病理病因
病因
骨纖維異樣增殖症發病機制
病因不明,有以下一些說法:①先天性骨發育異常:認為是發生在胚胎的組織錯構,骨小梁發育異常為纖維組織代替。②骨形成障礙:骨小梁停留在編織骨階段,而不能形成正常的骨小梁。③內分泌異常。
1.大體標本特點 纖維異樣增殖症大體標本骨膜沒有改變,皮質變薄,有時可用手術刀切開,剖面為蒼白緻密組織,有一定的彈性沙礫感,沙礫感主要由於纖維組織內有軟脆的骨樣組織骨小梁成分,並隨小梁數量及成熟程度而異。這種組織不富含血管,然而,特別在骨松質(髂骨翼、肋骨、骨盆、乾骺端),則可見許多血管截面。有時可見囊腔,水腫或出血性組織內有血性液體;有時,尤其單骨型,整個溶骨區含有液性成分,易與骨囊腫相混淆。有時,組織中有軟骨島結構,在兒童和乾骺端更常見。
2.組織病理特點 纖維異樣增殖症的組織病理在細小的骨小梁結構間有成束的組織即成纖維組織,而骨小梁周邊無骨母細胞排列。
一般情況下,在纖細的膠原纖維網中,富含組織纖維母細胞,分裂相對少見,有時,排列成輪輻狀,有時含多核巨細胞,主要在血管豐富或出血區域(尤其見於富含血管的骨松質,如肋骨)。一些區域組織細胞纖維瘤替代了骨小梁,有的是被黏液樣組織替代。
骨樣組織和骨小梁一般比較稀疏,很少粗大,周邊無骨母細胞排列,纖維異樣增殖症的骨小梁一般呈紡織結構,不能形成板層骨。
纖維異樣增殖症的組織中,血管少見。有的囊性區域,可見富含毛細血管和血性滲出。
有時,在結構不良的纖維骨組織之間的組織中可見軟骨組織區域,軟骨呈小的局限性結節。有正常的透明軟骨結構,這些軟骨區的組織特點與孤立的或多發軟骨瘤的不同,與生長的骺板或修復性骨痂的增生軟骨相似。在軟骨區和結構不良的纖維骨組織之間的組織學間斷,使得筆者否定了軟骨是組織化生結果的認識。大多數病例中,在兒童或青少年乾骺端發病,可見軟骨區域,這些病人既往未手術或骨折,軟骨似乎源於骺板。而另一些病例,在骨膜下軟骨可能是由於近期病理性骨折、輕微骨折、手術治療後,產生修復性骨軟骨骨痂的結果。
組織學表現同影像和大體表現,隨病人年齡而有所變化。
臨床表現
骨纖維異樣增殖症多在10歲左右發病,常在青年期就診,伴內分泌紊亂者可在3~4歲發病,甚至在出生後即有症狀。本病可發生在任何骨骼,四肢單發性病變常位於近側骨端,可局限或向骨幹擴散,多發於股骨、脛骨、腓骨和骨盆,常偏於一側肢體;雙側受累者,並不對稱。上肢病變者可同時見於顱骨。軀幹病變可波及數根肋骨和椎體及其附屬檔案,肋骨不限於一側肢體。本病以一側上、下肢體為主,對側僅有個別骨受累,也可同時波及顱骨、肋骨或骨盆。最常見的臨床表現是骨病變。症狀的輕重與年齡、病程及受損部分有關,年齡越輕症狀越重。病變早期可存在多年而無症狀,繼而出現疼痛,功能障礙,弓狀畸形或病理性骨折。有些患者以此為首發症狀而就醫,其特點是可由輕度外傷誘因引起,骨折部疼痛、腫脹、功能障礙,很少移位,在制動後大多數可癒合。
