外陰浸潤性鱗癌外陰鱗狀細胞浸潤癌一般認為是由上皮內腫瘤(VIN)經外陰早期浸潤性鱗癌的進一步發展。根據病因不同,外陰鱗狀細胞癌可分為二種:一種較常見,為角化鱗狀上皮癌常發生在老年婦女中癌變部位伴有非腫瘤性的異常改變如苔蘚硬化病和(或)外陰慢性營養不良另一種較少見,好發於年輕婦女,為HPV相關的疣性癌和基底細胞樣癌是由VINⅢ發展而來,在腫瘤組織中易檢出HPV,且HPV檢出率與預後相關。
流行病學
外陰 鱗狀細胞浸潤癌(invasive squamous cell carcinoma of the vulva)主要發生於絕經後的婦女隨年齡增長發病率呈對數形式增加,診斷時的平均年齡國內為50歲國外60歲,但近20年來有明顯的年輕化趨勢Al-Ghamdi(2001)報導在外陰鱗狀細胞浸潤癌患者中,40歲以下的年輕患者約占5%其中最年輕者年僅17歲。
病因
外陰浸潤性鱗癌的病因仍未完全弄清但已尋找出一些與病因相關的發病因素,如性傳播疾病病毒感染、機體免疫功能低下外陰慢性皮膚疾病、吸菸等。
發病機制
外陰浸潤性鱗癌的病理:
1.大體 較早期類似外陰早期浸潤性鱗癌外陰可出現小的淺表、高起的硬潰瘍或小的硬結節等病灶後期可呈現大片融合伴感染壞死出血的大病灶多數癌灶周圍伴有白色病變或可能有糜爛和潰瘍。
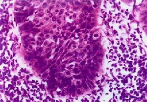
2.鏡下 癌灶的最大徑>2cm,浸潤深度>1mm。外陰鱗狀細胞浸潤癌的組織學類型同早期浸潤性鱗癌同樣在進行病理組織學檢查時應注意癌灶大小、數量浸潤間質的深度病理分級、有無淋巴管或血管的受犯和共存的其他外陰疾患等。
臨床表現
檢查指標1.症狀 長期頑固性外陰瘙癢為外陰鱗狀細胞浸潤癌患者的常見症狀,病程一般較長瘙癢以晚間為重。由於抓搔局部常有潰瘍伴外陰疼痛、分泌物增多局部滲血等。隨病灶位置的不同也可出現其他症狀,如腫瘤鄰近尿道或晚期病例腫瘤侵犯尿道可出現尿頻尿痛排尿燒灼感及排尿困難。
2.體徵 外陰浸潤性鱗癌多位於大陰唇其次是小陰唇、陰蒂及後聯合尤以右側大陰唇更為常見。早期為局部出現丘疹、結節或小潰瘍晚期病灶常表現為潰瘍型菜花樣或乳頭樣腫塊,表面可因破潰和繼發感染而有血性或膿性分泌物有觸痛。常與外陰營養不良疾患共存。臨床型的外陰癌灶形態多變,大小不等,顏色可呈白色灰色粉紅色或暗紅色,表面既可乾燥和潔淨,也可有分泌物和壞死。癌灶既可為單發也可為多發。單灶性癌可分為菜花型和潰瘍型。向外生長的菜花型多為分化好的病灶潰瘍型癌灶呈浸潤生長,多發生於外陰後部常侵犯巴氏腺會陰體和坐骨直腸窩。多灶性癌占外陰癌的1/4左右外陰多有色素增加,常合併有外陰營養不良疾患病灶瀰漫少見明顯的小病灶。有時一側或雙側腹股溝可觸及增大質硬、固定無壓痛的淋巴結但需注意,增大的淋巴結並非均為癌轉移未觸及增大淋巴結也不能除外淋巴結轉移起源於前庭大腺的鱗狀細胞癌,其表現往往為陰唇系帶附近的大陰唇有硬性水腫現象,但其表麵皮膚可能尚好。
3.轉移途徑
(1)直接浸潤:癌灶逐漸增大可向尿道、會陰體和陰道蔓延;外陰後部癌灶趨向於侵犯陰道口和肛門。較晚期者可侵犯恥骨並延伸到肛門周圍或膀胱頸。
(2)淋巴轉移:淋巴道轉移是最常見最重要的轉移途徑,淋巴轉移率可達21%~59%。其轉移途徑主要由淋巴引流特點來決定。見“外陰早期浸潤性鱗癌”
(3)血行轉移:罕見一般晚期患者才出現可轉移至肺。
