概述
子宮肉瘤子宮肉瘤是一種罕見的高度惡性的女性生殖器腫瘤。原發性子宮肉瘤較少見,宮頸肉瘤較宮體肉瘤更少見。繼發性子宮肉瘤系由子宮肌瘤惡變而來。原發性子宮肉瘤的組織學分類複雜,簡要分類為子宮平滑肌肉瘤、子宮內膜間質肉瘤、惡性苗勒管混合瘤(也有稱為惡性中胚葉混合瘤或癌肉瘤者)、腺肉瘤及其他肉瘤類(包括橫紋肌、骨、軟骨、脂肪等異源成分來源的肉瘤和血管、淋巴來源的肉瘤等)。
臨床分期
子宮平滑肌肉瘤病理圖片子宮肉瘤一般按國際抗癌協會(UICC-AJCCS)子宮肉瘤的分期標準進行臨床分期,近年來也有人主張子宮內膜間質肉瘤和惡性苗勒管混合瘤參照1988年FIGO子宮內膜癌的手術病理分期標準分期。
UICC-AJCCS分期標準子宮肉瘤的臨床分期:
Ⅰ期:癌腫局限於宮體
Ⅱ期:癌腫已累及宮頸管
Ⅲ期:癌腫已超出子宮,侵犯盆腔其他臟器及組織,但仍限於盆腔
Ⅳ期:癌腫超出盆腔範圍,侵犯上腹腔或已有遠處轉移
子宮肉瘤轉移:子宮肉瘤的轉移途徑主要有三種:
1、血行播散是主要轉移途徑,通過血液循環轉移到肝臟、肺臟等全身各處。
2、肉瘤直接浸潤,可直接侵及子宮肌層,甚至到達子宮的漿膜層,引起腹腔內播散和腹水。
3、淋巴結轉移,在早期階段較少見,晚期多見,惡性程度高者多見。
病因
子宮肉瘤臨床發病率低,發病原因尚不明確。有人從組織發生學上認為與胚胎細胞殘留和間質細胞化生有關,但還沒有明確的證據可以證明此推斷。
病理改變
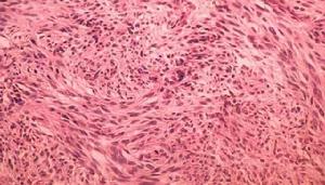
一、子宮平滑肌肉瘤:子宮平滑肌肉瘤在中國是最常見的子宮肉瘤 ,約占為子宮平滑肌瘤的0.64%,占子宮肉瘤的45%左右。主要來自子宮肌層或子宮血管壁平滑肌纖維,易發生盆腔血管、淋巴結或肺轉移。肉眼見肉瘤呈瀰漫性生長,與子宮肌層無明顯界限。若為肌瘤肉瘤變則從中心開始向周圍擴散。剖面失去漩渦狀結構,常呈均勻一片或魚肉狀。色灰黃或黃白相間,半數以上見出血壞死。鏡下見平滑肌細胞增生,細胞大小不一,排列紊亂,核異型性,染色質多、深染且分布不均,核仁明顯有多核巨細胞。關於如何診斷為子宮肉瘤的標準仍然存在著許多爭論,中國基本採用核分裂相≥5/10HPF.另外,子宮平滑肌肉瘤還可以分為以下幾個亞型:
(1)上皮樣平滑肌腫瘤或平滑肌母細胞瘤或透明細胞平滑肌腫瘤:這種腫瘤核分裂相較少,一般<3/10HPF, 可以浸犯周圍肌層,但是,很少浸犯血管,部分為良性,多數為潛在惡性或惡性。
(2)粘液樣平滑肌肉瘤:這種腫瘤缺乏一般的平滑肌肉瘤的形態,鏡下形態為良性,細胞少,間質明顯的粘液樣變,核分裂相較少,一般為0-2/10HPFs,但是,臨床上幾乎都是惡性,診斷惡性的依據是腫瘤的浸潤型生長。
子宮內膜間質肉瘤二、子宮內膜間質肉瘤:由子宮內膜間質來源的腫瘤可分為子宮內膜間質結節和子宮內膜間質肉瘤兩種。而後者又分為低度惡性的和高度惡性的子宮內膜間質肉瘤。
