單房性骨囊腫單房性骨囊腫(solitary bone cyst)並不少見。囊內為一單腔裡面襯以薄膜並含草黃色液體本病發生在小兒和少年生長期,男性較多。骨囊腫常位於肱骨和股骨上乾骺端,囊壁多因外傷甚至病理骨折後意外發現或股骨上端病變常因步態異常引起注意。最初病變源於鄰近骺板的乾骺端隨生長而遠離骺板肱骨上端占50%,其次為股骨上下端和脛腓骨近端偶見於跟骨、掌骨和髂骨最近也有發生在骨骺部的報告。本病預後較好。
病因
真正病因不詳,似與骨骼生長旺盛期乾骺端發生局限性骨化不良有關。有作者提出乾骺端松質骨內或髓腔內出血是產生單發囊腫的成因;另外還有一種理論是囊腫壁系多種原始中胚層成分,因而認為囊腫源於發育障礙的腫瘤組織;或謂生長迅速的松質骨就可產生骨囊腫。有的作者認為,骨囊腫是部分骺板遭機械外力損害發生細胞間液循環阻斷的結果。
發病機制
單房性骨囊腫症狀囊壁如蛋殼的厚度,因囊內的液體使囊的外觀呈藍色。切開囊壁,流出草黃色液體。若近期發生過病理骨折其中液體可為血性。除反覆發生骨折的病例囊腔內有纖維間隔外,一般均為單房。囊壁內有骨嵴。腔內襯托一層1mm左右的結締組織膜顏色呈紅棕色。
病理學上無特異性纖維膜為結締組織,含巨細胞、吞噬細胞、含鐵血黃素棕色顆粒和黃色瘤細胞還可見到囊壁骨折後形成的反應性新骨。
臨床表現
囊壁多因外傷甚至病理骨折後意外發現。除外傷外一般沒有疼痛股骨上端病變常因步態異常才引起注意。
骨囊腫常位於肱骨和股骨上乾骺端,年齡大的患者常位於髂骨、跟骨和掌跖骨。約2/3的病例無任何症狀,1/3的病例局部有隱痛、酸痛、輕壓痛,少數病人局部包塊和骨增粗,絕大多數患者在發生或反覆發生病理骨折而就診。
併發症:
可引起病理骨折,步態異常等。
診斷
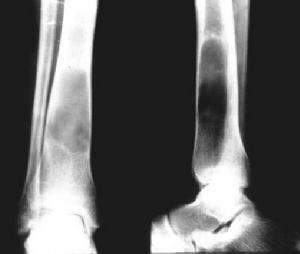
單房性骨囊腫診斷本症的診斷主要靠X線檢查和病理活檢。X線照片上顯示骨幹部中心性大透亮區有助於診斷。局部骨皮質變薄,體積略有膨脹。
鑑別診斷:
1.動脈瘤性骨囊腫 單發性骨囊腫是中心性膨脹瘤性骨囊腫系偏心性擴張。骨囊腫發生骨折後,囊內含血性液體或血凝塊,每使二者的肉眼病理混淆。甲狀旁腺功能亢進多在成年發病,血鈣增高可資鑑別。
2.單骨性纖維異樣增殖 單骨性纖維異樣增殖和單發骨囊腫的影像類似。纖維異樣增殖的纖維骨性病變所顯示的毛玻璃樣影像內有纖細的小梁放大後尤甚另外,纖維異樣增殖的病變多呈偏心性擴張。
3.巨細胞瘤 單發骨囊腫不應與巨細胞瘤混淆。巨細胞瘤多發生在成人,幾乎都是侵犯骺部,其腫瘤細胞系典型的梭形細胞和卵圓形的間質細胞並散有多核巨細胞。骨囊腫雖能看到巨細胞,但看不到間質細胞。
4.嗜伊紅肉芽腫 臨床表現有疼痛病變部位多近骨幹的中部,大小不如骨囊腫大,新生骨每超出病變區。組織學檢查可見嗜伊紅白細胞。
5.內生軟骨瘤 雖呈囊狀,但好發於短管狀骨的骨幹。軟骨瘤內常有點狀鈣化灶個別病例不能單靠X線照片而需組織學檢查鑑別。
檢查
實驗室檢查:
病理改變特點:
1.肉眼形態 房性囊腫,囊內充滿黏度低的澄清液,有時可為漿液血性液體囊壁厚薄不一。
2.組織形態 光滑為疏鬆結締組織富於血管,其間散布少量破骨細胞型巨細胞,新形成骨樣組織和編織骨,有時伴新舊出血灶或膽固醇裂隙以及成群泡沫狀組織細胞。囊壁組織中常存在帶狀或團塊狀纖維索樣物質,類似牙骨質或存在玻璃樣變和鈣化樣結締組織。
其它輔助檢查:
X線檢查:囊腫一般位於長管狀骨的一端,局部骨幹的骨皮質略向外膨脹囊與骺板之間尚間隔有一小段松質骨。囊腫距骺板的遠近依病變發生時間的久暫和範圍而定。偶見囊腫穿透骺板進入骨骺如發生骨折,囊腫與骺板之間的松質骨可發生變形,但骨折多無移位
治療
單房性骨囊腫——治療小的骨囊腫發生病理骨折後常可自愈。較大的囊腫可選用手術刮除囊壁以內的薄層纖維膜,並植骨填充囊腔。否則骨囊腫照常發展手術最好選本病的穩定期施行,即囊腫已遠離骺板生長活動近停止階段。不宜在活動期進行手術,否則容易復發。在活動期手術復發率高達50%。另外待囊腫遠離骺板,可防止手術損傷。有的作者報告刮除植骨法治療仍有30%復發。因此有作者採用骨鑽孔、骨開窗留置克針等方法,甚至有作者主張將骨膜下囊腫徹底切除骨膜管內植骨。這種手術往往需加髓內針支撐固定。近年來有報導用穿刺抽出內容物後注入腎上腺皮質酮(methyl corticosterone acetate)或自體骨髓的保守療法,同樣取得滿意療效。較大的骨囊腫和負重骨的病變應予制動預防病理性骨折。
