概念
一般為無痛瘤腫塊,發展不快,有些病例鮮有患肢的疼痛,而後出現腫物及受累神經源功能障礙。局部壓痛,40%病例伴有神經纖維瘤病。因症狀較輕,來診時腫瘤多較大多數長徑在10cm以上。
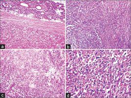
病理改變
1.肉眼所見 典型者腫瘤上附有一較大的神經乾,但所屬神經纖維肉瘤來源於無名神經,故無神經可尋,病變較深在,同其他肉瘤一樣,切面灰白色,可伴有出血、壞死。
2.鏡下所見 可見到惡性雪旺氏細胞,瘤細胞呈梭形,核大深染,大小不均,可見核分裂像,還可見到上皮樣雪旺氏細胞,瘤細胞圓形和多變形,胞漿多少不等,粉染顆粒狀,排列成實體巢灶,也有為腺泡狀或條索狀結構。
臨床表現
發病年齡以青年和中年多見。好發部位多在頭頸部、臀部、四肢及腹膜後等,亦可發生在背部、腹壁及縱隔。一般為無痛瘤腫塊,發展不快,有些病例先有患肢的疼痛,而後出現腫物及受累神經源功能障礙。局部壓痛,40%病例伴有神經纖維瘤病。因症狀較輕,來診時腫瘤多較大,多數長徑在10cm以上。
鑑別診斷
主要與纖維肉瘤相鑑別,纖維肉瘤細胞為梭形,交織排列,有明顯異型性,但無核柵狀排列,腫瘤與神經乾無聯繫。
治療措施
以廣泛切除為主要治療,對復發難行廣泛切除者可行截肢術,對發生在骨盆內和椎旁不能廣泛切除或切除不徹底者可輔以放療,但效果不佳。有文獻報告,化療對發生轉移的腫瘤有效,常用藥物有阿黴素、長春新鹼、環磷醯胺等。可發生血性及淋巴轉移,5年生存率約30%。

