簡介
黴菌性外陰炎外陰炎症的常見病因包括如陰道分泌物刺激(包括陰道分泌物增多流至外陰刺激、月經或月經墊內褲等的刺激);其它刺激因素(a.糖尿病人的尿液,b.尿瘺患者長期受尿液的侵漬,c.腸癌患者有時受糞便的刺激,d.腸道繞蟲);混合感染(常見病原菌為葡萄球菌、鏈球菌和大腸桿菌)等。
其常見症狀為外陰皮膚瘙癢、燒灼感和疼痛,在活動、性交和排尿後加重。急性期紅腫、充血、有抓痕。慢性炎症、痛癢、外陰發生開裂、苔蘚化。有些患者小陰唇內側腫脹、充血、糜爛和成片濕疹。
陰道分泌物呈酸性(宮頸管內粘液則呈鹼性),因而能抑制致病菌的活動、繁殖和上行,炎症一般不易出現。
分類
婦女常見的外陰炎主要有以下幾種:
(1)非特異性外陰炎:生活中理化因素刺激,不注意衛生,身體虛弱,均能使婦女外陰部被細菌侵擾,引起外陰炎,如宮頸、陰道炎症;或穿著不透氣的尼龍內褲使陰道分泌物過多,刺激外陰;尿液浸漬外陰;使用不乾淨的衛生棉、手紙造成外陰感染等。這些因素都會為細菌在外陰部的生長繁殖創造條件。但由於這種外陰炎不是由特異的病原體引起的,而多為葡萄球菌、鏈球菌、大腸桿菌等混合感染,故稱非特異性外陰炎。
(2)黴菌性外陰炎:由一種類酵母菌感染而引起的外陰炎。常與黴菌性陰道炎並存。
(3)嬰幼兒外陰炎:新生兒出生15天后,陰道內即有各種雜菌生長。另外,由於嬰幼兒外生殖器官發育不成熟,抵抗細菌感染的能力差,加之其外陰易被尿液浸泡,糞便污染,小孩又愛隨地亂坐,這些都是易感染原因,可以引起嬰幼兒外陰炎。
(4)前庭大腺炎:多見於育齡婦女。是因為前庭大腺被葡萄球菌、鏈球菌、大腸桿菌等細菌感染所致,多引起急性炎症。前庭大腺囊腫:多由於慢性炎症長期存在,使前庭大腺導管阻塞,腺液積聚,腺體囊性擴張引起;或因急性前庭大腺炎消退後,膿液被吸收所致。前庭大腺囊腫與前庭大腺膿腫能相互轉化。
(5)急性外陰潰瘍:多由各種原因的外陰炎引起,一般是外陰炎病變過程中的一種表現。
(6)性病:在外陰尖銳濕疣、軟下疳、生殖器皰疹、淋病等性病的發病過程中,外陰多會出現炎症表現。
症狀
急性外陰炎症狀主要包括外陰不適、瘙癢、疼痛、灼熱感,同時可出現外陰部位(包括大、小陰唇,陰蒂)皮膚及黏膜有不同程度的腫脹充血,嚴重時會形成糜爛、潰瘍,或出現大片濕疹等,並伴有排尿痛、性交痛。具體歸納如下:
1、非特異性外陰炎搔抓後,局部疼痛,可伴低熱、乏力等,潰瘍周圍有明顯炎症。
2、貝赫切特綜合徵發展中的一個階段可為急性外陰潰瘍,與眼口腔病變先後出現,可分為壞疽、下疳粟粒型。
3、外陰結核及外陰癌可表現為慢性潰瘍,指外陰部的皮膚或黏膜發炎。分急、慢性兩種,由於外陰與尿道、肛門鄰近,行動時又受兩腿摩擦,故各該部的炎症均可波及外陰。
4、皰疹病毒感染,起病急,皰疹破後成潰瘍伴發熱、腹股溝淋巴結腫大及全身不適。潰瘍基底灰黃色,明顯充血水腫,可自愈但常復發,也是急性外陰炎症狀之一。
診斷
外陰炎診斷方法如下:
一、臨床表現
1、急性期多訴說外陰部痛、癢、紅腫、灼熱感,於活動、性交、排尿及排便時加重。
2、慢性外陰炎多主訴外陰部瘙癢。
3、婦科檢查:可表現為外陰紅腫、膿皰形成或潰瘍。慢性外陰炎表現為局部皮膚或黏膜增厚、粗糙、皸裂等。
二、輔助檢查
1、外陰或陰道分泌物檢查滴蟲、黴菌、淋菌、衣原體等病原體,必要時可行葡萄球菌、鏈球菌、大腸桿菌等細菌培養,同時行藥物敏感試驗。
2、檢查血糖、尿糖肛門周圍蟯蟲等。
3、對外陰潰瘍,必要時應做活組織病理檢查。
發病機制