預防
病因不明參照一般腫瘤的預防方法,了解腫瘤的危險因素,制定相應的防治策略可降低腫瘤的危險預防腫瘤的發生有2個基本線索,即使腫瘤在體內已經開始形成,它們也可幫助機體提高抵抗力這些策略如下所述:
1.避免有害物質侵襲(促癌因素) 就是能夠幫助我們避免或儘可能少接觸有害物質。
腫瘤發生的一些相關因素在發病前進行預防。很多癌症在它們形成以前是能夠預防的1988年美國的一份報告詳細比較了國際上惡性腫瘤相關情況,提出許多已知的惡性腫瘤其外部因素原則上是可以預防的,即大約80%的惡性腫瘤是可以通過簡單的生活方式改變而預防繼續追溯,1969年Higginson醫生所作的研究總結出90%的惡性腫瘤是由環境因素造成的。“環境因素”“生活方式”即是指我們呼吸的空氣喝的水選擇製作的食品、活動的習慣和社會關係等。
2.提高機體抵禦腫瘤的免疫力 能夠幫助提高和加強機體免疫系統與腫瘤鬥爭。
我們目前所面臨的腫瘤防治工作重點應首先關注和改善那些與我們生活密切相關的因素,例如戒菸、合理飲食有規律鍛鍊和減少體重。任何人只要遵守這些簡單、合理的生活方式常識就能減少患癌的機會。
提高免疫系統功能最重要的是:飲食、鍛鍊和控制煩惱,健康的生活方式選擇可幫助我們遠離癌症。保持良好的情緒狀態和適宜的體育鍛鍊可以使身體的免疫系統處於最佳狀態,對預防腫瘤和預防其他疾病的發生同樣有好處。另外有研究顯示適當活動不僅增強人體免疫系統而且通過增加人體腸道系統蠕動而降低結腸癌的發病率。在這裡我們主要認識飲食在預防腫瘤發生方面的一些問題。
人類流行病學和動物實驗研究顯示維生素A對降低患癌的危險性起著重要的作用,維生素A支持正常的黏膜和視覺,它直接或間接參與身體大多數組織功能。維生素A存在於動物組織中如肝臟、全蛋和全牛奶,植物中是以β-胡蘿蔔素和類胡蘿蔔素形式存在在人體內能轉化為維生素A維生素A的過度攝入可以造成機體的不良反應而β-胡蘿蔔素和類胡蘿蔔素則無此現象,血中低維生素A含量增加患惡性腫瘤的危險性研究表明那些血中低水平維生素A攝入的人增加患肺癌的可能,而對於吸菸者血中低水平的維生素A攝入者有加倍患肺癌的可能。維生素A及其混合物可以幫助清除體內的自由基(自由基可以引起遺傳物質的損害),其次能夠刺激免疫系統和幫助體內分化細胞,發展成有序的組織(而腫瘤的特徵是無序的)一些理論認為維生素A能夠幫助早期受到致癌物質侵襲發生變異的細胞逆轉過來而成為正常生長的細胞。
另外有一些研究建議單純補充β-胡蘿蔔素藥物並不能降低患癌症的風險,相反使肺癌的發病略有增加然而,當β-胡蘿蔔素結合維生素CE和其他抗毒素物質,它的保護作用就顯示出來了。其原因是當它自己消耗時也可增加體內的自由基,另外不同的維生素之間存在互動作用,人和鼠的研究均顯示套用β-胡蘿蔔素可以降低體內40%的維生素E水平,比較安全的策略是吃不同的食物保持維生素的平衡來抵禦癌症的侵襲,因為有些保護因素至今我們還未發現。
維生素C、E是另外一種抗腫瘤物質它們能夠預防食物中致癌物質如亞硝胺的危害,維生素C能保護精子不受基因學破壞而降低其後代患白血病、腎癌和腦瘤的危險。維生素E能降低皮膚癌的危險,維生素E與維生素C一樣具有抗腫瘤作用,它是抗毒素和清除自由基的清道夫維生素A、C、E的聯合套用產生的保護機體抵抗毒素的作用要比單獨套用為好。
有關植物化學的研究引起人們的普遍重視,植物化學就是在植物中發現的化學物質,包括在植物中發現的維生素和其他物質。已經發現幾千種植物中的化學成分,其中許多具有抗癌作用。這些化學物質的保護機制不但降低致癌物質的活性而且增強機體免疫力抵禦致癌物質的侵襲。大多數植物提供的抗氧化劑活性超過了單純維生素A、C、E的保護作用例如一杯甘藍只包含了50mg的維生素C和13U的維生素E,但它的抗氧化劑活性相當於800mg的維生素C和1100U的維生素E的抗氧化活性,可以推斷水果和蔬菜中的抗氧化劑效果遠比我們所知道的維生素的效果要強。無疑天然的植物產品將有助於今後的防癌工作。
