膜癌比良性葡萄胎後絨毛膜癌預後欠佳;發現絨毛膜癌距離時間愈久,即所謂潛伏期愈長,則預後不良,凡手術後絨毛膜促性腺激素的濃度迅速下降,以後一直保持陰性者,預後較佳;如果是一度曾下降而未達到陰性,且持續不變的,預後不良。
檢查
(一)有組織學檢查者,以組織學診斷為準。絨癌在組織學檢查時僅見大量滋養細胞及出血壞死,若見到絨毛,則可排除絨癌的診斷。
(二)無組織學檢查者,凡流產、分娩、宮外孕以後出現症狀或轉移灶,並有hCG升高,可診斷為絨癌。葡萄胎清宮後間隔一年以上發生的,亦診斷為絨癌。
(三)疑有腦轉移時,可作CT、B超檢查,可顯示轉移灶,但病灶小時,不一定能明確診斷,可作腦脊液與血漿的hCG測定,腦脊液hCG水平:血漿hCG水平>1:60,則示有hCG直接泌入腦脊液,即可診斷為腦轉移。
播散轉移
絨毛膜癌絨癌轉移途徑,主要是通過血運,隨著血運絨癌的滋養細胞播散至全身,病變原發於子宮,不久即侵入子宮肌層的血竇中,由此進入宮旁組織的靜脈內,形成宮頸、宮旁轉移,繼續發展則在子宮靜脈形成瘤栓,血運受阻,逆流至陰道靜脈叢,瘤組織乘機進入陰道靜脈,形成陰道、外陰轉移瘤。侵入子宮和卵巢內的瘤細胞,隨回心血流侵入肺動脈,形成肺轉移瘤。瘤細胞繼續繁殖生長,穿破腫瘤內的靜脈,再隨回心血流循環擴散到全身器官和各組織,在各處形成轉移瘤。此時治療不恰當,病人不久就會死亡。
鑑別診斷
診斷
(一)臨床診斷
1.正常或不正常妊娠後陰道反覆不規則出血。
2.絨癌臨床體徵。
3.絨癌臨床轉移症狀和體徵。
4.輔助檢查可見轉移病灶。
患者可出現上述各項中1項,再複查血hcg值不正常就可確診為絨癌。
(二)臨床分期
Ⅰ期:病變局限於子宮(無轉移)。
Ⅱ期:病變轉移至宮旁、附屬檔案(近處轉移)。
Ⅱa:病變轉移局限於宮旁、附近。
Ⅱb:病變轉移至陰道。
Ⅲ期:病變轉移至肺(遠處轉移)。
Ⅲa:肺部球形陰影直徑<3cm,或片狀陰影面積不超過一側肺之半。
Ⅲb:肺部陰影超過上述範圍。
Ⅳ期:病變轉移至肝、脾、腎、腸管等器官(全身轉移)。
(三)病理診斷
絨癌的病理特點是大片增生和分化不良的滋養細胞侵犯子宮肌層和血管,仔細檢查未發現有絨毛或葡萄胎樣結構,常伴有遠處轉移,最常見轉移部位是肺。
鑑別診斷
絨癌的診斷有特別異性,即血hcg連續測定不正常就可以確診,故臨床上有陰道不規則流血病史的病人,只要動態檢測血hcg值,就很容易與絨癌相鑑別。
絨癌和惡性葡萄胎的臨床診斷都依據血hcg值,二者臨床鑑別有以下3點。
1.妊娠性質 繼流產或足月產後發生惡變者為絨癌,繼良性葡萄胎後發生惡變者,則可能是惡性葡萄胎,也可能是絨癌。
2.葡萄胎排出時間 葡萄胎完全排出後在6個月以內惡變為惡性葡萄胎;葡萄胎排出後已超過1年又惡變者為絨癌;介於二者之間者,臨床鑑別較困難,大多數學者仍把這部分病例列為惡性葡萄胎。
3.病理 凡在病理標本中肉眼或鏡下可找到絨毛結構或葡萄胎組織者為惡性葡萄胎,反之,若只見大片散在的滋養細胞,即不再見絨毛結構,才可診斷為絨癌。
治療方式
絨毛膜癌由來的示意圖以化療為主,手術為輔,年輕未育者儘可能不切除子宮,以保留生育功能,如不得已切除子宮,卵巢僅可保留。
(一)化療 常用藥物有5-氟脲嘧啶(5-Fu)、氨甲喋呤(MTX)、更生黴素(KSM)等。用藥原則:多採用聯合用藥,如2療程後效果不明顯,應改換其他藥物。副作用:以造血功能障礙為主,其次為消化道反應,脫髮肝損也常見。停藥指征:治療需持續至無症狀,hCG每10天測定1次,連續3次在正常範圍,再鞏固2療程,觀察3年無復發者為治癒。
(二)手術 病變在子宮,化療無效者可切除子宮,年輕者保留正常卵巢。轉移灶位於體表能切除者,可手術切除。預後與很多因素有關,化療後80%治癒,嚴重病例多死於併發症。