西醫認為陰道的弱酸性環境能保持陰部的自潔功能,陰道的環境經常受到宿主的代謝產物、細菌本身的產物及外源性因素(性交、沖洗及其他干擾)而不穩定。陰道菌群非常複雜,除原蟲、真菌外,尚包括很多需氧菌及厭氧菌,這些微生物可分為共棲的及病理性的,都生長在~個共同的環境內,各微生物之間可能有桔抗作用。另一個影響其生長的是氫離子濃度,在pH3.8~4.2時,有利於共棲菌的繁殖,尤其是乳酸桿菌,這是健康陰道中的主要菌種,陰道液中的密度可達105~108ml,當陰道被微生物感染後,假使乳酸桿菌占優勢,仍能維持pH3.8~4.2,則不會致病,而且乳酸桿菌還能產生H202,對其他微生物有毒性作用而抑制其繁殖。其他如乳鏈球菌、腸桿菌、變形桿菌、加夫基球菌、韋永球菌等在陰道下端常見,平時不產生症狀。陰道菌群之間彼此制約,使病理細菌不能有所作用,假使這種平衡被破壞,互相制約作用消失,所以氫離子濃度下降,乳酸桿菌失去優勢,病理菌得以繁殖,就產生症狀。
中醫解析外陰炎:外陰炎,中醫又名為“陰癢”、“陰痛”、“陰腫”等,本病的發生,多由於不注意衛生,毒邪入侵,或肝經鬱熱,脾虛不運,濕濁內生,濕熱下注外陰所致。感染外邪:由於不注意衛生,導致濕熱毒邪入侵體內,正邪相搏,當正氣不足抵禦外邪時,則生髮外陰瘙癢,陰道口黏膜充血、紅腫等症狀。濕熱蘊結:素體虛弱,導致脾虛運化無力,濕熱下注傷及任帶二脈,遂致帶下病。或因情志抑鬱,肝鬱化火,損傷肝脾,濕熱邪毒侵食於外陰,中藥蛇床陰炎湯治療很不錯。病理原因
病原體
引起女性外陰炎症的病原體不外乎兩大來源,即來自原本寄生於陰道內的菌群,或來自外界入侵的病原體。正常情況下,陰部內以陰道桿菌占優勢,還有少量厭氧菌、支原體及念珠菌,這些菌群形成一種正常的生態平衡。但是,當人體免疫力低下、內分泌激素髮生變化,或外來因素如組織損傷、性交,破壞了陰部的生態平衡時,這些常住的菌群會變成致病菌,衝破陰道屏障而引起感染。
來自於外界的感染主要是接觸被感染的共場所的坐便器、浴盆、浴池、坐椅、毛巾,使用不潔衛生紙,都可以造成感染。因此,保證性健康是預防該病的前提。使用保險套可減少對陰道的刺激及精液對陰道pH值的影響,對預防有一定作用。此外,還要注意在每天用pH4弱酸性女性護理液作日常保養,清洗外陰。僅僅用清水沖洗或用鹼性沐浴露都會破壞了陰部的酸鹼平衡,使正常的乳酸桿菌生長受抑,其他致病菌,如厭氧菌大量繁殖(厭氧菌的脫羧酶作用於加德納菌產生的某種胺基酸,生成揮發性胺類,故有難聞的魚腥臭味)時,黏附細菌的陰道表層細胞脫落,陰道分泌物增多,外陰炎就發生了。
刺激因素
外陰炎症的常見病因的刺激因素包括如陰道分泌物刺激(包括陰道分泌物增多流至外陰刺激、月經或月經墊內褲等的刺激);其它刺激因素(a.糖尿病人的尿液,b.尿瘺患者長期受尿液的侵漬,c.腸癌患者有時受糞便的刺激,d.腸道繞蟲);混合感染(常見病原菌為葡萄球菌、鏈球菌和大腸桿菌)等。
表現形式
外陰炎幼女外陰炎常因穿開檔褲或受到成人的猥褻、性虐待、玩弄、強暴等所致。一些皮膚黏膜-性交型性病,主要是指皮膚對皮膚、黏膜對黏膜的直接或間接接觸而傳染的疾病或皮膚黏膜本身易於存在某些病原體而引起的疾病,也常能通過性交而廣泛傳染。如尖銳濕疣,在性關係紊亂和同性戀者中發病較多,女性陰蒂、陰唇、肛周、陰道、宮頸均可發生,具有乳頭狀、菜花樣濕疣,常有白帶增多、痛癢、偶有性交後出血現象。生殖器皰疹在外陰可見紅色丘疹,伴瘙癢,很快變成小水皰、膿皰,破潰後大片糜爛和形成潰瘍。其他一些性器性交型性病主要是通過男女性器官性交而傳染的性病,多見於性關係紊亂的男女,如淋病、梅毒、軟下疳,滴蟲、黴菌感染等也均可引起外陰炎症。
