疾病描述
老年人胸腔積液與胸膜炎胸腔積液(pleural effusison)是指胸膜腔液體產生與吸收的平衡失調,產生量超過吸收量使胸腔內液體超過正常。它的產生可以是一個被動漏出,也可以是一個主動滲出過程。老年胸腔積液是一個非常常見的臨床綜合徵,它既可以因胸膜本身病變引起,也可能由全身性疾病所導致。它常並存於其他疾病,起病往往比較隱襲,症狀不典型,容易延誤診療。對於老年胸腔積液患者排除積液、解除肺壓縮固然很重要,但積極的病因和原發病治療更加重要。胸膜炎(pleurisy)是由各種原因引起的胸膜炎症,它是胸腔積液的主要原因之一。
症狀體徵
老年人胸腔積液與胸膜炎症狀與體徵:壓迫症狀的輕重取決於胸水生成的速度、積液量的多少及基礎肺功能狀態。積液量<250ml 時可以沒有症狀;中等或大量積液則表現為不同程度的氣憋、胸悶和呼吸困難;迅速增長的胸水或基礎肺功能較差的患者,即使胸水量不多也將出現明顯的症狀。懷疑胸腔積液者體格檢查多取坐位。少量積液,尤其是包裹性積液、葉間積液、肺底積液,常無明顯體徵。中大量積液者表現有患側胸廓飽滿,呼吸運動減弱,積液區觸診語顫減弱或消失,叩診為實音,呼吸音和語音傳導減弱或消失,積液區上方仔細檢查常可發現有語顫增強、叩診濁音和聞及管狀呼吸音,氣管和縱隔向健側移位等。突然發生的胸痛是胸膜炎的主要症狀。典型的胸痛為刺痛,在呼吸和咳嗽時加重,程度可有差異。可僅為隱隱不適,或僅在病人深呼吸或咳嗽時出現。髒層胸膜無痛感;疼痛因壁層胸膜疼痛引起。
疾病病因
老年胸腔積液與胸膜炎的病因十分複雜,大致上可以分為三大類:
①漏出性:常見於心血管疾病,如心力衰竭、縮窄性心包炎、上腔靜脈梗阻等;肝腎疾病合併低蛋白血症時。
②滲出性:常見於感染性炎症,如結核、病毒、化膿性細菌、真菌、寄生蟲等;惡性腫瘤,包括原發肺癌、肺轉移癌、淋巴癌及胸膜間皮瘤等;變態反應性炎症,如系統性紅斑狼瘡、類風濕性關節炎等;化學性炎症,如尿毒症等。
病理生理
老年人胸腔積液與胸膜炎診斷檢查
老年人胸腔積液與胸膜炎第一步:確定有無胸腔積液。根據病史、體徵,結合X線和超聲檢查資料,診斷一般應無問題。
第二步:確定胸水是漏出液或滲出液。各學者先後提出了各種不同的漏出液-滲出判別標準,先期臨床上多用胸水常規檢查“外觀、細胞數、Rivalta 試驗、糖含量及比重”來判別,但它的敏感性和特異性都不高。1972 年Light 提出的滲出液診斷標準為,有以下1 項者即可診斷:
①、胸液乳酸脫氫酶(LDH)>血清LDH 正常值上限的2/3 或>200U/L;
③、胸液/血清蛋白>0.5。Lights 標準的敏感性為98%,特異性為83%,由於該標準簡明而可靠性高,為大多數臨床醫生沿用。值得注意的是某些治療措施,如利尿劑可使胸液蛋白和LDH 含量升高,而可能使漏出液被誤判為滲出液。若加上胸液膽固醇>1.43mmol/L 或血清白蛋白-胸液白蛋白≤0.12g/L 作為輔助標準則可以防止誤診。
第三步:對滲出液應進一步確定是良性或惡性,特別是中多量、增長快的漿液-血性胸液應警惕惡性的可能,胸液的CA50、ADA、IFN-γ、CEA 及細胞學檢查等對判別良、惡性有較大價值。CT、MRI 檢查有利於肺原發病灶的發現和性質的區分。必要時進行胸膜活檢、細胞刷檢及胸腔鏡檢查。老年胸腔積液患者即令是漏出液,尤其在沒有明顯心力衰竭或低蛋白血症時也不能放鬆對腫瘤的警惕。
第四步:結合病史、體格檢查、影像學、實驗室及其他特殊檢查資料進一步明確原發病診斷。
實驗室檢查:
老年人胸腔積液與胸膜炎2、細胞學檢查 胸水中發現惡性細胞有助於腫瘤診斷,癌性和結核性胸水的白細胞計數多在(0.5~2.5)×10E9/L,化膿性胸水則>1×10E10/L。白細胞分類以單核細胞為主者多見於結核或病毒性,以多核細胞為主則見於化膿性的和結核早期。
3、細菌學檢查 懷疑化膿性感染胸水塗片染色或離心沉澱細菌培養有助於病原學診斷。
