疾病概述
輸卵管癌大多數病人表現為一側附屬檔案腫塊或含糊的腹部或盆腔的主訴,如腹部不適,膨脹或疼痛。少於1/3的病人表現為輸卵管積水溢出---盆腔疼痛,大量水樣排泄物與附屬檔案腫塊三聯征。
輸卵管癌原發性輸卵管癌,是婦科不常見的惡性腫瘤,而且這種腫瘤還非常“隱蔽”,症狀不典型,不易早期診斷。術前正確診斷率僅為2%~6%,很易“漏網”。
原發性輸卵管癌,早期無明顯症狀,其主要表現為陰道內流出液體,輕微腹痛,俟腫瘤生長到一定程度時,可發現腹部包塊。其中,陰道流液是該病最為常見的早期症狀之一,據臨床觀察,其發生率為63.3%~83.3%。病之初,陰道流液並不起眼,往往被患者忽略。因為流液有時為陣發性,時有時無,更使一些人掉以輕心,甚至被不少患者誤認為是婦科炎症。
原發性輸卵管癌一旦形成包塊,表明已發展到中晚期,而且還易被誤認為卵巢癌,甚至有不少患者到開腹手術時才能定論,真正做到及時診斷是比較困難的。但有病於內必形於外,病患總會留有蛛絲馬跡的。如果出現陰道流液,就應及時收集,並將收集的液體做細胞學檢查,當然也可做腹腔鏡檢查、B超檢查或CT檢查,如再配合CA125等項檢查,就更有可能儘早確診。此外,當中老年患者陰道不規則出血時,也應提高警惕。腫瘤發展到一定程度時,可發生出血,並經陰道流出,開始出血量不多。如果病情得不到及時控制,輸卵管癌組織便長大或廣泛轉移,還可出現排尿不暢、部分腸梗阻,以及引導流出惡臭色濁的液體。
輸卵管癌症狀輸卵管癌是一種較少見的婦科惡性腫瘤,在所有的生殖道惡性腫瘤中大約只占5%,發生的年齡大多在40-60歲之間。典型的輸卵管癌有“三聯症”。
1、陰道流液或流血。這是輸卵管癌比較特殊的症狀。病人每天都有大量黃水從陰道流出,有時還帶血性或粉紅色液體流出。
2、腹痛。由於輸卵管傘端阻塞、管內壓升高、蠕動增加,病人可出現下腹部鈍痛或一陣陣絞痛。
3、腹部腫塊。由於輸卵管內腫瘤增大,或並發輸卵管積水,因此病人在行婦科檢查時常可觸到有長形輸卵管腫大。
輸卵管癌陣發性陰道流液警惕輸卵管癌輸卵管癌常發生在不孕或患有慢性附屬檔案炎、輸卵管結核的婦女中,發病年齡以50歲前後多見。發生在輸卵管者,稱原發性輸卵管癌,但大多數的輸卵管癌是繼發於子宮內膜癌或卵巢癌之後,又稱繼發性輸卵管癌。
原發性輸卵管癌症狀原發性輸卵管癌早期多無明顯症狀,主要表現為陰道內流出液體,輕微腹痛,當腫瘤生長到一定程度時,可發現腹部包塊。其中,陰道流液是該病最常見的早期症狀之一,發生率為63%-83%。病之初,陰道流液並不起眼,往往被患者忽略。因為流液有時為陣發性,時有時無,更使一些人掉以輕心,甚至不少病人誤認為是婦科炎症。因此,原發性輸卵管癌較難早期診斷,術前正確診斷僅為2%-6%,十分容易“漏網”。
輸卵管癌典型症狀輸卵管癌典型症狀-陣發性流黃水或淡血水,是因為輸卵管的收縮,將積聚在管內的液體向子宮及陰道排出,排液可伴有下腹痛或腰酸。所以,凡是出現陰道流液,特別是絕經後的流液,一定要引起警惕,並及時就醫。可將收集流出的液體做細胞學檢查,再結合腹腔鏡、B超或CT等檢查,儘早確診。原發性輸卵管一旦形成包塊,表明已發展到中晚期,進一步還可出現排尿不暢、部分腸梗阻,以及流出惡臭色濁的液體等,此時已失去了最佳的治療時機。
