簡介
乳腺X線攝影(Mammography)是最為傳統的乳腺影像學檢查方法,最早於1913年由德國醫生Salomon開始研究,於1960年首先由美國Egan開始套用於臨床,經過一個世紀的發展,已經成為早期發現、早期診斷乳腺癌的有效可行的影像學檢查方法,廣泛套用於乳腺癌的篩查及診斷。在過去的幾十年里,乳腺X線攝影技術經歷了從乳腺乾板X線攝影、專用屏-片攝影(film-screen mammography)到現在全視野數字乳腺X線攝影(full-field digital mammography,FFDM)的巨大變化,圖像質量不斷提高的同時輻射劑量顯著減低。
全視野數字乳腺X線攝影又稱乳腺DR(digital radiography),具有較大的曝光寬容度,攝影動態範圍寬、對比解析度高,圖像對比度及鈣化顯示優於傳統的屏片系統,而放射劑量也低於傳統屏片系統。其主要優勢在於:1、可進行圖像後處理,根據情況調節亮度,對興趣區進行放大觀察等,提高了照片的對比度和清晰度;並有助於減少因技術不當、圖像不滿意或需局部放大而導致的重複X線攝片。2、可傳輸數據,有助於遠程會診。3、數據可儲存,減少存放膠片的空間。FFDM圖像清晰,對緻密型乳腺、50歲以下以及絕經前的女性診斷準確性更優於傳統屏片系統。
與普通X線攝影相同,乳腺X線攝影的成像基礎是構成乳腺諸組織存在密度差異,其實質是各組織對X線的吸收值不同。乳腺本身是軟組織成分,主要由纖維腺體組織、脂肪組織和皮膚構成,其組織密度、線吸收係數都很接近,為此乳腺攝影所產生的X線具有獨特性,即它是低能量軟X線,以此來擴大乳腺組織之間的X線吸收差異,增強圖像的對比。
乳腺攝影機X線球管的陽極最早採用的是鉬靶,因此在我國稱為“鉬靶乳腺X線檢查”(簡稱“鉬靶檢查”),但隨著技術的進展,目前陽極材料已不限於鉬靶,還包括鉬銠雙靶、鉬鎢雙靶等,還有單獨使用鎢靶的乳腺X線攝影機。因此規範的命名應是“乳腺X線攝影(mammography)”。
為了獲得高質量的圖像,乳腺X線成像所採用的攝影設備應具備乳腺X線攝影所需的性能要求,並有計畫地進行設備質量管理,攝影時根據乳腺的大小和密度選擇合適的曝光條件,正確地實施擺位和壓迫。
每位受檢者常規投照雙側乳房共四個位置,即雙側內外側斜位(MLO位)和頭尾位(CC位)。患者常規採用立位或坐位投照。內外側斜位是最常用的投照體位,此投照位所暴露出的乳腺組織最多。常規攝影體位顯示不佳時,可根據需要選擇補充投照體位。為了進一步評價在常規乳腺常規攝影中顯示出的小結節或細小鈣化,可進一步行點壓攝影、放大攝影或點壓放大攝影等。
生育期女性的乳腺會隨月經周期出現復舊、增生、退化等往復循環的周期性變化,因此女性乳腺X線攝影和自我乳腺體檢最好選擇在乳腺組織復舊後或再次增生的初期,即月經來潮後的7~10天。檢查前應去除胸前的金屬異物,如項鍊等;不要在胸前塗抹外用的藥液及護膚品,以避免出現偽影。
乳腺X線攝影的新技術及進展包括數字乳腺斷層攝影(digital breast tomosynthsis, DBT)、對比增強數字乳腺攝影(contrast-enhanced digital mammography,CEDM)、雙能量減影等。但這些新技術,還需要更多的實驗和研究及經驗積累,使其更加成熟 。
