基本介紹
胸膜是一層漿膜,覆蓋於肺表面及胸廓內側面,分別稱為髒層及壁層胸膜,兩層胸膜圍成一個間隙,稱為胸膜腔。在正常情況下,胸膜腔內僅含少量漿液,起潤滑作用,減少兩層胸膜間摩擦作用,防止粘連。
·病因病理
胸膜炎是由於感染(細菌、病毒、黴菌、阿米巴、肺吸蟲等)、腫瘤、變態反應、化學性和創傷性等多種疾病所引起胸膜的炎症。在細菌感染所致的胸膜炎中,結核菌性胸膜炎最常見。胸膜增厚和粘連是胸膜炎或胸膜積液的結果, 胸膜炎有兩種,一種為乾性胸膜炎(無胸腔積液),另一種為滲出性胸膜炎(有胸腔積液)。產生胸膜肥厚主要是由於得過滲出性胸膜炎。由於胸水沒及時發現和抽水治療,胸水在胸膜腔內停留時間長了,胸水刺激胸膜加上胸水中有纖維蛋白附在胸壁上或有肉芽組織增生故使胸膜增生增厚。若有相對兩層胸膜粘著就成胸膜粘連。。胸膜增厚可為局限性或廣泛性的,廣泛的髒層胸膜增厚會影響肺的呼吸功能,廣泛的壁層胸膜增厚可使肋間隙變狹,胸廓縮小。
臨床表現
症狀各有所異,但是,普遍會有胸部疼痛或呼吸困難等症狀。臨床診斷以胸膜炎病史和影像學表現為
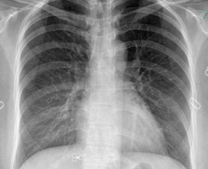
·影像學表現
局限性的胸膜增厚和粘連,常見於肋膈角處,使肋膈角變鈍、變淺或變平。透視下可見該處橫膈運動減弱。胸膜亦可有較廣泛的層樣增厚及粘連,若厚度不大,又位於前胸壁或後胸壁,則可以不引起明顯的X線改變,當胸膜增厚達到一定厚度時,則使患側肺野密度增高,當轉至切線位時,可在胸廓內緣和肺野之間有一層邊緣清晰的銳利陰影。大量的胸膜增厚和粘連可引起肋間隙的縮小,縱隔向患側移位,脊柱向對側側凸,橫隔上升。病變廣泛者可使患例肺門上提,氣管向患側移位。另有一種索狀胸膜粘連,在氣胸和肺受壓萎陷時較易見到,顯示為胸壁與一處肺表面之間有一條邊緣清晰的索狀緻密影相連。索狀胸膜粘連往往是貼近胸膜的肺部病灶所引起的胸膜改變。常見於結核並好發於上肺。透視下觀察橫膈運動可以鑑別局限性胸膜增厚和粘連與少量胸腔積液.治療
胸膜增厚多數不需要治療,有輕微的胸悶,天長日久會逐漸代償而減輕或者消失。加強鍛鍊,擴胸運動,深呼吸是最好的治療方法。廣泛性胸膜增厚影響肺的呼吸功能,胸膜粘連症狀嚴重者,則應手術治療,可做胸膜剝脫術。長期以來的實踐表明,手術治療不能令醫患雙方滿意,不但病人痛苦大,又容易造成新的胸膜粘連和胸膜鈣化。患了滲出性胸膜炎、胸膜腔積液的病人要加強營養,增進食慾,給予高蛋白、高熱量、多種維生素易消化的飲食。及時到醫院治療,否則就易產生胸膜肥厚。一旦出現了胸膜肥厚,目前靠藥物治療是沒有辦法解決根本問題的,只能日後通過手術治療松解粘連,因為它是胸水吸收後遺留的纖維化後遺症。主要是平日著重預防肺部的感染和鍛鍊,保護你的肺功能。胸膜粘連也是一種頑疾。對待這種病變的辦法是:以防為主。譚峰源撰。