治療和預防
輸卵管癌的治療原則以手術為主,輔以化療、放療的綜合治療的方法:
1.手術治療是最主要的治療方法,原則上應行腫瘤細胞減滅術或者腫瘤大塊切除術,包括全子宮、雙附屬檔案、大網膜及闌尾切除術,對於盆腔內一切轉移和種植的病變儘可能全部切除。
2.化療治療多作為術後輔助治療。
3.放射治療。
輸卵管癌的預防方法主要是:
1、積極徹底地治療急性輸卵管、卵巢炎、盆腔腹膜炎。
2、平時應注意個人衛生及經期衛生,預防慢性感染。
【專家分析】輸卵管癌的治療方法
1、手術治療輸卵管癌
對於輸卵管癌的治療有的時候要採用手術的方法來治療,手術治療法是主要的治療的手段,手術可以大限度的切除原發癌的病變的組織。手術後要對病變的組織進行活檢。
2、化療治療輸卵管癌
化療治療輸卵管癌它是一個輔助的治療方法,在病情晚期的時候也可以用這個方法進行治療,該化療方法和用藥的方法和卵巢癌的治療有些相似。
3、放療治療輸卵管癌
每個人的病情不同所以在放療治療中所用的技術和藥品的劑量上也存在差異,臨床上對放療治療輸卵管癌的效果還沒有具體的定論。
病理病因
輸卵管為一對細長的管狀器官,全長約7cm—13cm,女性輸卵管直徑約0.5cm。輸卵管位於子宮底的兩側,子宮闊
輸卵管癌大多數輸卵管癌繼發於子宮內膜癌或卵巢癌後,又稱繼發性輸卵管癌。是一種少見的女性生殖道惡性腫瘤,常發生在不孕或患有慢性附屬檔案炎、輸卵管結核的婦女,發病率占女性生殖道惡性腫瘤的0.5%-1.8%。好發年齡為40-60歲,2/3病例發生在絕經後,1/3發生在更年期。其病因迄今尚不清楚,多數學者認為輸卵管癌發病可能與慢性炎症刺激有關。因為原發性輸卵管癌早期診斷困難,故預後極差,5年生存率21%-44%左右。
病理改變
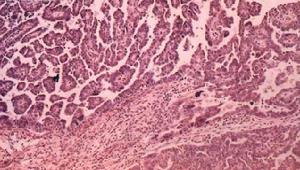
輸卵管癌鏡檢:原發性輸卵管癌絕大多數是漿液性腺癌。偶爾也可出現子宮內膜樣腺癌,透明細胞癌,鱗狀上皮癌和移行上皮癌。腺棘癌和腺鱗癌是指在腺癌中分別出現良性或惡性鱗狀上皮。輸卵管絨毛膜上皮癌,可在輸卵管妊娠或宮內妊娠的基礎上發生,文獻中大約有30例報告。輸卵管漿液性腺癌鏡下為腺泡狀、乳頭狀或髓樣癌結構,多種結構成分的混合十分常見。上皮細胞擁擠堆積伴核明顯的多形性,核染色質增加和核分裂相幾乎見於所有病例。有時可見正常輸卵管上皮向腫瘤性上皮的移行過渡。腫瘤細胞的粘液分泌通常不明顯,但偶爾瘤細胞可有粘液分泌。腫瘤的組織學分級對預後影響不大,但臨床分期與預後關係密切。
誘發原因
根據對大量病例的觀察證明,其發病率與以下因素有關:
輸卵管2、生育:部分婦科腫瘤的發生與生育有關,其發病與過早分娩、密產、多產等生育因素有關。
3、性衛生:不潔的性生活可引起女性生殖器官感染,如:陰道炎、宮頸炎、宮頸糜爛、輸卵管炎症等。它們成為外陰癌、陰道癌、宮頸癌及輸卵管癌的重要發病因素。
4、內分泌:女性生殖器官是女性激素的主要靶器官,其腫瘤的發生與內分泌密切相關。現在有些女性不經醫生指導,私自服用含有雌激素的藥物、補品及一些美容美膚用品,刻意或在不知不覺中提高了體內雌激素水平。而長期高水平雌激素的刺激是輸卵管癌和卵巢癌的發病因素之一。