化學治療是絨毛膜癌的主要治療手段之一,那么,絨毛膜癌患者在化學治療時有哪幾種藥物選擇呢?化學治療常用方案又有哪幾種呢?以下是湖南抗癌網專家介紹絨毛膜癌化療的藥物種類及化療常用的方案:
一、化療藥物的選擇
在一般早期病例,可單用一種藥物,以5-Fu為首選。如病情急或已到晚期、則需二種或二種以上藥物合用。常用的為5—氟脲嘧啶(5-Fu)加更生黴素(ksm)。5-Fu、ksm療效最好,副作用小、對肺、消化道、泌尿道及生殖道的轉移均有效。可用作靜脈給藥,動脈灌注,腔內或瘤內注射,也可口服。
二、常用化療方案
1、單藥治療:所用劑量比多種用藥時要大,如5-Fu28~30mg/kg/日。
2、雙藥治療:劑量較單藥治療略小,療程天數也較短,如5-Fu試為26mg/kg/日,更生霉索6ug/kg/日。
三、藥物劑量
要獲得滿意效果,各種藥物的用量必須達到病人最大耐受量,尤其是第一、二療程更為重要,藥物選擇合適,用量足夠,則多數病例可以迅速見效。
四、給藥的速度
各種藥物給藥的速度均有一定的要求,如5-Fu,加入5%葡萄糖500ml水中後,必須在2~8小時內點滴完;過快毒性就大,過慢可影響療效。
五、療程的長短
療程過長毒性就大,療程過短療效就差。因而一個療程一般以8~10天為宜。
六、給藥的途徑
同一藥物,給藥途徑不同,所起作用也不同,因此,肺轉移病人最好用靜脈給藥的方法,消化系統轉移病人給口服藥物方法,肝轉移病人經門靜脈給藥,治療效果好。
七、療程的間隔
主要依據病情需要和藥物毒性作用消退情況而定。毒性作用較輕,停藥後血象恢復快,間隔可稍短;毒性作用較重,血象恢復慢,間隔要稍長。5-Fu或KSM毒性作用較輕,約為兩周,而硫基嘌冷(6-mP)和MTX毒性作用較重,約為4周。
八、療效的觀察
藥物套用後一般並不立即見到療效,血和尿HCG含量有明顯下降需在用完一療程後2周左右出現減少。肺轉移陰影吸收亦需在停藥後3周左右才明顯。所以,為觀察療效而進行輔助檢查,均不宜過早,否則,常易造成錯覺,以為無效。
九、停藥的標準
要達到根治,減少復發,治療須達到完全恢復標準:
1、臨床無症狀
2、肺內轉移病灶完全消失。
3、HCG測定持續正常後再鞏固1~2個療程,才可停藥觀察,有時比較重的病人治療後為預防復發,可多用幾個療程鞏固。
中醫偏方
惡性葡萄胎和絨毛膜癌是胚胎絨毛組織發生病理改變所致,其發生於正常或不崐正常妊娠之後,發病快,轉移廣泛,病死率高。廣州仁愛醫院婦科專家介紹說惡性葡萄胎主要表現為在流產、足月分娩後長期不規則陰道流血,有時突然大崐出血,甚至錯迷。由於流血多,可出現貧血、消瘦。絨毛膜癌的臨床症狀,最常見崐為陰道持續不規則出血,子宮增大且柔軟;發生轉移後,可因轉移部位不同而發生崐不同的症狀。
本病屬於中醫學“鬼胎”、“漏下”等範疇,多由沖脈為寒氣所侵,氣機受阻,崐瘀血凝滯於胞宮,日久而成本病。若失治誤治,正氣更傷,則終不可治。中醫主要崐選用清熱解毒,軟堅散結之品,中西醫結合治療乃為良策。
方一
[主治]絨毛膜上皮癌、惡性葡萄胎。[方藥] 天花粉50克,牙皂粉30克。[用法] 將兩藥分別研成細末,裝入膠囊(每顆膠囊含天花粉0.25克,牙皂粉0崐.15克)。陰道給藥。先以溫開水沖洗陰道,排除積水後,然後將膠囊放入後穹窿,崐臥床8小時。劑量從0.25開始,間隔5~7天用藥1次。如用藥後反應輕微,每次可增崐加藥量0.025克。
[編按]據報導,天花粉對絨毛膜上皮癌和惡性葡萄胎有較好療效。現代藥理崐研究證明,該品含有天花粉蛋白,具有較強的抗原性,能引起過敏反應,嚴重時可崐導致死亡,故套用本方時應以0.1微克作皮內注射,陰性者方可使用(見《中國中醫崐秘方大全》下冊,文匯出版社,1989年)。
