病因學
大氣中如毛沸石含量增加,人們吸入這種矽酸沸石的粉末,也可引起間皮瘤。也有報導接觸放射線後引起胸膜間皮瘤的病例,從接觸放射線到發現患胸膜間皮瘤的時間為7~36年,平均16年。亞硝胺、玻璃纖維、氫氰酸、氧化釷、鈹及其它肺部疾病(如結核和化學物質及脂質吸入性肺炎),均可導致胸膜間皮瘤。
診斷
瀰漫型間皮瘤症狀體徵開發了3種技術,比較肯定的有助於對惡性間皮瘤作出診斷。這3種技術是以高碘酸-希夫液做組織化學染色,以角朊和癌胚抗原作免疫過氧化物酶檢驗和電子顯微鏡檢查。為進行這些檢查,活檢標本必須立刻用中性福樂馬林液固定,另一小塊腫瘤活檢標本注定在戊二醛液中供作電鏡檢查使用。
高碘酸-希夫染色(PAS)是惟一可靠的組織化學方法,它能辨別惡性胸膜間皮瘤與腺癌,雖然各種轉移性腺癌的特性不相同,但在澱粉酶消化後出現強陽性空泡,即可診斷為腺癌而非惡性胸膜間皮瘤。
免疫過氧化物酶技術是使用抗體作用於角朊蛋白和癌胚抗原(CEA),此法也有效地區別惡性胸膜間皮瘤於轉移性腺癌。對癌胚抗原作免疫過氧化物酶染色,惡性胸膜間皮瘤的染色一般很淡可不著色。相反,腺癌染色中等和很濃。此外,以免疫過氧化物酶對角朊作研究,也顯示間皮瘤與腺癌有明顯的差別。目前已發現8個標誌可作鑑別用:腫瘤合併糖蛋白72(B72.3),Leu-Mi,Vimentin,血栓調治素,粘蛋白成分,癌抗原陽性對腺癌有100%的特殊性和敏感性。由於癌胚抗原檢驗常有假陰性,故最好選用二個腫瘤標誌,一般使用CEA和B72.3。如兩者陽性對腺癌有100%的特殊性和88%的敏感性;如兩者均陰性,對間皮瘤有100%的特殊性和97%的敏感性。
電子顯微鏡檢查對辨別惡性胸膜間皮瘤與胸膜轉移性腺癌也有用途。惡性胸膜間皮瘤區別於肺、乳腺癌和上胃腸道來源的腺癌是它表面的微絨毛細而長,且有分支,張力絲較豐富,無微絨毛的小根和片裝體;來源於卵巢和子宮內膜的轉移性腺癌具有內在的組織變形,包括豐富的粘蛋白小滴、大量纖毛、密集的核顆粒,這些變化在間質瘤是不存在的,腺癌的絨毛短且粗。
惡性胸膜間皮瘤的病理診斷問題仍有爭論。雖然惡性間皮瘤與軟組織肉瘤在一起分類,但只有20%組織學上是純粹的肉瘤。惡性胸膜間皮瘤的33%~50%其組織學上是上皮型或管狀和乳頭狀,而其他30%為上皮和肉瘤混合型,大多數病理學家確信只有肉瘤或混合組織的病人,才能診斷為惡性胸膜間皮瘤。綜合特殊染色和電子顯微鏡檢查資料,有經驗的病理學家也願意對上皮型的病人,作出惡性胸膜間皮瘤的診斷。
病理改變
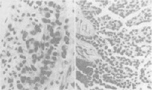
瀰漫型間皮瘤惡性間皮瘤有兩種病理解剖類型:①單個纖維性胸膜間皮瘤。從髒層胸膜生長,平板或肉莖狀,腫瘤引起臨床症狀是由於它們擴大發展,擠壓胸內結構使其移位,如能早期診斷,可作手術治療。②廣泛擴散的間皮瘤。此類型侵犯肺葉,浸潤膈肌、肋間肌,可通過縱隔胸膜而累及心包和大血管。
惡性間皮瘤的顯微鏡所見有其特色,即在單個的腫瘤結節或肉眼外觀相同的腫瘤結節,都有各種明顯不同的組織成分。惡性璋皮瘤的病理組織學分型有上皮型、纖維(間質)型和混合型三種。上皮型腫瘤細胞的上皮有各種不同的結構,例如乳頭狀、管狀、管乳頭狀、帶狀功片狀。多角形上皮細胞有很多長而纖細,表面有分支的微絨毛,橋粒,成束的彈力細絲和細胞間腔。纖維型細胞類似紡錘狀,平等構形,有蛋形或細長形的細胞核,核仁發育良好。混合型兼有上皮型和纖維型兩種組織結構。從一個腫瘤塊取活檢時,從各個不同的部位取的標本愈多,則愈像是混合型。
臨床表現