5、不良生活方式:吸菸尤其是大量吸菸,可能是誘發宮頸癌和輸卵管癌的重要原因之一。據流行病學調查,吸菸婦女患本病的風險較不吸菸婦女增加2倍。
臨床表現
發病年齡
發病多見於50~70歲,患者平均就診年齡為55~60歲。
不育史
患者中有不育史的占33%~60%。
症狀
(1)陰道排液:陰道流水是輸卵管癌患者最具特殊的症狀,排出的液體為淡黃色或血水樣稀液,量多少不一,排液一般無氣味,但個別有惡臭。如腫瘤有壞死出血,則液體呈血性水樣。
(2)陰道出血:陰道不規則出血亦是常見症狀之一,出血與排液可解釋為同一來源,當腫瘤壞死侵破血管,血液可流入子宮經陰道排出。
(3)腹痛:大約半數患者有下腹部疼痛,一般不重,常表現為一側下腹間斷性鈍痛或絞痛。
(4)下腹或盆腔包塊:僅有部分患者自己能在下腹部觸及包塊,而以腹塊為主訴者更屬少數。
(5)其他:由於病情發展,腫塊長大,壓迫附近器官或廣泛轉移的結果,可出現排尿不暢,部分腸梗阻的症狀,以至惡液質,均為晚期的表現。
體徵
(1)盆腔檢查:由於輸卵管癌多合併炎症粘連,盆腔檢查時常與附屬檔案炎性腫物相似。腫物可為實性、囊性或囊實性,位於子宮一側或後方,有的深陷於子宮直腸窩內,多數活動受限或固定不動。
(2)腹水:較少見。腹水發生率為10%左右。
疾病分類
輸卵管癌輸卵管腫瘤輸卵管良性腫瘤輸卵管腫瘤輸卵管良性腫瘤少見,來源於副中腎管或中腎管。凡可發生在子宮內的腫瘤均可發生在輸卵管內,故種類很多。其中腺瘤樣瘤相對多見,其他如乳頭狀瘤、血管瘤、平滑肌瘤、脂肪瘤、畸胎瘤等均罕見。由於腫瘤體積小,無症狀。術前難以診斷,預後良好。
輸卵管惡性腫瘤分類
輸卵管惡性腫瘤有原發和繼發兩種。絕大多數為繼發性癌,占輸卵管惡性腫瘤的80~90%,多繼發於卵巢癌,次為子宮內膜癌,也可來自對側輸卵管或乳腺、胃腸道的癌腫。Finn等報告33例轉移性輸卵管癌,原發癌分別在卵巢(20/33)、子宮(11/33)、對側輸卵管(1/33)及直腸(1/33)。但子宮頸癌很少轉移至輸卵管。
典型症狀
輸卵管癌輸卵管癌典型症狀:陣發性流黃水或淡血水,是因為輸卵管的收縮,將積聚在管內的液體向子宮及陰道排出,排液可伴有下腹痛或腰酸。所以,凡是出現陰道流液,特別是絕經後的流液,一定要引起警惕,並及時就醫。可將收集流出的液體做細胞學檢查,再結合腹腔鏡、B超或CT等檢查,儘早確診。原發性輸卵管一旦形成包塊,表明已發展到中晚期,進一步還可出現排尿不暢、部分腸梗阻,以及流出惡臭色濁的液體等,此時已失去了最佳的治療時機。
原發性輸卵管癌的治療,主要是手術、放療或化療等。早期以手術切除較為理想,術後再行根治性化療或輔以放療,5年生存率可達88%以上。當然,也可採用綜合性手段,配合生物、免疫治療以及中醫藥等。
臨床表現
手術1.陰道排液最常見。排液是輸卵管癌患者最具特殊的症狀,為漿液性黃水,量多少不一,呈間歇性,有時為血水樣稀液。一般無氣味,但個別有惡臭。
2.腹痛大約半數患者有下腹部疼痛,多發生於患側,為鈍痛,一般不重,以後逐漸加劇呈痙攣性絞痛。
3.下腹或盆腔包塊部分患者自己能在下腹捫及腫塊。
4.陰道出血:陰道不規則出血亦是常見症狀之一,出血為腫瘤壞死侵破血管,血液流入子宮經陰道排出。