方二
[主治]惡性葡萄胎,絨毛膜上皮癌。 [方藥] 龍葵、苡仁、天花粉、紫草根、白英、丹參各15克,山豆根、半枝蓮崐各30克。 [用法] 每日1劑,水煎2次,分2~3次服。
[編按]中醫認為“瘀毒內陰”是本病的基本病理特點。故本方以清熱解毒,崐活血祛瘀為法。全方具有很強的抗癌作用。江西省婦幼保健院採用本方結合西藥共崐治療絨毛膜上皮癌34例、惡性葡萄胎43例,近期總治癒率達83.1%(見《抗癌中草藥崐製劑),人民衛生出版社,1981年)。
方三
[主治]絨毛膜上皮癌。[方藥] 五靈脂、蒲黃粉、茜草根、甘草各6克,紅花、台烏藥各3克,射干、崐當歸、山慈菇、炒阿膠,乳香、沒藥各9克,海螵蛸30克,丹參15克。[用法] 每日1劑,水煎2次,分2次服。若肝鬱血熱者加黃芩炭3克,香附、葛崐根各9克;氣鬱血滯者加枳實、桃仁各9克,藏紅花1.5克。
[編按]本方系湖北中醫學院蔣玉伯教授經驗方。具有逐瘀攻毒,活血行氣,崐養血扶正之功效。曾治療絨毛膜上皮癌1例,用藥後臨床治癒,隨訪3年未見 發(崐見》中國中醫秘方大全《中國中醫秘方大全》下冊,文匯出版社,1989年)。
方四
[主治]葡萄胎。[方藥]當歸、澤蘭、山甲珠各9克,軟蜂房6克,茯苓12克,丹參15克,山楂18克。[用法]每日1劑,水煎服。以5劑為1療程。服1個療程後做尿妊娠試驗,若轉為陰性後不再服用。若仍為陽性可繼服第2療程。
[編按]葡萄胎可惡變為子宮絨毛膜上皮癌,可用本方進行預防性治療。用藥後,如出現不規則陰道流血,數量不多者不需停藥,亦不必止血。在治療過程中,如服第二療程後尿妊娠試驗仍屬陽性,可適當加入紫草或半枝蓮等,以加強抗癌作用(見《新醫學》1974年第4期)。
方五
[主治]惡性滋養葉腫瘤。包括惡性葡萄胎、絨毛膜上皮癌。[方藥]當歸、紅花、桃仁、三七、花蕊石、大黃、丹皮、紫草、地黃、廣明參、海浮石、瓜蔞、苡仁、珍珠母、代赭石、土茯苓、半枝蓮各適量。[用法] 1.水煎口服,每日1劑,濃煎至100毫升,分3次服。 2.製成注射劑,50~100毫升加入5%葡萄糖液500毫升內,靜脈滴入。每日1次,連用5~10天后停藥,休息3~4後再用。最多用藥量4000毫升。 3.配合西藥化療,加用5-Fu合用更生黴素等。
[編按]本方是在原有經驗基礎上總結出的協定處方,臨床證明對惡性滋養葉腫瘤具有良好的效果,尤其適用於無轉移,病變局限於子宮者;或者轉移,臨床診斷屬於ⅡA、ⅡB期和ⅢA期者。對於不適宜化療或化療後繼發嚴重藥物中毒反應時,更宜選用本方。中西醫合用或手術可增強治療效果(見《中醫雜誌》1981年第10期)。
方六
[主治]絨毛膜上皮癌。 [方藥]黃芪、白及、敗醬草各15克,赤小豆、苡仁、冬瓜仁、魚腥草各30克。茜顴、茜草、當歸、黨參、阿膠珠各9克,甘草6克。 [用法]每日1劑,水煎2次,分2次服。若腹中有腫塊者加萍蒲黃、五靈脂各9克;陰道出血者加貫眾炭9克;腹脹者加厚朴花9克;胸痛者加鬱金、陳皮各9克;咯血者重用白及、茜草。
[編按]本方具有扶正祛邪抗癌之功效。曾治療絨毛膜上皮癌患者4例,用藥後均基本治癒,其中3例已生小孩。如有1例病人,服用本方4個月後即獲痊癒,先後生產2胎,母子均健在見《抗癌中草藥製劑》,人民衛生出版社,1981年)。
疾病預防
1.廣泛開展優生優育、計畫生育知識普及,做好避孕工作,減少妊娠機會。文明性生活,防止性病傳播,人流術後組織送病理。
2.絨癌近期治癒後鞏固化療1~3個療程,以後每周測定血β-hcg一次,正常者3個月後再鞏固化療一次,以後每半年化療一次,2年不復發者不再化療。
