[病因病理]
胸膜腔內有機化的血塊或乾酪壞死物質等存在時可有鈣鹽沉著,形成胸膜鈣化。胸膜鈣化多見於結核性胸膜炎、化膿性胸膜炎及損傷性血胸後。某些塵肺,如滑石肺及石棉肺也可有胸膜鈣化,而且常呈雙側性的。胸膜鈣化常和胸膜增厚和粘連同時存在。
[臨床表現]
廣泛的胸膜鈣化常引起肺功能的減低。
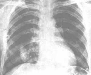
[影像學表現]
1.胸膜鈣化可為點狀、線狀、條狀、片狀或多數鈣化斑聚集成的斑塊狀,密度甚高,在CT片中其CT值通常為100HU以上。在大片增厚的胸膜影中的鈣鹽沉著多在近髒層胸膜處,且成條狀分布。如在側胸壁處的胸膜增厚並有鈣化,則在正位胸片中可見鈣化陰影與胸壁之間有一層軟組織影(即增厚的胸膜影)。
2.有的胸膜鈣化成套殼樣包在髒層胸膜的外面,與骨性胸廓間有一定的距離。
3.在胸壁包裹積液中的鈣化多為斑點狀且聚集成圓形或卵圓形,用不同的斜位檢查可顯示鈣化在胸膜面而不在肺野內。
4.塵肺中的胸膜鈣化常呈條狀或斑片狀,雙側性分布的多見。橫隔胸膜鈣化,為其特徵。
[鑑別診斷]
根據密度可明確診斷,注意的是鈣化是胸膜還是肺實質的,透視或切線位照片可鑑別。