外陰炎時由於局部疼痛、奇癢,或有發熱、分泌物、破潰等不適及外陰部觸痛等,病人已無性生活要求和興趣,對男方的性要求也十分恐懼,性交無快感,也難以引發出性高潮。患急性期外陰炎時,性交會加重病人痛苦,促使炎症擴散或引起繼發感染,使炎症更加遷延難治。
外陰炎急慢性期均不宜性交,宜在痊癒後才能恢復。如慢性期時間較長,外陰疼痛很輕微,無明顯分泌物,也無破潰等,偶可允許性交,但陰莖插入時宜慢,不能過急,陰莖少與外陰皮膚碰撞,陰莖在陰道內抽插幅度宜小,以減少外陰部皮膚的摩擦。抽插時間適當長些,以使女方獲得性高潮。性交後應排盡陰道內分泌物並擦乾淨,以避免分泌物對外陰的刺激。同時性交後應清洗外陰,並保持乾燥,或清洗後即塗上藥物。
外陰尖銳濕疣在手術或物理治療後也宜忌性生活直到癒合為止。否則,性生活引起創面出血感染、癒合不佳等。
杜絕婚外性行為也能防止許多性傳播疾病所致的外陰炎,有炎症時忌性生活。在治癒過程中,若要性生活,男方採用保險套,對雙方免受交叉感染及防止許多性傳播疾病有利。
非特異性外陰炎
各種病原體侵犯外陰均可引起外陰炎,以非特異性外陰炎多見。
(一)臨床表現
1. 病史 糖尿病、尿、糞瘺史。
2. 症狀 外陰部搔癢疼痛及灼熱感。
3. 體檢 陰道分泌物增多。
4. 婦科檢查 急性炎症時小陰唇內外側紅腫 ,有時呈片狀濕疹,嚴重時可見服皰形成或淺小潰瘍。慢性炎症時外陰皮服粗糙增厚,有時出現皸裂。有時腹股溝淋巴結腫大。
(二)輔助檢查有陽性發現者屬特異性外陰炎
1.陰道分泌物生理鹽水懸液檢查滴蟲、真菌,除外特異性陰道炎引起的外陰炎。
2.宮頸分泌物檢查衣原體、支原體、淋球菌。
3.必要時行陰道分泌物細菌培養及藥物敏感試驗。
4.外陰部潰瘍必要時作活體組織病理檢查。
5.檢查尿糖及血糖。
治療原則
(一)一般治療
1、保持外陰乾燥,避免搔抓。
2、1:5000高錳酸鉀溶液坐浴,每日2-3次。
(二)特異性外陰炎應針對病原體治療
非特異性外陰炎是一種較為常見的婦科疾病,在此不包括因性病引起的外陰炎症。在目前的社會條件下,婦女外出做工十分普遍,由於生活環境的改變和經濟及工作條件的限制及某些不良社會現象的影響,合本病的發病率有所增加。
外陰炎給患病婦女帶來較大的困擾。但從一般的病程來看,只要注意改善個人衛生條件,增強體質,糾正不良生活方式和習慣,並配合正確的治療,炎症亦可很快得到控制,逐漸痊癒。患者不必因身體的暫時不適而心煩意亂或憂慮。
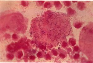
黴菌性外陰炎
黴菌性外陰炎是一種類酵母菌引起的外陰炎,最常見的病原菌是白色念珠菌。在10~20%的正常婦女陰道中可能有少量白色念珠菌,但並不引起症狀;僅在機體抵抗力降低,念珠菌達到相當量時才致病。因此,機體細胞免疫力低下,如套用免疫抑制藥物的患者;陰道上皮細胞糖原增多,酸性增強時,黴菌繁殖迅速引起炎症,故多見於孕婦、糖尿病及接受雌激素治療的患者。
黴菌性外陰炎患黴菌性外陰炎時外陰有灼熱感、紅腫及搔癢,可有水皰狀丘疹,成群出現或呈濕疹樣糜爛,常訴有性交痛及尿痛。黴菌性陰道炎時主要表現為外陰、陰道炎,常見症狀有白帶增多及外陰、陰道搔癢和灼痛,排尿時尤為明顯,還可有尿頻、尿痛及性交痛。典型的黴菌性陰道炎,白帶粘稠,呈白色豆渣樣或凝乳樣。有時白帶稀薄,含有白色片狀物或表現正常。典型的黴菌性陰道炎診斷並不困難,作陰道分泌物檢查可證實診斷。
治療黴菌性外陰炎應該保持外陰清潔乾燥,局部塗擦2%龍膽紫液或制黴菌素軟膏每日2~3次。同時應治療黴菌性陰道炎,如有糖尿病,應積極治療,及時停用廣譜抗生素,男方有生殖器黴菌感染者應同時治療。
