簡介
骨癌是指骨骼系統與其他器官一樣會罹患來自任何組織成份腫瘤或來自其他器官的轉移性病變。犯及骨骼的腫瘤,可發生於骨細胞、骨骼的造血成份,軟骨以及纖維性或滑膜成份。
病因
骨癌在大多數原發性骨癌的病例中,不能明確病因,但有些病例可能有遺傳性。某些染色體異常和少數少見的與遺傳相關的疾病與骨癌有關。過去癌多可能發生在骨折或感染的部位。暴露於特殊的致癌物下,如某種染料或塗料等化學物質,可能會增加患骨癌的危險性。高劑量的放射線和某些化學治療藥物,尤其是稱做烷基化物的製劑,可能與某些種類的骨癌發生有關。
引發骨癌疾病的發生的原因有:1、物理因素:骨癌疾病的這種物理病因是指一切的電離輻射,如:X線、鐳、氫、鍶、放射性同位素等,這些輻射都是有可能會通過人體內或人體外,如人多接觸到這些輻射,是會誘發骨癌疾病的發生。而在放療過量也是能夠促使骨肉瘤疾病的出現,這種疾病在臨床上是被稱為是放射後的骨肉瘤疾病。2、疾病的惡化:一旦患者有發生軟骨瘤、骨軟骨瘤、成骨細胞瘤等良性的骨腫瘤疾病,或者是腫瘤的病變,這時就應該及時到醫院去進行治療,以免會出現發生腫瘤的惡變,而形成肉瘤的可能,這也是導致骨癌疾病的發生的最常見的病因。而骨癌疾病的發生也有可能和它們生物學的特性、病期、手術、感染或者是病理件的骨折有關。3、化學物質的因素:在日常生活當中,我們要接觸的化學物質有很多,而這些又是會對我們的身體產有生慢性的刺激,從而導致骨癌疾病的發生,所以我們重視這個問題。在通過進行動物的試驗,我們有了解到,一些化學物質是有可能會誘發骨肉瘤的發生,就像:甲基膽蒽等這些化學物質。這也是可導致骨癌疾病的發生。
骨癌是惡性骨腫瘤的總稱,常見有骨肉瘤、軟骨肉瘤、纖維肉瘤等,指累及骨骼的腫瘤,可發生於骨細胞、骨骼的造血成份,軟骨以及纖維性或滑膜成份,是典型的全身性惡性疾病。主要表現為骨和關節疼痛或腫脹,患部肢體遠端會有麻木感,因壓迫神經血管,發熱、體重下降、疲勞和活動能力下降也是骨癌的常見症狀。。原發性骨癌通常侵犯年輕人,尤其是那些比他們的同年齡人長得更高的人。骨肉瘤大約占所有原發性骨癌的近60%;軟骨肉瘤起源於軟骨且易於侵犯中年人;其他的少見類型的骨癌發生於成年人,包括纖維肉瘤、惡性巨細胞瘤和有毒瘤。
分類及其特徵
骨癌骨瘤
為較常見的良性腫瘤。從組織學上表現為纖維化骨的產物,故主要成分為成骨性的結締組織內形成豐富的新骨組織。好發於顱骨與下頜骨,一般不引起任何症狀,僅有局部隆起。如發生在顱骨內板則腫瘤突入顱腔可產生顱內壓迫症狀。
骨樣骨瘤
骨癌骨母細胞瘤
已往曾被命名為“成骨性纖維瘤”、“巨型骨樣骨瘤”等,病理性骨折
目前均已被廢棄。本病很少見。腫瘤的主要組織成分為血管豐富的骨樣組織,新生骨質以及大量骨母細胞。隨著腫瘤發展上述組織可相繼引起各種變化,因此難與骨巨細胞瘤及骨肉瘤鑑別。過去本病一直被認為屬良性腫瘤,近年有肺部轉移病例的報導,但其組織學檢查在此時仍無明顯惡變,面其生物行為可能發生惡變故認為有潛在惡性變可能。發病年齡多數在10~25歲之間,女多於男,發生部位以脊柱最多見,手足部次之,其他部位偶爾發生。起病緩慢。大多數患者僅感輕度疼痛。發生在脊柱者可有不同程度的脊髓或神經根壓迫症狀。X線表現可因腫瘤的鈣化或骨化程度而呈各種透明陰影,甚至密度增深陰影。一般腫瘤與周圍骨組織分界清晰,兩者之間常有明顯骨質硬化。在骨皮質時皮質常變薄並有一層骨膜新生骨。治療以手術抓刮植骨為主,病變在脊柱手術不能徹底可在減壓後加用放射治療。骨肉瘤
