概述
軟骨瘤軟骨瘤在良性骨腫瘤中較為常見,內生(髓腔性)軟骨瘤是指發生在髓腔內的軟骨瘤,最為常見。骨膜下(皮質旁)軟骨瘤則較少見。軟骨瘤伴發多發性血管瘤者稱馬弗西(Maffuci)綜合症。軟骨瘤單發多見;多發較少見,並具有發生於一側上、下肢或兩側上、下肢對稱生長的特點,同時合併肢體發育畸形,又稱內生軟骨瘤病;其發生於一側肢體者又稱歐利(Ollier)病。
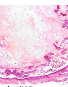
肉眼切面呈淡藍色或銀白色,半透明,可有鈣化或囊性變。鏡下見瘤組織由成熟透明軟骨組成,呈不規則分葉狀。位於盆骨、胸骨、肋骨、四肢長骨或椎骨的軟骨瘤易惡變;發生在指(趾)骨的軟骨瘤極少惡變。[1]
主要原因
1、遺傳因素
2、骨損傷
可能在以前受傷的骨頭部位,發生軟骨瘤。
3、骨發育過程方向轉位
與胚胎性組織殘留或異位有關腫瘤等因素有關。
4、慢性感染
5、放射性刺激
治療措施
軟骨瘤
短管狀骨的生內軟骨瘤的病理改變可能表現相當惡性,但實質屬於良性。軀幹或四肢長骨內生軟骨瘤病理檢查時,可能表現相當良性,但卻有10——15%的復發和惡性變率。
在選擇治療方法時,應該注意,位於手、足部的軟骨瘤,可行徹底刮除,50%氯化鋅燒灼骨壁,並用松質骨碎骨片填充植骨,位於軀幹和四肢長骨者,一般認為宜採用局部整塊切除和植骨術。
臨床表現
軟骨瘤多見於青少年,發病緩慢,早期一般無明顯症狀,待局部逐漸膨脹,特別是指(趾)部,可發生畸形及伴有酸脹感。
輔助檢查
X線徵象:發生於指(趾)骨時,一般呈中心位。可見邊緣清晰,整齊的囊狀透明陰影,受累骨皮質膨脹變薄,在透明陰影內,可見散在的砂粒樣緻密點,這是軟骨瘤主要的X線征。發生於掌(蹠)骨者,有時腫瘤陰影較大,常偏於骨端,骨皮質的膨脹亦較顯著,但均無骨膜反應。發生於四肢長骨的病例,腫瘤的陰影廣泛。當腫瘤惡變時,則可見骨皮質破壞及骨膜反應。
飲食預防
一、限制醃製、熏制、及含亞硝酸鹽類食品的攝入。
二、維持理想的體重;
三、攝入多種食物;
四、每天飲食中包括多種蔬菜和是水果;
五、攝取更多的高纖維食物(如全谷麥片、豆類、蔬菜、水果);
六、減少脂肪總攝入量;
七、限制酒精類飲料的攝取。
日常護理
1、生活護理:家屬應注意患者的洗淑和排便等生活護理;
2、保持引流管通暢:引流袋應低於創口,觀察並記錄引流液量及性質;
3、疼痛的護理:疼痛嚴重影響患者的身心,影響睡眠,不利於患者的恢復,積極止痛;
4、生命體徵:觀察生命體徵及創口滲血情況,尤其截肢者;
5、注意觀察:觀察手術肢體遠端血運,活動;
6、注意臥床休息:儘可能不過多過早活動;
7、飲食護理:手術後根據患者情況暫禁食或流食半流食,之後鼓勵患者進食高蛋白、高熱量、高維他命和易消化的飲食,多吃水果、蔬菜,多飲水;
8、功能鍛鍊:手術後3周,可做手術部位遠近關節活動,但不負重。手術後6周。進行渾身及重點關節的活動。漸漸加大力度。並可輔以理療、按摩等;
9、放化療護理:放化療患者應做好相應的護理,減少副反應.