對於黴菌性陰道炎可用2~3%的蘇打液沖洗外陰及陰道或坐浴,輕輕拭乾後,置制黴菌素栓劑於陰道深部,或用制黴菌素霜劑塗於陰道壁上,每晚一次或早晚各一次,共10~14天,約50~80%的患者經上述治療可治癒。也可用2%龍膽紫塗擦陰道,但療效較差。念珠菌在乾燥的環境中不易增殖,坐浴或沖洗後應保持外陰乾燥,用霉康唑或克霉唑栓劑或軟膏每天2次,共3天或每晚一次用7天,療效好,有85~95%的患者可治癒。治療黴菌性陰道炎的同時應治療外陰炎,清潔外陰後,用制黴菌素軟膏塗擦,如有糖尿病,須同時治療。為避免感染新生兒,孕婦患黴菌性陰道炎時,仍應進行局部治療,操作須注意輕柔。 本病可通過性生活感染,治療期間應避免性生活,夫婦應同時進行治療。頑固性及反覆復發的病例多見於套用廣譜抗生素及免疫抑制藥物的患者,或者是由於未套用有效的抗黴菌藥物,未對丈夫進行治療,或未治療黴菌性外陰炎,未消滅腸道念珠菌都是導致復發的原因。
嬰幼兒外陰炎
嬰幼兒外陰炎是女性嬰幼兒非常常見的疾病,由於生理特點與成人在病因、表現、後果、治療方面均有所不同。嬰幼兒外陰炎是什麼?嬰幼兒外陰炎有哪些症狀?婦科專家解釋:幼女不但會得外陰炎,而且由於幼女特殊的解剖和生理原因,如不注意衛生還很容易患外陰炎。
嬰幼兒患外陰炎是因為穿開檔褲,如不注意衛生易於污染。嬰兒尿布如不及時更換,則大小便刺激,可引起皮膚感染,急性傳染病量,全身抵抗力降低,局部不潔,易於感染。少數幼兒外陰炎系因陰道異物存在所致。
大便揩擦肛門不當,以致大便污染外陰,外陰用肥皂水或其他清潔劑擦洗過度,內褲太緊或穿尼龍、人造纖維內褲,均可引起發病。致病菌多為化膿菌,如葡萄球菌、鏈球菌、大腸桿菌。那么,嬰幼兒外陰炎有哪些症狀呢?
大孩可述說外陰疼痛、癢感、分泌物增多。嬰幼兒則常因局部痛苦而啼哭不安。外陰、陰蒂、尿道口及陰道口黏膜充血、水腫、並有膿性分泌物。父母注意時可發現嬰幼兒內褲上經常有膿性乾痂形成,或有稀水樣的痕跡,外陰發紅、水腫,甚至皮膚剝脫。
有的患兒因痛癢而抓局部致局部有抓痕、出血等現象有的出現尿痛、尿頻、燒灼感。但亦有在此急性期被父母疏忽,或因症狀很輕而至急性期後造成小陰唇粘連,尿流變細,才被發現,誤為生殖器官畸形而來就診。
檢查時發現兩側小陰唇粘連,在上方或下方留一小孔尿液從此處排出,尿道口及陰道口均被遮蓋,仔細檢查可發現小陰唇粘連的地方較薄,比較透亮。
前庭大腺炎
前庭大腺炎前庭大腺炎是前庭大腺的炎症。前庭大腺位於兩側大陰唇下1/3深部,其直徑約為0.5-1.Ocm,它們的出口腺管長約1,5-2.Ocm,腺體開口處位於小陰唇內側近處女膜處。在性交的刺激下,分泌出粘液,以資滑潤。由於解剖位置的特殊性,病原體易侵入引起前庭大腺炎。
[病因] 該病一般發生於生育年齡婦女,主要致病菌有葡萄球菌、大腸桿菌、鏈球菌、腸球菌、淋球菌及厭氧菌等,近年來,淋球菌所致前庭大腺炎有明顯增高趨勢。
[臨床表現] 本病常為混合感染,急性炎症發作時,細菌先侵犯腺管,腺管口因炎症腫脹阻塞,滲出物不能排出可形成膿腫。前庭大腺炎可分為三種類型:前庭大腺導管炎,前庭大腺膿腫和前庭大腺囊腫。
1.前庭大腺導管炎 初期感染階段多為導管炎,局部紅腫、疼痛及性交痛,檢查可見患側前庭大腺開口處呈白色小點,有明顯觸痛。
2.前庭大腺膿腫 導管開口處閉塞,膿性分泌物不能排出,細菌在腺體內大量繁殖,積聚於導管及腺體中,逐漸擴大形成前庭大腺膿腫。患者訴患側外陰部腫脹,疼痛劇烈,甚至發生排尿痛,步行困難。檢查時患側外陰紅腫熱痛,捫及該側有腫塊,如已形成膿腫,則可觸知腫塊有波動感,觸痛明顯,多為單側,膿腫大小為3-6cra直徑,皮膚變薄,膿腫繼續增大,可自行破潰,症狀隨之減輕,若破口小,膿液引流不暢,症狀可反覆發作。全身症狀有發熱,白細胞計數增高,患側腹股溝淋巴結腫大等。