是最常見的骨惡性腫瘤,為一結締組織性肉瘤,其發展過程中可形成大量腫瘤性骨樣組織及骨組織。根據其新生骨的存在與否或多少而有溶骨性和成骨性的區別。病變常見於四肢長骨(脛骨上端或股骨下端)。10~25歲占發病者的大多數。
皮質旁骨肉瘤
特徵是發生於骨的表面,與骨膜及皮質旁結締組織有密切關係。其惡性程度較骨肉瘤為低,預後亦佳。好發於股骨下端,脛骨及肱骨次之。發病年齡以30歲左右為多見,病程發展緩慢,症狀輕微。軟骨瘤
軟骨瘤 骨軟骨瘤(骨軟骨性外生疣)
最為常見,有單發性與多發性。多發性多為遺傳性多發性骨疣,如合併肢體發育障礙而產生畸形稱遺傳性畸形性軟骨異常增殖症。腫瘤項端有軟骨帽,其生長活躍故有可能轉變為軟骨肉瘤。在手術切除時必須將軟骨帽切除,以免復發或惡變。軟骨母細胞瘤
多見於青少年管狀骨,以肱骨上端為好發部位,手術刮除後可復發但惡變較少見。軟骨粘液纖維瘤
多發生於20~30歲,多見於股骨下端、脛骨上端,呈偏心性位於乾骺端或骨幹,皮質骨有擴張。其病理特徵為含有豐富的粘液樣或軟骨樣基質的梭形或星形細胞。手術切除植骨能治癒。(10)軟骨肉瘤,好發部位為軀幹骨,以骨盆為多見,亦可於四肢長管狀骨的近側。扁平骨的軟骨肉瘤多自中央開始後破壞皮質穿入軟組織。長管狀骨起自乾骺端,在髓腔內蔓延同時穿破鄰近皮質到軟組織,可出現Codman三角和不規則的放射狀骨針與骨肉瘤相似。軟骨肉瘤的組織學結構和生物行為是多變的,有生長緩慢分化好與生長迅速分化差兩種類型。分類
1、成骨性腫瘤
骨癌(2)皮質旁成骨肉瘤(Juxtacorticalosteosarcoma)
2、成軟骨性腫瘤
(1)軟骨肉瘤(Chondrosarcoma)
(2)近皮質軟骨肉瘤(JuxtacorticalChondrosarcoma)
(3)間葉性軟骨肉瘤(MesenchimalChondrosarcoma)
3、脈管腫瘤 血管肉瘤(Angiosarcoma)
4、其它結締組織腫瘤
(1)纖維肉瘤(Fibrosarcoma)
(2)脂肪肉瘤(Liposarcoma)
(3)惡性間葉瘤(Malignantmesenchymoma)
(4)未分化肉瘤(Undifferentiatedsarcoma)
確診骨癌的的方法
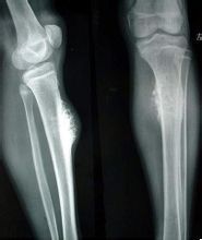
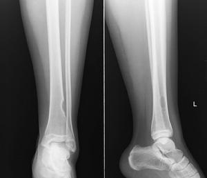
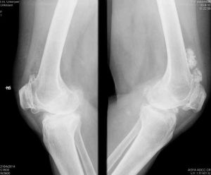
診斷骨癌x射線:根據x線片表現,骨肉瘤病變周圍梁膜或骨密度增加,並引起骨膜反應性成骨。
CT和MRI:由於判斷腫瘤有無遠處轉移、跳躍轉移,腫瘤對周圍侵犯及延髓腔蔓延範圍。
病理組織切片檢查,其方法可分三種:1、針刺取樣檢查,成功率在80~90%;2、患部切開取樣檢查;3、切除或刮除病理檢查。
組織病理檢查是由病理科醫師依切片組織之病理變化作最後正確診斷。
肋骨骨癌
骨癌轉移的檢查肋骨癌一般症狀與其他癌症患者一樣有:
1、食慾減低、體重減輕、發燒等症狀。
2、患部疼痛,關節與肢體有局部腫塊及腫脹。
3、患部之關節與肢體運動受限制。
4、患部皮膚潰爛。
5、患部肢體遠端會有麻木感,因壓迫神經血管。
6、發生病理性骨折或變形。
7、骨癌最典型的症狀就是骨痛,如果晚上比白天明顯的骨痛時,更需特別注意。
