病因
外陰軟纖維瘤(一)發病原因
外陰軟纖維瘤是一種贅生物,為疏鬆結締組織向皮膚表面外突而形成。
(二)發病機制
外陰軟纖維瘤外形呈球形,直徑為1~2cm,可以有蒂。也可呈息肉樣,是切面為白色柔軟的纖維結締組織。腫瘤表面有皺襞,質地柔軟。一般認為外陰軟纖維瘤是由於外陰疏鬆結締組織生長過盛,導致該處皮膚隆起,肉眼可見。
臨床表現
臨床常無症狀,在蒂扭轉或破潰時則出現症狀,主要為疼痛,潰破,出血和感染。有時腫塊受摩擦而有不適感。一般不容易發現,病人在觸診或望診時才發現,可見腫瘤呈類圓形,息肉狀,常有蒂,表面皺襞較多。有的可類似於尖銳濕疣。較小的軟垂疣類似於真皮痣,來自於孤立堅硬的膠原,也可能出現息肉樣的外陰損傷。可存很多年,極少數會形成大的軟纖維瘤。當血供不足時,可發生潰瘍。
診斷
外陰軟纖維瘤的臨床特點顯著,診斷不困難,病理切片檢查可確診。
預防
1、定期體檢:以達到早期發現、早期診斷、早期治療。
2、做好隨訪:防止病情惡化。
3、注意個人衛生,特別是經期和產褥期陰部的衛生。
4、增強體質,提高自身免疫力:注意勞逸結合,多參加體育鍛鍊,多進食富含維生素的新鮮蔬果。
預後
外陰軟纖維瘤較少惡變,切除不乾淨時可在局部復發。
檢查
可做以下檢查以排除其他疾病:
一、陰道分泌物常規檢查:觀察陰道分泌物的顏色和性狀。陰道分泌物即女性生殖系統分泌的液體,又稱為白帶。檢查可發現脫落於分泌物中的鱗狀上皮細胞數超出正常範圍。
二、腫瘤標誌物檢查:腫瘤標誌物(TumorMarker)是反映腫瘤存在的化學類物質。
1)腫瘤組織產生,包括:分化抗原;胚胎抗原(AFP,CEA);同工酶(NSE);激素(HCG);組織特異性抗原(PSA,freePSA):粘蛋白,糖蛋白,糖脂(CA125);癌基因及其產物;多胺類等。
2)腫瘤與宿主相互作用後產生,包括:血清鐵蛋白;免疫複合物;急性時相蛋白;同工酶;白細胞介素受體;腫瘤壞死因子等。
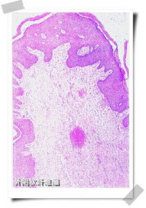
三、組織病理檢查:鏡下:可見在外陰生髮上皮有明顯的纖維血管間質的成分,表面覆以較為正常的或萎縮的鱗狀上皮,也可出現乳頭狀增生和過度角化。不同的病例,間葉成分可有很大的差別,有的細胞成分稀少,在疏鬆黏液水腫樣的間質中散布形態溫和的梭形的細胞。有的病例富有細胞,與表皮間沒有分界帶,細胞多形性明顯,有大量奇異大細胞及多核細胞,而且可有明顯增多的核分裂象。
四、免疫檢驗:免疫組化染色desmin、vimentin陽性,actin部分陽性,ER和PR間質細胞可陽性。
鑑別
外陰軟纖維瘤需與下例疾病鑑別診斷:
1.纖維瘤(硬纖維瘤):
(1)簡介:硬纖維瘤也稱韌帶樣瘤,是一種少見的良性肌腱膜過度增生。它發生於肌肉、腱膜和深筋膜等處,十分堅硬。本病多發生於腹壁,也可發生於腹內及骨骼肌內。硬纖維瘤多發生於30~50歲,以女性多見。也可見於青少年。
(2)鑑別要點:一般起源於會陰部或圓韌帶的深部的纖維組織,間質一般更緻密,膠原纖維多。
2.尖銳濕疣:
(1)簡介:尖銳濕疣是由人乳狀瘤病毒感染引起的上皮增生性病變,為重要的性傳播疾病之一。溫暖潮濕的外陰皮膚黏膜利於其生長、繁殖,形成外陰或陰道尖銳濕疣。
(2)鑑別要點:有挖空細胞和分枝乳頭。
3.神經纖維瘤:
(1)簡介:神經纖維瘤為常染色體顯性遺傳疾病,其特點是多系統、多器官受累而以中樞神經系統最為明顯,可引起多種腫瘤如錯構瘤、神經纖維瘤、腦膜瘤及膠質瘤等;多灶性是其最常見的病理特點。
(2)鑑別要點:更富於細胞,S-100陽性。
4.侵襲性血管黏液瘤:
(1)簡介:侵襲性血管黏液瘤(aggressiveangiomyxoma,AAM)可發生於全身軟組織,是一種罕見的軟組織腫瘤,侵襲性與復發性是其重要的臨床特點。迄今全世界報導的病例不足200例,女性外陰陰道部位AAM的報導更是少見,由於其罕見性,致使目前臨床上尚缺乏診治經驗,臨床誤診率在80%以上。
