病因
發病原因至今仍不十分清楚,可能與以下因素有關:
1.長期接觸石棉
所有種類的石棉纖維,幾乎都與間皮瘤的發病機制有關,但每種纖維的危險性並不相同,最危險的是接觸青石棉,危險性最小是接觸黃石棉。第一次接觸石棉到發病的潛伏期一般為20~40年,間皮瘤的發病率與接觸石棉的時間和嚴重程度成正比。石棉致病理由如下:
(1)動物實驗:石棉液可誘發胸膜間皮瘤。
(2)惡性間皮瘤中發現石棉纖維。
(3)石棉工人,特別是工作20-40年者,間皮瘤發病率高達3.1%。
2.其他非石棉原因
接觸天然礦物纖維、胸膜腔慢性感染(結核性胸膜炎)以及反覆的肺部感染。也有報導接觸放射線後引起胸膜間皮瘤的病例,從接觸放射線到發現患胸膜間皮瘤的時間為7~36年,平均16年。
3.猿病40(SV40)感染
在沒有石棉接觸史的患者中,30%~50%可能與SV40感染有關。
臨床表現
男性多見,男女比約為2:1,2/3的患者年齡為40~70歲。大約半數的患者述有石棉接觸史。起病緩慢,臨床表現多種多樣。上皮型和混合型胸膜間皮瘤常伴有大量胸腔積液,而纖維型通常只有少量或無胸腔積液。上皮型患者似乎更多累及鎖骨上或腋下淋巴結並伸延至心包,對側胸膜和腹膜;纖維型多有遠處轉移和骨轉移。
1.症狀
(1)早期缺乏特異性症狀,60%~90%的患者出現呼吸困難、胸痛、乾咳和氣短,約10.2%患者可以有發熱及全身不舒服等症狀,3.2%患者以關節痛為主訴症狀。患者常有咳嗽,多為乾咳,無痰或痰量很少,亦沒有痰中帶血。惡性胸膜間皮瘤患者氣短的症狀很明顯,尤其是活動以後胸悶、氣短明顯加重,休息後症狀緩解。呼吸困難繼發於胸腔積液,程度隨著胸腔積液和腫瘤的增大而加劇。積液早期在胸膜腔內是游離的,然後逐漸局限包裹,最後逐漸為大塊腫瘤組織替代。胸痛起初為模糊鈍痛,當腫瘤侵襲肋間神經時,疼痛局限。
(2)中晚期50%~60%患者表現為大量胸腔積液,其中血性胸腔積液占3/4。腫瘤組織可以包裹壓迫患側肺組織,使肺復張受限。惡性胸膜間皮瘤患者如不經治療,患者體重減輕伴嚴重氣短、進行性衰竭,最後終因極度呼吸困難窒息死亡。無大量胸腔積液患者的胸痛較劇烈,逐漸加重至患者難以忍受,一般鎮痛劑難以緩解。疼痛常常出現於病變局部,膈肌受累及後可放射至上腹部、肩部。如未詳細詢問病史和體格檢查,可能誤診為冠心病、肩周炎或膽囊炎。有些患者出現周期性低血糖和肥大性肺性骨關節病,但這些指征在良性間皮瘤較多見。
(3)晚期患者表現為衰弱、惡病質、腹水以及胸腹部畸形。臨床表現是腫瘤進行性侵襲而未受到有效控制的結果。某些患者在病晚期,可發現胸壁腫塊,其來源於間皮瘤自胸腔向外長出,也可能因胸腔穿刺後針道種植所致。
2.體徵
體格檢查在疾病早期大多無陽性體徵,以後可發現有明顯的胸腔積液,胸部叩診呈濁音,呼吸音減低,縱隔移向健側等。病程晚期,胸膜間皮瘤生長很大,充滿整個胸膜腔時,胸腔積液卻變少,肺容量減小,病側胸壁塌陷,肋間隙變窄,縱隔被牽拉移向患側。在一些病例也可以出現腹部膨隆,可能說明腫瘤經膈肌侵襲腹腔。一旦出現經膈肌侵襲,30%的患者可以出現腸梗阻。