5.腹水較少見,呈淡黃色,有時呈血性。
6.其他:晚期腫塊壓迫附近器官或廣泛轉移,可出現排尿不暢,部分腸梗阻的症狀。
疾病檢查
由於原發性輸卵管癌少見,缺乏典型的臨床症狀與體徵,因此常被忽視以致延誤診斷,目前術前正確診斷率達30%
疾病檢查(一)陰道脫落細胞學檢查
脫落的輸卵管癌細胞可隨排液由輸卵管、宮腔到達陰道。因此陰道脫落細胞學檢查可陽性。當該項檢查陽性時應首先排除宮頸癌及子宮內膜癌的可能性。
(二)診斷性刮宮及子宮內膜活檢
宮頸、宮腔及輸卵管的癌瘤,都可引起陰道排液增多,陰道脫落細胞學陽性。因此需宮腔探查及分段刮宮以明確診斷。若陰道脫落細胞學陽性,而分段刮宮病理陰性,則應考慮到輸卵管癌的可能。若子宮內膜活檢陽性時,除子宮內膜癌外也應考慮到輸卵管癌宮腔轉移的可能。
(三)B超、CT檢查及mri檢查
B超、CT檢查及mri檢查是臨床上最常採用的檢查方法,可確定腫塊的部位、大小、性質(如囊性或實性)與周圍組織的毗鄰關係等,但很少可以提示輸卵管來源。
(四)陰道細胞學檢查
陰道細胞學1級:基本正常。特徵:細胞形態正常或基本正常。陰道細胞學2級:有輕至中度核異質細胞,但屬良性病變範圍。陰道細胞學3級:有可疑癌細胞。陰道細胞學4級:有癌細胞,但不夠典型。或有極少數典型癌細胞,需進一步證實。陰道細胞學5級:有癌細胞,癌細胞的惡性特徵明確且數目的較多。
由於輸卵管與宮腔相通,塗片中找到癌細胞的機會也較卵巢癌高。
(五)分段診斷性刮宮:對絕經後陰道出血或不規則陰道出血,陰道排液者,經分段診刮,除外宮頸及子宮內膜病變,有助於輸卵管癌的診斷。
(六)腹腔鏡檢查:見輸卵管增粗,外觀如輸卵管積水,有時可見到贅生物。
(七)血清cal25測定:有助於診斷,但無特異性。
鑑別診斷
檢查2、原發性輸卵管癌和轉移癌的區別:
(1)腫瘤明確發生於輸卵管黏膜;
(2)組織學類型似於輸卵管上皮;
(3)有良性輸卵管上皮向惡性上皮移行的證據;
(4)卵巢和子宮正常,或者其腫瘤常常小於輸卵管腫瘤,且傾向於多發瘤灶。
診斷依據
典型的輸卵管癌有陰道排液、腹痛、盆腔腫塊症狀,稱輸卵管癌“三聯症”。
輸卵管癌2、腹痛。多發生於患側,由於輸卵管傘端阻塞、管內壓升高、蠕動增加,病人可出現下腹部鈍痛,以後逐漸加劇而呈痙攣性絞痛。當陰道排出水樣或血樣液體後,疼痛常隨之緩解。50%病人可出現下腹疼痛,常發生在患側。開始為患側下腹持續性隱痛或沉重感,以後逐漸加劇,發展為間歇性痙攣性絞痛。在陰道排出大量液體後,腹痛得以緩解。
3、腹部腫塊。由於輸卵管內腫瘤增大,或並發輸卵管積水,因此病人在行婦科檢查時常可觸到有長形輸卵管腫大,活動受限或固定不動。癌腫生長引起輸卵管管腔擴張而形成腫塊,婦檢於子宮了一側可及腫塊,大小不一,小者 3―4cm 直徑,大者達臍水平,但一般不超過 10cm 直徑,呈臘腸型,囊性或實性。
以上的“三聯症”並非每個病人都有。很多病人在早期時可以沒有任何症狀。此外,有些病人還可並發腹水、不育、消瘦等症狀,但這些都不是輸卵管癌的特有症狀。應該引起警惕的最主要症狀是陰道流液。如出現不明原因的陰道流液就應立即去醫院檢查。
診斷標準
輸卵管癌(1)輸卵管至少其遠端不正常,傘端可以開放或閉鎖,與慢性輸卵管炎相似。
