簡介
侵蝕性葡萄胎又稱惡性葡萄胎或稱破壞性絨毛膜瘤,但此名稱現已少用。侵蝕性葡萄胎常繼發於葡萄胎後,它和葡萄胎不同之點是:葡萄胎屬良性病變(只具有潛在惡性),病變組織局限於子宮
侵蝕性葡萄胎臨床表現
1.原發灶表現 最主要症狀是陰道不規則流血。
侵蝕性葡萄胎處理:見絨癌處理。
預後:一般均能治癒,個別病例死於腦轉移。病理分型中3型常發展為絨癌,預後較差。
隨訪:同絨癌隨訪。
疾病分類
腫瘤科,婦產科
發病機理
因其所具有水泡組織的多少及破壞程度,可以從極似良性葡萄胎逐漸過渡到極似絨毛膜癌的不同類型,可以分為三型:
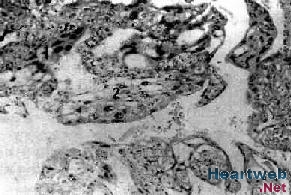
侵蝕性葡萄胎2型 肉眼可見少~中等量水泡,組織有出血壞死,滋養細胞中度增生,部分細胞有分化不良。
3型 腫瘤幾乎全部為壞死組織和血塊,肉眼需仔細才能見少數水泡,個別僅在顯微鏡下才能找到腫大的絨毛,滋養細胞高度增生並分化不良,形成上極似絨毛膜癌。
症狀體徵
侵蝕性葡萄胎2.轉移灶表現症狀、體徵視轉移部位而異。最常見部位是肺,其次是陰道、宮旁,腦轉移少見。在肺轉移早期,胸片顯示肺野外帶單個或多個半透明小圓形陰影為其特點,晚期病例所見與絨癌相似。陰道轉移灶表現為紫藍色結節,潰破後大量出血。腦轉移典型病例出現頭痛、嘔吐、抽搐、偏癱及昏迷,一旦發生,致死率高。
診斷依據
1、萄胎排出後,有不規則陰道出血或咯血。
侵蝕性葡萄胎3、線胸片:可見肺棉球樣轉移灶。
4、妊娠試驗陽性,血及尿hCG含量持續不恢復正常,有的恢復正常或下降接近正常後再度升高。
5、斷性刮宮:將刮出物作病理檢查,檢查結果陰性者亦不能排除惡性葡萄胎。
6、宮切除後,病理檢查可確診。病理特點為葡萄胎組織侵入肌層,滋養細胞增生活躍,組織壞死、出血,可見到絨毛結構。
7、保留子宮者,為明確有無葡萄胎組織侵入肌層,可作超聲檢查、子宮碘油造影及盆腔動脈造影。
診斷檢查
1.病史及臨床表現根據葡萄胎清除後半年內出現典型的臨床表現或轉移灶症狀,結合輔助診斷方法,臨床診斷可確立。
侵蝕性葡萄胎3.超聲檢查B型超聲為非侵入性檢查,可以早期發現葡萄胎組織侵入子宮肌層程度,協助診斷子宮內滋養細胞腫瘤病灶。宮壁顯示局灶性或瀰漫性強光點或光團與暗區相間的蜂窩樣病灶,應考慮為侵蝕性葡萄胎或絨癌。
4.組織學診斷單憑刮宮標本不能作為侵蝕性葡萄胎的診斷依據,但在侵入子宮肌層或子宮外轉移的切片中,見到絨毛結構或絨毛退變痕跡,即可診斷為侵蝕性葡萄胎。若原發灶與轉移灶診斷不一致,只要任一標本中有絨毛結構,即應診斷為侵蝕性葡萄胎。
輔助檢查
1、宮旁、陰道及肺轉移者選“心電圖、組織病理、婦科超聲檢查、絨毛膜促性腺激素等”;
2、有腦、全身轉移者選“腹腔鏡、顱腦CT檢查”。
治療原則
1、化療;2、手術治療;3、對症治療。
用藥原則
1、般情況可,化療反應不重者用“更生黴素、氟尿嘧啶等”。
2、般情況差,化療反應重者用“更生黴素、氟尿嘧啶等”、“青黴素、甲硝唑、環丙氟哌酸等”。
3、腦轉移、反覆發作病源選“更生黴素、氟尿嘧啶等”、“青黴素、甲硝唑、環丙氟哌酸等”、“甲氨喋呤、順鉑等”。
治療方案
治療原則以化療為主,手術為輔,尤其是侵蝕性葡萄胎,化療幾乎已完全替代了手術,但手術治療在控制出血、感染等併發症及切除殘存或耐藥病灶方面仍占重要地位。
