病因
惡性胸腔積液CT圖發病機制:
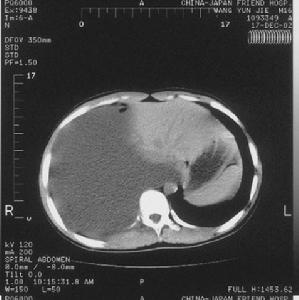
壁層胸膜的間皮細胞間有很多2~12nm的小孔,該孔隙直接與淋巴網相通,正常情況下,成人胸膜腔24h能產生100~200ml胸液,由壁層胸膜濾出,再經壁層胸膜的小孔重吸收而髒層胸膜對胸液的形成和重吸收作用很小胸腔內液體不斷產生不斷被重吸收保持動態平衡。胸腔積液循環主要推動力為胸膜毛細血管內和胸膜腔內的靜水壓、膠體滲透壓胸膜腔內的負壓和淋巴回流的通暢性。正常人胸膜腔內負壓平均為-0.49kPa(-5cmH2O)胸液蛋白含量很少,約為1.7%,所具有的膠體滲透壓為0.78kPa(8cmH2O)。壁層胸膜有體循環供血其毛細血管靜水壓為1.078kPa(11cmH2O)壁層和髒層胸膜毛細血管內膠體滲透壓均為3.33kPa(34cmH2O)。正常人胸膜腔內僅含少量(5~15ml)液體,以減少呼吸時壁層胸膜和髒層胸膜之間的相互摩擦。當上述調節胸液動力學的主要驅動力發生異常均可引起胸腔積液。腫瘤性胸腔積液產生的機制複雜多樣,歸納起來有以下幾個方面:
惡性胸腔積液CT圖1.最常見的致病因素 是壁層和(或)髒層胸膜腫瘤轉移。這些轉移瘤破壞毛細血管從而導致液體或血漏出,常引起血性胸腔積液。
2.淋巴系統引流障礙 淋巴系統引流障礙是腫瘤性胸腔積液產生的主要機制。累及胸膜的腫瘤無論是原發於胸膜或轉移至胸膜的腫瘤均可堵塞胸膜表面的淋巴管,使正常的胸液循環被破壞,從而產生胸腔積液;另外,壁層胸膜的淋巴引流主要進入縱隔淋巴結惡性腫瘤細胞在胸膜小孔和縱隔淋巴結之間的任何部位引起阻塞,包括在淋巴管內形成腫瘤細胞栓塞、縱隔淋巴結轉移,均可引起胸腔內液體的重吸收障礙,導致胸腔積液。
3.腫瘤細胞內蛋白大量進入胸腔 胸膜上的腫瘤組織生長過快,細胞容易脫落,進入胸膜腔的腫瘤細胞由於缺乏血運而壞死分解腫瘤細胞內蛋白進入胸腔,使胸膜腔內的膠體滲透壓增高,產生胸腔積液。
4.胸膜的滲透性增加 惡性腫瘤侵襲髒層和壁層胸膜、腫瘤細胞種植在胸膜腔內均能引起胸膜的炎症反應,毛細血管的通透性增加,液體滲入胸膜腔原發性肺癌或肺轉移性腫瘤引起阻塞性肺炎,產生類似肺炎旁胸腔積液。
5.胸膜腔內壓降低、胸膜毛細血管靜水壓增高 肺癌引起支氣管阻塞,出現遠端肺不張,導致胸膜腔內壓降低,當胸膜腔內壓由-1.176kPa(-12cmH2O)降至-4.7kPa(-48cmH2O)將會有大約200ml的液體積聚在胸膜腔內。肺部的惡性腫瘤可以侵襲腔靜脈或心包,引起靜脈回流障礙,胸膜表面的毛細血管靜水壓增高,胸腔積液產生。
6.其他 腫瘤細胞侵入血管形成瘤栓繼而產生肺栓塞,胸膜滲出;惡性腫瘤消耗引起低蛋白血症,血漿膠體滲透壓降低,導致胸腔積液;胸腔或縱隔放射治療後可產生胸膜腔滲出性積液。
臨床表現
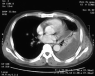
惡性胸腔積液CT圖在體格檢查時可發現患側呼吸運動減弱,肋間隙飽滿,氣管向健側移位,積液區叩診為濁音,呼吸音消失。
診斷:
明確有轉移癌的患者病程中出現胸腔積液時,對積液的診斷往往不是很重要。以治療原發腫瘤為主,在沒有出現呼吸症狀之前,應採取系統的全身治療。當積液引起患者呼吸窘迫而需要局部治療時,在治療開始前對胸腔積液應有明確診斷。
沒有惡性腫瘤的患者新出現胸腔積液時,應首先尋找引起漏出液的潛在病因。徹底地排除心力衰竭、結核等原因引起特發性胸腔積液,胸腔穿刺並對胸腔積液進行生化分析及瘤細胞檢查,或進行閉式胸膜活檢,一般均能確診惡性胸腔積液。
檢查
惡性胸腔積液CT圖(1)常規檢查:惡性胸腔積液一般為滲出液。滲出性胸腔積液的特點是蛋白含量超過3g/100ml或比重超過1.016在一些長期胸膜腔漏出液病人,由於胸腔內液體吸收的速率大於蛋白吸收的速率胸液內蛋白濃度也會增高,易與滲出液相混淆,所以檢查胸腔積液和血清中蛋白質和乳酸脫氫酶(LDH)水平,對於區分滲出液與漏出液有99%的正確性胸腔積液具有下列一個或多個特徵即為滲出液:①胸腔液體蛋白/血清蛋白>0.5;②胸腔積液LDH/血清LDH>0.6;③胸腔積液LDH>血清LDH上限的2/3。
大部分胸腔滲出液因含白細胞而呈霧狀,滲出性胸腔積液的細胞學檢查白細胞計數在(1~10)×109/L白細胞計數<1×109/L為漏出液而>1×109/L為膿胸。胸液中以中性粒細胞為主提示炎性疾病,以淋巴細胞為主時則多見於進展性結核病淋巴瘤和癌症紅細胞計數超過1×1012/L的全血性胸液見於創傷、肺梗死或癌症。
胸液中葡萄糖水平低於血糖水平見於結核病、類風濕關節炎、膿胸及癌症。胸液pH值通常與動脈血pH值平行,但在類風濕關節炎、結核病和癌性胸液中通常低於7.20。
(2)細胞學檢查:在癌性胸腔積液病人中,大約60%病人第1次送檢標本中就能查到癌細胞,如果連續3次分別取樣,則陽性率可達90%。在分次取樣時抽取幾個標本有助於提高診斷率,因為在重複抽取的標本中含有較新鮮的細胞早期退變的細胞在前面的胸腔穿刺中被去除。癌症導致的胸腔積液的機制除了直接侵襲胸膜外,還包括淋巴管或支氣管阻塞、低蛋白血症。應當注意的是淋巴瘤病人的胸腔積液細胞學檢查不可靠。
2.胸膜活檢 癌腫常累及局部胸膜,其胸膜活檢陽性率約為46%,胸液細胞學聯合胸膜活檢可使陽性率達到60%~90%。
治療
惡性胸腔積液CT圖對引起胸腔積液的腫瘤的化療和放療有助於消除胸腔積液並改善呼吸道症狀。由淋巴瘤、肺癌及乳腺癌阻塞淋巴管產生的胸腔積液,放射治療可以去除阻塞病因,重建並改善胸液動力學,效果顯著。對於影響呼吸動力學威脅生命的胸腔積液在未找到其他有效治療方法之前胸腔穿刺有助於控制症狀。