(2)鑑別要點:不呈息肉狀,在深部組織浸潤性生長,血管豐富(含有中到大血管),瀰漫分布,可見平滑肌細胞條索。
5.血管肌纖維母細胞瘤:
(1)簡介:一種界限清楚的良性肌纖維母細胞腫瘤,一般位於盆腔會陰部,尤其外陰部位,由間質細胞構成。患者基本為女性。
(2)鑑別要點:其通常為非息肉樣腫物,梭形細胞和漿細胞樣細胞圍繞纖細壁薄的毛細血管排列。
6.表淺血管黏液瘤:
(1)簡介:淺表性血管粘液瘤是1988年由Allen等人首先提出,其位置表淺,可伴有或不伴有上皮成分。各個年齡組均可發生。腫瘤均為淺表性定位,位於驅乾、四肢和頭頸各部。腫瘤多為單發,少數為多發性病灶,大小0.5~9cm,多數在1~5cm範圍之內,緩慢生長,無痛性。
(2)鑑別要點:兩者都可呈息肉狀生長,但表淺血管黏液瘤的病變呈多結節狀,有豐富的黏液基質和中性粒細胞浸潤,而沒有多核間質細胞。
7.細胞性血管纖維瘤:
(1)簡介:細胞性血管纖維瘤(telangiectaticfibroma)為真皮淺層纖維性增生和不同程度的血管增生所致的皮膚色到淡紅色丘疹。
(2)鑑別要點:為境界清楚的非息肉樣腫瘤,細胞溫和,缺乏多核細胞和均勻一致的血管。
8.平滑肌瘤:
(1)簡介:平滑肌瘤是皮膚平滑肌細胞的良性腫瘤。可由血管平滑肌、立毛肌及乳房或陰囊的平滑肌發生而來。發病可能與遺傳有關。
(2)鑑別要點:通常不呈息肉狀,梭形細胞和表皮之間有界限。
9.外陰乳頭狀瘤:
(1)簡介:外陰乳頭狀瘤為上皮來源的腫瘤。病變多發生在大陰唇,也可見於陰阜、陰蒂和肛門周圍。該病比較少見。腫瘤多見於中老年婦女,發病年齡大多在40~70歲。病變生長緩慢,可無症狀,但也可有外陰瘙癢及局部炎症病史。
(2)鑑別要點:顯微鏡下比較容易鑑別。
治療
中醫治療
可選用五妙水仙膏、水晶膏或除痣膏點塗患處,直至脫落。
一、五妙水仙膏:
治療原理:主要是直接作用於患處,使病變組織蛋白發生凝固,血管閉塞,組織萎縮,體積縮小,溶解角質。對增生性病變組織有消除作用。刺激神經末梢,改善血液循環,促進組織新生,加速創口癒合。強力殺菌、消炎、快速治癒。止血、止癢、鎮痛。愈後無痕跡。
二、水晶膏:
治療原理:將礦子石灰15g研為細末以濃鹼水浸之(約100m1),鹼水高出石灰面2指,取糯米50粒,撒於灰上。浸泡1晝夜,將米取出,搗爛成膏。冬季2天1次。水晶膏點塗於皮損處,勿傷正常皮膚,脫痂後可痊癒。
三、除痣膏:
治療原理:主要成分為石灰和高濃度白酒、雲南白藥和樟丹調製而成。塗抹在外陰軟纖維瘤上可腐蝕瘤體。
西醫治療
1、手術切除治療為主,對腫物較大、有蒂損害的,可在其根部行手術切除,大多不需麻醉。一般沿著基底部切除,如出血可用氯化鋁外用止血。如患者因腫瘤而擔憂,出現症狀,或腫瘤直徑超過1~2cm,則腫瘤應予以切除。
2、對於外陰軟纖維瘤的多發性小損害可用雷射、電凝、電灼或液氮冷凍代替傳統手術。液氮冷凍效果極佳。
(1)化學燒灼:可用酚或三氯醋酸局部塗擦,可腐蝕瘤體。
(2)液氮冷凍電凝或雷射等方法進行治療。
(3)較大皮損局麻下可用電乾燥治療。
併發症
外陰軟纖維瘤的感染可擴散並發陰道炎。陰道炎是陰道黏膜及黏膜下結締組織的炎症,是婦科門診常見的疾病。
正常健康婦女,由於解剖學及生物化學特點,陰道對病原體的侵入有自然防禦功能。當陰道的自然防禦功能遭到破壞,如外陰軟纖維瘤感染,則病原體易於侵入,導致陰道炎症,幼女及絕經後婦女由於雌激素缺乏,陰道上皮薄,細胞內糖原含量減少,陰道PH高達7左右,故陰道抵抗力低下,比青春期及育齡婦女易受感染。
飲食保健
方1、八寶粥
材料:黨參、白朮各15克,茯苓、懷山藥、芡實、蓮子、苡米各50克,大棗10枚,糯米100克,白糖適量。
