病因
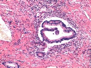
直腸絨毛狀腺瘤癌變 乳頭狀腺瘤絕大多數呈廣基型生長,無長蒂型息肉,瘤體稍高出於正常黏膜面,向周邊蔓延面積較大,典型病例可累及腸管周徑的大部分。瘤表面呈絲絨或粗顆粒或粗毛形狀,顏色較一般息肉狀腺瘤略淡,常復蓋一層粘液。瘤體結構質地較軟,用鉗子輕觸似海棉狀。呈塊狀並有蒂的乳頭狀腺瘤發生極少。病理觀察其瘤的特點是多數纖細的乳頭狀分支,中心為血管結締組織,表面呈單層柱狀或復層上皮及杯狀細胞,腺體成分的結構較少,可有散在分化較差區,病變主要限於黏膜層。很少多發,可並存息肉狀腺瘤。
臨床表現
乳頭狀腺瘤主要的臨床表現為排出粘液,及解大便未盡的感覺,常易誤診為粘液性結腸炎及菌痢。較大的乳頭狀瘤可排出多量粘液,可與糞便一起排出或單獨排出大量粘液的腹瀉物,每天排出量高達3000mL以上,常導致嚴重脫水,電解質紊亂、循環衰竭、酸中毒等症狀而危及生命。由於腫瘤細胞的異常功能而致大量液體及粘液排出。
診斷
腸巨大絨毛狀腺瘤 臨床診斷中大多數乳頭狀腺瘤經直腸指檢、直腸鏡或結腸鏡檢發現。由於腺瘤很軟,而直腸指診時腺瘤很軟,需仔細檢查,否則容易被忽略。發現乳頭狀腺瘤要進行仔細捫診全腺瘤,質地均勻而很軟的,屬良性結構的可能性較大。捫及乳頭狀腺瘤有小結節及質硬者須高度警惕癌變的可能。捫診檢查乳頭狀腺瘤有否癌變的早期診斷有一定的可行性。捫診不十分清楚的乳頭狀腺瘤可經直腸鏡、乙狀結腸鏡及結腸纖維內鏡檢診。為確定腫瘤有無癌變可能,須在腺瘤表面及基底不同部位採取組織做活檢。
治療
(1)治療原則:
胸腺瘤一經診斷即應外科手術切除。理由是腫瘤繼續生長增大,壓迫鄰近組織器官產生明顯臨床症狀;單純從臨床和X線表現難以判斷腫瘤的良惡性;而且良性腫瘤也可惡性變。因此無論良性或惡性胸腺瘤都應儘早切除。有能切除的惡性胸腺瘤可取病理活檢指導術後治療,部分切除者術後放射治療可緩解症狀延長病人存活。
(2)切口選擇:
突向一側較小的胸腺瘤多採用前外肋間部胸切口,突向雙側瘤體較大者,可採用前胸正中切口。近年來前胸正中切口套用增多,除摘除胸腺瘤外同時摘除對側胸腺,以防日後出現重症肌無力的可能。亦有春採用橫斷胸骨雙側胸部橫切口切除腫瘤。前胸正中切口不進入胸腔,減少了術後對病人呼吸功能的干擾,避免術後呼吸系統合併症。有人經頸部切口摘除胸腺瘤,其指征為年老患者,有開胸禁忌,腫瘤體積小且靠近頸部。
(3)手術時應注意的問題:
孤立無粘連的良性胸腺瘤,完整摘除無困難,手術可順利完成,但某些複雜病例手術時要充分估計困難。惡性胸腺瘤須先探查,搞清腫瘤與周圍鄰近器官的關係再行解剖。胸腺瘤位於膠上縱隔心底部,心臟與大血管交界處;惡性胸腺瘤可向周圍粘連浸潤;腫瘤增長時鄰近組織器官被推移,正常解剖關係改變;纖維結締組織粘連增厚,使之與血管不易辨別。這些均可造成術中誤傷血管而引起大出血。術者對於這引起應有警惕性。
腫瘤可切除性的判斷是手術時必須要考慮的問題。當腫瘤已經侵犯無名靜脈或上腔靜脈,或血管被包繞在在腫瘤之中,或腫瘤與周圍組織呈凍結狀態,此時應採取謹慎態度,中止手術,僅採取病理活檢,術後予放射治療。若腫瘤雖與大血管有粘連浸潤,但尚可分離,可逐步解剖,由淺入深,由易到難,先使其鬆動,再游離瘤體,最後在其蒂部鉗夾後摘除。
腫瘤從一側胸腔突向對側,或瘤體向頸部突出延伸,應在直視下解剖分離,有時一些血管穿越其間,或有血管供應瘤體,盲目鈍性分離可造成出血,腫瘤侵犯心包時,可在正常部分剪開心包,伸入手指於心包腔內幫助剔除腫瘤或將心包與腫瘤一併切除。
飲食保健
1)苦參雞蛋:雞蛋2枚,紅糖60克,苦參60克。苦參濃煎取汁,放入打散的雞蛋和紅糖,煮熟即可,食蛋飲湯。每日1次,6日為1 療程。具有清熱解毒,燥濕斂瘡之功效,可用於外陰潰瘍的預防和治療。
2)龍膽草蛋:龍膽草I0克,雞蛋3枚,蜂蜜30毫升。龍膽草煎水去渣,打入雞蛋成荷包蛋,放入蜂蜜,空腹服食,每日1次,5日為1個療程。具有清熱祛濕斂瘡之效。

