簡介
中醫古醫籍無此病名,但本病主症瘙癢可見於“陰癢”疾病的描述中。而本病病變發展過程中出現的外陰皮膚增厚、腫痛、潰爛等可參考“陰腫”、“陰痛”、“陰蝕”等疾病。
病因病理
一、中醫病因病機
早在《靈樞·刺節真邪》篇中即指出:“虛邪之中人也,洒淅動形,起毫毛而發腠理。其人深,搏於皮膚之間,其氣發,腠理開,毫毛搖,氣往來行,則為癢。”隋·巢元方《諸病源候論》指出“……邪氣微,不能衝擊為痛,故但瘙癢也”。陰癢“是蟲食所為,……微則癢,重者則痛”。提示陰癢的發生與邪氣搏於皮膚之間有關。痛與癢的 形成機制相似,只是邪與氣血搏結的程度不同而已。陰癢進一步發展,則為陰痛。
鱗狀上皮增生病變部位在外陰,以前陰為主。中醫認為,肝藏血,其脈繞陰器;腎藏精,開竅於前後二陰;沖、任二脈同起於胞中,任脈“循曲骨,上毛際”而循陰器。若肝鬱脾虛或肝經濕熱導致濕濁內生,流注下焦,濕熱蘊結,阻滯沖任,使陰部脈絡瘀阻,氣血運行不暢則出現癢、痛、腫等症狀。
1.肝鬱氣滯。 素性抑鬱,或恚怒傷肝,使肝失疏泄,氣機郁滯,沖任被阻,陰部脈絡氣血運行不暢而為病。患此病後由於難言之苦及夫妻生活等因素又會加重肝鬱,使病情反覆難愈 。
2.濕熱下注。 陰部攝生不慎,感受濕熱之邪;或久居濕地,或感受外濕,濕蘊化熱;或由脾虛生濕,遏久化熱;或由肝鬱化火,木勝侮土,脾運失職,水濕內停,濕熱相合,流注下焦,傷及任帶而為帶下,浸漬外陰。濕熱蘊結,阻滯沖任,使陰部脈絡瘀阻,氣血失和而致陰癢、紅腫等。若瘀阻日久,甚至瘀滯不通則出現皮膚增厚、疼痛。陰部因血運不暢,進而失養而致色白。
3.腎虛肝鬱。 素體腎陰不足,七情內傷,肝鬱氣滯。或肝鬱日久;暗耗肝陰,或肝鬱化火,灼傷陰血,使肝血日虛,日久及腎,致腎虛肝鬱。陰部失榮則出現色白、皸裂等。
二、西醫病因病理
1病因。 目前,外陰鱗狀上皮增生的確切病因尚不清楚。一般認為外陰皮膚長期處於潮濕狀態和陰道排出物的刺激等因素可能與其發病有關。此外,有報導bcl–2基因蛋白在本病、不典型增生及外陰癌組織中有不同程度提高。
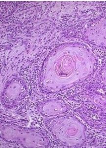
2病理。 主要組織病理變化為表皮層角化過度或角化不全,棘細胞層不規則增厚,上皮腳向下延伸,末端鈍圓或較尖,上皮腳愈長則尖端愈細。上皮腳之間的真皮層乳頭明顯,並有輕度水腫及淋巴細胞和少量漿細胞浸潤。但上皮細胞排列整齊,極性保持,細胞的大小和核形態染色均正常。?
診斷
一、診斷要點
1.病史。 有性情抑鬱,或居住潮濕,或帶下量多史,或各種陰道炎症等病史。
2.症狀與體徵。 可發生在任何年齡,多見於50歲以前的中年婦女,亦可發生在老年期。主要症狀為瘙癢,多劇烈,難以耐受。由於反覆搔抓致皮膚損傷日趨嚴重,瘙癢更劇。病損範圍不一,主要累及大陰唇,陰唇間溝,陰蒂包皮,陰唇後聯合等處,常呈對稱性。早期病變較輕時,皮膚顏色為黯紅或灰白,角化過度部位則呈現白色。由於長期搔抓和摩擦,皮膚增厚似皮革,色素增加,皮膚紋理變得明顯突出,皮嵴隆起,呈多數小多角性扁平丘疹,並群集成片,出現苔蘚樣變。嚴重者可因搔抓引起表皮破損、裂隙、潰瘍。如潰瘍長期不愈,特別是有結節隆起時,應警惕局部癌變的可能。一般無萎縮或黏連。
3.病理活檢。 病理活組織檢查是惟一確診手段。一般應在1%利多卡;因局部麻醉下,選擇有糜爛、潰瘍、硬結、隆起等不同病變部位進行多點活檢。
鱗狀上皮增生辨證,除根據患者主訴、兼症、舌脈外,尚需結合局部體徵以辨虛實。
一般而言,外陰瘙癢,局部皮膚粗糙肥厚,或色素減退,性情抑鬱,脈弦者,多數肝鬱;外陰奇癢不堪、灼熱疼痛,局部皮膚黏膜增厚,呈灰白或白色,或周圍紅腫、潰破,或帶下量多,色黃臭穢,苔黃膩,脈弦數而滑,多屬濕熱;外陰局部皮膚瘙癢,色白,彈性減弱,腰膝酸軟,抑鬱不樂,脈弦細數者,多為,腎虛肝鬱。
治療
對鱗狀上皮增生的治療首先讓患者保持外陰清潔乾燥,禁用肥皂及其他刺激物清洗外陰,內褲應選用通氣較好的棉質品以免加重病情,避免用手或器械搔抓患處,並忌食辛辣刺激及易致敏食物。然後在控制局部瘙癢時,主張採用皮質激素局部治療。
而部分患者也會因不同的病因而採用:單純外陰切除,雷射治療。