1.化療所用藥物包括氟尿嘧啶、放線菌素D、甲氨蝶呤及其解救藥亞葉酸鈣、環磷醯胺、長春新鹼、依託泊苷、順鉑等。用藥原則:I期通常用單藥治療;Ⅱ-Ⅲ期宜用聯合化療;Ⅳ期或耐藥病例則用EMA-CO方案,完全緩解率高,副反應小。表36-4列舉了幾種化療方案。副反應:以造血功能障礙為主,其次為消化道反應,肝功能損害也常見,嚴重者可致死,治療過程中應注意防治。脫髮常見,停藥後可逐漸恢復。停藥指征:化療需持續到症狀、體徵消失,HCG每周測定一次,連續3次在正常範圍,再鞏固2-3個療程,隨訪5年無復發者為治癒。
2.手術病變在子宮、化療無效者可切除子宮,手術範圍主張行次廣泛子宮切除及卵巢動靜脈高位結紮術,主要切除宮旁靜脈叢。年輕未育者儘可能不切子宮,以保留生育功能;必須切除子宮時,仍應保留卵巢。
隨訪:臨床痊癒出院後應嚴密隨訪,觀察有無復發。第1年內每月隨訪1次,1年後每3個月隨訪1次,持續至3年,再每年1次至5年,此後每1年1次。
近愈標準
1、狀及體徵消失。
2、妊娠試驗或血、尿hCG每周查1次,連續3次陰性或正常。
治癒標準
1、狀及體徵消失。
2、妊娠試驗陰性或血、尿hCG正常後,每月複查l次到半年,以後每3個月l次至1年,l年後每年l次,結果均為陰性或正常。複查的同時作婦科檢查,必要時胸部攝X線片。5年無復發為治癒。
好轉標準
1、狀消失或好轉。
2、移灶明顯縮小。
3、妊娠試驗陰性或弱陽性,血或尿hCG接近正常。
護理方法
一般護理(1)關心患者思想狀況,做好患者的心理護理,盡力解除其悲觀、恐懼及各種心理負擔,增強戰勝疾病的信心,積極配合治療。
(2)鼓勵患者進營養豐富、易消化的食物,增強機體抵抗力。
(3)預防感染。化療期間,患者血象低、機體抵抗力差、易發生交叉感染,故應加強個人衛生,預防感冒,保持病室空氣新鮮,督促患者養成早、晚刷牙,飯後漱口的良好習慣,預防口腔感染。嚴格執行無菌技術操作和消毒隔離制度,有感染者應予以隔離。
(4)密切觀察體溫、脈搏、呼吸、血壓及病情變化,發現有癌轉移徵象,立即通知醫師並迅速做好急救準備。
(5)藥物注入時注意事項:配藥必須準確,按體重計算,治療半個療程時必須再測體重一次,調整劑量;藥液要避免陽光直射;輸藥速度要受限,如5-FU要求6—8H滴完;熟悉掌握靜脈穿刺技術,並由肢體遠端開始,不應輕易穿刺肘部大靜脈。
侵蝕性葡萄胎
(6)嚴密觀察化療藥物的毒副作用,並給予相應的護理措施。常見副反應以造血功能障礙為主,其次為消化道反應、肝功能損害、脫髮等。
(1)手術後患者的護理:注意術後出血和感染,傷口癒合情況,繼續觀察化療藥物的反應。
(2)口腔潰瘍的護理:讓患者多飲水,勤漱口,早晚刷牙。有潰瘍而疼痛者,可用0.25%的卡因溶液噴口腔。
(3)偽膜性腸炎患者的護理:偽膜性腸炎是極嚴重的併發症,要非常注意患者的大便情況,如次數、顏色、氣味,以便早期發現,早期治療。
(4)腦轉移患者的護理:發生腦轉移後應住單人病房,專人護理。準備好搶救藥品、吸氧吸痰器材、開口器等;防止墜床和壓瘡發生;記錄出入水量。
保健貼士
1、保持皮膚與會陰清潔,每日溫開水清洗2次,勤換內褲和洗澡。
2、注意保暖,避免著涼,告知病人勿去人多的公共場所,以減少疾病的傳染機會。
3、保持床單位清潔、平整,勿壓傷、擦傷皮膚。
