一、病理表現:
肉眼觀察:腫瘤呈橢圓形、梭形,全部病灶無包膜,呈實性,質韌,切面灰白色。鏡下觀察:由形態一致的梭形纖維母細胞和肌纖維母細胞組成,呈束狀、編織狀緊密排列,細胞外大量緻密條帶狀膠原纖維將其圍繞分隔,核分裂像少見,腫瘤邊緣可見瘤組織侵入周圍肌組織內,可累及腹膜。
二、鑑別診斷:
(一)纖維肉瘤:
生長速度較快,腫塊多呈分葉狀,病灶內常有壞死區,周圍浸潤明顯,而腹壁硬纖維瘤呈梭形或類圓形膨脹性生長,很少出血、壞死;
(二)腹壁血腫:
當患者為育齡期女性且有手術史、發現近切口腹壁下腫塊,需與腹壁血腫鑑別。CT亦可表現為腹壁下低於腹直肌密度梭形低密度灶,但腹直肌受壓推移改變,而非腹直肌本身呈膨脹性改變。血腫無強化是最重要的鑑別點,故增強掃描是必須的;
(三)腹壁切口子宮內膜異位症:
當患者為生育期女性,有剖腹產史,發現前腹壁下結節,需與子宮內膜異位結節鑑別。後者CT平掃為原切口腹壁下結節,形態類圓形或不規則,患者常有與月經周期有關的疼痛,經期後疼痛緩解;而腹壁硬纖維瘤常為無痛性包塊。
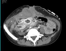
三、CT檢查:
腹壁硬纖維瘤CT表現具有以下特點:(1)腫塊起源於腹直肌和腹內斜肌,腫塊長軸與腹肌走形一致;(2)多為單發腫塊,腫瘤呈梭形或類圓形;(3)腫塊一般形態規則,但與肌肉分界欠清;(4)腫塊密度均勻,平掃時與肌肉密度相仿或稍低於肌肉,出血壞死鈣化少見。平掃腫塊密度與其內纖維母細胞、肌纖維母細胞與基質的比例有關。動態增強掃描動脈期病灶大部分呈不均勻輕度強化,門脈期持續強化,呈不均勻中重度強化,延遲掃描進一步強化。延遲強化趨於均勻,對診斷本病具有提示作用。
四、 治療:
1.手術治療:要廣泛切除,切除範圍要超過腫瘤邊界2~3cm。
2.放療:如腫瘤切除不完全或無法切除時,可行放療,部分有效。
3.內分泌治療:療效不肯定。
4.輔助性化療:最有效的治療方案是長春新鹼和甲氨蝶呤。