(一)低度惡性的子宮內膜間質肉瘤:又稱淋巴管內間質異位或子宮內膜間質異位症。少見。有宮旁組織轉移傾向,較少發生淋巴、肺轉移。肉眼見子宮球狀增大,有多發性顆粒樣、小團狀突起,質如橡皮有彈性,用鑷夾起後能回縮,好像拉橡皮筋感覺。剖面見子宮內膜層有息肉狀腫塊,黃色,表面光滑,切面均勻,無漩渦狀排列。鏡下見子宮內膜間質細胞侵入肌層肌束間,細胞漿少、細胞異型少,核分裂相少,通常少於3/10HPFs.(二)高度惡性的子宮內(二)膜間質肉瘤:少見,惡性程度高。肉眼見腫瘤向腔內突起呈息肉狀,質軟,切面灰黃色,魚肉狀,局部有出血壞死,向肌層浸潤。鏡下見內膜間質細胞高度增生,腺體減少、消失。瘤細胞緻密,圓形或紡錘狀,核分裂相多,通常超過10/10HPFs,平均25/10HPFs,最多可達78/10HPFs.
(三)子宮惡性中胚葉混合瘤不少見。腫瘤含肉瘤和癌兩種成分,又稱癌肉瘤。肉眼見腫瘤從子宮內膜長出,向宮腔突出呈息肉狀,多發性或分葉狀,底部較寬或形成蒂狀。晚期浸潤周圍組織。腫瘤質軟,表面光滑,切面見小囊腔,內充滿粘液,呈灰白或灰黃色。鏡下見癌和肉瘤兩種成分,並可見過渡形態。
臨床表現
1、陰道異常出血:為最常見的症狀,表現為月經異常或絕經後陰道流血。占65.5%-78.2%
2、腹部包塊:多見於子宮肌瘤肉瘤變者;包塊迅速增大,若肉瘤向陰道內生長、常感陰道內有塊物突出。子宮常增大,外形不規則,質地偏軟。
3、腹痛:亦是較常見的症狀。由於肌瘤迅速生長令患者腹部脹痛或隱痛。
4、陰道分泌物增多;可為漿液性、血性或白色,合併有感染時可為膿性、惡臭。
5、若腫瘤較大,可壓迫膀胱或直腸出現刺激症狀,壓迫靜脈可出現下肢浮腫;
6.晚期患者可有消瘦、 貧血 、發熱、全身衰竭 、盆腔包塊浸潤盆壁,固定不能活動。
婦科檢查:子宮明顯增大,呈多個結節狀,質軟。如肉瘤從子宮腔脫出子宮頸口或陰道內,可見紫紅色腫塊,合併感染時表面有膿性分泌物。如為葡萄狀肉瘤,子宮頸口或陰道內發現軟、脆、易出血的腫瘤。
診斷
診斷依據1、子宮肉瘤無特異的症狀和體徵,臨床表現與其他生殖道腫瘤有許多類似之處,且發病率低,易被忽視,欲提高術前診斷率,必須予以重視;
2、絕經期前後或幼女不規則陰道流血伴子宮增大者;
3、子宮肌瘤迅速增大,尤其是絕經後子宮肌瘤患者,應考慮有肉瘤變的可能;
4、既往曾接受過放射治療的患者,子宮突然增大,伴異常陰道流血;
5、宮頸贅生物、診刮,或子宮切除標本經病理證實,(但診刮陰性者不能排除)。
診斷要點
女性一、病史
(1)子宮平滑肌肉瘤的症狀無特異性,與一般女性生殖系腫瘤症狀類似,因此術前診斷很難。有子宮肌瘤病史,子宮增大迅速,尤其是絕經後不僅未縮小,反而不斷增大,或伴陰道出血、腹痛等症狀,應考慮子宮肉瘤的可能性。
(2)子宮增大,宮口有息肉樣、分葉狀壞死物應考慮有子宮內膜間質肉瘤及惡性苗勒管混合瘤的可能。
二、體徵