患者除了胸部體徵外,可有瘤伴綜合徵,雖然較少見,但也可以出現在間皮瘤患者,如:肺性骨關節病、杵狀指(趾)、抗利尿激素的異常分泌綜合徵(SIADH)、自體免疫性溶血性貧血、高凝狀態、高鈣血症、低血糖及周身淋巴結轉移。
檢查
血紅蛋白降低、血沉加快、大部分患者伴血小板數增多,個別報導血小板高達1000×10/L,提示預後不良。血清癌胚抗原在某些患者升高,血清胎兒蛋白一般正常。血清IgG、IgA或IgM升高,原因尚不明,此外還可有血清抗利尿激素增高、溶血性貧血、高凝狀態、高鈣血症、低血糖等。
1.X線胸片
胸部後前位像和側位像可清楚顯示患側胸腔積液,常占一側胸腔的50%。約半數以上患者除了胸腔積液外,胸片上還可見到沿胸膜側壁呈現波浪形生長的多發胸膜團塊影以及瀰漫性胸膜結節性增厚可伴有胸膜鈣化。這些為惡性瀰漫性胸膜間皮瘤的診斷提供了極有價值的線索。同側肺被腫瘤組織包裹,縱隔移向有腫瘤一側,患側胸腔變小,病情晚期X線胸片示縱隔增寬,心包滲液使心影擴大,可見軟組織影和肋骨破壞。
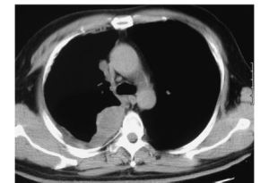
2.胸部CT檢查
可以顯示腫瘤的大小及範圍。了解腫瘤是否超越同側胸腔邊界,進犯縱隔結構,或侵襲膈肌及膈肌下結構是非常重要的。典型表現為:可顯示患側胸廓縮小、胸膜顯著增厚、胸腔積液,少數病例可見胸膜斑。
3.MRI檢查
作為CT的補充以確定腫瘤的範圍及是否能夠切除。MRI的矢狀面圖像可以清楚地顯示縱隔及膈肌侵襲情況。
4.胸穿
是最初很有幫助的診斷方法。間皮瘤的胸腔積液多為淡黃色滲出液不同於腺癌相關的血性胸腔積液。瀰漫性間皮瘤胸腔積液的特點為:黃色或血性,pH值為1.020~1.030,Rivalta(+),可見大量正常間皮細胞,分化好或未分化的惡性間皮細胞和不同量的淋巴細胞和多核白細胞。如果腫瘤體積巨大,胸水中的血糖含量和pH值可能降低,胸腔積液中透明質酸>0.8mg/ml。血清透明質酸量也明顯高於正常人(54±28)µg,而達(287±282)µg,因此胸腔積液較黏稠。
5.活檢
在有些病例,細胞學檢查可以明確診斷,但在大多數情況下,需要進行胸膜活檢。閉式胸膜活檢已經套用了很長時間。它只在陽性時有意義,因為有時取材不好而導致假陰性結果。胸壁切開胸膜活檢應該是首選方法,因為它可以保證活檢標本取得足夠量的組織,對患者的損傷不大。在手術技巧上限制在1~2個切口很重要。這不是VATS而是胸腔鏡活檢。手術切口應儘量採用與將來手術相同的切口,以便手術時切除該孔道,避免腫瘤在該部位的復發。術中發現胸膜腔封閉,不能置胸腔鏡的情況也很常見。在這種情況下,應轉為開胸胸膜活檢。
診斷
根據患者病史有石棉接觸史。體檢發現呼吸音減弱及叩診濁音提示胸腔積液或腫瘤生長。在晚期,觀察並觸診胸壁,尤其是肋間,可以發現腫瘤膨出,提示腫瘤侵襲胸壁。結合實驗室檢查和胸部CT檢查可判斷胸膜鈣化或骨結構有否破壞。應考慮惡性胸膜間皮瘤之可能。但為了確診,仍需進一步通過胸腔積液檢查和胸膜活檢加以確定。目前套用的電視胸腔鏡技術的活檢診斷率可達100%,手術危險性及死亡率均較低,可以替代開胸探查活檢術。
