簡介

尺骨鷹嘴骨折
發病機理
尺骨鷹嘴骨折(一)無移位的骨折 骨折無移位,可包括粉碎、橫斷或斜行骨折。X線片上顯示骨折分離2mm以下,肘關節有對抗重力活動,也即伸肘功能的完整。
(二)有移位的骨折 骨折端分離在3mm以上,且無對抗重力的伸肘活動。又分為以下幾種。
1.撕脫骨折 多在接受肱三頭肌腱止點處發生。骨折塊較小。骨折線多為橫形。
2.橫骨折或斜行骨折 斜骨折的骨折線多從前上走向後下。有利於用螺絲釘固定。
3.粉碎骨折 多為直接外力所致,有時合併軟組織開放傷。
4.合併肘關節脫位的骨折 肘關節前脫位時多見。骨折線呈橫行或短斜行。且多發生在尺骨冠狀突水平而伴有明顯移位。
臨床表現
無移位骨折後,腫脹、壓痛。有移位的骨折及合併脫位的骨折,腫脹範圍較廣泛。肘後方可觸到凹陷部、骨折塊及骨擦音。肘關節功能喪失。多數診斷容易,可疑者應採取以下措施。
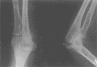
1.X線肘關節側位像 因無移位骨折在正位像上往往表現不出。
2.雙側X線攝片對比 肘關節化骨中心在融合前有可能與骨折混淆,可疑者應攝健側對比。
治療措施
尺骨鷹嘴骨折任何治療方法的治療結果,應達到伸肘有力而穩定。屈伸範圍良好,及對合優良的關節面。常用的治療方法如下。 1.功能位制動 對無移位的各種類型骨折,以後石膏固定於伸肘或半伸肘位3周,去制動後開始練習肘關節活動。
2.切開復位內固定 有移位的橫斷或斜行骨折,應儘量採用切開復位。內固定方法有多種,視骨折類型而選用。松質骨螺絲釘或雙皮質骨螺絲釘固定較常用。因復位滿意,固定牢靠,在術後1~2周,即可練習肘關節活動。鉤形鋼板或張力帶鋼絲“8”字縫合固定,則適用於粉碎骨折,可免除外固定早期活動。
3.骨折塊切除及肱三頭肌腱成型術 骨折粉碎嚴重,冠狀突與半月切跡遠端完整,可行骨折塊切除,但肱三頭肌腱止點處應保留一層骨皮質,以利其和遠端斷面縫合。如不能保留一層骨皮質,則可將肱三頭肌腱向下翻轉固定到遠端鑽孔內。切開復位或骨折塊切除者,一般固定於伸肘位,時間宜短,約3~4周即去除外固定,主動練習肘關節屈伸活動。
治療方法
尺骨鷹嘴骨折1 資料和方法
1.1 一般資料:本組49例中,男40例,女9例。最小年齡6歲,最大年齡63歲,平均年齡38.16歲。左側36例,右例13例;間接外傷34例,直接外傷15例。橫斷骨折28例,斜形骨折8例,粉碎骨折13例。其中陳舊骨折2例,合併其它骨折4例。
1.2 手術方法:臂叢麻醉,取肘關節後側切口,顯露骨折後復位,於鷹嘴遠端側位上的前1/3和正位上的中外1/3與中內1/3交點處,向近端平行打入2枚克氏針,進針深度應超過骨折線4cm以上。在骨折面以遠3cm處,尺骨背側骨嵴由後向前垂直釘入一短小螺釘,螺帽留出3mm作為鋼絲張力帶支點,將直徑0.8mm~1mm的鋼絲“8”形交叉繞在螺釘與近端的克氏針尾上,伸直肘關節,擰緊鋼絲。也可不用螺釘,而在欲擰入螺釘處橫形鑽一骨孔,鋼絲穿過骨孔固定在克氏針尾上,被動伸屈肘關節,檢查骨折無分離及移位後,將針尾折彎埋於肱三頭肌腱內,縫合切口。
2 結果
本組49例全部隨訪6個月~4年,平均14個月。全部骨性癒合,平均骨性癒合時間7.1周。無感染、斷針、脫針情況,按Wolfgang的後期療效標準,優良47例,較好2例。關節功能近於健側。
3 討論
3.1 張力帶基本原理:Pauwels指出,每個偏心位承重的骨骼都承受彎曲應力,典型應力分布是凹側產生壓應力,凸側產生張力。另外在骨折處存在鏇轉應力和剪力。壓應力有利於骨折癒合,而張力及鏇轉力不利於骨折癒合。從力學角度分析,兩枚平行的克氏針通過斷面,針尾通過鋼絲與骨折另一端的螺釘相連,構成一個穩定的立體三角結構,從而有效地克服了張力、剪力和鏇轉力。2枚單克氏針在抵消了彎曲應力和剪力時,還形成了動力加壓,為骨折早期癒合與關節早期活動創造了良好條件。
3.2 克氏針鋼絲張力帶固定的優點:該手術操作簡單,無需特殊設備和器材,手術創傷小,內固定可靠,早期可進行肘關節功能活動,防止了肘關節術後併發症促進了骨折癒合,使關節功能早期恢復。
3.3 手術注意事項:①固定用克氏針以2mm為宜,鋼絲粗細以0.8~1mm為好。本組1例陳舊性骨折,即是因使用過細克氏針及鋼絲,致鬆動而轉至本科再次手術;②內固定針尾如能折彎埋於肱三頭肌腱內為好。