製法:將蓮子去心,諸藥加水適量,煮30分鐘,濾去黨參、白朮藥渣,加糯米、白糖煲粥。
功效:補益中氣。適用於腫瘤手術或放、化療後食慾下降,不思飲食,表現為食欲不振,倦怠乏力,多汗,食後腹脹,大便稀溏等。
方2、參茸燉龜
材料:龜肉500克,人參10克,鹿茸3克,苡米50克,調料適量。
製法:將龜宰殺,去頭、爪及內臟,洗淨,切塊,諸藥布包同放入鍋中,加生薑、清水等,開水後去浮沫,加料酒大油等,文火煮至肉熟,調入食鹽,味素適量。
功效:益氣溫陽,養陰填精。適用於腫瘤病人陽氣虛弱及化、放療後紅、白細胞下降等。表現為體弱氣虛,畏寒肢冷,四肢無力,精神不振等。
方3、枸杞甲魚湯
材料:甲魚300克,枸杞子30克,熟地黃15克,北黃芪10克,調料適量。
製法:甲魚宰殺,去甲殼、頭、爪,洗淨、切塊,放砂鍋內,加清水及布包諸藥,武火煮沸後,轉文火煲至甲魚肉熟透,去藥包,調入食鹽、味素適量。
功效:益氣養陰。適用於腫瘤病人氣陰不足及化、放療後紅、白細胞下降等。表現為形瘦乏力,口乾,盜汗,腰膝酸軟等。
方4、八珍雞湯
材料:母雞1000克,當歸、白芍、熟地、川芎、白朮、甘草各6克,黨參、茯苓各10克,生薑3片,調料適量。
製法:將雞肉洗淨,切塊,放砂鍋中,加生薑,諸藥(布包)及清水適量,武火煮沸後,轉文火燉至雞肉爛熟,去藥包,調入食鹽、胡椒粉、味素即成。
功效:氣血雙補。適用於腫瘤病人手術及放、化療後紅、白細胞下降等。表現為面色蒼白,咽乾口燥,動則氣喘,心悸失眠等。
方5、歸參燉雞
材料:母雞500克,當歸10克,三七參10克,調味適量。
製法:將雞肉洗淨,切塊,放砂鍋中,加生薑,諸藥(布包)及清水適量,武火煮沸後,轉文火燉至雞肉爛熟,去藥袋,調入食鹽、胡椒粉、味素即成。
功效:活血補血。適用於腫瘤以血瘀為主要見證者。表現為肋下或局部腫塊,質硬,疼痛固定不移,舌紫暗,脈細澀等。
方6、菱粉苡米粥
材料:菱角粉50克,苡米50克,山藥100克,糯米100克,佩蘭葉10克,浙貝粉10克。
製法:山藥切片,苡米水泡開,佩蘭葉布包泡開,加入糯米、冷水燒開,再加入菱角粉和浙貝粉調勻,煲粥。
功效:祛痰利濕。適用於腫瘤痰濕較重者。表現為食欲不振,痰多口粘,胸脘痞悶,身重乏力,苔白厚,脈滑等。
方7、蛇蓮肉湯
材料:白花蛇舌草30克,苡米、半枝蓮各20克,豬瘦肉100克,調味適量。
製法:將豬肉洗淨,切小塊,苡米泡開,余藥布包。將豬肉、藥包加清水適量煮開後,轉文火燉至肉熟,去藥渣,調入藥末及食鹽、味素。
功效:清熱解毒利濕。適用於癌毒熾盛患者。表現為癌性發熱,煩渴,小便短赤等。
宜食
(1)宜多吃具有抗外陰腫瘤和白斑作用的食物,如芝麻、杏仁、小麥、大麥、土瓜、烏骨雞、烏賊、烏梢蛇、豬胰、菊花、烏梅、桃子、荔枝、馬齒莧、雞血、鰻魚、鮑魚、蟹、鱟、沙丁魚、文蛤、玳瑁。
(2)疼痛宜吃鱟、赤、龍蝦、淡菜、海參、虎魚、甜菜、綠豆、蘿蔔、雞血。
(3)瘙癢宜吃莧菜、白菜、芥菜、芋艿、海帶、紫菜、雞血、蛇肉、穿山甲。
(4)增強體質、預防轉移宜吃銀耳、黑木耳、香菇、猴頭菇、雞肫、海參、薏米、核桃、蟹、石龍子、針魚。
(5)外陰軟纖維瘤手術手術後,耗氣傷血,宜多食補氣養血之品,如大棗、龍眼、扁豆、粳米、荔枝、香菇、胡蘿蔔、鵪鶉蛋、藕粉、豆類等。
忌食
(1)忌煙、酒及辛辣刺激性食物。
(2)忌肥膩、油煎、霉變、醃製食物。
(3)忌公雞、鵝等發物。
(4)瘙癢嚴重時忌海鮮及刺激、致敏食物。
(5)潰瘍、出血忌溫熱性食物:羊肉、韭菜、姜、胡椒、桂皮等。
醫學疾病任務——婦科
| 婦科是醫療機構的一個診療科目,是婦產科的一個分支專業,是以診療女性婦科病為診療的專業科室。女性生殖系統所患的疾病才叫婦科疾病。婦科疾病的種類可分很多種,本任務包含大多數婦科疾病。 |
