基本資料
類鼻疽桿菌肺炎中文名:類鼻疽桿菌肺炎
英文名:Bacillus whitmori pneumonia
別 名:類鼻疽呂夫勒氏菌肺炎;類鼻疽呂夫勒菌肺炎;惠氏桿菌肺炎;類鼻疽桿菌肺炎;鼻疽假單胞菌肺炎;惠特莫氏桿菌肺炎;假鼻疽桿菌肺炎;惠特莫桿菌肺炎;melioidosis pneumonia;Bacillus whitmori pneumonia;Loefflerella pseudomallei pneumonia
類鼻疽是一種人類和動物共患,類似馬鼻疽的傳染性疾病 本病與馬鼻疽的臨床和病理極其相似,但流行病學不同
病理生理
類鼻疽桿菌肺炎2.傳播途徑 與馬鼻疽相反,實驗室人員很少感染,人與人間的直接傳播亦
很少見。其傳播途徑有:
(1)直接接觸含有致病菌的水或土壤,經破損皮膚而感染 是主要傳播途徑
(2)吸入含有病原菌的塵土或氣溶膠 經呼吸道感染。
(3)吞噬被病原菌污染的食物,經消化道感染
(4)被吸血昆蟲(蚤 蚊)叮咬而造成感染,本桿菌能在印度客蚤和埃及伊蚊的消化道內繁殖,並保持傳染性達50天之久。
3.人群易感性 人群對類鼻疽桿菌普遍易感,但發病率並不高。據血清學調
查,流行地區的人群約6%~20%存在隱性感染 男多於女,認為與職業接觸有關。
4.流行特徵 本病流行於東南亞和澳大利亞北部等熱帶地區。在越南、高棉、寮國、泰國、馬來西亞和緬甸曾有過大量病例報告。在印度、婆羅洲、菲律賓、關島、印尼 斯里蘭卡、紐幾內亞以及昆士蘭等地也有病例報導。在西半球(巴拿馬、厄瓜多)僅見少數病例 在美洲及歐洲居住的人中,僅見於曾經到流行區去旅遊過的人。
疾病病因
類鼻疽是由類鼻疽假單胞桿菌(pseudomonas pseudomallei)所引起,桿菌長1~2μm,寬0.5μm,能運動、無芽孢、無莢膜、革蘭染色陰性。本菌為需氧菌 在普通培養基上生長良好,培養48~72h後菌落呈棕黃色,表面有蜂窩狀皺褶,並呈同心圓狀,培養物有強烈的霉臭味 培養物的濾液中含有二種毒素:一種是壞死性毒素(煮沸4min滅活);另一種是致死性毒素(煮沸15min滅活),可使豚鼠和家兔產生致死性感染。
發病機制
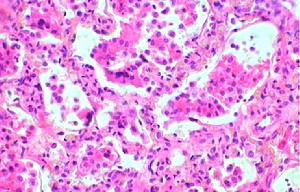
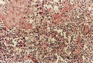
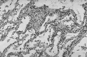
急性感染時大多數病灶發生在肺部,其他臟器偶也有膿腫。亞急性感染時,肺部膿腫趨向擴散,可遍及皮膚、皮下組織、腦膜、腦、眼、心 肝、腎、脾 骨、前列腺 滑膜和淋巴結等處。急性膿腫的特點是外周有出血,中間帶為大量的中性多核白細胞浸潤,中心區為壞死性碎片 其中含有大量的2~3個核的巨大組織細胞。明顯的核破裂是組織學的重要特徵。慢性感染時病灶中心見乾酪樣壞死,由單核細胞、漿細胞浸潤以及肉芽組織形成,並無鈣化現象。
臨床表現
類鼻疽桿菌肺炎2.臨床類型 臨床表現多樣化 可分下列幾種類型:
(1)隱匿型感染:無任何症狀 僅在血清學檢查時發現高滴度特異性抗體。在流行區成年男性健康人群中陽性率約為6%~20% 曾報告在常規X線照片檢查時偶爾發現有無症狀的感染病例
(2)急性局限性化膿性感染:常是由於細菌感染了破損的皮膚,局部形成結節,並發淋巴管炎和所屬的淋巴結炎。患者常有發熱及全身不適 然後迅速發展為急性敗血症。
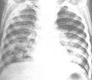
(3)急性肺部感染:是本病最常見的形式。表現為原發性或血源播散性肺炎。起病突然,畏寒或寒戰,繼而發熱,全身肌肉痛,頭痛、咳嗽、胸痛、呼吸急促,肺部可聽到囉音 X線檢查肺部實變,有的可發生薄壁空洞 當體溫下降時空洞可持久存在,酷似肺結核的X線表現。某些患者可相繼發生進行性肺內播散或血源性播散 發展為敗血症。
(4)急性敗血症性感染:起病突然,寒戰、高熱 頭部、軀幹和四肢皮膚發生小膿皰。如合併肺炎常伴有嚴重呼吸困難,劇烈頭痛,咳嗽及胸痛。肺部出現濕性囉音及胸膜摩擦音。X線檢查常顯示遍及全肺的、直徑4~10mm不規則的結節狀陰影,繼而結節擴大融合形成空洞。患者可伴發關節炎或腦膜炎。肝脾大。預後差,病情發展迅速,常不及治療而死亡。
(5)慢性化膿性感染:部分患者在急性期過後發生繼發性化膿性病灶 如骨髓炎 化膿性淋巴結炎、皮下膿腫、腰大肌膿腫 肺膿腫、膿胸、肝膿腫、脾膿腫及腎盂腎炎等。這些膿腫可形成瘺管 長期不愈,成為慢性型,病人逐漸消瘦衰弱。
併發症
未治的急性肺炎合併敗血症,病死率高達90%。
診斷
本病有較嚴格地區性,一個在流行區居住或有旅行史的患者,發生任何不能解釋的化膿性疾病或熱性病,或在X線片上表現為結核病而又分離不出結核桿菌等情況時均應考慮有類鼻疽病的可能 再結合實驗室檢查即可作出診斷。
實驗室檢查
1.血象 患者大多有貧血。急性期白細胞總數增加,以中性粒細胞增加為主。
2.細菌培養和動物接種 血液、痰、腦脊液、尿、糞便、局部病灶的膿性滲出物作細菌培養或動物接種,可分離出類鼻疽桿菌,Strauss反應陽性。
3.血清學檢測 間接紅細胞凝集試驗效價在1∶40以上。補體結合試驗效價在1∶8以上有診斷意義。病後1周即可陽性,4~5周陽性率可達90%以上,抗體滴度可維持1年左右。
其它輔助檢查
X線檢查顯示肺炎 肺化膿症及膿胸。
鑑別診斷
在急性期需注意與傷寒、瘧疾 真菌感染、急性葡萄球菌敗血症或葡萄球菌肺炎相鑑別;慢性期應注意與肺結核相鑑別
治療
類鼻疽桿菌肺炎預後
在抗生素問世前,重型患者病死率高達90%以上。如診斷及時並及時採用較長時間抗生素治療,病死率明顯下降,但敗血症患者病死率仍高達50%以上。
預防
尚無特效的預防方法 主要防止本菌污染的水和土壤經皮膚黏膜感染。在可能有污染細菌塵土的條件下,工作人員應戴好防護口罩。病人及病畜的排泄物和膿性滲出物應以漂白粉消毒。在流行區有皮膚擦破和撕裂者應嚴格清洗傷口 疫源地應進行終末消毒,並需採取殺蟲和滅鼠措施。對可疑受染者應進行醫學觀察15天。從疫源地進口的動物應予以嚴格檢疫。