相關病例
尺骨鷹嘴骨折1一般資料
本組17例,男性14例,女性3例;年齡25~62歲。右側尺骨鷹嘴骨折12例,左側5例;橫型骨折5例,斜型骨折9例,粉碎骨折3例;骨折分離移位在0.5~2.0cm。傷後就診時間2小時~40天。
2治療
採用內固定物為英國Orthofix公司的骨片釘系統。手術方法:臂叢麻醉下,取肘後縱行或弧行切口,顯露骨折端,清除積血和游離碎骨,肘關節130°關節面復位,暫時固定後屈曲90°,自鷹嘴尖端兩側向遠端平行鑽入2枚骨片釘(規格:螺釘直徑2.2mm,長度50mm,帶墊圈),剪去外露的尾桿,釘與尺骨軸平行,相距1.0~1.5cm,進針深度超過骨折線3cm,術後不外固定,7天內三角巾懸吊,3天后逐漸行肘關節伸屈。
3結果
17例術後隨訪3~15個月,平均9個月,骨折全部癒合。無骨不連或延遲癒合,無鬆動滑脫,無釘尾部軟組織腫痛。參照汪建軍等肘關節功能測定標準,優14例,良3例,優良率100%。
討論
尺骨鷹嘴骨折是臨床上常見骨折,為關節內骨折,治療方法較多。治療的最終目標是恢復骨折的穩定性,保持關節的活動度,避免併發症。本組使用的骨片釘系由英國Orthofix公司生產,是在克氏針基礎上加入微小螺紋,後端稍膨大,匹配小的墊片,在固定骨折時除微小螺紋有加壓作用外,墊片可起到雙重加壓作用。它與骨拉力螺釘不同,骨拉力螺釘雖可起到固定加壓作用,但需先鑽孔後固定,易造成骨折片的碎裂。骨片釘結合了克氏針和小的骨拉力螺釘的優點,在小片骨折和關節內骨折固定方面具有明顯的優點:(1)自攻,無需預先鑽孔;(2)提供較好的穩固性,骨片釘的強度、抗扭轉力及對骨折塊的固著力均比同直徑的克氏針和加壓螺釘強1/2;(3)墊圈可擴大加壓的面積,對骨質疏鬆者更有價值;(4)操作簡單。骨片釘治療尺骨鷹嘴骨折手術時間短,一般只需l5~30分鐘,對骨質及軟組織的血運破壞少,利於骨折的癒合,有明顯加壓固定作用,利於肘關節早期功能鍛鍊,是一種較理想的手術方式。
恢復
尺骨鷹嘴骨折【治療措施】
任何治療方法的治療結果,應達到伸肘有力而穩定。屈伸範圍良好,及對合優良的關節面。常用的治療方法如下。
1.功能位制動對無移位的各種類型骨折,以後石膏固定於伸肘或半伸肘位3周,去制動後開始練習肘關節活動。
2.切開復位內固定有移位的橫斷或斜行骨折,應儘量採用切開復位。內固定方法有多種,視骨折類型而選用。松質骨螺絲釘或雙皮質骨螺絲釘固定較常用。因復位滿意,固定牢靠,在術後1~2周,即可練習肘關節活動。鉤形鋼板或張力帶鋼絲“8”字縫合固定,則適用於粉碎骨折,可免除外固定早期活動。
3.骨折塊切除及肱三頭肌腱成型術骨折粉碎嚴重,冠狀突與半月切跡遠端完整,可行骨折塊切除,但肱三頭肌腱止點處應保留一層骨皮質,以利其和遠端斷面縫合。如不能保留一層骨皮質,則可將肱三頭肌腱向下翻轉固定到遠端鑽孔內。
切開復位或骨折塊切除者,一般固定於伸肘位,時間宜短,約3~4周即去除外固定,主動練習肘關節屈伸活動。
【發病機理】
間接外力。摔倒時肘關節處於關伸直位,外力傳達至肘,肱三頭肌牽拉而造成撕脫骨折。骨折線可能為橫斷或斜行。兩骨折端有分離。直接外力。摔倒時肘關節伸直拉著地,或直接打擊到肘後,造成粉碎骨折,骨折端多無分離。骨折分類尚無共同接受的觀點,北京積水潭醫院,將骨折分為下述幾種。
(一)無移位的骨折骨折無移位,可包括粉碎、橫斷或斜行骨折。X線片上顯示骨折分離2mm以下,肘關節有對抗重力活動,也即伸肘功能的完整。
(二)有移位的骨折骨折端分離在3mm以上,且無對抗重力的伸肘活動。又分為以下幾種。1.撕脫骨折多在接受肱三頭肌腱止點處發生。骨折塊較小。骨折線多為橫形。2.橫骨折或斜行骨折斜骨折的骨折線多從前上走向後下。有利於用螺絲釘固定。3.粉碎骨折多為直接外力所致,有時合併軟組織開放傷。4.合併肘關節脫位的骨折肘關節前脫位時多見。骨折線呈橫行或短斜行。且多發生在尺骨冠狀突水平而伴有明顯移位。
【臨床表現】
無移位骨折後,腫脹、壓痛。有移位的骨折及合併脫位的骨折,腫脹範圍較廣泛。肘後方可觸到凹陷部、骨折塊及骨擦音。肘關節功能喪失。多數診斷容易,可疑者應採取以下措施。
1.X線肘關節側位像因無移位骨折在正位像上往往表現不出。2.雙側X線攝片對比肘關節化骨中心在融合前有可能與骨折混淆,可疑者應攝健側對比。