(1)盆腹腔包塊,或有腹水、腹痛和腰痛。
(2)婦科檢查:子宮增大,常難與子宮肌瘤區別,腫塊可硬可軟,表面可不平或呈結節樣。
(3)晚期可轉移至盆腹腔各臟器,並伴血性腹水。
三、輔助檢查
(1)B超檢查:可以顯示子宮腫瘤內部結構、邊緣情況以及低阻血流信號等。
(2)術前診刮:對子宮平滑肌肉瘤診斷率低,對子宮內膜間質肉瘤及子宮惡性中胚葉混合瘤有較高的診斷價值。
(3)術中剖視標本:子宮平滑肌肉瘤術前診刮確診較少,術中剖 視若發現肌瘤與肌層界限不清,鏇渦狀結構消失,呈生魚肉樣,組織糟脆則應送快速冰凍切片,但仍依靠術後石蠟病理確診。
鑑別診斷
子宮肌瘤;子宮內膜大息肉;以及與靜脈內平滑肌瘤病、惡性潛能未定型平滑肌瘤等鑑別,最終依靠石蠟病理檢查進行鑑別。
治療
子宮平滑肌肉瘤一、手術治療:多數專家贊成行全子宮切除術。但因子宮肉瘤可有宮旁直接蔓延及血管內瘤栓,故應儘可能作較廣泛的子宮切除術,而不一定摘除盆底淋巴結。但Belgred(1975年)主張手術同時應取腹膜後盆部及主動脈旁淋巴結活檢,以了解有無淋巴結轉移。如為宮頸肉瘤或宮體肉瘤已侵及宮頸,應作廣泛性子宮切除術,同時摘除盆底淋巴結。對子宮內膜基質肉瘤,有主張術前先行宮腔鐳療,再作全子宮切除術。低度惡性子宮肉瘤(如某些平滑肌肉瘤、內淋巴基質肌病等),具有孤立性局部擴散與中心性盆腔復發的傾向,應行廣泛性子宮切除加雙側附屬檔案切除術,此種手術處理的好處雖尚未定論,但從理論上,局部復發是可由較廣泛地切除原發腫瘤而得以減少的。低度惡性肉瘤的淋巴結轉移較為少見,故僅在術中發現有增大之淋巴結或疑有淋巴結轉移時,方行淋巴結摘除術。低度惡性子宮肉瘤的盆腔復發灶只要可能,往往能成功地反覆手術切除而提高患者的存活率。部分或全盆腔臟器切除術(pelvic exenteration)偶爾可用於轉移至膀胱或/及直腸者。對年輕婦女腫瘤局限、無浸潤現象者,可考慮保留正常卵巢,其預後與切除者無明顯區別。但對子宮基質肉瘤患者不宜保留卵巢,因其子宮外轉移的機會較多。對高度惡性的子宮肉瘤(某些平滑肌肉瘤、內膜基質肉瘤及所有混合性中胚層肉瘤),由於其具有早期淋巴、局部以及血源性轉移之特點,故廣泛性手術已被放棄,僅行全子宮及雙側附屬檔案切除術,而在術前或術後附加放射治療。但對平滑肌肉瘤附加放療問題仍有爭論,以其不僅不能改善患者的生存率,反致影響以後的化療。一般在完成手術或手術加放療後,所有患者應考慮附加化療。經過詳細的有關檢查,明確為僅有一側肺孤立轉移瘤,可行手術切除,大約有25%的5年生存率。
二、放射治療:由於子宮肉瘤對放射線敏感性較低,文獻報導,單獨套用放療很少有5年生存者。放療對子宮內膜基質肉瘤及子宮混合性中胚層肉瘤的療效比平滑肌肉瘤為佳。Gilbert認為,子宮內膜基質肉瘤術前、後應輔以放療。不少專家認為術後輔以放療比單行手術好。Badib報告各種子宮肉瘤(臨床Ⅰ期)病人的手術合併放療和單行手術治療比較,5年存活率由57%提高為74%。對轉移或復發的晚期肉瘤患者,一般主張用60鑽或深度X線作為姑息治療,以延長生命。