3.前庭大腺囊腫 炎症急性期後,膿液被吸收,腺體內的液體被粘液代替,成為前庭大腺囊腫。也有部分病人的囊腫不是因為感染引起,而是因為分娩過程中,會陰側切時,將腺管切斷,腺體內的液體無法排出,長期積累到一定程度後,就會引起前庭大腺囊腫。囊性腫物小時,患者多無症狀,腫物增大後,外陰患側腫大。檢查時見外陰患側腫大,可觸及囊性腫物,與皮膚有粘連,該側小陰唇被展平,陰道口被擠向健側,囊腫較大時可有局部腫脹感及性交不適,如果不及時治療,一旦合併細菌感染,又會引起前庭大腺膿腫。也有的病人是因為前次治療不徹底,以後機體抵抗力降低時,細菌乘機大量繁殖,又形成新的膿腫。這個過程可以多次反覆,形成惡性循環。
前庭大腺囊腫[治療] 在前庭大腺炎早期,可以使用全身性抗生素治療。由於近年淋球菌所致的前庭大腺炎有增加的趨勢,所以在用藥前最好擠壓尿道口,或者取宮頸管分泌物送細菌培養,並做細菌藥敏試驗。在藥敏試驗結果出來之前,根據經驗選擇抗生素藥物。一般而言,青黴素類藥物療效較好,也DI以根據情況,使用局部熱敷或理療,促使炎症消退。同時應保持外陰局部清潔衛生,不穿化纖內褲。
一旦形成了膿腫,單純使用抗生素是無效的,應該切開引流。手術時機要選擇波動感最明顯的時候。一般在大陰唇內側下方切開,切口不要過小,要使膿液能夠全部徹底地排出來。膿液排出後,炎症開始消退時,用1/5000高錳酸鉀液坐浴。
對於前庭大腺囊腫的治療,有兩種方法。一種是囊腫切除術,即將囊腫全部切除,但由於創傷較大,現在已經比較少用,而代之以囊腫造口術,造口術切口選擇在囊腫的下方,讓囊液能夠全部流出來,同時用引流條以防造口粘連,1/5000高錳酸鉀液坐浴。預後一般都比較好,前庭大腺的功能也可以得到很好的保存。
飲食注意
避免吃油炸、油膩的食物。如油條、奶油、黃油、朱古力等,這些食物有助濕增熱的作用,會增加白帶的分泌量,不利於病情的治療。
多飲水,多吃新鮮的水果和蔬菜。如蘋果、梨、香蕉、草莓、獼猴桃、白菜、青菜、油菜、香菇、紫菜、海帶等。
多吃一些含蛋白質和糖類豐富的食物。例如:牛奶、豆漿、蛋類、肉類等。
禁食發物:如魚類、蝦、蟹、雞頭、豬頭肉、鵝肉、雞翅、雞爪等,食後會加重陰部的瘙癢和炎症。
戒菸戒酒:菸酒刺激性很強,會加重炎症。
儘量少吃辛辣、刺激的食物。例如:洋蔥、胡椒、辣椒、花椒、芥菜、茴香。
治療方法
烏魯木齊都市麗人婦科醫院專家指出,德國臭氧四聯治療以其獨有的卓越療效風靡全球!該技術運用醫用純淨氣態臭氧快速有效治療附屬檔案炎等婦科炎症,只除病菌,不傷肌體,高效快捷,治癒率高,無任何副作用及後遺症,費用合理,深受女性患者青睞。都市麗人醫院引進“德國臭氧四聯治療”,是國際醫療上治療婦科炎症的“金標準”,它快速有效治療陰道炎、慢性盆腔炎、宮頸炎、細菌性陰道炎等,只除病菌,不傷肌體,高效快速的治療效果,深受女性患者的青睞。德國臭氧四聯治療,給你“無炎”的關愛
•只殺病菌:臭氧活性強,分解原子氧能選擇性將有害病菌、病毒等快速殺滅,由於人體正常細胞量是“親氧”,細菌和病毒是“厭氧”的,因此該療法只殺有害細菌,不損有益菌。
•不傷肌膚:臭氧具有消炎、止疼功能,對人體正常組織無傷害,治療過程中無創傷、無痛苦、無流血,治癒後無疤痕,是真正意義上的無損傷綠色療法。