骨骼表淺部位的病變可出現畸形或腫塊,如顏面不對稱,上顎突起類似獅面,有時引起眼球突出。脊椎和肋骨受累時,胸部不對稱,局限性突起。四肢長骨受侵時,呈膨脹彎曲畸形,掌跖骨受侵者肢端隆起。深部病變早期很難發現。皮膚色素沉著也較多見,散在腰、臀、大腿等處,偏患側,且以中線為界,呈點狀或片狀深黃色或黃棕色皮斑,有時表淺,不隆起,邊緣呈齒狀,不規則,大小不等,組織結構與正常皮膚相似。性早熟僅發生在少數骨骼受損較嚴重者,絕大多數為女性,表現為陰道出血,但不是月經,嚴重者在3~4個月即出現,第二性徵出現早,外陰變大,乳房發育早,腋毛和陰毛出現過早,偶有智力減低和其他內分泌症狀。軀體半側多個骨骼廣泛病變,皮膚色素沉著伴性早熟者,稱為McCnne-Albright綜合徵。
並發病症
2/3病例可並發病理骨折。
檢查鑑別
一、檢查
無相關實驗室檢查。
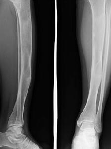
X線檢查,單髮型纖維異樣增殖症病變部位在髓腔內,長管狀骨的乾骺端或骨幹,中心位或偏心位,病變的X線表現為模糊的髓腔內放射透明(低密度)區,常被形容為“磨砂玻璃狀”,其中可見不規則的骨紋理,骨質有不同程度的擴張,骨皮質變薄,病變區與正常骨質間界線明顯,可看到反應性硬化緣帶,不產生骨膜反應。病變部位在股骨頸或股骨上端可發生鐮刀狀變形,形容為“牧羊杖”畸形。脊柱的病變界線亦清楚,膨脹,X線有低密度區,其內部呈分隔狀或條紋狀,可因病理性骨折而塌陷。局限性病變僅發生在乾骺端,如股骨近端乾骺端,廣泛性病變常侵犯長骨的一端與大部分骨幹,骨質向外明顯突出,骨皮質薄厚不均,或向一側彎曲變形,如發生在脛骨骨幹。發生病理性骨折後骨膜產生新生骨,使骨皮質增厚硬化。病變很少侵犯骨骺軟骨,僅在骺線閉合後,才侵入骨端。
多髮型纖維異樣增殖症病變常侵犯數骨,並有侵犯鄰近數骨的現象,如侵犯同側的髂骨、股骨、脛骨及腓骨,髂骨的病變系溶骨性,呈較大的多囊狀,其中可見骨紋理,有不同程度的骨質膨脹。四肢長骨的病變常累及骨的全部,髓腔寬窄不均,其增寬處骨皮質變薄並擴張,髓腔內紋理消失,呈磨砂玻璃狀,有的部位骨質高度膨脹,其中有囊狀表現,常發生病理性骨折。顱骨病變中,顱底骨質緻密,枕、顳骨變形,呈緻密與疏鬆相混的陰影。
手骨也很少單獨侵及,常在瀰漫整個上肢時,波及手骨。X線片可見掌骨和指骨瀰漫性膨脹(有時是長度增長),這種改變可以波及掌骨骨骺和腕骨。
纖維異樣增殖症的影像表現在青少年和成年的不同時期有變化,病變發展緩慢,停止膨脹,溶骨區的壁及皮質逐漸緩慢增厚,有時,還有毛玻璃樣區域密度增高,直到呈象牙密度。
纖維異樣增殖症惡變的X線表現在某種程度上取決於病變的組織學類型。在病變內溶骨範圍的界限不清,骨皮質缺損及鄰近的軟組織塊等都提示有惡性。
二、鑑別
單發性患者應注意與孤立性骨囊腫、孤立性內生軟骨瘤及巨細胞瘤鑑別。多發性者需與甲狀旁腺功能亢進相鑑別。
1、孤立性骨囊腫該病多發生在20歲以下者。病損開始於骨幹與骨骺相鄰近的部位,而後隨骨骼的成長漸移向骨幹,呈中心性對稱性膨脹改變;病損透明度較明顯;大體標本為單房骨殼,很薄,內有不完整骨嵴,骨壁上有一層灰白色或紅褐色纖維薄膜,內容物為透明液體;鏡下所見內膜為纖維結締組織,血管較豐富,陳舊性可有肉芽、血塊、鈣化點,有時可見骨樣組織或骨小梁。
2、孤立性內生軟骨瘤內生軟骨瘤常見於足、手小骨多發病變,X線片上常見弧形、環形及半環形的不規則鈣化。剖面為硬而有光澤的淺藍白色組織,間有骨化組織或黏液樣組織。鏡下為分葉的玻璃樣軟骨,內有鈣化或纖維骨化組織。