臨床套用及局限性
影像學檢查是乳腺癌最重要的檢查方法,可以發現臨床觸診陰性的早期乳腺癌;對於有臨床症狀的患者可通過影像學檢查了解病變特徵,並進行良惡性鑑別;對已診斷為乳腺癌的患者進行準確的分期,並用於治療後隨診;還可通過影像學表現與其它臨床指標對照,以顯示腫瘤的生物學行為。常用的檢查方法為乳腺X線攝影和超聲,目前乳腺MRI的臨床套用亦日趨廣泛。
臨床套用
乳腺X線攝影主要用於乳腺癌的篩查和診斷,是乳腺疾病最基本和首選的影像檢查方法,可以檢出臨床觸診陰性的早期乳腺癌,尤其在檢出以鈣化為主要表現的乳腺癌方面,具有其它影像學方法無法替代的優勢。對於有臨床症狀的患者可通過乳腺X線攝影了解病變特徵,並進行良惡性鑑別。乳腺X線攝影主要套用於兩個方面:篩查性乳腺攝影和診斷性乳腺攝影。
(1)篩查性乳腺X線攝影:是對無症狀人群定期進行的以早期發現乳腺癌為目的的影像學檢查。發現可疑之處,應建議進一步檢查或處理。
通過有組織的乳腺癌篩查,可以早期發現乳腺癌,有效的篩查可以降低乳腺癌的死亡率。在許多國家,X線攝影已廣泛套用於40歲以上女性乳腺癌篩查,是迄今為止唯一已被證實可以降低乳腺癌死亡率的篩查方法。在我國一般推薦40歲以上無症狀女性用乳腺X線攝影進行篩查。一般人群的篩查可以在進行臨床觸診和超聲的基礎上,每1~2年進行1次乳腺X線攝影,高危人群每年進行1次乳腺X線檢查。
(2)診斷性乳腺X線攝影:對篩查發現異常改變或具有乳腺疾病症狀、體徵的患者進行乳腺攝影,以提供更多的臨床信息。主要適應症包括①乳腺腫塊、硬化,異常的乳頭溢液,皮膚異常,局部疼痛或腫脹;②篩查發現的異常改變;③良性發現的短期隨診;④引導介入操作;⑤乳腺修復重建術後的患者;⑥乳腺腫瘤治療後隨診;⑦其他需要放射科醫師檢查或會診的患者。
乳腺X線攝影操作簡單,價格相對便宜,診斷準確率高,如果熟練掌握了正確的投照技術和診斷技能,能夠對乳腺癌做出早期診斷 。
局限性
乳腺X線攝影在某些方面尚存在局限性,即使在最佳的攝影和診斷條件下,乳腺X線攝影檢出乳腺癌敏感度也只有85%~90%左右,即仍有10%~15 %乳腺癌因乳腺緻密缺乏對比、腫瘤過小、特殊的腫瘤亞型等各種原因而呈假陰性,故陰性的X線圖像並不能除外乳腺癌。位於近胸壁的深部、高位或乳腺尾部的腫塊可因投照位置所限未攝入片中而漏診。乳腺X線攝影另一較大局限性是關於良、惡性病變的鑑別診斷,由於乳腺影像特徵的多變性和X線圖像為重疊影像的特點,乳腺疾病的X線診斷亦存在較高的假陽性率。另外,X線攝影的敏感性和特異性同時受乳腺組織密度及年齡影響,特別是對於緻密型乳腺,並且由於具有放射性損害,對孕婦、哺乳期婦女及年輕患者X線攝影尚不作為首選檢查。
異常徵象
乳腺X線攝影發現的主要異常徵象包括腫塊、鈣化、結構扭曲、不對稱緻密影。
腫塊
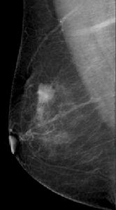
是指在兩個不同投照位置均可見的占位性病變。腫塊的特徵分析包括三個方面:形狀(圓形、卵圓形、分葉形和不規則形)、邊緣(清晰、模糊、微小分葉、浸潤、毛刺狀)和密度(高密度、等密度、低密度、含脂肪密度)。腫塊邊緣對診斷病變的性質最為重要,微小分葉、浸潤和毛刺狀邊緣為惡性徵象。良性腫塊多表現為邊緣清晰。大多數乳腺癌呈高或等密度,極少數乳腺癌可呈低密度;乳腺癌不含脂肪密度,含脂肪密度的腫塊肯定為良性。