瀰漫型間皮瘤上皮型和混合型胸膜間皮瘤常伴有大量胸水,而纖維型通常只有少量或無胸水。上皮型病人似乎更多累及鎖骨上或腋下淋巴結並伸延至心包,對側胸膜和腹膜;纖維型多有遠處轉移和骨轉移。
放射學指征:常見X線胸片發現胸膜腔積液,常占一側胸腔的50%。同側肺被腫瘤組織包裹,縱隔移向有腫瘤一側,患側胸腔變小病情晚期胸片未縱隔增寬,心包滲液使心影擴大,可見軟組織影和肋骨破壞。
在X線常規胸片上胸膜的疾病可被胸腔積液掩蓋,對評價懷疑惡性胸膜間質瘤的病人,CT檢查最有用,CT可顯示胸膜增厚伴不規則的結節狀內緣,以此從其他胸膜增厚的病變中辨別出惡性胸膜間皮瘤。由於有纖維組織和腫瘤組織和胸水,主要的肺間裂明顯增厚,如為腫瘤侵犯,肺間裂可表現為結節狀。通常CT可發現肺內結節及肺被腫瘤包囊縮小的程度及胸壁塌陷的情況。
胸腔積液:間皮瘤合併的胸水屬滲出液,50%為血清血性液。如果腫瘤體積巨大,胸水中的血糖含量和pH值可能降低,由於含有大量透明酸(>0.8mg/ml),胸水較粘稠。胸水一般含有正常間皮細胞,分化好或未分化的惡性間皮細胞和不同量的淋巴細胞和多核白細胞。作胸水的細胞學檢查有助於作出診斷。
常規實驗室檢查:在發病過程中可發現血小板增多症,個別報導血小板高達1000×109/L,血清癌胚抗原在某些病人升高,血清免疫電泳現象IgG、IgA或IgM升高,原因尚不時,血清胎兒蛋白一般正常。
治療措施
瀰漫型間皮瘤根據臨床表現,Ⅰ期上皮型惡性胸膜間皮瘤有可能長期生存,故建議為這些病人作根治性胸膜肺切除術。對Ⅱ、Ⅲ和Ⅳ期上皮型及其他病理類型的病例,無論治與不治,採用根治性或姑息性手術及使用化療和放療療效與否,治療後的生存曲線基本相同,其平均生存時間為18個月,約10%病例活過了3年。
1、姑息性治療 惡性胸膜間皮瘤病人的胸水,穿刺吸出後很快又會出現,用化學藥劑注入胸膜腔內,造成胸膜粘連,大多數病人的胸水得到控制,這樣胸膜固定術如果失敗或在擬行診斷性開胸的病人,應考慮做胸膜剝脫術。
惡性胸膜間皮瘤可以沿穿刺孔、置胸管的通道及開胸切口播散,但所引起的皮下沉積物很少引起症狀,因此不必治療,倘若給予病人治療,這些皮下結節還可以作為觀察療效的指標。
惡性胸膜間皮瘤病人的胸痛是最難處理的症狀,在晚期特別嚴重,終日持續不停,對放療無反應,應給予足夠鎮靜止痛劑,包括鴉片類製劑以減輕疼痛,安渡生命的最後時刻。
2、外科治療 已有各種治療惡性胸膜間皮瘤外科措施,首先是擴大性胸膜肺切除術,即根治性切除被累及的部分胸壁、全肺、膈肌、縱隔和心包。此術式只適用於Ⅰ期功能上皮型惡性胸膜間皮瘤病例。嚴重心肺功能損害是此術的禁忌證。在第4肋間做一標準的後外側開胸切口,將堅韌而增厚的壁層胸膜和腫瘤結節一起,鈍性從胸壁剝離,此操作會引起廣泛出血,可壓迫、電灼和縫扎仔細徹底止血。然後,將縱隔胸膜從肺門的頂部分開,切除氣管旁淋巴結。在前面,於肺尖水平,結紮乳內動脈和靜脈,從前胸壁切除與這些血管和胸膜一起的所有可見淋巴結。在後面,切除食管旁和氣管隆突區的淋巴結。從左側後面相應部分切開心包。此時要決定先切肺或先切除膈肌,此順序取決於腫瘤侵犯的部位及其延伸的範圍。橫斷肺門和血管及支氣管,處理方法像在任何心包內(擴大性)全肺切除一樣。胸膜下部不像膈肌那樣低位,可在游離胸膜後,在胸膜下部皺褶外切除膈肌。為充分暴露,一般要在同側8~10肋間作第2個切口。因術中置病人於側臥位,在切除膈肌後,肝臟傾向於由上向縱隔移位,壓迫下腔靜脈,導致心跳和血流障礙。切除膈肌後,其缺損可用Maxlex網或滌淪矽質材料修復,也有人用硬脊膜修復。無論採用任何材料和技術,都必須做到嚴密不漏,以防止血液或胸水由胸農會流入腹腔;應該用連續縫合法,將膈肌的替代物牢固縫合膈的殘餘邊緣,使腹內臟器不能突入或疝入胸腔內。關胸前應連線胸管於吸引器負壓吸引。擴大性胸膜肺切除術的手術死亡率為10%~25%,但療效並不比胸膜切除術好,故不建議廣泛套用。