•保護更貼心:臭氧在殺菌同時形成開天闢地保護膜,妥帖保護患者有效預防感染。同時,藍氧淨療技術運用生物效應作用,不破壞陰道內酸鹼平衡,不影響陰道內的正常生理功能。
外洗治療
處方①(《新編婦人大全良方》):苦參30克
煮水頻洗,每日3~5次。
處方②(《朱小南婦科經驗選》):蛇床子、土槿皮、百部、川椒、枯礬各等分。
上藥加水濃煎後熏洗陰部。早、晚各1次。
處方③(《女病外治良方妙法》):虎杖100克 苦參50克 木槿皮50克
上藥加水4500毫升,煎取4000毫升,過濾待溫,取2000毫升,坐浴10~15分鐘,每天2次,7天為1療程。
處方④(《中醫婦科驗方選》):苦參10克 蛇床子15克 地膚子15克 白鮮皮15克 川椒6克 青鹽2撮
將藥裝入布袋放入水中,煮沸20分鐘。溫液坐浴,每日2~3次,每次15~20分鐘。本方清熱燥濕,殺蟲止癢,可用於糖尿病外陰瘙癢,以及滴蟲、黴菌等感染引起的外陰瘙癢。
處方⑤(《女病外治良方妙法》):苦參30克土茯苓30克 蛇床子30克 生百部50克 龍膽草15克 黃柏15克紫槿皮15克 川椒15克 蒼朮15克 地膚子24克
上藥加水2000~3000毫升,煮沸10~15分鐘後去渣取汁、熱熏,待藥汁溫和時坐浴並洗外陰。每日1劑,早晚各洗1次,每次20~30分鐘。10天為1療程。最多使用3個療程。
外陰搔癢
外陰瘙癢是一種症狀,可由各種原因引起。局部原因有特殊感染(如黴菌性陰道炎 、滴蟲性陰道炎、陰虱、疥瘡、蟯蟲病)、慢性外陰營養不良、藥物過敏或化學品刺激 、不良衛生習慣、皮膚病等。糖尿病、黃疸、白血病、維生素A缺乏、維生素B缺乏等慢 性病患者也常有外陰瘙癢。部分患者無明顯的局部或全身原因,可能與精神或心理因素 有關。患有此病者應查明病因,對症下藥。外陰搔癢應對8大注意:
1、注意經期衛生,行經期間勤換月經墊,勤清洗。
2、不穿緊身兜襠褲,內褲更須寬鬆、透氣,並以棉製品為宜。
3、忌酒及辛辣食物,不吃海鮮等及易引起過敏的藥物。
4、忌亂用、濫用藥物,忌抓搔及局部摩擦。
5、保持外陰清潔乾燥,不用熱水燙洗,不用肥皂擦洗。
6、就醫檢查是否有黴菌或滴蟲,如有應及時治療,而不要自己套用“止癢水”治療 。
7、局部如有破損、感染,可用l∶5000高錳酸鉀液(在溫開水內加入微量高錳酸鉀 粉末,使呈淡紅色即可,不可過濃)浸洗,每日2次,每次20~30分鐘。
8、久治不愈者應作血糖檢查。
如何預防
一、不要盲目使用洗液和藥物
經用藥物治療外陰炎症治癒,但是這類患者衛生知識欠缺,她們認為長期藥物洗外陰就是保健,就不會再患外陰炎,殊不知長期用藥物刺激皮膚,外陰更不適。
二、正確使用衛生護墊
患者誤認為衛生護墊衛生,長期用衛生墊可不換短褲,也可不用洗外陰,其實她們往往由以上原因引起外陰炎來診治,還不知發病根源。對這類患者,需要明白護墊透氣性差,長期使用局部潮濕也是引起炎症的病因,特別是每天使用更不利。
三、正確進行外陰清潔
預防外陰炎,女性要每日清洗外陰,更換短褲,毛巾專用,每日對毛巾及更換的短褲進行清洗後開水燙或煮沸30分鐘以上,取出曝曬,切忌陰乾,無太陽時掛在通風處吹乾。並要求其丈夫同樣注意個人衛生。
四、杜絕傳染源接觸
對愛游泳的女性一定要注意衛生,提倡淋浴,不要相互使用毛巾、短褲、盆等,杜絕交叉感染。去掉不良習慣,積極參加健康的娛樂活動,能有效的預防外陰炎。
注意事項
一、夫妻同治配偶同治,外陰炎往往是性傳播性的疾病,患病婦女的丈夫的包皮皺褶,尿道和前列腺中有病原體的寄生,如單純的女方治療,男方就會成為感染原而導致女性朋友的炎症反覆發作。如果是同時使用保險套可減少性伴侶間的相互感染。二、注意個人衛生注意個人的衛生保持外陰的清潔、乾燥,並且要勤換內褲,外陰用具要專人專用,用過的內褲、毛巾和盆均套用開水燙洗,去公共場所如公共廁所、游泳池和浴室要注意預防交叉感染的可能性。