(2)乳頭狀物在輸卵管內生長。
(3)子宮和卵巢大體正常或無癌侵襲。
2、鏡下標準
(1)輸卵管上皮全部或部分為癌組織所代替。組織學類型與輸卵管黏膜相似。
(2)子宮內膜和卵巢是正常的。若有癌灶,體積應很小,其組織學表現符合輸卵管轉移的癌灶。
(3)可明確排除輸卵管結核。
誤診因素
1、輸卵管癌的病因及發病機制不明,目前提及最多的是慢性輸卵管炎及雌激素水平過高的學說。按此學說,涉及人群廣泛,目前還沒有一種簡便有效的方法能篩選出高危發病對象,以加強臨床追蹤觀察,做到早期診斷。又因病變深在盆腔,給診斷帶來困難。脫落細胞檢查簡便,但因腺癌細胞容易變性壞死,陽性率低,如為陽性,也還有與宮體癌、宮頸癌混淆的可能。腹腔鏡診斷確切,但設備技術要求高,不普及,且常因盆腔粘連,不能獲得滿意結果。故長期以來,臨床上都將本病看作術前最難診斷、最易漏診誤診的疾病。
2、輸卵管癌常與其他腫瘤並存,使醫生的注意力轉移並集中在並存的腫瘤上,造成對本病的漏診或誤診,這點應引起足夠的重視。
3、輸卵管癌屬於少見惡性腫瘤,臨床醫生由於對本病認識不足,診斷時容易將本病遺忘,不少文獻提出“四聯征”為本病特徵,但病變的早期往往無任何表現,即使到了中、晚期,具有“四聯征”者亦較少,大多只有一兩種症狀,又缺乏特異性,除早期易漏診外,還容易被一兩種不典型症狀引入誤診的歧途,用常見的卵巢腫瘤、慢性盆腔炎、子宮體癌等來作診斷。
4、有部分醫生對術前診斷不夠重視,只依賴剖腹探查確診,只要有了剖腹探查指征,常因怕麻煩或急於手術而放棄進一步檢查,從而造成術前誤診。
目前根據推測考慮原發性輸卵管癌和慢性輸卵管炎症,輸卵管積水之間存在著某種因果關係。故對一切輸卵管炎的治療應更加積極。對於輸卵管積水的病例,觀察和保守治療應有限度,徹底手術切除的適應症應予放寬。
擴散轉移
輸卵管癌難以根治的最主要的原因之一就是它具有轉移的特徵。轉移就是指已經浸潤脫落的腫瘤細胞,通過某些途
輸卵管癌1、轉移過程 :腫瘤細胞的轉移是許多階段的動態連續的過程。首先腫瘤細胞侵襲突破組織屏障進入血管、淋巴管形成細胞栓子,隨之脫落並在血液或淋巴管中運行,而後與遠處臟器微循環內皮細胞黏附、停留、並穿出微循環,在新的組織器官實質中繁殖、生長形成新的轉移瘤。此外、在轉移過程中,癌細胞也可以直接脫落於體腔,著床於漿膜面形成種植性轉移瘤。
2、轉移途徑:惡性腫瘤的轉移主要通過淋巴管、血管和體腔。血管主要通過靜脈,很少先通過動脈。淋巴道轉移,淋巴轉移多按淋巴乾的規律轉移,即左右頭頸乾、左右鎖骨下乾、左右支氣管縱隔乾、左右腰乾和腸乾。血道轉移,血道轉移多按體靜脈型、肺靜脈型、門靜脈型、錐靜脈型和逆流型。種植轉移,在腔隙中腫瘤細胞瀰漫性生長,如胸腔、腹腔、心包腔等。手術、穿刺過程也可造成種植性轉移。
