臨床表現
骨瘤多發生在顱骨,顏面骨及下頜骨偶有發生,分緻密骨瘤及松質骨瘤兩類。
緻密骨瘤發生在顱面骨表面者,局部隆起,發生在顱內板者,腫瘤如突入,可引起顱內壓近,引起暈眩、頭痛、甚至癲癇。
骨松質瘤則常發生於長骨端骨幹與骨骺交界處的軟骨部,隨管狀骨長度的增長,骨瘤亦有變化,呈不同形狀。
一般全身骨骼發育成熟後,即停止生長。但在發育過程中,如骨瘤引起骨骼受壓迫,仍可引致畸形生長。
骨瘤偶可發生在軟組織中,但多認為這是一種錯構瘤,而非真性骨瘤。
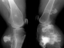
二、影像學診斷
緻密骨瘤顯示隆起,外比光滑,顱骨骨瘤基底寬廣,呈波狀。位內板者則內板增厚。骨密度均勻增加,骨質破壞與骨化程度常不一致。
骨疣常帶蒂,軟骨部可鈣化,呈菜花狀。
病理改變
骨瘤根據骨密度不同,分為象牙骨型(即緻密骨型)及海綿骨型(即松質骨型),前者多見。鏡下顯示結構間單,可含有骨板和少許哈氏管,松質骨型者可有骨髓組織。
鑑別診斷
(一)發生於鼻副竇的骨瘤多見於額及篩竇,常呈分葉狀,可有蒂,邊緣整齊,密度均勻一致,長大可占滿鼻竇腔,甚至頂起竇壁,引起額面畸形。一般診斷不困難。
(二)發生於顱骨者應與腦膜瘤、額骨內板增生症和纖維異樣增殖症鑑別。
1.腦膜瘤生長快,呈不整形新骨增生,可出現骨樣改變。瘤基底寬,並可有顱板溶骨改變。腫瘤血供增多,致附近血管溝影增寬增多。眼眶篩部骨瘤有時與嗅溝的腦膜瘤不易區分。
2.額骨內板增生症呈波浪性骨增生,患者常有頭痛、肥胖、性慾減退。多見於停經後的女性,有時伴發糖尿病或尿崩。
3.顱骨纖維異樣增殖症病變廣泛,基底寬,多處發病,累及板障和顱板,全身其它骨骼亦可發病,且有單側趨向。
(三)發生於肢體者應與骨軟骨瘤、骨肉瘤區分。
1.外生骨疣如全身骨質則為骨瘤,有謂實為骨軟骨瘤,內含軟骨成份鈣化。二者不易區分,有賴於病檢。
2.內生肌疣(Enoslosis)亦稱骨斑(Bone Spot)或骨島(BoneIslaand),為松質骨內骨發育異常,骨內呈巢狀,可有骨小梁。不屬腫瘤。
3.骨肉瘤生長迅速,具惡性骨腫瘤特點,有無好發年齡與部位,易區分。
治療方法
骨瘤的發展緩慢,無症狀者可大不被發現,一般無需治療。但如生長快,已引起發良畸形或壓迫症狀,或成年後仍繼續生長者,均可手術切除。
手術治療
良性骨瘤或瘤樣病變以手術刮除或切除為主。手術力求徹底,以免復發或引起惡變,但應儘量保留肢體功能。對於惡性腫瘤劓應以搶救生命為主,只有在不降低生存率的前提下,才可考慮保留肢體的問題。目前常用的手術方法有刮除術、切除術、截除術、骨瘤段肢體切除和遠端再植術、截肢術、和關節離斷術。
1、刮除術是將包含腫瘤的骨壁切開,將其中的腫瘤組織刮除乾淨。本手術適用於掌指骨的內生軟骨瘤、骨囊腫、骨嗜伊紅肉芽腫和範圍較小的骨巨細胞瘤。腫瘤刮除後所遺留的空腔可用植骨塊充填。
2、切除術是將向骨外突出生長的腫瘤自其基底部切除的手術,主要適用於骨軟骨瘤。切除應包括該腫瘤的軟骨帽蓋、包圍帽蓋的纖維組織和全部基底。
3、截除術是將腫瘤所在的一段骨幹整段切除。適用於破壞範圍較大的巨細胞瘤和一些低度惡性的腫瘤如纖維肉瘤、軟骨肉瘤等。骨幹截除後所遺留的缺損有的不需修補如腓骨近端和尺骨遠端,大多數則需要用人造關節、異體骨或自體骨進行修補。