4、胸水的其他實驗室檢查
老年人胸腔積液與胸膜炎(2)、酶學檢查:①胸液溶菌酶(LZM)>20mg/L,溶菌酶的胸液/血清>1.2 多提示為炎症性,溶菌酶的胸液/血清<1.0 則多提示癌症;②胸液腺苷脫氨酶(ADA)>50U/L 時高度提示結核,<45U/L 則可排除結核;③胸液乳酸脫氫酶(IDH)<200U 提示漏出液,>200U 則多提示滲出液。
(3)、細胞因子檢測:①干擾素-γ(IFN-γ)在結核性胸水中明顯升高,癌性者明顯下降,類風濕則近於消失,該項檢測的敏感性和特異性均達90%,②腫瘤壞死因子(TNF)結核者升高,癌性者下降。
(4)、免疫學檢測:①胸液癌胚抗原(CEA)>20μg/L,並且胸液/血清CEA>1.0時有助於惡性胸水判斷;②胸液糖鏈抗原50(CA50)>20kU/L 高度提示惡性可能;③抗結核抗體(抗PPD-IgG)結核性胸水的抗PPD-IgG 顯著高於惡性胸水;④T 淋巴細胞亞群 結核性胸水中CD3、CD4 細胞的比例及絕對數都高於外周血,而惡性胸水中的CD3、CD4、CD8 的絕對數及CD8 的比例都明顯低於外周血;⑤聚合酶鏈反應(PCR)和核酸探針技術對結核性胸水診斷的敏感性和特異性都比較高。
(5)、生物技術檢查:胸液中出現超二倍體及多倍體的染色體細胞多提示惡性胸水;胸水細胞噬銀蛋白染色也有助於區分良、惡性細胞。
其他輔助檢查:
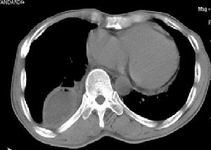
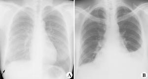
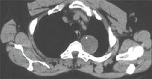
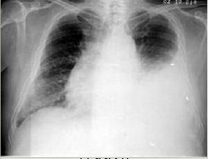
1、X 線胸片 少量積液可僅表現為患側肋膈角模糊、變鈍或消失;中等量積液可見患側下胸部大片均勻的緻密陰影,上緣呈外高內低的弧形;大量積液時患側胸部呈大片均勻的緻密陰影,氣管和縱隔對側移位,患側膈肌下移;包裹性積液表現為大小不等的圓形或半圓形均勻的緻密陰影,邊緣光滑清晰;葉間積液在側位片上呈長軸與葉間裂一致的邊緣銳利的梭狀均勻的緻密陰影;肺底積液在正位片上易與膈肌升高混淆,患側臥位透視或拍片則可見膈肌水平正常,胸水沿下側胸壁分布。X 線檢查不僅可以診斷積液,而且有助於原發病的診斷。
2、CT 和MRI 檢查 CT 和MRI 具有對密度分辨力高和二維圖像的特點,可以很好地區分液體與實體影,能很好地顯示X 線平片盲區的小病灶或少量積液,能突現出被胸水掩蓋的肺內塊影,還有助於區分積液的性質。
3、超聲檢查 它對少量胸水的檢測比X 線更敏感,並有助於穿刺定位。
鑑別診斷
老年人胸腔積液與胸膜炎2、結核性胸腔積液 結核性胸膜炎是機體對結核菌蛋白成分高度過敏的反應,為兒童和青少年原發感染或繼髮結核病累及胸膜的後果。臨床上起病可較急,亦可漸緩,有發熱、胸痛、乾咳,同時有疲乏,消瘦,食慾缺乏、盜汗等結核中毒症狀。乾性胸膜炎階段,胸痛隨深呼吸和咳嗽時加劇,胸膜摩擦音為重要體徵。隨著胸腔積液量的增多,患者漸感氣短。胸液為草黃色透明或稍混濁,呈毛玻璃狀,較久的積液可為深黃色混濁;胸液相對密度常在1.016 以上,白細胞總數常為(1~2)×10E9/L,急性期以中性粒細胞為主,慢性期則以淋巴細胞占多數,間皮細胞一般少於1%;蛋白含量在25g/L 以上;糖含量多在2.8mmol/L 以下;胸水中溶菌酶和腺苷酸脫氨酶增高;胸液塗片和集菌均不易找到結核菌,培養法約有1/3 陽性。胸膜活檢1/2 病例可見乾酪或非乾酪肉芽腫組織。當胸膜有炎性粘連時,可形成包裹性胸腔積液。