鑑別診斷
雖然胸腔積液細胞塗片、胸穿胸膜活檢和胸腔積液細胞塊切片可以作出惡性的診斷,但不能鑑別胸膜轉移性腺癌和惡性間皮瘤。主要是通過光鏡、電鏡、組織化學、免疫組化、透明質酸測定等方法同胸膜轉移性腺癌相鑑別。
比較肯定的對惡性間皮瘤作出診斷的技術有3種:
1.高碘酸-希夫染色(PAS);
2.免疫過氧化物酶技術;
3.電子顯微鏡檢查。
治療
目前雖有多種方法治療瀰漫性間皮瘤,但尚無非常有效的治療方法,對於不同的患者、不同的醫療條件,選擇治療的方法有很大不同,但經過某種方法治療,國內外均有少數患者活過5年,最長者達22年,大多數人認為可能與腫瘤自然生存時間和分期有關。
1.姑息性治療
惡性胸膜間皮瘤患者的胸腔積液,穿刺吸出後很快又會出現,用化學藥劑注入胸膜腔內,造成胸膜粘連,大多數患者的胸腔積液得到控制,這樣胸膜固定術如果失敗或在擬行診斷性開胸的患者,應考慮做胸膜剝脫術。
惡性胸膜間皮瘤可以沿穿刺孔、置胸管的通道及開胸切口播散,但所引起的皮下沉積物很少引起症狀,因此不必治療,倘若給予患者治療,這些皮下結節還可以作為觀察療效的指標。
惡性胸膜間皮瘤患者的胸痛是最難處理的症狀,在晚期特別嚴重,終日持續不停,對放療無反應,應給予足夠鎮靜止痛劑,包括鴉片類製劑以減輕疼痛,安度生命的最後時刻。
2.外科治療
傳統的手術方法有:壁/髒層胸膜切除和胸膜全肺切除。這兩種方法被認為是腫瘤多聯治療中的減瘤方法。用上述任意一種手術方法完成腫瘤減滅術使得輔助性放化療的局部效果最大化。
(1)擴大性胸膜肺切除術即根治性切除被累及的部分胸壁、全肺、膈肌、縱隔和心包。胸膜全肺切除術優點:①這種方法可以在胸膜腔完全封閉的患者中實施;②因為已切除了肺組織,術後可以進行大劑量放療;③近期資料表明中位生存期(21個月)較前提高,手術死亡率(<5%)較前明顯下降。胸膜全肺切除術當然也有一定缺點。這些包括患者對全肺切除的耐受性,例如手術死亡率高於胸膜切除術,尤其是老年患者。
(2)胸膜切除術此術非根治性,因腫瘤常累及其下面的肺臟。
3.化學治療
蒽環類藥劑被認為對惡性胸膜間皮瘤有效,其次是順鉑、絲裂黴素、環磷醯胺、氟尿嘧啶、甲氨蝶呤、長春地辛(長春花鹼醯胺)等。
4.放射治療
大塊腫瘤局部額外給予擴大性體外放療被認為有效,能緩解某些病例的胸痛及控制胸液,但對疾病本身並無療效。體外照射40Gy以上有姑息性療效,50-55Gy照射緩解率為67%,少數患者生存5年以上,但幾乎所有患者仍死於復發或轉移。
5.生物免疫基因治療
胸膜腔內γ-干擾素(γ-IFN)注射已套用於一項多中心的Ⅰ期臨床研究。
預後
研究發現由手術到首次復發的間期平均為19個月(5~51個月)。手術復發最常見的為同側胸腔,遠處轉移很少見到。首次復發患者中35%為局部復發,26%為腹部,17%為對側胸腔,8%為遠處轉移。

