簡介
硬纖維瘤硬纖維瘤是一種具有局部侵襲性軟組織腫瘤,可發生於全身各處,多見於腹壁,也可發生於腹內及骨骼肌內、腱膜和深筋膜等處,十分堅硬。
自19世紀30年代開始,因其顯示正常的有絲分裂和不轉移的臨床特點,一直被認為是良性病變;但從其局部侵襲性以及強烈的局部復發傾向,有的報告腫瘤可迅速生長,甚至有9%患者致死,確有別於良性腫瘤。
1832年,MeFarlane首先描述了硬纖維瘤病例,至1838年Muller才給予此命名。
1923年,Nicholas提出硬纖維瘤與家族性腺瘤性息肉病之間的關係。
1951年,Gardner根出本病與骨瘤、纖維疤痕和上皮囊腫等均可同時發生在腸息肉病中,Shiffman更提出在腸息肉病中腸系膜是硬纖維瘤的好發部位,一改過去認為硬纖維瘤僅是侵襲肌肉和腱膜組織的舊概念,其生長部位遠較原來認識的為廣泛。
流行病學
硬纖維瘤是一種少見的腫瘤,占軟組織腫瘤的0.03%。據估計每年在百萬人口中發生3.7例新病例。但在家族性腺瘤性息肉病中其發生率可高達8%~38%,較一般人群高出852倍。
發病年齡多在30~50歲,以女性多見,特別是育齡期婦女,有報告婦女占80%。也可見於青少年。
病因
硬纖維瘤的病理表現本病病因不明,可能與外傷、妊娠、手術及全身結締組織異常有關。
外傷
硬纖維瘤往往與先前的創傷或手術切口,這可能是一個重要的致病因素。
妊娠與內分泌因素
妊娠過程中,血中雌激素升高,加之生產過程中可能造成腹壁損傷,這可能是硬纖維瘤好發於成年女性的原因。
遺傳因素
硬纖維瘤也可作為直腸多發息肉、骨瘤、皮膚囊腫及硬纖維瘤組成的Gardner綜合徵的一部分,後者多有遺傳家族史。
病理
肉眼觀
腫物形態不規則,切面灰白,成交錯編織狀。質硬如橡皮。
顯微鏡下
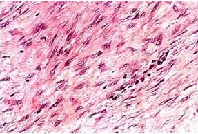
腫瘤有豐富的膠原纖維和極少的纖維腫瘤細胞構成,平行排列;腫瘤細胞無異型性和核分裂相,腫瘤邊緣常可見到被研究腫瘤組織包繞的橫紋肌小島。
臨床表現
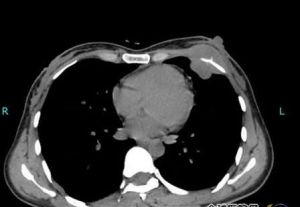
硬纖維瘤CT片硬纖維瘤表現為一生長緩慢的腫瘤,其症狀與腫瘤所在的部位有關。在家族性腺瘤性息肉病中,患者的性別、年齡以及腫瘤的部位與其他硬纖維瘤患者不同,其男女發病率幾乎相等,約80%~90%的腫瘤位於小腸系膜和腹壁,年齡多數為25-30歲。
1、多見於妊娠期或經產婦的腹壁肌肉內,也可發生在其他部位的橫紋肌內,如胸廓、上肢、頸部等。
2、發生於腹壁者,表現為無痛性腹壁腫塊,質硬,無壓痛,生長緩慢。
3、發生於盆腔的通常生長緩慢,並且腫物通常都是可以觸及的,患者一般也不會表現出明顯症狀,因此經常也很容易被誤診為卵巢腫物。
4、大多數避孕病人研究腫瘤直徑達數厘米時即可被發現;少數延誤治療者,腫瘤向四周呈片狀浸潤生長,造成大片腹壁僵硬。
5、發生於其它部位者,可造成相應的壓迫肌肉症狀和功能障礙。
6、纖維瘤有時可伴疼痛,尤當侵及鄰近神經血管束或關節酎,偶因壞死表現為腹腔膿腫。
檢查
常規檢查
1、首選的診斷檢查是腫瘤活檢。細針穿刺標本活檢可以考慮,但由於缺乏細胞學全貌,對診斷的幫助不大。