三、增強機體的免疫能力增強機體的抵抗力,加強營養,要經常鍛鍊身體,提高機體免疫力,減少條件致病菌的發病機會。
四、控制或者是消除導致外陰炎的誘因如果治療以後還是反覆發作的,先檢查自己是否有了糖尿病,常用抗生素和雌激素或者是類固醇激素,穿緊身化纖內褲,局部yao物的刺激等情況,應該儘量的控制或者是消除這些誘因。
五、遵照醫囑,並要治療徹底
初次發作的患者治療一定要徹底,要根據醫生的要求正確的用yao且需要鞏固治療,治療不徹底是造成陰道炎復發和難治的一個原因之一,治療痊癒的標準是三個周期月經以後複查白帶均陰性。
1、對於第一次患病的一定治療要徹底,要根據醫生的要求正確用藥且需鞏固治療,治療不徹底是造成陰道炎復發和難治的原因之一,治療痊癒的標準是三個周期月經後複查白帶均陰性。
2、女性朋友仔治療以後還是反覆發作的,先檢查自己是否有糖尿病,常用抗生素、雌激素或類固醇激素,穿緊身化纖內褲,局部藥物的刺激等情況,應儘量控制或消除這些誘因。
3、增強機體的抵抗力,加強營養,鍛鍊身體,提高機體的免疫力,減少條件致病菌的發病機會。
4、女性外陰陰道炎往往是性傳播性疾病,患病婦女的丈夫的包皮皺褶,尿道、前列腺中有病原體寄生,如單純女方治療男方就會成為感染原而導致復發。如果同時使用保險套可減少性伴侶間的相互感染。
治療誤區
誤區一
白帶清理用濕紙巾很不錯。正常的白帶是女性生殖系統健康的信號之一,絕不是不潔之物,某些女性在每次清洗陰部時習慣將手指裹上“乾淨”的濕紙巾清洗,這樣反而會帶入致病細菌,使得白帶增多甚至引起嚴重婦科炎症。
誤區二
經後三天內不宜做陰道清潔護理。其實女性在月經期間身體抵抗能力會降低,月經乾淨後三天內,是陰道最容易感染和最需要深度護理以及清潔的時候,如果護理得當,可令女性整個生理周期都安枕無憂。
誤區三
用化學洗劑洗陰道乾淨放心。用化學洗劑洗陰道的這種做法是很不對的。陰部黏膜有便液存留,需要經常清潔。但並不是洗得越勤越好,而且最好不要用化學洗劑去洗。過度的清潔會破壞黏膜表面的保護膜,使其變得乾燥不適,乃至瘙癢。陰道灌注太頻繁,容易導致引導正常PH值改變,使菌群失調;喜歡清潔的女性,應注意灌洗的頻次,以減少患病的機會。
護理誤區
誤區一:洗的越勤越好
陰部皮膚有尿、便殘液存留,所以需要經常清潔去污,但並不是洗得越勤越好。過度的清潔會破壞皮膚表面上保護膜,從而使其變得乾燥不適,乃至瘙癢。
陰道並非是無菌的,而是存在著許多種類不同的細菌,正常情況下,陰道中各類細菌相互制約又共同生存,成為正常菌群,不會引起疾病。但當身體的抵抗力因患病而下降時,或長期使用抗菌素導致菌群失調,則會誘發一系列婦科炎症。每晚清洗外陰部非常重要,陰道的弱酸性環境能保持陰部的自潔功能,Ph4弱酸配方的女性護理液更適合日常的清潔保養,可以每天使用。但無論用什麼清洗,保持局部的清洗和乾燥最重要。
誤區二:沖洗陰道更乾淨
這是一個觀念上的錯誤,因為我們從母輩那兒就接受了一種錯誤的傳統觀念:認為陰道是骯髒的,避諱提及,要衝洗和除臭。其實亂用洗液對陰道沖洗的程度越高,發生細菌性陰道炎的風險就越高,比一般女性感染的風險高出40%。正常情況下健康婦女陰道記憶體在著正常菌群,主要起作用的是乳酸桿菌,是有益菌,保持陰道PH值在3.8-4.5,這種弱酸環境能防止有害菌的生長,這就是陰道的自潔能力,如果有益菌被殺死,就等於破壞了自潔作用。如果亂用藥經常沖洗陰道,有益菌、有害菌都會殺死,破壞弱酸環境,也會導致婦科炎症。