圖1 右側乳腺內外側斜位片 右側乳腺上象限分葉狀高密度結節,邊緣有毛刺,提示高度可疑惡性病灶。術後病理:乳腺癌。
鈣化
對鈣化的特徵分析從形態和分布兩方面進行。
形態:分為典型良性鈣化、中間性鈣化(可疑鈣化)、高度惡性可能的鈣化三種。(1)典型良性鈣化:包括皮膚鈣化、血管鈣化、粗糙或爆米花樣鈣化、粗棒狀鈣化、圓形和點狀鈣化、“環形”或“蛋殼樣鈣化”、牛奶樣鈣化、縫線鈣化以及中空的營養不良性鈣化等。(2)中間性鈣化(可疑鈣化):包括不定形或模糊不清鈣化、粗糙不均質鈣化。(3)高度惡性可能的鈣化:包括細小多形性鈣化、線樣或細線分支狀鈣化(鑄形鈣化)。細線分支狀鈣化表現為細而不規則的線樣,常不連續,直徑小於0.5mm,這些徵象提示鈣化是從被乳腺癌侵犯的導管腔內形成的。
分布:包括瀰漫或散在、區域性、成簇、線樣和段樣分布五種方式。其中線樣及段樣分布常提示病變來源於乳腺導管,多為惡性鈣化,但亦有少數良性鈣化表現為沿導管分布。良惡性鈣化均可表現為成簇分布,需結合鈣化形態綜合考慮。區域性分布鈣化指在較大範圍內分布的鈣化,而不按照導管走行分布,惡性的可能性相對要小,但同樣需要結合鈣化形態綜合考慮。惡性可能性最低的是瀰漫或散在分布的鈣化,尤其是此種分布的點狀和無定形鈣化,常為良性,且常為雙側性。
圖2 右側乳腺內外側斜位 右側乳腺上象限見形態不規則結節,其內及周圍成簇分布的細小多形性鈣化灶,提示高度可疑惡性的病灶。術後病理:乳腺癌。
結構扭曲
是指正常結構扭曲但無明確的腫塊可見,包括從一點發出的放射狀影和局灶性收縮,或者在實質的邊緣扭曲。結構扭曲也可以是一種伴隨徵象,可為腫塊、不對稱緻密或鈣化的伴隨徵象。如果沒有局部的手術和外傷史,結構扭曲可能是惡性或放射狀疤痕的徵象,應提請臨床切取活檢 。
不對稱緻密影
不對稱影缺乏輪廓的邊界和三維腫塊的立體性,分為“球形不對稱影”和“局灶性不對稱影”。“球形不對稱影”累及較大範圍的乳腺組織,常常是正常變異,但合併可觸及的腫塊時,則提示可疑惡性腫瘤。“局灶性不對稱影”與“球形不對稱影”的不同之處僅在於所累及乳腺的範圍不同,與後者相比,“局灶性不對稱影”更應予以重視,此時與既往片比較很重要,當發現新出現或進行性增大的“局灶性不對稱影”應考慮乳腺癌可能,如進一步行局部放大點壓攝影和(或)超聲檢查,可能會發現其實際為邊緣不清楚的腫塊。
其它合併徵象
常與腫塊或鈣化徵象合併,或為不伴有其他異常徵象的單獨改變。包括:皮膚凹陷、乳頭凹陷、皮膚增厚、小梁增粗、皮膚病變投照在乳腺組織中、腋淋巴結腫大等。
BI-RADS分類
1992年美國放射學會(ACR)提出並推薦採用的《乳腺影像報告和數據系統》(breast imaging and data report system, BI-RADS),至2003年不僅被套用於指導乳腺X線診斷(第4版),也被擴展套用於乳腺超聲和MRI診斷。目的是對乳腺作為一個整體器官的所有影像學正常與異常情況的診斷報告進行規範,使用統一的專業術語、標準的診斷歸類及檢查程式,幫助臨床醫生對病變處理作出合理選擇。目前我國乳腺X線攝影診斷報告亦推薦使用該報告系統。