3、惡性胸腔積液 原發癌以肺癌和乳癌為主,其次為淋巴瘤,少數為卵巢癌、胃癌、子宮腫瘤等。腫瘤引起胸腔積液的直接機理有胸膜轉移,使血管通透性增加;胸膜淋巴引流受阻,縱隔淋巴結阻塞淋巴回流;胸導管受阻;支氣管阻塞使胸膜腔壓力減低;心包受累(血管靜水壓升高,產生漏出液)。間接機理有低蛋白血症;阻塞性肺炎;肺栓塞以及放射治療併發症。惡性胸腔積液除有腫瘤本身許多症狀外,臨床上常有氣促、消瘦、胸痛、乏力及納差。X 線檢查可見從小量至全胸積液,積液量大時,肺內和縱隔淋巴結腫瘤陰影常不易辨認,此時CT 檢查能顯示病灶。惡性胸液常為血性,抽液後迅速生長,胸液檢查包括常規、細胞學、酶譜、癌胚抗原等,胸液中找到癌細胞為惡性胸腔積液確診依據。由於癌腫多先位於髒層胸膜,而壁層胸膜上可能僅散在分布,故胸膜活檢時陽性率不高。
4、膿胸 膿性胸腔積液簡稱膿胸。常見病因為肺部感染(如肺炎、肺膿腫、支氣管擴張、肺結核等)向胸膜腔蔓延,鄰近感染(如膈下膿腫)或敗血症、膿毒血症累及胸膜腔,亦可為胸部外科手術的併發症,胸壁穿透傷的合併症,結核性胸膜炎治療不當可以成為結核性膿胸。臨床表現起病急,有高熱、寒戰、呼吸困難、胸痛以及消瘦、咳嗽、咳痰和發紺,體徵胸腔積液征。胸液為膿性,厭氧菌感染則有臭味,胸液中白細胞數在2×10E9/L 以上,以中性粒細胞為主;胸液培養有病原菌生長,培養應包括需氧和厭氧,甚至結核菌培養;胸液的pH 和糖量降低。X 線檢查可見胸腔積液或呈包裹性積液,若有支氣管胸膜瘺,則見液平面。
老年人胸腔積液與胸膜炎治療方案
由於引起老年胸腔積液的病因很多,故應按病因採取不同治療方法。
住院治療(1)、胸腔抽液與閉式引流:大多數患者單純抽液只能暫時緩解症狀,一次大量抽液後肺功能改善並不明顯,如抽液量過大或過快,還可能引起縱隔擺動和肺復張後肺水腫而危及生命。此外,反覆抽液由於蛋白的大量丟失而加重患者消耗。閉式引流(最好用套式穿刺針導入矽膠管)可以少量緩慢排液或間歇少量排液比較安全,引流排液比較徹底,可望較好地改善壓迫症狀,使胸腔局部化療藥物能達到有效濃度,結合負壓吸引可使胸膜粘連更趨完善,其療效優於單純抽液。
(2)、胸腔局部化療:注藥前應儘量排盡胸液或閉式引流,待胸液大部分排出後注入藥物,然後夾管,24~48h 後拔管。化療藥物可根據癌細胞類型選擇,常用的有順鉑(DDP)50~80mg,絲裂黴素C(MMC)10~20mg,多柔比星(阿黴素)30mg,氟尿嘧啶750~1000mg。將選用的藥物溶於20~40ml 生理鹽水中注入胸腔,繼之再注入地塞米松5~10mg,注藥後至少臥床2h,並每5~10 分鐘轉動體位1次。一般每5~7 天注射1 次,5~7 次為1 個療程。若3 次仍無效應考慮換藥或多種聯用。局部還可以採用免疫調節劑,常用的藥物有短小棒狀桿菌(CP)7mg 或
(3)、胸膜粘連術:胸液復長迅速,或局部化療效果欠佳,或全身化療骨髓抑制明顯而難以同時局部化療者,可以考慮行胸膜粘連術。一般注藥後24~36h引流液開始逐漸減少,於第4 天左右胸液消退,粘連術的有效率為50%~70%。
2、結核性胸膜炎 治療原則為全身抗結核藥物治療加上胸腔穿刺抽液。抽液宜分次進行,儘量抽盡胸液,殘留積液易導致胸膜肥厚粘連或形成包裹性積液。關於皮質激素的使用問題素有爭論,多數學者主張治療1 周后仍有發熱者應加用潑尼松,5~10mg,3 次/d,退熱後即減量,總療程為1個月。胸腔局部一般不宜注射抗結核藥,它可能促使形成包裹性積液。
3、病毒性胸膜炎 它通常是少量的自限性積液,無需抽液。若系中多量積液,則在抗病毒治療的同時行胸腔抽液以緩解壓迫症狀。
4、包裹性胸腔積液 小的包裹性積液一般無需特殊處理。較大的或多發的包裹性積液,可以在CT 或超聲指導下採用套式穿刺針導入引流管,負壓吸引有助於積液腔閉合和肺復張。
5、漏出性胸腔積液 它的關鍵在於原發病治療,少量積液者在原發病改善後將自行消失;中多量積液影響呼吸.循環功能時應適度抽液以緩解壓迫症狀。
6、膿胸和類肺炎胸腔積液 可用2%~4%蘇打液沖洗胸腔後注入敏感抗生素。根據積液復長情況多次施行。