女性沖洗液可分為兩種:一種是專門醫治某種外陰陰道炎的特定沖洗液;另一種則是普通保健用的女性護理液,並不能治療真正的陰道炎症。
絕大多數婦科醫生認為,特定的炎症應在醫生的指導下使用特定的沖洗液。錯誤使用沖洗液,不僅不能治療炎症、改善症狀,還有可能加重病情、延誤治療或使疾病變得複雜而遷延不愈。如果沒有真正的炎症,每日用Ph4弱酸配方的女性護理液洗就足夠了,否則打亂內部正常的酸鹼度,反而容易引起微生物的感染。且陰道富有血管,不正確地使用陰道沖洗器可能會損傷陰道黏膜而引起出血。再有,任何沖洗液本身都有可能造成外陰陰道的過敏性炎症,從而導致一些沒必要的煩惱。
特殊情況可使用潔陰洗液(如出差無淋浴條件時、月經前分泌物多而粘稠引起不適時、不潔性行為前後等等)。
誤區三:藥品洗劑更安全
有些女士經常用中藥製劑清洗陰部,認為中藥最安全。中草藥雖有清熱解毒、消炎的作用.但中藥製劑也屬醫生處方藥,應該在醫生的指導下套用,而且中草藥保存期較短,容易變質發霉,使用後反而有害。還有的女士喜歡用高錳酸鉀消毒劑,認為這樣消毒潔陰更徹底。這裡要特別提醒女士們,高錳酸鉀使用時間較長,皮膚將變得乾燥,容易引起皮膚痙癢。如果沒有按標準稀釋高錳酸鉀,濃度超過1:5000或粉末沒有完全溶解,一旦沾上外陰部,會腐蝕嬌嫩的皮膚和黏膜。
除藥物外,還有的女士不恰當使用潔陰用品。最常見的是用肥皂清洗外陰部,認為肥皂有較好的潔淨作用。肥皂(包括香皂)為鹼性,對皮膚有刺激性,去皮脂後皮膚乾燥,反而會引起皮膚刺癢。
有的時髦女郎喜歡用沐浴露,認為沐浴露的清洗作用溫和。其實,沫浴露是化學製劑,刺激皮膚黏膜後,容易引起過敏性或接觸性皮炎。
實際上,健康婦女根本不需要使用上述潔陰品。陰道的弱酸性環境能保持陰部的自潔功能,Ph4弱酸配方的女性護理液更適合日常的清潔保養,可以每天使用。
婦科疾病
| 女性生殖系統的疾病即為婦科疾病,包括外陰疾病、陰道疾病、子宮疾病、輸卵管疾病、卵巢疾病等。婦科疾病是女性常見病、多發病。但由於許多人對婦科疾病缺乏應有的認識,缺乏對身體的保健,加之各種不良生活習慣等,使生理健康每況愈下,導致一些女性疾病纏身,且久治不愈,給正常的生活、工作帶來極大的不便。 |
| 單純性外陰炎| 外陰結核 | 外陰-陰道-牙齦綜合徵| 外陰痛| 外陰毛囊炎 | 外陰癤病 | 外陰丹毒 | 外陰急性蜂窩組織炎| 環狀外陰炎 | 外陰前庭炎綜合徵| 外陰潰瘍| 外陰克羅恩病| 外陰黏膜白斑| 外陰瘙癢症| 外陰白化病| 外陰接觸性皮炎| 外陰血吸蟲病 | 外陰蟯蟲病| 外陰阿米巴病| 外陰皮膚脂溢性皮炎| 外陰皮脂溢性角化病| 乾性粟粒疹綜合徵| 外陰濕疹| 外陰神經性皮炎| 外陰銀屑病| 外陰黑色棘皮症| 外陰天皰瘡| 外陰卡波西肉瘤| 陰道上皮內瘤樣變| 嬰幼兒外陰陰道炎| 陰道嗜血桿菌性陰道炎| 結核性陰道炎| 過敏性陰道炎 | 蟯蟲性陰道炎 | 陰道螞蟥叮吸| 陰道血吸蟲病| 陰道美麗筒線蟲病| 單純性外陰陰道念珠菌病| 復發性外陰陰道念珠菌病| 卵巢黃體囊腫破裂| 卵巢朱古力囊腫破裂 | 卵巢腫瘤破裂 | 化膿性盆腔血栓靜脈炎| 特納氏綜合徵| 子宮肌瘤| 卵巢囊腫| 月經失調 | 白帶異常| 外陰炎 | 尿路感染| 宮頸炎| 滴蟲性陰道炎| 黴菌性陰道炎| 非特異性陰道炎| 老年性陰道炎| 細菌性陰道炎| 子宮內膜癌| 尿道炎| 乳腺炎| 絨毛膜癌| 乳腺增生| 陰道痙攣|腺肌症| 副乳 |

