簡介
多發性骨軟骨瘤是一種遺傳疾病,多發性骨軟骨瘤或多發性外生骨疣的發病率比孤立性骨軟骨瘤為小。它是一種骨胳發育異常,在骨胳上可形成大小不等的骨隆起。為常染色體顯性遺傳性疾病,大多數病員有家族遺傳史。這病名稱很多,有時稱為遺傳性畸形性軟骨發育不良,或骨幹續連症。後者主要是指整個患骨的塑型有異常。病發原因
由於先天性胚漿缺陷;由於骨骺板的錯置移位;從骨膜內層的殘餘幼稚細胞或化生而成的軟骨細胞逐漸生長而形成骨贅;由於骨膜生長不完全,不能約束骺軟骨的增生,引起軟骨的畸形成骨贅;由於在骨骼在長過程中乾骺失去共塑形的能力,使乾骺增寬並連續增殖而形成骨贅。近年有人認為,本症與酸性粘多糖的代謝紊亂有關。多發性骨軟骨瘤病的患兒尿內排泄的酸性粘多糖量增多,但成年病員的排泄量卻正常。他認為兒童排泄量之所以增多是由於體內有大量軟骨所致。隨著年齡的增長,骨軟骨瘤成熟,軟骨成分減少,酸性粘多糖的排泄必然也隨之而減少。症狀
1、常見多發性骨軟骨瘤症狀
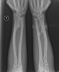
男性多見,有顯著的家族遺傳病史。所有的軟骨內化骨的骨骼均可發病,其中以四肢長管骨的乾骺端最多見。常對稱性發生,下肢發病多於上肢,下肢以膝關節周圍骨骼最多。早期腫瘤小常無症狀,一般在兒童和青春期由於骨贅增生成腫塊、發生畸形、壓迫附近軟組織而疼痛時方被注意而發現。腫瘤在關節附近可影響關節功能,壓迫神徑時(特別是腓總神經)可引起相應的症狀。多發性骨軟骨瘤病在兒童早期就可發現,到青少年時,前臂可發生弓形畸形,手向尺側偏斜,有時可有骨盆和胸廓變形。2、影像學多發性骨軟骨瘤的表現
X線表現與孤立性骨軟骨瘤相似,僅在許多骨上有不同大小的骨軟骨瘤。膝部附近的骨胳,如股骨下端、脛骨下端、腓骨上端有大小不等的骨軟骨瘤甚至膝關節上下可因骨軟骨瘤的生長而交鎖,甚至類似骨融合,除長管狀骨外,肩胛骨的脊椎緣也是常見的好發部位,然後依次為有掌骨、跖骨、指骨、趾骨、肋骨、脊椎和骨盆。髂骨嵴在與骺軟骨的連線處,可有無數的小骨軟骨瘤出現。顱骨從未發生過這種病損。發生惡性變後ECT表現惡變部位代謝明顯活躍。3、多發性骨軟骨瘤的病理表現
大體所見縱切患骨可見骨軟骨瘤並不是覆蓋於皮質上,而是一個不規則的袋狀骨皮質。這種袋狀骨皮質是純粹骨組織,在皮質下面是松質骨,在骨皮質外面有一層軟骨覆蓋。骨軟骨瘤一般無明顯症狀,只是局部腫塊形成。有時腫塊壓迫周圍組織,引起疼痛和不適。如果腫塊體積迅速增大,軟骨帽增厚至1cm以上,則須考慮惡變的可能,這在多發性者比單發性者多見。顯微鏡檢查可見軟骨屬透明軟骨,若軟骨生長活躍,可見軟骨細胞排列成柱狀。覆蓋骨軟骨瘤表面的骨膜與正常骨的骨膜相連線。在這些骨膜生長層,可看到局灶性軟骨化生。在骨軟骨瘤下面,偶而可見多少不等的砂粒狀鈣化物質。組織學檢查主要是鈣化或大部分壞死的軟骨,鈣化的軟骨基質和鈣化殘屑。這表明軟骨內化骨的正常過程發生局限性紊亂,以致原來應該破壞並被骨替代的鈣化軟骨基質堆積起來。這現象不能看作還有內生軟骨瘤存在。這些砂粒狀鈣化灶並非起源於骨內,而是起源於表面的增殖軟骨。
治療措施
多發性骨軟骨瘤病的存在並不一定需要作切除術。只有在局部發生疼痛,或產生壓迫症狀時,才可考慮切除有症狀或引起症狀的骨疣。手術方法同孤立性骨軟骨瘤。切除時必須將覆蓋其上的骨膜一併切除,否則容易復發。若惡變成成軟骨肉瘤,可用腫瘤原位分離插入式微波天線滅活術,骨缺損可用異體骨重建。對骨盆的惡性變,處理比較困難,由於不易徹底切除,復發率很高,可能的話,應早期作半骨盆切除術。放射療法對軟骨肉瘤無效。對於比較嚴重的骨畸形可待病人成年後,行截骨矯形術或骨端切除。合併肱橈關節或下尺橈關節脫位,而前臂鏇轉功能明顯受限的可行橈骨頭或尺骨頭切除術。對患手尺偏明顯的可行橈骨下端截骨術,脛骨明顯外翻的可行脛骨近端截骨術。
發生癌變的多發性骨軟骨瘤可選擇cls細胞免疫治療。cls細胞免疫治療,是國內第一家腫瘤免疫治療產業化高新技術企業CLS與美國科研機構合作開發的細胞免疫(T細胞、NK細胞)療法,又一提取患者自身的免疫細胞進行體外培養,是用自己的細胞治療自己的病,骨不會發生排異等副作用,已有千餘例腫瘤患者接受了CLS自體免疫細胞臨床治療,是目前最為成熟的,治療效果最好,套用最為廣泛的腫瘤生物治療技術!cls細胞免疫治療技術能有效治療惡性多發性骨軟骨瘤!