2、可進行電子顯微鏡檢查,硬纖維瘤的梭形細胞似乎是肌纖維母細胞。這一發現被認為代表了肌纖維母細胞(通常在傷口癒合的後期階段逐漸消失)異常增生。
3、結腸鏡檢查和眼底檢查適用於加德納綜合徵研究。
組織學檢查
表現為成纖維細朐和成肌纖維細胞成束交織一起,成纖維細胞常侵犯鄰近TF常結構,周圍有大量膠原基質,其中細胞數量較中央還更多。肉膜巨細胞也是常見的組織學表現。有時不易與低度惡性纖維肉瘤相區別,但缺乏惡性腫瘤的核和細胞漿表現,尤其是不存在分裂相。無轉移傾向,但局部侵襲性很強。
影像學檢查
硬纖維瘤超聲影像藉助MRI可區分硬纖維瘤和神經纖維瘤。通常在T1加權和T2加權掃描顯示低強度信號。
2、CT影像學表現缺乏特異性。儘管硬纖維瘤具有局部侵襲性,但大部分在CT上表現為邊界清楚的軟組織腫塊,不見鈣化和囊變,與典型的呈浸潤生長的惡性腫瘤不同,結合臨床表現可加以區分。但有少部分邊界不清,呈浸潤狀。增強掃描時,與正常肌肉相比較大多為等密度或為高密度,少數為低密度。大部分為均勻強化,約1/3患者為中央低、邊緣高的環狀或條紋狀增強。
B超
聲像表現為形態相對規則、邊界清晰、內部呈低回聲或等回聲的腫塊,有變性壞死時回聲增強。瘤體一般無血流。此檢查能確定腫瘤在組織內的位置和浸潤範圍,有助於排除其他腫塊。
診斷
腹壁巨大硬纖維瘤根據臨床發病部位與肌腱的關係以及病理變化等特點,診斷不難確定。
1、既往有妊娠、生育史、手術史或外傷史。
2、有多發性結腸息肉病家族史或有Gardner綜合徵。
3、無轉移徵象,但有局部切除後多次復發史。
4、有緩慢生長的無痛性或輕微疼痛腫塊,呈橢圓形或長條形,質硬,固定,邊界不清楚,多數無壓痛。
5、浸潤性生長侵及相鄰臟器可出現相應的壓迫症狀和功能障礙。
6、B超、CT或MRI顯示肌肉、肌腱、筋膜內有占位病變和浸潤周圍組織的圖像。
7、病理檢查顯示腫瘤中成纖維細胞增生,成纖維細胞周圍有大量膠原基質,其中細胞數量較多,成纖維細胞常侵犯鄰近正常結構。成纖維細胞無異型性,無病理性核分裂象。
鑑別診斷
由於硬纖維瘤臨床及影像表現不典型,因此需要與以下病症鑑別:
1、臨床上需要與瘢痕疙瘩鑑別。
2、因本病有浸潤性生長的特性,應與分化良好的纖維肉瘤鑑別,後者生長一般較快,常有假包膜,質軟,並大多有壞死灶,瘤細胞更為豐富,異型更明顯,核有絲分裂象多見。
治療
硬纖維瘤切除本病的治療方法有手術、放療和藥物保守治療。
手術切除
由於硬纖維瘤術前診斷困難,且可能惡變為纖維肉瘤,故多數作者認為應及早手術切除。切除範圍包括腫瘤及附近正常肌肉、筋膜和腱膜,以降低術後復發率。
放療
腫瘤範圍廣不能切除時可試用放療。
藥物治療
為降低復發率,術後輔以非類固醇抗炎藥和抗雌性激素藥,有否實際療效,有待進一步研究。
預後
本病呈侵襲性生長,臨床表現易復發,復發率高達25%~40%。故一般認為本病是一種低度惡性腫瘤,有惡變為纖維肉瘤的可能,但很少發生淋巴或血行轉移。切除不徹底者極易復發,少數甚至致死。復發率高的可達57%,其中75%在首次手術後2年內復發,個別病例在多次復發後最終惡變為纖維肉瘤,復發時間中位值為21個月(2-55個月)。在家族性腺瘤性息肉病患者的復發率更高。
預防
為了減少手術後復發,輔助放療可獲得77%局部控制率,但缺乏對照數據,有關這方面問題也存在著爭論。