4.臨床分期 原發性外陰鱗狀上皮癌的臨床分期標準很多目前被廣泛採用的主要有兩種一種是國際婦產科聯盟(international federation of obstetrics andgynecologyFIGO)1994年修訂的手術病理分期法另一種是1997年國際抗癌協會(international union against cancerUICC)的TNM的分期法。
診斷
外陰鱗狀細胞浸潤癌位於體表根據病史症狀和體徵,對臨床型的浸潤癌診斷並不困難。但即使是臨床上較典型的浸潤癌也應在治療前先活組織檢查以明確診斷指導治療並估計預後。
鑑別診斷:
外陰鱗狀細胞浸潤癌應當與如下疾病鑑別:
1.外陰濕疣 本病常發生在年輕婦女,質較柔軟而無潰瘍的乳頭狀向外生長,有時為帶蒂的腫塊,可與其他性傳播性疾病病變並存
2.外陰營養不良病灶 皮膚病灶廣泛和變化多樣,既可有角化增厚、變硬也可呈萎縮,既可有色素沉著也可呈灰白色外陰癢可反覆發作
3.其他 外陰白癜風和外陰濕疹見“外陰早期浸潤性鱗癌”此外應注意與外陰局部潰瘍和其他炎症性疾病相鑑別。
檢查
CT掃描實驗室檢查:
1.分泌物檢查腫瘤標誌物檢查。
2.細胞學檢查 對可疑病灶行塗片細胞學檢查常可見到癌細胞由於外陰病灶常合併有感染其陽性率僅50%左右。
其它輔助檢查:
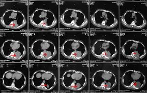
1.影像學檢查 為了在治療前準確定出臨床分期以利於客觀地制訂治療方案可行髂動脈旁腹主動脈旁淋巴的B超CT、磁共振和淋巴造影等檢查。
2.膀胱、直腸鏡檢查 對一些較晚期的外陰癌行膀胱鏡和直腸鏡檢查以了解膀胱、直腸的情況是必要的
3.病理活檢 對一切外陰贅生物,包括菜花灶潰瘍灶結節灶白色病灶等均需作活體組織學檢查活檢時無明顯病灶的廣泛糜爛灶,為避免取材不準而發生誤診可採用陰道放大鏡和(或)用1%甲苯胺藍(toluidine blue,核染色劑)進行外陰染色再用1%醋酸沖洗定出可疑灶後再行活檢。因炎症和癌症都可表現陽性結果所以甲苯胺藍染色只能用於選擇活檢部位對有合併壞死的病灶取材應有足夠的深度,並應在壞死組織的邊緣取材,避免僅取壞死組織,影響檢查結果。
治療
鱗癌細胞原發性外陰鱗狀上皮癌目前的治療以手術為主對癌灶組織分化較差和中晚期病例可輔以放射治療或藥物化療。對免疫功能低下或免疫功能受損者應輔以提高機體免疫力的治療以提高療效。
1.手術治療 經典的術式為廣泛外陰切除加雙側腹股溝淋巴結清掃術。外陰切除範圍後部包括3/4會陰、前部應達陰蒂上3~4cm。腹股溝淋巴結清掃時應將腹股溝區域的脂肪,包括深淺淋巴結全部清除之。皮膚切開後將皮膚與皮下脂肪向上、下、左右分離各3cm然後切除此範圍內的脂肪中含有腹股溝淋巴結切開腹壁淺筋膜淺層,淺淋巴結恰好位於筋膜下面的脂肪層內,在篩狀筋膜及闊筋膜的前面切除部位的上界應達腹股溝韌帶,下界達收肌管(huntercanal)開口的近端2cm左右,外側達縫匠肌,內側達內收長肌筋膜。此塊脂肪及淋巴結清除後,即暴露出股三角,其中包括股動靜脈及神經將股動、靜脈周圍的淋巴結清除時操作必須小心謹防損傷血管及神經。
作為一種標準的手術方式,廣泛外陰切除加雙側腹股溝淋巴結清掃術,一直被作為外陰鱗狀上皮浸潤性癌的主要治療手段沿用著,但近來此傳統的根治性術式正在受到極大的挑戰。主要原因是外陰鱗狀上皮癌的發生越來越年輕化,患者對治療要求的多樣性需要得到充分的體現。另外,通過不斷的較深入的臨床研究對癌細胞的生物學行為——淋巴結轉移規律的相關危險因素有了更深入的了解因此,手術治療所採用的術式趨向於個體化,在制訂個體化的手術方案時應考慮下列各因素:患者的年齡、患者的意願、癌灶的大小和位置、和鄰近器官的關係;癌灶基底浸潤的深度、細胞分化程度、有無淋巴管及血管的侵犯腫瘤細胞的分化程度、有無腹股溝淋巴結轉移有無並發下生殖道其他部位的鱗狀細胞癌等。