3、骨巨細胞瘤該瘤絕大多數為單發病變,位於骨端,呈明顯膨脹,單純溶骨性改變,周圍無明顯硬化環。截面見骨腔多屬偏心位,充滿暗紅色或黃色脆弱組織和散在陳舊積血。鏡下為豐富的血管網,充滿形狀一致的梭形細胞和散在的多核細胞。
4、甲狀旁腺功能亢進 此病可引起廣泛的骨質改變,畸形明顯。全身骨質脫鈣,無骨新生或硬化。主要病理改變是骨吸收和纖維瘢痕形成,其內有出血現象,亦有纖細的骨樣組織和骨小梁形成。血清鈣增高,血清磷降低,尿中鈣磷均增加。
診斷
骨纖維異樣增殖症的診斷要點如下:
1.本病病程經過緩慢,症狀出現晚,較輕,主要症狀為疼痛,少數無症狀者因拍X線片而偶然發現。
2.本病的X線表現為長骨骨幹或乾骺端的磨沙玻璃樣改變,皮質膨脹變薄,或有病理性骨折。
3.病理檢查病損內含有大量纖維組織和不等量的交織骨,纖維組織和骨小梁有移行。
鑑別診斷
本病應與孤立性骨囊腫、骨巨細胞瘤、軟骨母細胞瘤、內生軟骨瘤、甲狀旁腺功能亢進性棕色瘤等疾病鑑別。
疾病治療
1、治療
1.非手術治療 對於非手術治療國外研究較多的是雙磷酸鹽化合物,其主要作用是通過破骨細胞抑制骨吸收,具體作用機制不詳。帕米磷酸鹽是第二代雙磷酸鹽化合物,為羥乙磷酸鈉,臨床上用其治療骨纖維異樣增殖症,能顯著減輕疼痛,通過對血漿中的鹼性磷酸酶活性及尿中羥脯氨酸含量檢測表明溶骨性改變減慢,影像學上有骨密度增加,但原來骨灶並未治癒,並有少數小兒患者出現一過性加重。其療效尚需進一步觀察。
2.手術治療
(1)根據臨床、X線及病理表現不同,對好發的長管狀骨單發病損可採取以下手術方法:
①刮除,植骨:適用於病灶較局限,骨質破壞少,骨病灶清除後不影響堅固性者。要求開窗將病變組織刮除乾淨,所遺留空腔予以植骨。開窗大小以能在直視下刮除病灶為準。病灶清除後用生理鹽水沖洗,植入骨塊。
②截骨,刮除,矯形植骨:適用於範圍廣泛伴有髖內翻的股骨上端病變。患者平臥骨折手術台上,髖後置小枕,大粗隆外側直切口,顯露大小粗隆及粗隆下前外側骨幹,自大粗隆外側肌嵴或其上方向內向下至小粗隆下做截骨,將此區腫瘤分成兩半,然後將下斷端內收外鏇,顯出腫瘤內面,在直視下用大小不同的刮匙或彎鑿刮除腫瘤病灶,先刮除近端股骨頸及股骨頭內病灶,再刮除遠端股骨幹病灶,直到在直視下將病灶刮除乾淨。再將遠斷端大粗隆皮質加以修整,使其外展可插入近端大粗隆內,近斷端小粗隆下內側骨皮質亦稍修整,使其可插入遠斷端髓腔中。將遠斷端外展使與近端端互相嵌插,並使頸乾角等於或稍大於正常者。此時下斷端外側骨皮質與近斷端小粗隆骨皮質互相貼近。刮除病變後的空隙已縮小近半。觀察殘存空腔之部位,使嵌插分開。再取同側前髂骨塊,將其植入殘留之股骨頭、頸及股骨幹之空腔中,再使兩斷端嵌插復位,以螺絲釘固定。
術後單髖石膏褲固定,攝正位X線片觀察位置,固定3~4個月。
此方法的優點是:
A.截骨後顯露充分,刮除徹底,不易復發;
B.可同時矯正髖內翻畸形;
C.使骨腔縮小節省植骨。缺點是比開窗植骨癒合時間稍長。
③整段病骨切除:適用於骨幹大部受累,破壞嚴重者。術前攝清晰的包括病骨兩端的X線片,必要時攝斷層X線片及CT,以了解病變的範圍與周圍神經血管的解剖關係,再行周密的設計,包括切取自體骨大小、部位,病段切除後行帶血管蒂的游離骨移植,在與主骨對合處做堅固的內固定,吻合血管。
④半切除,刮除,植骨:適用於病變在骨幹及乾骺端,整段切除影響關節者,病灶清除後植骨充填空腔,重建功能。