第二個外科治療措施為胸膜切除術,此術非根治性,因腫瘤常累及其下面的肺臟。此手術並不能改善惡性胸膜間皮瘤病人的生存時間,但似乎能控制胸水,改善病人的生活質量。此外,惡性胸膜間皮瘤所引起的胸痛,有時在切除胸膜後能緩解,對懷疑為惡性靜膜間皮瘤的病例,擬作診斷性開胸活檢時,應考慮同時做胸膜切除術。有大量胸水,而化學性胸膜固定術失敗的病例,也可考慮做胸膜切除術。由上所述,胸膜切除術是姑息性手術,其目的是切除壁層胸膜和部分髒層胸膜,以預防胸水復發及減輕胸痛症狀。一般治第6肋間作後外側切口開胸,鈍性或銳性游離壁層和部分被腫瘤累及的髒層胸膜,分別從胸壁和肺臟分開後摘除,此操作會引起因熱傳導造成脊髓或臂神經叢受損,在脊柱旁及胸腔頂切除腫瘤時,最好使用高頻氬氣刀。特別要小心留住胸腔頂部及縱隔區的神經和血管,儘可能切除腫瘤組織,減少其容積,有利於術後放療和化療。術畢置胸腔閉式引流負壓吸引。
3、化學治療 蒽環類藥劑被認為對惡性胸膜間皮瘤有效,其次是順鉑、絲裂黴素、環磷醯胺、氟尿嘧啶、甲氨蝶呤、長春花鹼醯胺等,目前多採用、蒽環類為主的綜合化療。近年來,統計國內外以阿黴素為主的化療方案,總有效率為20%左右,其中較好的是阿新鹼(CAO);不含蒽環類的各種治療方案總的有效率為21%,其中較好的是絲裂黴素加順鉑(MP)。順鉑加大劑量甲氨蝶呤。化療持續到病情不加劇為止。
4、放射治療 外部放療對惡性胸膜間皮瘤很失望,但擴大性體外放療被認為有效,能緩解某些病例的胸痛及控制胸液,但對疾病病本身並無療效。體外照射40Gy以上有姑息性療效,50~55Gy照射緩解率為67%,少數病人生存5年以,但幾乎所有病人仍死於復發或轉移。
腔內放療對少數惡性胸膜間皮瘤有某些反應,且少數病人長期療效,看來有一線希望。主要用同位素是放射性金,它與覆蓋漿膜腔的細胞有親合性,特別適合於治療瀰漫性腫瘤,例如間皮瘤。其主要治療效果是由於β質粒的放射性,它的穿透力達2~3mm,對早期腫瘤最有效,但很難發現早期惡性胸膜間皮瘤的病例。早年套用膠體198金注入胸膜腔內,有活過5年的少數病例,由於防護困難,已很少套用。
綜合治療和手術中照射或同位素132I、192Ir、32P植入腔內以及術後體外放療加化療等措施,均無遠期治癒者。
5、綜合治療 採用綜合治療措施,在胸膜肺切除信後及CAP方案化療(環磷醯胺600mg/m2,阿黴素60mg/m2,,順鉑75600mg/m2,連續用5個療程,每療程間隔時間為3周)。術後在原來腫瘤的部位或殘餘腫瘤的位置作55Gy的體外照射。分析53例接受綜合治療的病人,圍手術期併發症發生率17%,手術死亡率5.8%。平均生存時間16個月(1~8年)。31例上皮型病人的1、2、3年生存率分別為7%、50%和2%;混合型和肉瘤型病人的1、2年術後生存率為45%及7.5%,無一例活過25個月。局部縱隔有淋巴結轉移者生存時間較無淋巴結轉移者短,上皮型縱隔淋巴結陰性者,其5年生存率為45%,故早期進行治療十分重要。
預後
石棉工人患惡性胸膜間皮瘤者,其平均生存時間從出現症狀到死亡只11.4個月,大部分病人在1年內死亡。下一步應更科學地綜合各種治療措施,同時開發新的技術,以便尋出更有效的藥劑及診斷方法,能及早進行治療。