肋骨癌的直接反應就是疼痛,這是一種不同於一般的疼痛感覺,最顯著的特點就是安靜疼痛,越是安靜,疼痛更甚。骨癌又有原發性與繼發性之分。一般原發性骨腫瘤好發生在四肢的長骨;繼發性骨腫瘤多見於骨盆、脊柱和股骨等。
骨腫瘤良性的,早期往往無明顯症狀,若向骨外生長,由於壓迫周圍軟組織,可引起疼痛或功能方面的問題,良性腫瘤,亦可使骨的結構變化,承力作用變弱而發生病理性骨折(這最為常見),骨惡性腫瘤,由於它生長快,往往有肢體明顯腫脹、壓痛,甚至皮膚發熱,血管怒張。
骨癌中骼骨,肋骨是惡性腫瘤常見轉移部位,大約占1/3,骨轉移中脊柱最常累及,其次肋骨、骨盆和長骨近端、胸骨和鎖骨。臨床上骨轉移常引起病人劇痛,廣泛性骨轉移可導致貧血和血小板減少。晚期破壞骨質,以致引起病理性骨折。
臨床表現
1、一般症狀與其他癌症病者一樣有食慾減低、體重減輕、發燒等症狀。
骨癌3、患部之關節與肢體運動受限制。
4、患部皮膚潰爛。
5、患部肢體遠端會有麻木感因壓迫神經血管。
6、發生病理性骨折或變形。
7、骨癌最典型的症狀就是骨痛,如果晚上比白天明顯的骨痛時,更需特加注意。
兒童骨癌症狀
首先,家長應注意小孩不明原因的疼痛、腫脹,部分人會伴有肢體活動功能障礙。疼痛多在關節周圍,惡性腫瘤幾乎均有局部疼痛,由間歇性、輕度疼痛發展為持續性疼痛、夜間加重,並可有壓痛;部分人以腫脹腫塊為首發症狀,位置很固定,不遊走,邊界清,局部皮溫升高,可少發紅或皮色正常,此外,因疼痛或腫塊限制可使關節活動障礙,嚴重時可局部畸形或病理性(癌細胞破壞了正常骨骼結構)。
輔助檢查
骨癌2、、病理組織切片檢查,其方法可分三種:
(1)針刺取樣檢查,其成功率在80~90%;
(2)患部切開取樣檢查;
(3)切除或刮除病理檢查:組織病理檢查是由病理科醫師依切片組織之病理變化作最後正確診斷。
早期症狀
1、骨癌患者早期會在骨的表面出現一個硬的腫塊,有痛或不痛的症狀。
2、骨癌患者早期會出現骨和關節疼痛或腫脹,經常在夜間疼痛感加強且不一定與活動有關;疼痛可以是持續鈍痛或只在受壓時感到疼痛。
3、骨癌患者早期會發生病理性骨折或變形。
4、骨癌患者早期會出現發熱、體重下降、疲勞和活動能力下降,這種狀況有時發生於晚期骨癌。
5、骨癌患者早期有持續且難以解釋的背痛。可能只是患背部疾病或背痛。
6、骨癌患者早期有一處或多處骨折,無明顯原因。在骨折被治療後應檢查有無骨肉瘤或骨質疏鬆症。
7、骨癌患者早期的肢體遠端會有麻木感,因壓迫神經血管。
診斷
骨癌凡發生在骨骼系統各種組織如骨、軟骨、纖維組織、脂肪組織、造血系統、神經組織和未分化的網狀內皮結構等所引起的腫瘤均屬原發性骨腫瘤。通過直接浸潤、血運或淋巴系統轉移而在骨組織內形成的轉移腫瘤為繼發性骨腫瘤。骨腫瘤除有良、惡性之分外,尚有部分骨組織內的病變未能肯定其性質是否為真性骨腫瘤者,如骨纖維異常增殖症、孤立性骨囊腫、骨嗜酸性肉芽腫、骨類脂質代謝紊亂症等,稱瘤樣病損(骨腫瘤樣病損)。
詳細病史
體格檢查、實驗室檢查以及X線攝片可獲得有價值的診斷根據,如病史中的發病年齡對診斷有一定的參考價值。體檢及X線表現中的發病部位對診斷亦有參考意義。
骨癌表現變化較多,故不能偏面地以其為診斷依據。病理組織學檢查雖是具有決定意義的診斷方法,但也並非絕對可靠,因為有多種因素可造成誤診如腫瘤在發展階段中組織形態差別可能很大,採取的標本不能全面、代表性不夠以及製作標本技術中的缺點等均可造成病理診斷的困難。
