[病因病理]
縱隔血腫縱隔血腫常見於外傷,少數見於主動脈瘤破裂、咽後壁和頸部出血向下擴散進入縱隔以及胸部術後縱隔出血。
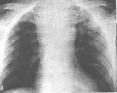
[臨床表現]
少量的出血一般沒有症狀。胸部外傷的病人可出現胸骨後疼痛放射到背部。[影像學表現]
1.縱隔向兩側均勻增寬,見於大量出血。少量出血可無異常影像表現。2.局限性血腫表現為縱隔一側或兩側凸出的軟組織腫塊影,也可壓迫氣管或食管。
3.CT見瀰漫性出血表現為縱隔增寬,呈斑片狀或點狀密度不規則增高影。限局性血腫時密度均勻,邊緣清楚,CT值與主動脈相近。
4.MRI上可顯示血腫的上下關係和範圍。MR的信號強度與出血時間密切相關。急性期(出血1~3天)顯示T1加權低信號強度,T2加權呈稍低信號強度;亞急性期(出血3~14天)T1加權和T2加權均呈高信號強度,慢性期(出血14天后)T1加權和T2加權均呈高信號強度,其周邊則為低信號強度。