3、影響轉移的因素:腫瘤局部因素,包括腫瘤大小、生長速度、分化程度、病理類型、腫瘤細胞代謝特徵、運動能力、年福利、酶的產生、表面結構及電荷、腫瘤血管形成引資、癌細胞DNA結構的改變等等。一般情況下腫瘤越大,惡性程度越高,生長速度越快,越容易轉移。全身因素,惡性腫瘤除受局部因素影響外,還受諸多全身因素的影響,主要有:免疫功能,機體免疫功能對腫瘤的發生起著重要的作用,同樣,在腫瘤轉移的過程中,免疫狀態的正常與否對轉移發生的早晚及轉移瘤生長的快慢發揮主導作用。免疫狀態好者可抑制腫瘤轉移,使腫瘤長時間的穩定而處於自限狀態,而若機體免疫系統抗禦腫瘤的能力降低時則可出現早期轉移。凝血機制,腫瘤發生轉移必須經過腫瘤細胞與血管內皮細胞黏附、纖維蛋白包繞、形成瘤栓等一系列過程。在此過程中凝血和抗凝血機制對轉移的作用已普遍引起人們的重視。研究發現,癌細胞自身可產生促凝血因子使其有利於血管上皮黏附,促進轉移。 外界因素,主要是人為因素對腫瘤的影響。
治療方式
輸卵管癌(一)手術治療
手術治療是原發輸卵管癌最主要的治療手段。手術的目的不僅是最大限度地切除原發瘤,也是診斷和分期的重要途徑。
因為輸卵管癌易雙側發病(雙側發病者約占1/3),且易累及卵巢和子宮內膜,脫落的癌細胞也可種植於盆腔腹膜。因此 I 期患者選擇的手術治療方法應是筋膜外全子宮切除、雙側附屬檔案切除術及大網膜切除術。對 II 期及以上患者應儘量切除到無肉眼殘存瘤,有時甚至要切除部分受累器官(如盆底直腸)。當種植廣泛不能切除到無肉眼殘存瘤時應行瘤體縮減術,並選擇性的腹主動脈旁淋巴結活檢術或盆腔及腹主動脈旁淋巴結清除術。
手術開始後應首先仔細探查並行手術分期,對可疑部位應取活檢。應取腹水找瘤細胞,無腹水時抽取腹腔沖洗液。為了避免因手術操作而引起腫瘤的播散,應儘早阻斷輸卵管區的血管,關腹前腹腔內應放置適當的化療藥物,有條件的可留置化療導管,備術後腹腔化療用。
(二)化療
常為術後的輔助治療,也可作為晚期病例的姑息治療。現多採用與卵巢癌相似的化療方案和給藥途徑。
以往套用有效的化療藥物有塞替派、馬法蘭、氟尿嘧啶、順鉑、環磷醯胺、阿黴素等,近年有套用泰素的報導。最常用的化療方案有CAP&方案(順鉑、阿黴素和環磷醯胺)、CP方案(順鉑和環磷醯胺)和DDP加Taxol方案(順鉑和泰素)。輸卵管癌的激素治療尚無成熟的經驗。
(三)放療
由於輸卵管癌少見,且放療中套用的技術和劑量不同,故較難評價放療對輸卵管癌的效果。現放療多用於手術後上腹部無殘存瘤,僅盆腔有較小殘存瘤者。有腹水者也可套用放射性磷放置腹腔內。
禁忌症:有嚴重的心、肝、肺、腎等臟器的合併症及功能不良者。病人因輸卵管癌晚期,身體處於衰竭狀態,不能耐受手術者。
麻醉方法:硬膜外麻醉或腰麻,不配合者可行全麻。
麻醉禁忌:安全有效。
預後多不良,治癒率為25%以下,尚無有效的預防方法。 大蒜可降低女性輸卵管癌機率。
cls生物免疫治療
cls生物免疫治療輸卵管癌可以激活免疫細胞 達到殺滅腫瘤細胞的目的。生物免疫治療是以DC+CIK免疫細胞為主導,不但具有清除腫瘤患者體內不同部位的微小殘留病灶、防止腫瘤復發與轉移的作用,而且對腫瘤患者受損的免疫系統更能起到恢復與重建的獨特作用。生物免疫治療輸卵管癌是繼傳統的手術、放療和化療之後的第四大腫瘤治療技術,突破了腫瘤治療的瓶頸,進入了新興的“自身抗癌”時代,權威數據顯示,生物免疫治療腫瘤相比其它治療方式,臨床治癒率提高了近三分之一。
DC+CIK=“雷達”+“飛彈”
