腕舟狀骨骨折疾病概述
腕舟骨骨折比較常見,多發生於青少年,常由間接暴力致傷。跌倒手掌觸地,手腕強度背屈,輕微橈偏,橈骨背側緣切斷舟骨。
疾病分類:骨與創傷科。
症狀表現
1、傷後局部腫脹,疼痛,腕關節活動受限並疼痛加重。鼻咽窩處及舟骨結節處有壓痛。第2、3掌骨頭縱向叩擊痛。
病理診斷
腕舟狀骨骨折1、詢問傷情
包括受傷原因、時間、地點、受傷時身體姿勢及何部先著地,如有創口或出血,還應詢問創口處理經過,是否用過止血帶及上止血帶時間。
2、全面體檢
注意有無休克、軟組織傷、出血、檢查創口大小、形狀、深度及污染情況。有無骨端外露,有無神經、血管、顱腦、內臟損傷及其他部位的骨折。對嚴重傷員必須快速進行。
3、X線檢查
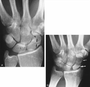
除正、側位X線攝片外,尚應根據傷情拍攝特殊體位相,如開口位(上頸椎損傷)、動力性側位(頸椎)、軸位(舟狀骨、跟骨等)和切線位(髕骨)等。複雜的骨盆骨折或疑有椎管內骨折者,尚應酌情行體層片或CT檢查。
臨床資料
腕舟狀骨骨折臨床表現 6例有腕部鼻煙盒腫脹、壓痛,2例僅有鼻煙盒局限性壓痛。舟狀骨移動試驗(ScaphoidshiftTest,SST)初診檢查陽性6例,陰性2例。檢查方法:將患肢腕關節被動尺偏,檢查者一手握住患肢腕部,用拇指壓迫舟骨結節,另一手握住患肢手掌使腕關節逐漸轉向橈偏。此時,如舟狀骨正常,檢查者的拇指可明顯感到舟骨結節向掌側突出,似有壓迫拇指的感覺,判定為陰性;如骨折,則無上述感覺而腕部產生劇痛,判定為陽性。?*若前次X線已明確骨折時,不再行此項檢查。
腕舟狀骨骨折治療及結果 前臂石膏固定5例,3例未行任何固定,直到2~3周複查X線片見骨折線後才行石膏固定。共中2例骨折延遲接連,更用切開復位內固定加植骨術。8例骨折均癒合。
診判特點
腕舟狀骨骨折X線平片的診斷意義 常規腕關節正側位片、舟狀骨位片可以清晰顯示關節間隙,腕骨夾角以及其他腕骨結構,對診斷腕舟狀骨結節骨折,尺橈骨遠端骨折及其他腕骨骨折脫位很有意義。但常因投照技術、體位、角度等因素使舟狀骨骨折漏診。同時還有一部分穩定型骨折,因骨折端嵌插,其平片常呈高密度影,未見低密度骨折線而漏診。本組3例複習初次X線平片為高密度影,當時未行固定,致骨折線明顯後才確診。有學者認為,傷後2~3周,隨著骨折斷端骨質壞死及血腫的吸收,骨折處間距加大,可以提高X線平片的診斷率。但亦有學者研究則認為傷後2~3周與初次的X線表現常無變化。本組2~3周X線確診率為37.5%,4~6周為100%。
OCSF的早期處理和診斷
早期處理 對有明確的受傷機制,鼻煙盒局部腫脹、壓痛,舟狀骨移動試驗陽性者,即使X線平片陰性,應高度懷疑OCSF,必須行石膏固定制動。若2~3周后複查局部仍壓痛,舟狀骨移動試驗陽性者,即使X線平片再次陰性,也應固定至傷後6周。其不僅有利於減少骨折漏診率,同時有利於軟組織傷和骨折的修復。本組有5例直至傷後4~6周複查X線才見到骨折線。
早期診斷 腕舟狀骨骨折的漏診,造成治療延誤,易發生骨不連等併發症,影響腕關節的功能。因此近來不少學者建議,一旦懷疑OCSF,除行制動處理外,可選擇CT、MRI等靈敏度高的檢查方法,以利於早期診斷和治療。
治療措施
腕舟狀骨骨折(1)新鮮骨折:新鮮舟骨骨折或者超過個月以上骨折治療原則是嚴格固定般採用短臂石膏管型固定範圍從肘下至遠側掌橫紋包括拇指近節指骨固定中堅持手指功能鍛鍊防止關節強直腰部骨折固定~月有時半年甚至年每~月定期照片複查結節部骨折固定~月
(2)陳舊骨折:無症狀或輕微疼痛者暫不治療適當減少腕關節活動隨訪觀察症狀明顯但無缺血性壞死的可繼續石膏固定往往需~月才能癒合已發生骨不連線或缺血性壞死者根據情況採用鑽孔植骨術橈骨莖突切除術或近端骨塊切除。
舟骨營養血管主要從結節部和外側中部進入舟骨周圍大部為軟骨面無骨膜附著骨折後靠內生骨痂才能連線骨折後損傷營養血管近側斷端由於缺血易發生無菌壞死臨床遇到這種情況缺乏滿意處理方法。
併發症狀
腕舟狀骨骨折1新鮮移位不穩定骨折 骨折移位超過1mm則被認為是移位不穩定性舟骨骨折,因為這種骨折通常伴有韌帶和血管的損傷,發生併發症的危險性很高,多選擇手術治療;
2骨不連 由於腕舟骨自身的解剖特點和毗鄰關係、骨折後易誤漏診以及治療復位固定不當等因素,常常發生骨折延遲癒合或骨不連;
3骨壞死 舟骨缺血壞死發生率與骨折部位和移位的程度有著密切的關係,腰部骨折遠端骨塊缺血壞死率超過30%,而近端骨折缺血壞死率幾乎達到100%。