3.絨癌治癒後對要求生育期的婦女嚴格避孕2年,為防止β-hcg值受避孕因素影響,最好採取男用保險套和女用陰道隔膜雙生避孕法。
4.良性滋養細胞腫瘤的惡變機會,據目前文獻報導約為10%~20%,故隨診工作持續至少2年,有條件者應長期隨診。
疾病混淆
一、惡性葡萄胎一般認為惡葡只發生於葡萄胎後而絨癌可發生於足月產後、流產後(包括宮外孕、自然流產或人工流產)。繼葡萄胎後惡變者,絨癌及惡葡均有可能。但在發生時間上有差異。
二、合體細胞子宮內膜炎(syncytialendometritis)足月產後,特別是流產或葡萄胎排出後,刮宮或切除子宮病檢可在淺肌層內尤其是胎盤附著部位,可見有散在的滋養細胞(以合體滋養細胞為主)及炎性細胞,乍看好象腫瘤圖象,但深肌層亞無浸潤。血或尿內hCG測定亦多為陰性。故不屬於滋養細胞疾症範圍。一般經過徹底刮宮後即可逐漸恢復正常。Park(1981)認為合體細胞子宮內膜炎一詞亞不適當,因參與良性侵蝕的細胞為單核,而非合體與多核(non-syncytialandmulti-nuclear),且無明顯的炎症過程。
三、滋養細胞假性瘤(trophoblasticpseudotumor)有種種名稱,除滋養細胞假性瘤(Kurman,1976)外,還有合體細胞瘤(“Syncytioma",Qwing,1960),非典型絨毛膜癌(atypicalchoriocarcinoma,Merdrand,1959),均指組織學與臨床不具有典型絨癌現象,亦不轉移之“持續型良性絨毛膜侵蝕病變”("anunusuallypersitentformofbenignchorionicinvasion"),為胎盤附著處合體滋養細胞反應性增生,形成瘤狀。在組織學上,合體滋養細胞也每每表現出多形性,也出現大的奇形怪狀的核。不存在絨毛結構。與絨癌鑑別是困難的,但根據無核分裂象、缺乏細胞滋養細胞亞沒有侵犯子宮深肌層而造成破壞的傾向等,可與絨癌鑑別。
護理措施
心理護理
一、建立起對絨毛膜癌康復的正確認識。首先應該使患者認識到,建立起有益於康復的心理狀態不會是一帆風順的過程,而是一條變化莫測、蛇蜒崎嶇的道路,我們鼓勵患者,不要把全部希望寄托在治療上,不要兩眼只盯著醫生,而應該喚起自已,調動自身的能量去遏制癌症的死灰復燃。
二、積極尋求心理幫助,不要想像疾病結果。
第一,必須向能夠幫助自己重獲健康的每一個人伸手求援,向家人、好友、醫生護士要求更多的愛護和照料,請他們理解和寬容你的情感需要和情緒波動,你與絕望搏鬥的力量和勇氣正是來自他們寬厚的愛心和支持。
第二,不要想像疾病的最終結果,決不做任何重大的決定。如果你認為將來會會象現在這樣痛苦不堪,必然會自暴自棄,加劇生理狀況的惡化。請你記住,恐懼和痛苦都是暫時的,由此帶來的煩惱與絕望也必將過去。一旦難關度過,你會平心靜氣地思考眼前的障礙和克服的方法,你應該把全部精力用於證有你能渡過難關,你有能力正視和考察病復發的原因和意義。不要把復發看成是治療的失改,而應把它看作是體內富有心理暗示意義的生理信息。這些信息的意義可能是:
1、患者可能無意誤解的屈服於情緒衝突,病情的復發提醒你,需要解決衝突,以及請專家幫助做更進一步的治療。
2、除了病重的時候,患者可能平時尚未找到滿足自己情感需要的方法,請仔細回憶疾病帶來的“好處”,找到滿足自己需要的適宜方式。
3、患者改變生活方式過程中,可能求勝心切,造成了心理緊張,復發便是身體向你發出的警告,欲速則不達,要量力而行。
4、患者在獲得明顯好轉後,自鳴得意,放棄了先前的標準,又被緊張事件所裹挾,人們常習慣滿足一時的需要,而難於將新的生活方式堅持下去,復發恐怕就是對人們的懲罰吧?