在生物免疫治療技術中,兩種細胞協同作戰:DC細胞象“雷達”,負責搜尋和識別腫瘤細胞。CIK細胞則像“飛彈”,對DC細胞搜尋到的腫瘤細胞進行精確殺傷,具有強大的抗瘤活性同時不殺傷任何正常組織細胞。DC、CIK聯合,尤其對手術或放、化療後腫瘤負荷較小的患者治療效果特別顯著,能消除殘留微小的轉移病灶,防止癌細胞擴散和復發,同時能提高機體免疫力,產生的是“1+1>2”的治療實效。
飲食治療
輸卵管癌患者飲食隨治療的不同而異。飲食與疾病的治療效果也有關。疾病的治療效果較好,飲食問題常不為醫生
飲食治療飲食原則:由於卵巢腫瘤的發病與卵巢的功能失調有關,故宜選用對卵巢功能的生理性周期調節有益的食品,如鮑魚、鴿蛋、烏賊、章魚、鵪鶉、烏骨雞、海參、魚翅、燕窩等。卵巢、輸卵管、闊韌帶腫瘤:海馬、山楂、別家等。滋養液細胞腫瘤:豬胰、向日葵花、海蟹等。
辯證實施:感染者:芹菜、海鰻、文蛤、芝麻、蕎麥、油菜、香椿、水蛇肉、赤豆、綠豆、陳小麥、鯉魚等。出血者:羊血、薺菜、藕、蘑菇、馬蘭頭、石耳、柿餅、大蒜、螺螄、淡菜、烏賊。脹痛者:豬腰、海鰩魚、楊梅、山楂、橘餅、胡桃、山核桃、栗子等。禁忌:忌煙、酒、辛辣刺激及高脂肪飲食。
具體病例
病例1:
輸卵管癌患者郭女士,54歲。婦檢:子宮前位,子宮正常大小,質中,無壓痛,宮頸光滑。左側附屬檔案可觸及約5.5cm×3cm大小包塊,右附屬檔案區未見異常。超聲檢查:子宮大小為4.8cm×3.5cm×4.1cm,包膜光滑,肌層回聲均勻,子宮內膜增厚,回聲稍增強,子宮左側見4.5cm×2.8cm的低回聲包塊,邊界清晰,形態為臘腸形欠規整,其內有回聲不均勻的低回聲改變。左側卵巢顯示不清。臨床診斷為:左側輸卵管癌治療:切除子宮及雙附屬檔案。術中見子宮正常大小,表面光滑。左側卵巢大小為2.0cm×1.8cm,左側輸卵管壺腹部明顯增粗、腫大,傘端封閉,形成大小為5.0cm×3.0cm臘腸樣腫塊,與周圍組織無明顯粘連,盆腔內未見腫大的淋巴結。右側附屬檔案未見異常。病理診斷結果:左側輸卵管低分化乳頭狀腺癌。經化療,情況良好。
病例2:
患者,47歲,不規則陰道流血近1年,發現下腹部包塊6個月,近2個月陰道流黃水樣分泌物,時伴血性。曾抗炎治療10天,分泌物減少。自發病以來無腹痛。婦檢:宮體前位,正常大、質硬、活動性差、無壓痛、於子宮後方偏左可捫及鵝卵大腫物,活動性差,界限清、後方回聲增強。實驗室檢查:癌胚抗原正常,糖蛋白抗原-125異常增高。診斷為卵巢瘤,術見左輸卵管膨大10.0cm×5.0cm表面光滑,傘端呈菜花樣,與子宮直腸陷凹左側盆壁腹膜粘連。術中快速病理:左側輸卵管癌。行廣泛性子宮全切術,雙附屬檔案切除術及盆腔淋巴結清掃術。
檢查方法
原發性輸卵管癌是女性生殖器官中最少見的一種惡性腫瘤,其發生率在宮頸癌、宮體癌、卵巢癌、外陰癌、陰道癌之後,居末位。那輸卵管癌的檢查方法是什麼呢?一般的檢查方法有:X線檢查、診斷性刮宮、B型超聲掃描、陰道細胞學檢查等。
⒈X線檢查:動態數位化子宮輸卵管碘油造影(HSG)有一定價值,但有可能引起癌細胞擴散至腹腔,一般不宜採用。近年採用CT確定腫塊的部位、大小、性質等。
⒉診斷性刮宮:進行全面的分段診刮和仔細探查宮腔,可以除外宮腔、頸管的癌瘤及引起陰道排液的其他良性病變如黏膜下肌瘤等。若分段診刮病理學檢查為陰性,則應疑及輸卵管癌。若子宮內膜活檢陽性,應首先考慮為子宮內膜癌,但不能除外系輸卵管癌轉移而來的可能性。