4、腫瘤段肢體切除和遠端再植術是斷肢再植術的新發展。將腫瘤所在的一段肢體包括皮膚、肌肉、神經、血管和骨胳整段切除,再將遠端肢體移植到近端去。本於術適用於上肢低度惡性的腫瘤如纖維肉瘤,軟骨肉瘤等。
5、截肢術或關節寓斷術是殘廢性手術,必須經過周密研究,充分討論,確屬必要才能施行。手術目的在於搶救生命,因此,一經決定,不應拖延時間,應儘早施行。對於已有內臟轉移的晚期惡性腫瘤,局部瘤體巨大、疼痛嚴重的,為了減少痛苦,也可作姑息性截肢。
放射治療
根據對放射線的敏感度可將腫瘤分為高度敏感(2,000拉德即有顯效)、中度敏感(2,000—5,000拉德始有效),和不敏感(5,000拉德以上仍無顯效)三種。但敏感和不敏感是相對的,不是絕對的。為了便於選擇放射治療,可將骨腫瘤分為以下幾種情況:
1、手術後放射治療:椎體巨細胞瘤手術不徹底者可輔以放射治療,則效果較好。骶尾部的脊索瘤,或滑膜肉瘤手術切除後也可進行放射治療,以防復發。
2、適用放射治療者:惡性骨腫瘤中的未分化網狀細胞肉瘤、骨原發網狀細胞肉瘤、多發骨髓瘤的單發病灶、良性骨腫瘤或瘤樣病變中的血管瘤、動脈瘤性骨囊腫和嗜伊紅肉芽腫都適於放射治療。
3、姑息性放射治療:不能手術切除的軀幹骨生肉瘤可用放射治療,以控制其生長。骨轉移瘤經放射治療後也可減少疼痛,有時並能限制其生長。
4、禁用放射治療者:良性腫瘤中除上述幾種適於放射治療者外,都禁用放射治療。
放射治療除可套用深部x線機進行外,鈷60所產生的a射線具有穿透力強、皮膚損害輕的特點,套用較為廣泛。此外放射性同位素磷32可套用於多發骨髓瘤的治療,碘131可套用於甲狀腺癌骨轉移的治療,金198可套用於胸腔內轉移的治療。
預防措施
從醫學上骨腫瘤的預防與物理因素有關,即電離輻射、人工紫外線、室內玩意污染、電磁輻射、骨損傷,特別是化學工作者或者核企業,應當做好一定的防護措施,消除或降低致癌危險因素,促進健康,防患於未然,減少接觸環境中的有害因素,以利於減少骨腫瘤的發生率。
a、電離輻射(包括放療)可致骨腫瘤,主要是內照射,特別是親骨性放射性核素(如鐳)是誘發骨腫瘤的主要因素。與鐳接觸的工作人員有發光塗料工人、化學工作者和接受口服或靜脈注入鐳藥物治療的病人。電離輻射污染防止措施主要有核企業廠址應選擇在合適的地區並進行檢測,工廠工藝流程及設備應安全,廢水廢氣經淨化處理,對醫務和科研工作者及相關行業的工作人員應加強防範意識,採取防護措施。
b、天然和人工紫外線能導致皮膚癌,應減少過多地暴露於紫外線中或戶外活動時動時穿戴適當的衣帽、防護眼鏡,塗防曬霜等。
c、室內環境污染(建築裝潢材料等)中氡的核輻射也是重要的致癌因素。在選擇建築材料時應注意,儘量使房間空氣流通,有條件可裝抽風機。
d、手機、電腦、電視、微波用品的電磁輻射,儘量多使用有線電話,使用電腦時距螢屏應在一臂之遙,看電視的時間不要太久等。
e、損傷與骨腫瘤損傷(包括骨折、出血、疤痕、燒傷等)可能和骨腫瘤有關。如骨巨細胞瘤雖病因不明,但有部分病例發病前有外傷史。此外手足部軟組織腫瘤中的表皮樣囊腫、黃色素瘤、(又稱腱鞘巨細胞瘤或良性滑膜瘤)、血管球瘤、黏液囊腫、滑膜瘤、膿性肉芽腫、惡性黑色素瘤等都被懷疑與局部外傷有關。可見預防損傷也是預防骨腫瘤的一部分。
文獻摘要
《醫宗金鑒·外科心法要訣》云:“形色紫黑,堅硬如石,疙瘩疊起,推之不移,昂昂堅貼於骨者,名骨瘤。”

