疾病描述
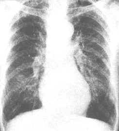
創傷性氣管及主支氣管損傷創傷性氣管、支氣管損傷這裡指由直接作用在頸部或氣管的外力引起,如槍傷、銳器傷、自刎割斷氣管等;亦可由胸部閉合性創傷所致的間接外力引起,見於交通事故、胸部撞擊傷。在臨床上主要表現為呼吸困難、頸部皮下或縱隔氣腫、氣胸或張力性氣胸、血氣胸、發紺。
疾病體徵
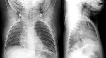
左主支氣管斷裂
右主支氣管撕裂
左主支氣管斷裂在縱隔胸膜外的支氣管斷裂,可造成縱氣腫
氣管撕裂如果縱隔胸膜沒有破裂,氣管斷裂僅引起縱隔氣腫病因
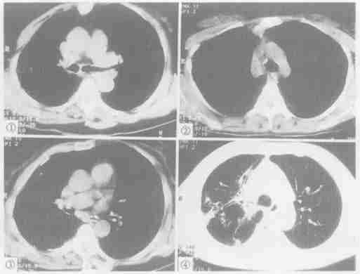
CT病理生理
CT2.胸部鈍性創傷所引起的氣管和支氣管損傷的發病機制尚不十分清楚,機制大致有三:①胸廓富有彈性,當前胸廓受到強大的外力作用時,其橫徑明顯增加,雙肺分別向兩側移動,氣管因慣性作用向前運動,反彈力使氣管隆突部位向外的牽拉力造成氣管撕裂。②外傷時,聲門緊閉、屏氣,氣管腔內壓驟升,使氣管爆裂。③外傷時,在支氣管的固定點出現較大的剪力。
診斷檢查
診斷:對嚴重胸部鈍性創傷的病人,來急診時即有嚴重呼吸困難和發紺,查體發現張力性氣胸、氣胸、縱隔氣腫和下頸部氣腫有重要意義,即使無氣胸也是X 線胸像上提示氣管破裂的最敏感的徵象。最可靠的診斷氣管破裂的方法是纖維支氣管鏡檢查。所有臨床上懷疑有氣管損傷的病人,如情況允許,均應立即行纖維支氣管鏡檢查來確立診斷,以防延誤診斷造成死亡或並發其他問題。張力性氣胸和氣胸安置胸腔閉式引流後,發現大量氣體持續外漏,隨吸氣動作而加重,根據上述體徵也可確診,病情平穩後,立即做X 線胸片證實診斷。對大多數無並發大咯血的病例,不必急於做支氣鏡檢或其他檢查。其他輔助檢查:
胸CT2.氣管CT 斷層檢查 可發現氣管斷裂的直接徵象,氣管透亮帶的變形及不連續,甚至有錯位的徵象。
3.纖維支氣管鏡檢查 可以明確氣管支氣管斷裂及狹窄的部位、程度等,對於早期或晚期病例都有肯定的診斷價值,而陰性的檢查結果則可以排除支氣管破裂的存在。胸部損傷後嚴重咯血症狀不可忽視,即使無氣管和支氣管斷離的其他指征,也應立刻考慮做支氣管鏡檢。
治療方案
支氣管撕裂後並發大咯血是胸外科急診最難處理的一個併發症,如發現病人大量咯血,血塊引起氣管梗阻或發現張力性氣胸,急需採取急救措施。為清除積存在氣管的血液,爭取做急診氣管切開術。為緩解張力性氣胸,應立刻用大號針頭,從前胸第2 肋間刺入胸腔排氣,此後應安放胸腔閉式引流,負壓吸引,以排除胸膜腔內的氣體。如有大量漏氣,必須使用大號胸管(1~2cm 直徑)和有效的吸引系統,使漏入胸膜腔的氣體全部排出。應嚴密觀察病情,如漏氣嚴重,病人一般情況不斷惡化,應送手術室做開胸術,進行修補裂口。對氣管和支氣管損傷急診病人,一經確診且有修補手術適應證,即送手術室。
創傷性氣管及主支氣管損傷氣管、支氣管創傷所有大的、邊緣不整的撕裂和支氣管完全離斷的病例,都應手術修補。如創傷占氣管、支氣管周徑的1/3 以下,並經胸腔閉式引流後肺能復張時,可以繼續觀察,否則應進行外科手術修補。早期診斷,早期修補,預後較佳。
一般1cm 以下的氣管裂傷,可經氣管插管用低壓氣囊堵塞裂口,或將氣管插管放至裂口遠端曠置裂口,7~10 天后拔管觀察,多自行癒合且無狹窄併發症。氣管、支氣管創傷因時間稍長合併感染者,一般不主張即刻行外科修補手術。如時間已久,嚴重肺部感染,有肺膿腫形成者,則應行肺切除術。如遠端無感染,則不論創傷後多久,應儘可能做支氣管重建術。