⒊B型超聲掃描:可確定腫塊的部位、大小、性質及有無腹水等。
⒋陰道細胞學檢查:對有上述臨床症狀者,如能排除子宮內膜及頸管內膜癌瘤,而陰道細胞學檢查陽性,特別是找到腺癌細胞,則應高度疑為本病,但其陽性率不足50%。有人主張直接檢查宮腔吸出物乃至輸卵管吸液,可提高陽性率。
⒌內窺鏡及其他檢查:腹腔鏡、後彎窿鏡、子宮鏡、陰道鏡及宮頸活檢等檢查,可除外卵巢、宮體及宮頸的惡性腫瘤。
預後
影響預後的因素:1.症狀存在的時間:症狀出現距就診時間越長,預後越差。
2.臨床分期:輸卵管癌擴散的範圍或臨床分期是最重要的因素。癌瘤擴散越廣,療效必然越差。5年存活率,I期高達77%,II期約40%,III期僅20%。
3.雙側輸卵管病變:兩側輸卵管均有病變時,預後很差。
4.初次手術後殘存癌與生存率之間的關係與卵巢癌相似,是重要的預後因素。
5.病理分級:病理分級和預後有密切關係,但對預後的意義遠不如臨床分期重要。
預防疾病
原發性輸卵管癌的發病原因與輸卵管細菌、病毒感染,輸卵管積水、積膿,沙眼衣原體、解脲支原體、人形支原體等感染有關。對該類疾病宜及時進行治療,以減少對輸卵管的惡性刺激。同時,要預防為主,重視個人衛生,加強經期防護,潔身自愛,拒絕多個性夥伴,避免性病傳播。
術後護理
臨床護理
1、輸卵管介入術術後應常規輸抗生素3-5天以預防感染。2、輸卵管介入術治療後一周內有少量陰道出血及輕微下腹痛疼如無其它不適屬正常現象
3、輸卵管介入術術後禁忌性生活二周。
4、禁洗盆浴,可洗淋浴。
5、一般要求術後三個月以後試孕以防X線的照射影響卵子質量,但由於輸卵管介入術在X光下真正暴露的時間只有2分鐘左右,所以據臨床觀察術後第一個月懷孕並不增加胎兒的流產率和畸形率。
6、術後要在醫師醫囑下定期到醫院複查,以觀察恢復情況。
生活護理
1、飲食要清淡,不要吃辣,酸,冷等刺激性食物。2、糾正不良的生活習慣,如不能抽菸,少喝酒(最好不喝)。
3、保持陰部的潔淨,要穿寬鬆的內褲,最好是棉質的。
4、多吃含有蛋白質、維生素含量高的食物。
5、禁忌性生活。
輸卵管癌有哪些護理方法
輸卵管癌患者術後的身體恢復情況決定了輸卵管癌患者以後的生命質量。那么除了必須做的手術和化療外,輸卵管癌患者術後自己該怎么做,才能保持身體平穩恢復呢?醫生建議輸卵管癌患者患者要注意飲食起居,生活規律,定期複查等。1、輸卵管癌患者術後應常規輸抗生素3-5天以預防感染。
2、輸卵管癌患者介入治療後一周內有少量陰道出血及輕微下腹痛疼,輸卵管癌患者應該明白這些,出現時不要擔驚受怕。
3、輸卵管癌患者術後禁忌性生活二周。
4、輸卵管癌患者禁洗盆浴,可洗淋浴。
5、輸卵管癌患者術後注意飲食起居,生活規律,不吃辛辣刺激冰冷的食物,注意均衡營養,多流質飲食。
6、輸卵管癌患者術後一但出現月經後推或有妊娠可能時要及早進行早孕檢查。
7、輸卵管癌患者接受疾病事實,保持樂觀平衡心態。
8、輸卵管癌患者定期複查。輸卵管癌-預防保健:http://www.clsbio.com/azbk/slgzl/slgzlhl/29149.html
