概述

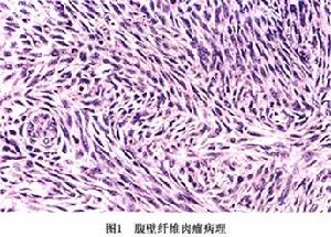
病理
某些因素與其發病有一定關係一.良性纖維瘤病惡變因素:一些良性纖維瘤病,特別是生長在手掌和足跖部位的纖維瘤病以及生長在腹壁和腹壁外的韌帶樣瘤,多向深層肌肉層浸潤生長,如處理不當,可因反覆復發而惡變。
二.先天性因素:纖維肉瘤的發病是否與遺傳有關,尚有爭論,但兒童的先天性纖維肉瘤卻很常見。此型通過局部切除就可治癒,屬低度惡性。
三.放射線因素:中國報導用放射線治療婦科腫瘤,間隔一定年限後,在腹壁放射野內可出現纖維組織增生,局部軟組織變厚並呈浸潤性生長,其中有部分病例繼續發展,最後演變為纖維肉瘤。Solway、DasGupta,及Hajdu等分別報導用放射線治療視網膜母細胞瘤、乳腺癌和甲狀腺癌等,經過4-5年或10餘年,甚至30餘年後,有些病例在放射野內出現纖維肉瘤病變。
體徵
一.轉移灶可見於肺,偶見於肝,局部淋巴結轉移則很少見。二.病變起源於真皮者和侵犯到真皮時,表麵皮膚可發生萎縮、色素沉著及破潰,偶表現為蕈樣腫塊。
三.腫瘤表現為深層單發局限性硬固結節,通常表麵皮膚正常,可以移動,如侵犯鄰近組織時則固定不能移動。
症狀
早期一般無任何特殊症狀,主要表現為無痛性逐漸長大的腫塊。多數病人在腫瘤長大到一定程度時,才來就醫。多為單發性,外觀呈球形或梭形,也可為分葉狀,較一般惡性腫瘤軟,較脂肪瘤硬,呈中等硬度;與周圍組織分界較清晰,小的淺在性腫瘤具有一定活動度。晚期形成紅色突出的大腫物,瘤體可發生破潰及出血,甚至引起繼發性貧血和感染,此時多有局部疼痛,全身發燒以及體重減輕等症狀。治療
依據患者具體情況,採取綜合療法。一。手術切除 早中期腫瘤限於原發位置、尚無轉移時,以手術治療為主,行局部廣泛徹底的切除術,有轉移徵象時,應將腫瘤區域淋巴結一併切除術後套用放射治療和化學藥物治療。
二。對症治療 並套用中、西藥物提高機體免疫力改善營養狀況及對症治療。
三。放療或化學 腫瘤晚期酌情予以放射治療或化學藥物治療,但纖維肉瘤敏感的化學藥物較少,且放射治療亦不敏感,療效不佳。