因此多數學者認為Jaffe所提出的三結合觀點即臨床、放射、病理三結合是非常正確的。通過三方面醫師的共同慎重討論才能作出確切的診斷。
晚期症狀
1.伴有骨骼持續性疼痛,夜間更明顯,劇烈程度能影響正常生活。
2.疼痛部位關節與肢體有局部腫塊及腫脹,夜間尤甚且日益加重。
3.癌患部關節與肢體運動困難受限制,且肢體遠端有麻木感。
4.腫瘤處出現皮膚潰爛。
5.發生一處或多處病理性骨折、變形。
鑑別診斷
在鑑別診斷方面本病首先應與炎症鑑別。鑑別要點主要有以下四方面:
骨癌2、發展過程:炎症在發展到一定程度或經過抗炎治療後多逐漸消退,某些良性骨腫瘤在發展到一定程度後可停止發展,惡性骨腫瘤則繼續發展破壞,自行停止或消失者極為罕見。
3、局部觸診:炎症常產生膿腫,一般質軟,波動明顯。骨腫瘤一般多較堅硬或硬韌,觸之有實體感,邊境多清楚,其墓底多與骨粘連而不能移動。但某些血管豐富或有出血的惡性腫瘤也可有波動感。
4、穿刺;膿腫穿刺多可吸出膿液,膿液培養或塗片染色有時可查出化膿菌。腫瘤穿刺則僅能吸出血液,用粗針頭穿刺有時可吸出腫瘤組織碎片。
良性骨腫瘤也應與惡性骨腫瘤鑑別,因二者的預後和治療方法各不相同。鑑別要點主要有以下四方面:
1、全身反應:良性骨腫瘤和惡性骨腫瘤除在體溫、血象、血沉方面有區別外,前者病人一般情況好,疼痛較少,後者則病人消瘦、貧血、疼痛明顯,晚期多有明顯的惡病質。
良性骨腫瘤3、有無轉移:良性骨腫瘤一般均不發生轉移,原發惡性骨腫瘤則比較容易發生內臟和他骨轉移。
4、x線所見;良性骨腫瘤的界限多比較清楚,與正常骨質之間常有明確的分界線,一般無骨膜反應,如有反應,骨膜新骨也比較規則、整齊。惡性骨瘤則邊界不清楚,與正常骨質之間分界不清,骨膜反應紊亂,甚至形成日光放射狀。
治療
手術治療儘管有了化療,在骨肉瘤治療中,截肢手術還是一個緊急治療措施。有效的化學藥物進展,將導致長期沿用治療方法的改革,特別是截肢時間、水平和放射部位、劑量問題的改變。
生物療法治療骨癌
CLS生物免疫治療技術就是從患者的外周血中採集單個核細胞,然後送到GMP工作室內進行培養、擴增、誘導、行腫瘤抗原刺激,從而獲得能識別癌細胞的DC細胞和具有高殺瘤活性的CIK細胞,然後如同打點滴一樣分次回輸到患者體內,重新啟動人體免疫機制,在自己的體內建立“抗癌根據地”,通過抗腫瘤細胞的“星星之火”形成“燎原”之勢。有效抑制腫瘤細胞生長、消除轉移病灶,達到預防和控制腫瘤復發和轉移的目的,實現延長患者生存期、提高患者生活質量的多重目標。
治療過程CLS生物免疫治療突破了傳統治療腫瘤“不徹底”、“易復發”、“副作用大”的三大瓶頸,治療效果迅速,沒有任何毒副作用。並且CLS生物免疫治療和手術治療、化療和放療方法一起套用會有很強的互補作用。對病人受損的免疫系統能夠起到恢復與重建的獨特療效。
多發性骨髓瘤轉移化療後有哪些副作用
1、胃腸道反應是最常見的症狀, 大部分化療藥物使用後都會出現不同程度的噁心、嘔吐、納差,有部分會出現腹痛、腹瀉,甚至腸黏膜壞死、穿孔。因此給予高熱量、高蛋白、高維生素、清淡易消化飲食為原則。嘔吐劇烈者應囑咐增加口入液量,必要時可靜脈補液。2、觀察化療藥物補液:應注意保護血管,嚴禁藥物外滲,每次滴注前先用0.9%NS沖管,使用後也需NS沖管。
3、骨髓抑制是最嚴重的不良反應,應嚴密觀察患者皮膚、口腔、牙齦、等有無出血點,還要觀察大小二便顏色及量,是否有出血的情況,並且一周監測血常規2次(按病人情況而定)。