對病損清除後,可用自體骨、同種異體骨或異種骨,填充空腔,但不論何種骨均可能發生移植骨再吸收現象,近來有的學者報導套用人工骨代用品,如碳酸化羥基磷灰石骨水泥修復包容性骨缺損,取得較滿意的效果。
⑤長骨幹全長或多發纖維異樣增殖症的手術切除和肋骨移植:骨纖維異樣增殖症可累及長骨幹全長,以股骨最多,脛骨次之,肱骨和尺橈骨較少,股骨和脛骨常發生向前外弧彎曲,尺橈骨者,由於骨增粗而妨礙前臂鏇轉。多發者累及同側股骨和脛骨或肱骨和尺橈骨。由於畸形、疼痛、功能障礙而要求治療。
A.治療方案:對多發病例,1次治療1根骨,大約1年之後,此骨癒合良好,再治療另1骨,如先治股骨,再治脛骨。
B.手術方法以股骨或脛骨並前弓為例:
a.股骨採用外側切口,自股外側肌後緣顯露,脛骨用前內側切口,均及全長,顯出骨幹後,沿長軸切開骨膜但不做外膜剝離,行長條截骨,將骨幹劈為兩半,上端斜至粗隆下,下端至股骨髁上,兩半骨幹皆有軟組織附著,顯露髓腔充分後,清除纖維結構病灶,只剩下兩片薄骨皮質及兩端骨,沖洗。
b.切取肋骨,病人側臥,取與長骨幹病變同側肋骨,經常取第6、8肋或7、9肋,在擬切取2肋之間皮切口,肋骨膜下剝離切取,自肋骨角至前腋線均12~16cm長,縫合骨膜外軟組織,切勿包括肋下血管神經在內,將肋骨沿長軸自上緣至下緣劈為兩半,再剪成長條狀骨條備用,一般先切取2肋骨,縫合切口再做病骨。
c.植骨固定,將兩片骨幹的骨幹前緣或後緣插入另一半的髓腔中,互相嵌入,中間空隙植入肋骨碎條,再以螺釘進行固定,由於骨皮質薄而軟,可矯正弓狀畸形。
d.縫合切口,石膏外固定約3個月,股骨者,單髖人字石膏,脛骨者長腿石膏。
採用此方法治療股骨幹9個,脛骨幹3個,肱骨2個,尺橈骨1個,取肋骨29條,所有病灶均癒合,隨診平均37個月,尚無復發,取肋骨處,於1年後長出1條細肋,胸廓外形無改變,此方法骨幹病灶顯露充分清除可達徹底,兩半骨質保留外面軟組織血供,免於壞死,互相嵌入後髓腔縮小一大半,取肋骨條適合髓腔長條植骨,取肋處生出小肋,保持胸廓外形,用於多發病變,使之達到治癒。
(2)多發病損一般不適於手術治療,僅有症狀的部位採用手術方法,以治療畸形和骨折為主。術後可復發,單發者少,多發性較多,如有復發,再次刮除植骨仍可治癒。
骨纖維異樣增殖症以往認為骨纖維異樣增殖症是一種腫瘤樣病損,近來研究認為病灶進行性增大的實質是基因突變的成纖維骨細胞異常增生和分化不良造成,建議應將此病分類為非囊性良性骨腫瘤。本病預後較好,但易導致畸形,少數病例可惡變,放射治療能顯著增加癌變率,對皮膚色素沉著和性早熟也無特殊治療。基於對本病的認識不斷深入,新的治療方案可能會建立,有的學者已倡導針對病因進行基因治療,這可能是突破傳統治療,開創一種新療法的好途徑。
2、預後
一般預後較好,惡變率約2%~3%。
飲食保健
骨纖維異樣增殖症患者吃什麼對身體好?
1、 日常飲食宜多補鈣,多食奶製品(如鮮奶,優酪乳,乳酪),豆製品(如豆漿,豆粉,豆腐,腐竹等),蔬菜(如金針菜,胡蘿蔔,小白菜,小油菜)及紫菜,海帶,魚,蝦等海鮮類。
2、 多補充維生素D,以促進鈣吸收。但應注意一定要在醫生指導下補鈣。
二、 多喝水。
骨纖維異樣增殖症患者吃什麼對身體不好?
1、 不可吃辛辣、油膩、熱氣的食物。
三、 戒菸戒酒。
四、 忌食過量的糖。