外陰癌灶基底浸潤深度超過2mm以上淋巴轉移率可達11%~28%。癌灶周圍有淋巴管或血管受累(VSI)者,淋巴轉移率可高達75%。癌灶組織分化不良者,淋巴轉移率亦高,G1為15%G2為35%G3為55%。因此凡癌灶基底浸潤深度超過2mm、淋巴管受累或癌灶組織分化差者,均應根據前述原則行外陰癌聯合根治術。
如外陰癌灶位於中線時尤其是陰蒂部其生長方式多為浸潤型的,淋巴轉移率高且常為雙側性此類患者應行廣泛外陰切除術加雙側腹股溝深淺淋巴結清除術。
浸潤性外陰鱗癌應行外陰根治術及腹股溝深淺淋巴結清除術。術後一般不需盆腔深淋巴結清掃術,除非腹股溝淋巴結已有癌轉移如腹股溝淋巴結無轉移盆腔深淋巴結一般不會有轉移,故盆腔淋巴結清除術不應作為常規手術當腹股溝淋巴結可疑陽性時,應作冰凍切片,以決定是否需切除盆腔淋巴結。也可等術後常規病理診斷證實後行二期手術。腹股溝淋巴結及盆腔淋巴結清掃術同時進行手術範圍廣時間長創傷多,肯定會增加手術後的患病率及併發症如腹股溝淋巴結陽性約25%的患者盆腔淋巴結為陽性。
Ⅱ~Ⅳ期浸潤性外陰鱗癌癌灶均超過2cm,淋巴結轉移率在30%以上,均應行標準的外陰癌聯合根治術即外陰廣泛切除及雙側腹股溝淋巴結(有時盆腔淋巴結)切除術。
凡癌灶侵犯尿道口者可將前段部分尿道與外陰一起切除。尿道括約肌功能良好者前尿道切除在2cm以內不會產生術後尿失禁。
凡癌灶侵犯陰道前下壁、尿道中後段或膀胱頸者,在作外陰癌聯合根治術時應行全尿道或和膀胱頸的切除及部分陰道切除和尿道重建術尿道重建術均利用部分膀胱壁代尿道。尿道口可置於下腹壁,或置於外陰原尿道部出口。也有將全尿道切除後的膀胱與切斷的直腸吻合,使尿液從肛門排出再於肛門後作一橫切口,將充分游離並保持血運的乙狀結腸斷端於肛門外括約肌內拉出縫合於肛門後切口凡癌瘤侵犯陰道下後壁肛管或直腸者,應考慮在作外陰癌聯合根治術的同時行部分陰道後壁肛管或直腸切除術和人工肛門重建術。
外陰癌聯合根治術及盆腔內臟切除術的術式可用於晚期病例手術難度大創傷面極大術後併發症多死亡率較高,因此此手術指征應較嚴格毫無疑問有一部分晚期外陰癌患者經過努力可獲得較長的生存期或治癒。
外陰癌的根治手術並不困難因為手術野比較表淺,暴露好容易止血但主要的關鍵是如何促使手術後傷口迅速癒合,因為皮膚已游離皮下脂肪被清除留有較大的無效腔,影響傷口的癒合。外陰癌患者手術後常因傷口癒合慢而延長住院時間促使傷口加快癒合的基本原則是:①手術時妥善止血;②皮膚縫合後要緊壓,儘量使皮膚與下面的組織緊貼,不留無效腔;③放置橡皮片或小橡皮管引流以便及時清除留在皮膚下面的滲血或液體;④負壓引流,將引流的橡皮管接上負壓瓶經常或定時拍吸將滲血及滲液儘量全部吸出,一般引流放置10天左右;⑤預防感染。如按上述原則處理,一般在手術後7~14天傷口即能癒合⑥支持療法,促進創口癒合。