4、要注意藥物的副作用,部分化療藥物可致末梢神經炎、手足麻木感、甚至還會引起心肌及心臟的傳導損害,應定期監測心電圖。
美國現在用選擇性截肢方法。在英國的文獻中約1/3病員一開始作截肢,而大部分病員,採用Cade法,就是截肢用於有生存機會的人,即在使用放射治療後(放射劑量為80Gy)6個月內無肺部轉移者。在過去的統計中,原發性和繼發性截肢生存率是類似的,有些人認為早期截肢,切除腫瘤,有局部復發危險,使用Cade法,可避免在短期死亡前不必要的截肢,但要作出這種判斷,往往是有困難的。關於截肢與肢體保留手術的爭論越來越多,多數認為兩者之間的2年生存率相同,故認出保留肢體的手術病人願意接受,但費用昂貴。
免疫治療
通過以下幾個方面來發揮防癌抗癌作用
1、活化吞噬細胞、自然殺手細胞、傷害性T細胞等免疫細胞,誘導白細胞素,干擾素-γ,腫瘤壞死因子-α等細胞因子的分泌。2、誘導癌細胞凋亡。
3、與傳統的化學治療藥物(絲裂黴素、卡莫斯丁等)合用,既增加藥效,又減輕化療過程中的毒副作用。
4、與免疫治療藥物(干擾素-α2b)有協同作用。
5、減緩晚期癌症患者的疼痛,增加食慾,改善患者的生活質量。
飲食治療
藥膳舉例
1.生川烏頭5克、粳米100克、薑汁少許、蜂蜜適量。川烏頭搗碎碾為極細粉末,煮粳米為粥,煮沸後加入川烏頭粉末,文火慢煎,熟後與薑汁、蜂蜜一起攪拌均勻,稍煮1—2分鐘即可。適用於骨礙寒性疼痛者。(熱性疼痛和癌性發燒患者禁用)。
2.烏雞1隻、生地黃30克、飴糖50克。烏雞宰殺後去髒洗淨,細切地黃,將地黃與糖和勻置入雞腹,入銅器中,加適量水,復置鍋中清蒸1小時左右即可。不用調味,食肉喝湯。適用於骨癌熱毒津枯疼痛者。
3.高麗參10G,黃芪10G,黨參18G,山藥18G,枸杞子15G,當歸10G,陳皮5G,桂圓肉14G。豬排骨300G或整光雞1隻,清水適量。製法:高麗參、黃芪等中藥洗淨後放入布袋中扎口,和排骨或雞一起加水煮。先大火後小火,煮2-3小時。撈出布袋,加入鹽、胡椒等調味品即可。每次1小碗,每天1次。可以緩解腫瘤患者的許多症狀,如疼痛、厭食、咳喘、出血、腹瀉、便秘、麻木、失眠等等。
飲食宜忌
宜:
⑴宜多吃具有抗骨腫瘤作用的食物:山羊血、鱟、蟹、羊腦、海參、牡蠣、鱉、龜、沙蟲、鹿血、大葉菜、麥片、小莧菜、油菜籽、沙棗、香芋、栗、野葡萄
⑵宜吃具有止痛消腫作用的食物:蘆筍、藕、慈姑、山楂、獺肉、鷺肉、蟹、鱟、海龜、海蛇。
⑶宜吃預防放療、化療副作用的食物:蜂乳、核桃、獮猴桃、銀耳、香菇、大頭菜、花粉。
忌:
⑴忌吸菸、喝酒。
⑵忌辛辣刺激性食物,如蔥、蒜、姜、花椒、辣椒、桂皮等。
⑶忌發物,肥膩食品。
骨癌手術後吃什麼好
(1)宜多吃具有抗骨腫瘤作用的食物: 山羊血、鱟、蟹、羊腦、海參、牡蠣、鱉、龜、沙蟲、鹿血、大葉菜、麥片、小莧菜、油菜籽、沙棗、香芋、栗、野葡萄。(2)宜吃具有止痛消腫作用的食物:蘆筍、藕、慈姑、山楂、獺肉、鷺肉、蟹、鱟、海龜、海蛇。
(3)宜吃預防放療、化療副作用的食物:蜂乳、核桃、獼猴桃、銀耳、香姑、大頭菜、花粉。
預後
骨癌治療結果與細胞型態、分化與每一種腫瘤的宿主效應等因素有關。如果骨癌長在四肢骨,由於較易發現,轉移較慢及易於治療,治療效果應比長在軀幹骨者好。由於醫學的進步,病人、外科、放射科與病理科醫師等四方面之合作,已經使惡性骨癌經治療有五年上存活率由15-20%提高到60-70%。對於不可解釋之骨痛,應儘速查明可能原因,不要忽略骨癌的的可能性。如果能早期發現,早期治療。