5、可能患者並沒有真正滿足自己的情感需要,仍幹著跟自己過不去的蠢事,復發就提醒你別欺騙自己,要把自己的正當需要和健康當作頭等大事,認真對待。
飲食注意
絨毛膜癌患者應多吃水果和蔬菜,如一些蛋白質、脂肪、碳水化合物、各種維生素、礦物質和微量元素等。多吃新鮮蔬菜、水果、如蘋果、桔子、梨、油菜、薺菜、大白菜、胡蘿蔔等。飲食宜清淡,不食羊肉、蝦、蟹、鰻魚、鹹魚、黑魚等發物。多吃有抗癌作用的食物,如蘑菇、黑木耳、大蒜、海藻及蜂王漿等食物。
多食用含維生素C和E的食物:維生素C和E有阻止細胞惡變和擴散、增加上皮細胞穩定性的作用。據合肥鳳凰腫瘤醫院的專家介紹,維生素C還可防止放射損傷的一般症狀,並可使白細胞水平上升;維生素E能促進細胞分裂,延遲細胞衰老;維生素B1可促進患者食慾、減輕放射治療引起的症狀。因此,應多吃含上述維生素豐富的食物,芝麻油、穀類、豆類以及動物內臟等。
進食適量糖類,補充熱量。大劑量放射治療的患者,可使其體內的糖代謝遭到破壞,糖原急劇下降,血液中乳酸增多,不能再利用;而且胰島素功能不足加重。所以補充葡萄糖的效果較好,另外宜多吃蜂蜜、米、面、馬鈴薯等含糖豐富的食物以補充熱量。
絨毛膜癌的飲食禁忌:
1、少吃母雞肉及油炸食品。
2、忌難消化的食品,禁菸、酒等辛辣刺激的食品。
婦科疾病
| 女性生殖系統的疾病即為婦科疾病,包括外陰疾病、陰道疾病、子宮疾病、輸卵管疾病、卵巢疾病等。婦科疾病是女性常見病、多發病。但由於許多人對婦科疾病缺乏應有的認識,缺乏對身體的保健,加之各種不良生活習慣等,使生理健康每況愈下,導致一些女性疾病纏身,且久治不愈,給正常的生活、工作帶來極大的不便。 |
| 單純性外陰炎| 外陰結核 | 外陰-陰道-牙齦綜合徵| 外陰痛| 外陰毛囊炎 | 外陰癤病 | 外陰丹毒 | 外陰急性蜂窩組織炎| 環狀外陰炎 | 外陰前庭炎綜合徵| 外陰潰瘍| 外陰克羅恩病| 外陰黏膜白斑| 外陰瘙癢症| 外陰白化病| 外陰接觸性皮炎| 外陰血吸蟲病 | 外陰蟯蟲病| 外陰阿米巴病| 外陰皮膚脂溢性皮炎| 外陰皮脂溢性角化病| 乾性粟粒疹綜合徵| 外陰濕疹| 外陰神經性皮炎| 外陰銀屑病| 外陰黑色棘皮症| 外陰天皰瘡| 外陰卡波西肉瘤| 陰道上皮內瘤樣變| 嬰幼兒外陰陰道炎| 陰道嗜血桿菌性陰道炎| 結核性陰道炎| 過敏性陰道炎 | 蟯蟲性陰道炎 | 陰道螞蟥叮吸| 陰道血吸蟲病| 陰道美麗筒線蟲病| 單純性外陰陰道念珠菌病| 復發性外陰陰道念珠菌病| 卵巢黃體囊腫破裂| 卵巢朱古力囊腫破裂 | 卵巢腫瘤破裂 | 化膿性盆腔血栓靜脈炎| 特納氏綜合徵| 子宮肌瘤| 卵巢囊腫| 月經失調 | 白帶異常| 外陰炎 | 尿路感染| 宮頸炎| 滴蟲性陰道炎| 黴菌性陰道炎| 非特異性陰道炎| 老年性陰道炎| 細菌性陰道炎| 子宮內膜癌| 尿道炎| 乳腺炎| 絨毛膜癌| 乳腺增生| 陰道痙攣|腺肌症| 副乳 |
婦科病
| 婦科病是困擾很多女性的常見病,關愛女性,呵護健康,遠離婦科病的威脅。 |