報告系統中一個很重要的組成部分是對乳腺病變的總體評估及建議,即通常所指的乳腺影像診斷分類(BI-RADS分類),具體如下:
(1)未定類別,評估是不完全的。
0類:現有影像未能完成評價,需要增加其它影像檢查,包括加壓點片、加壓放大、加拍其它體位,或行超聲、MRI 等檢查。常在篩查情況下套用,在完全的影像學檢查後以及與前片對比後則很少用。
(2)最終類別,評估是完全的。
1類:陰性,乳腺X線攝影無異常發現。
2類:良性發現,存在明確的良性病灶,無惡性徵象。包括鈣化的纖維腺瘤、多發的分泌性鈣化、含脂肪的病變(脂性囊腫、脂肪瘤、輸乳管囊腫及混合密度的錯構瘤)、乳腺內淋巴結、血管鈣化、植入體、有手術史的結構扭曲等等。
3類:良性可能大的病灶,建議短期隨訪。有很高的良性可能性,期望此病變在短期(一般為6個月)隨訪中穩定或縮小來證實判斷。這一類的惡性率一般小於2%。觸診陰性的無鈣化邊界清晰的腫塊、局灶性的不對稱、簇狀圓形或/和點狀鈣化這三種徵象被歸於此類。建議在此後6個月時對病灶側乳腺進行X線攝影複查,第12個月與24個月時對雙側乳腺進行X線攝影複查,如果病灶保持穩定,則可繼續隨診;若病灶有進展,應考慮活檢。
4類:可疑異常,但不具備典型的惡性徵象,應考慮活檢。這一類包括了一大類需臨床干預的病變,此類病變無特徵性的乳腺癌形態學改變,但有惡性的可能性。再繼續分成4A、4B、4C,臨床醫生和患者可根據其不同的惡性可能性對病變的處理做出最後決定。
4A:需要活檢但惡性可能性較低的病變。對活檢或細胞學檢查為良性的結果比較可以信賴,可以常規隨訪或半年後隨訪。
4B:中度惡性可能。對這組病變穿刺活檢結果可信度的認識,放射科醫生和病理科醫生達成共識很重要。
4C:更進一步懷疑為惡性。形態不規則、邊緣浸潤的實質性腫塊和新出現的簇狀分布的細小多形性鈣化可歸於此類。
5類:高度提示惡性的病灶,臨床應採取適當措施(幾乎肯定的惡性)。有典型乳腺癌的影像學特徵,惡性可能性大於95%,應進行活檢。形態不規則、毛刺狀邊緣的高密度腫塊、段或線樣分布的細線狀和分支狀鈣化、不規則帶毛刺的腫塊且伴不規則和多形性鈣化均歸於此類。
6類:已行活檢證實為惡性,臨床應採取適當措施。這一分類用在活檢已證實為惡性但還未進行治療的影像評價上。主要是評價活檢後的影像改變,或監測手術前新輔助化療的影像改變。
對乳腺X線攝影作出正確的評估,需要結合相關臨床信息,包括受檢者症狀、病程和體徵,相關實驗室檢查,既往病史,婚育史,月經周期,家族史,其他影像學檢測結果及本次檢查的目的等 。
乳腺癌的X線表現
乳腺癌的X線表現分為直接徵象和間接徵象,直接徵象包括腫塊、鈣化、局灶性不對稱緻密及結構扭曲等。間接徵象包括皮膚增厚或回縮,乳頭及乳暈異常、瘤周水腫、異常增粗的血管等。其中腫塊和微小鈣化是乳腺癌最常見的X線徵象
腫塊
腫塊是乳腺癌最常見、最基本的X線徵象,是診斷乳腺癌的主要依據。形態不規則、邊緣毛刺的腫塊常常提示為惡性。