2.放射治療 外陰浸潤性鱗狀細胞癌的放射治療,包括套用高能放射治療機(60Co、137Cs直線加速器和電子加速器等)行體外放射治療和用放射治療針(60 Co針、137Cs針、192Ir針和Ra針等)行組織間質內插植治療外陰鱗狀細胞癌雖然對放射線敏感但由於外陰正常組織不能耐受使外陰癌組織得以治癒的最佳放療劑量,一般外陰組織僅能耐受40~45Gy而鱗癌有效的治療劑量為55~60Gy,因此療效不佳。目前,放射治療在外陰鱗狀細胞癌中是處於輔助地位外陰鱗癌放射治療總的5年生存率在20世紀70年代以前在25%左右近些年的報導有所提高,Ⅰ~Ⅱ期外陰浸潤性鱗狀細胞癌的5年生存率甚至可達70%。
外陰鱗狀細胞癌採用放療的指征可歸納為:①不能手術的病例,如手術危險性大,癌灶太廣泛,不可能切除或切除困難者;②先採用放療後可以作較保守的手術;③復發可能性大的病例,例如淋巴結已轉移,標本切緣找到癌細胞病灶靠近尿道、直腸近端如要徹底切除病灶但又要保留這些部位有困難者④術後對有淋巴結陽性者補充體外放療可能提高生存率。
放射治療外陰鱗狀細胞癌的主要併發症有:嚴重外陰放射性皮炎外陰放射性壞死、尿瘺和尿路梗阻。
3.化療 外陰鱗狀細胞癌的抗癌化療的臨床經驗非常少這是由於目前所有的抗癌藥對鱗狀細胞癌的療效不理想,而手術的治癒率高;同時外陰鱗癌多見於年邁患者治療的要求不高等原因所致。因此目前抗癌化療在外陰鱗癌的治療中處於輔助地位,套用於較晚期癌或復發癌。
(1)單一抗癌藥的療效:臨床套用於治療外陰鱗癌的單一抗癌藥物有:多柔比星(阿黴素)、博萊黴素(bleomycin)甲氨蝶呤(methotrexate)順鉑(順氯氨鉑)、依託泊苷(足葉乙甙)絲裂黴素(mytomycin C)、氟尿嘧啶(5-FU)和環磷醯胺(cyclophosphamide)等。它們中以博萊黴素、多柔比星(阿黴素)和甲氨蝶呤療效較好有效率在50%左右
(2)聯合抗癌化療方案與療效:臨床治療外陰鱗癌聯合抗癌化療方案有:博萊黴素+絲裂黴素、氟尿嘧啶(5-FU)+絲裂黴素和博萊黴素+長春新鹼(vincristine)+絲裂黴素+順鉑(順氯氨鉑)等。聯合化療方案治療的外陰鱗癌病例尚少但目前以博萊黴素+絲裂黴素和氟尿嘧啶(5-FU)+絲裂黴素的療效較好有效率達60%左右。
對晚期或復發的外陰鱗癌採用抗癌化療和(或)放射治療和手術治療有機地配合,可望提高生存率。
預後預防
預後:
外陰鱗癌的預後與癌灶的大小浸潤深度有無淋巴結轉移等密切相關癌灶最大徑≤2cm浸潤深度≤1mm,厚度≤5mm的癌極少發生淋巴結轉移,預後佳。Ferenczy認為臨床能見到的癌包括那些最大徑2cm者幾乎總是伴有間質浸潤而且都已深度超過1mm。≤1mm的浸潤常常是檢查原位癌(VIN)時的偶然發現另外,一般認為如果不把外陰癌全部切塊檢查和垂直切片,則很難正確地測量浸潤深度影響預後的因素不只限於癌的大小和浸潤深度或厚度,淋巴管血管瘤栓癌的分化程度、生長方式(膨脹性或浸潤性)以及宿主的間質反應均有一定的影響,如<2cm的癌如果分化差也可呈高度惡性表現外陰鱗癌的存活率與診斷明確對病灶的範圍及治療的方法有直接關係。文獻報導女陰癌的總5年存活率為75%,Ⅰ期及Ⅱ期的糾正5年存活率為90%,如果淋巴結陰性,5年存活率為96%,若淋巴結陽性5年存活率則降至66%。如果單側淋巴結只有1個陽性存活率為94%2個陽性存活率只有80%。
Wharton等曾報導若有3個以下的淋巴結轉移5年存活率為68%而且無1例盆腔深部淋巴結轉移若患者有4個以上淋巴結轉移者50%盆腔深部淋巴結可轉移。假如雙側腹股溝淋巴結均為陽性26%盆腔深部淋巴結陽性。盆腔深部淋巴結轉移者預後差,5年存活率僅20%。
預防:
早期診斷積極治療、做好隨訪。

