病因
遺傳性多發性骨軟骨瘤的病因不明。
臨床表現
遺傳性多發性骨軟骨瘤多見於兒童至20歲左右青少年,男性多於女性,約為3:1,多數病人有陽性家族史。臨床表現為可觸及的骨性腫塊。因骨骼短縮及彎曲而造成骨骼畸形,關節附近的腫塊常可造成關節活動受限。遺傳性多發性骨軟骨瘤的病變常成對稱分布,病變的數量不一,多的有超過100個者。典型發病部位是股骨、脛骨、腓骨的遠近側端及肱骨近側端。位於橈、尺骨遠側部的發病稍少些。與單發性骨軟骨瘤相比,遺傳性多發性骨軟骨瘤更傾向於在肩胛骨、髂骨、肋骨處發病。
遺傳性多發性骨軟骨瘤的最大特點在於有骨形成的缺陷和骨骼畸形。特別是在髖部可呈雙側髖外翻及股骨近側端變寬。腕關節出現逐漸的尺骨偏斜、尺骨相對短縮等。
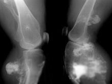
檢查
遺傳性多發性骨軟骨瘤的X線檢查示長骨幹上的骨軟骨瘤的特點是骨表面有骨性突起,與乾骺相連,由骨皮質及骨松質所組成,成對稱性、多發性。腫瘤基底部形狀各異,可分成有蒂(有一窄莖,頂部較寬)和無蒂(基底寬而扁)兩種。骨軟骨瘤常發生在乾骺端肌腱韌帶附著處,生長趨向與肌腱及韌帶所產生力的方向一致。若軟骨帽薄,邊界清楚,帶有規則點狀鈣化,這種表現為良性生長;若軟骨帽大且厚,邊界不清楚,帶有不規則的鈣化,應注意其惡性變的可能。骨軟骨瘤在手足短骨與長管狀的X線表現類似,在指、趾末節可有小的骨軟骨瘤存在,稱為甲下骨疣。
診斷
根據病史、臨床表現及X線檢查,診斷不難。經驗證明:如果在膝關節周圍骨上沒有外生骨疣,則遺傳性多發性骨軟骨瘤的診斷不能成立。
髂骨上骨軟骨瘤的基底較寬,體積較大,軟骨帽呈多樣性,且不規則,僅憑X線表現,有時難以判斷腫瘤的性質。惡變者腫瘤生長速度快,軟骨帽鈣化模糊,密度高,或見雪片狀或絨毛樣鈣化,並出現軟組織腫塊,還可見到骨質破壞及骨膜增生。
併發症
遺傳性多發性骨軟骨瘤的合併症包括骨骼畸形、骨折、血管及神經損傷、滑囊腫形成等。這些合併症與單發性骨軟骨瘤所述相近,惡變發生率高,約為5%。
治療
遺傳性多發性骨軟骨瘤無症狀者不需處理。如有疼痛、肢體功能障礙者、骨骼發育畸形或有合併症時,可做局部腫瘤切除,矯正骨骼畸形應待骨骼發育成熟之後進行,以免畸形復發。如發生惡變,可轉化為軟骨肉瘤、惡性纖維組織細胞瘤或骨肉瘤。一旦惡變應採取相應的治療措施。