如果因合併其他器官較嚴重的創傷,病人一般情況差,呼吸困難,不宜立即進行手術者,應先做氣管切開,清除呼吸道內分泌物,必要時輔助呼吸。
創傷性氣管及主支氣管損傷(1)頸段氣管創傷:如病人無呼吸困難時,取平臥位,肩部墊高,頭部後仰。局麻下做頸部低位領狀切口。自兩側胸鎖乳突肌的外側緣,分開頸前肌群、胸骨舌骨肌和胸骨甲狀肌至中線,暴露氣管,進行探查,注意與呼吸一致的漏氣聲。氣管創傷的裂口常位於兩個后角,即軟骨環的兩端與膜狀部的交界處,分離應緊貼氣管壁進行,儘量不損傷喉返神經和氣管兩側縱行血管供應。找出氣管裂傷的部位後,先將裂傷周圍清創,修剪氣管破口,用4-0 不吸收縫線全層間斷縫合破口,檢查不漏氣,再用周圍軟組織覆蓋,放置橡皮片引流,縫合切口。
如果氣管完全斷裂,遠端氣管退縮入縱隔內,可用組織鉗夾住遠端氣管邊緣,儘快但輕輕拉出,注意避免過多損傷氣管。清除遠端氣管內污物和血凝塊,使遠端氣管通暢。此時,若病人一般情況不太好或預計要行較大的清創術,可在遠端氣管內插入消毒之氣管插管,進行通氣,輔助呼吸,然後修整氣管斷端,做對端吻合,其方法是,先在遠端斷端距邊緣1cm 處縫2~3 根牽引線,從縱隔內拉出氣管遠端,去除牽拉之血管鉗。用3-0 或4-0 不吸收縫線(如Prolene),全層間斷或褥式縫合兩斷端,進針點一般距邊緣0.3~0.5cm,最好不將所有的縫線縫在氣管的同一水平面上,以免張力過大時拉豁氣管。如果可能,儘量將縫線縫在軟骨環上,安置好所有的縫線,並呈放射狀排開,麻醉師根據病人一般情況,插入經口氣管插管至吻合口上方,將病人頭頸屈曲,取出遠端氣管內插管,送入經口氣管插管,並進行通氣。逐一將吻合口縫線打結,去除牽引線,檢查是否漏氣,並用周圍軟組織覆蓋包被吻合口。
銳器傷常伴氣管組織缺損,增加了修補和重建的難度。缺損不大者經過充分游離能無張力地進行修復。創傷累及環狀軟骨時,修補的難度較大。如果氣管完全斷裂,由於炎症的影響,急診、進行吻合容易發生管腔狹窄,可用腔內置矽膠T 管的方法防止術後瘢痕狹窄,其橫支經吻合口以下的造瘺口引出,能達到支撐和固定的作用,但T 管上端不宜超過聲門,以免發生誤吸。
複合性氣管,支氣管損傷,包括隆突部的縱形撕裂,兩側主支氣管的橫斷損傷
先固定氣管膜狀部和兩側主支氣管,修補氣管膜狀部和前壁的縱行撕裂,再吻合兩側主支氣管對於複合的氣管損傷,有人使用高頻通氣,採用正中切口,建立上、下腔靜脈和股動脈的體外循環,牽拉開無名動、靜脈,主動脈弓,和右肺動脈,顯露出氣管和兩側主支氣管,用4-0 不吸收縫線固定兩側主支氣管和氣管膜狀部,縫閉膜狀部破損,然後縫合氣管縱行撕裂,再吻合雙側主支氣管,最後用周圍的軟組織片或心包片覆蓋氣管後壁膜狀部。
要考慮到喉、食管、椎體和脊髓損傷的可能性。應同時予以修補處理。晚期併發症是氣管吻合部狹窄,可由破裂部位的血運破壞、縫線周圍的肉芽腫所致。
最後用帶蒂的心包片覆蓋氣管膜狀部和吻合口預後
創傷性氣管及主支氣管損傷注意
1.未被作出診斷的病人,後期表現為支氣管狹窄或其他延誤的形式。延期修補在技術上較困難,因為在破裂口周圍有炎性或瘢痕組織增生。2.支氣管撕裂後並發大咯血是胸外科急診最難處理的一個併發症,如發現病人大量咯血,血塊引起氣管梗阻或發現張力性氣胸,急需採取急救措施。為清除積存在氣管的血液,爭取做急診氣管切開術
3.最可靠的診斷氣管破裂的方法是纖維支氣管鏡檢查。