三、化療 許多細胞毒性抗癌藥對子宮肉瘤的轉移與復發有一定療效。環磷醯胺、瘤可寧、阿黴素等單獨套用和VAC(長春新鹼放線菌素D-環磷醯胺)聯合化療的效應率(response rate)為25~35%(與癌細胞類型有關)。有些復發性基質肉瘤對孕酮治療有效應。聯合用手術、60鑽放療及口服大劑量18-甲基炔諾酮,在一些幼女生殖道胚胎性橫紋肌肉瘤病例,也取得較好的效果。
預後和預防
影響預後的因素有:
(1)臨床分期;
(2)病理類型;
(3)組織學分級;
(4)年齡:絕經後發病者較差,反之較好;
(5)子宮肌瘤肉瘤變者預後較好;
(6)治療方式:若手術能將腫瘤較徹底清除,術後輔以放療和化療,可提高五年存活率。若晚期不能手術切除者,儘管採用放療和化療多於1年內死亡。
預防:對於盆腔的良性病變,應避免不加選擇地採用放射治療,過多接觸放射線,有可能導致肉瘤的發生,不宜忽視。另外,由於肉瘤的早期發現與診斷較為困難,故對絕經期前後的婦女,最好每半年作一次盆腔檢查及其他輔助檢查。任何年齡的婦女,如有陰道異常分泌物或下腹不適,宜及時診查。
子宮肌瘤與子宮肉瘤如何區分
子宮肉瘤:
是一種罕見的高度惡性的女性生殖器腫瘤。子宮肉瘤占子宮腫瘤的2%,好發年齡為50歲左右。臨床表現,主要是陰道異常出血(絕經後陰道流血或月經異常)、腹部包塊(包塊迅速增大,若肉瘤向陰道內生長、常感陰道內有塊物突出。子宮常增大,外形不規則,質實偏軟)、腹痛(由於肌瘤迅速生長令患者腹部脹痛或隱痛)、陰道分泌物增多(漿液性、血性或白色,合併有感染時可為膿性、惡臭)等,晚期患者可有消瘦、貧血、發熱、全身衰竭、盆腔包塊浸潤盆壁,固定不能活動。
對絕經期前後或幼女不規則陰道流血伴子宮增大者要高度懷疑此病,並進一步做相應的檢查,特別是以往接受過放射性治療者,更要提高警惕。
子宮肌瘤:
是女性生殖器中最常見的良性腫瘤,也是人體中常見的腫瘤之一,在30歲—50歲女性中發病率較高。子宮肌瘤主要由於子宮平滑肌細胞增生而形成,其中有少量結締組織纖維僅作為一種支持組織而存在。其確切的名稱應為子宮平滑肌瘤,通稱子宮肌瘤。又因其發病和女性激素(雌激素、孕激素)有關,故屬性激素依賴性腫瘤。
子宮肌瘤患者無明顯症狀,僅在婦科檢查,或手術時被偶然發現。子宮肌瘤的主要症狀可有月經改變(月經量增多,周期縮短或經期延長等,亦可有不規則出血)、疼痛(一般無,但子宮肌瘤發生紅色變性或帶蒂肌瘤發生扭轉及黏膜下肌瘤刺激子宮發生痙攣性收縮時,可引起急性腹痛)、壓迫症狀(肌瘤壓迫膀胱,發生尿頻、排尿障礙、尿瀦留等。子宮肌瘤壓迫輸尿管時可導致腎盂積水。子宮後壁肌瘤可擠壓直腸,引起大便困難)、陰道分泌物增多、不孕症、貧血(長期月經量多可導致繼發性貧血)等。