腫塊大小不一,X線片中顯示腫塊大小多小於臨床觸診,此為惡性徵象之一。皮膚水腫、癌周炎症和癌瘤向周圍浸潤是造成臨床所觸及的腫塊往往大於X線所見的主要原因。腫塊密度在多數情況下比較緻密,與鄰近的乳腺實質相仿或略高。腫塊的形態多呈圓形、分葉狀或不規則形。大多數腫塊的邊緣不光整,境界模糊,可見輕微和明顯的毛刺或浸潤。有時也可呈輪廓部分清楚、部分模糊。毛刺的長度不一,可以長達數厘米,也可以較短呈毛刷狀。
微小鈣化
鈣化在乳腺癌的診斷中占據特別重要的地位。作為乳腺癌的一個主要徵象,它不僅可以幫助對乳腺癌的確診,而且在相當一部分臨床無症狀、不能觸及包塊的病例中,僅由乳腺X線攝影發現其特殊的鈣化徵象而被早期發現、早期診斷。
並非X線攝影發現鈣化就是惡性,X線攝影檢出的鈣化灶大部分為良性,醫生可以根據鈣化的形態及分布進行良惡性評估。形態表現為細小多形性、細線樣或細線分支樣鈣化提示高度可疑惡性的鈣化;線樣、段樣及成簇分布,在惡性中多見。而血管鈣化、粗大或爆米花樣鈣化、桿狀鈣化、圓點狀鈣化、中心透亮的鈣化、蛋殼狀鈣化等為典型的良性鈣化;不定形或模糊不清的鈣化、粗糙不均質的鈣化為可疑鈣化,在良惡性病變中均可見到,需結合分布情況綜合考慮。對於難以定性的鈣化灶,不除外惡性可能時,需行乳腺X線定位活檢。
局灶性不對稱緻密影
有時乳腺癌可不表現為腫塊,僅僅表現為局灶性不對稱緻密。
通常雙側乳腺組織基本對稱,但微小的不對稱十分常見,多數情況下這種不對稱緻密影為良性病變,如增生、慢性炎症、囊腫等,也有一部分為癌瘤所致,特別是小葉癌。癌灶浸潤絕大多數較正常腺體緻密,特別是在它的中心部位,向外側逐漸變淡,淹沒於正常腺體陰影中,與正常組織的界限常不易確定,其內很少或無脂肪組織。浸潤形態可為片狀、不規則形或類圓形。局部加壓放大點片有可能顯示浸潤區伴有毛刺及微小鈣化等。
結構扭曲
有時乳腺癌的腫物很小,不易發現,但其成纖維反應牽拉鄰近組織,導致局部結構扭曲、紊亂。在X線片上表現為乳腺實質正常輪廓改變及間質成份產生的成角、星狀及毛刺樣改變。仔細對照雙側乳腺的結構,以及與過去一系列的乳腺片對照是十分重要的。應注意的是活檢或手術後瘢痕、脂肪壞死、硬化性腺病、局限性纖維化等亦能導致乳腺實質輪廓局部結構扭曲,很易與惡性病變混淆。局部加壓點片可更清晰的顯示出結構扭曲,有助於診斷及鑑別診斷。
間接徵象
包括皮膚增厚或回縮,乳頭凹陷、瘤周水腫、異常增粗的血管等。乳頭回縮、局部皮膚增厚或回縮多在病變較晚期出現,X線片上顯示腫塊和乳頭之間有條索狀或帶狀緻密影相連;皮膚增厚在切線位顯示最清楚,表現為腫瘤區局限或瀰漫性增厚或回縮,皮膚和腫塊之間可見條索影相連。在見到乳頭回縮時,首先應詢問病史,排除先天性改變及炎症後遺症。
乳腺X線攝影質量控制
乳腺組織本身密度差很小,很多病變表現為微小鈣化,因此乳腺X線攝影是傳統放射診斷中最困難的檢查方法,對機器及技術要求也最嚴格。X線攝影是一種有損傷的檢查,乳腺是輻射高感受性組織,為了最大限度降低輻射損傷風險,確保篩查實踐的安全、有效,必須認真實施科學的影像質量控制程式。獲得優質的圖像是作出正確診斷的前提,嚴格的質量控制是獲得圖像的保證。
質控的目標主要包括兩點:
1、確保採用適當的成像技術時,能夠得到可提供豐富診斷信息的高質量圖像;
2、在符合診斷信息要求的前提下,確保輻射劑量最低。一個合格的乳腺X線檢查小組需要放射科醫師、投照技師和維修物理人員的密切配合,工作人員最好相對固定,以求保證質量。

