洋蔥假單胞菌肺炎疾病描述
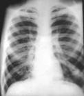
洋蔥假單胞菌肺炎X片洋蔥假單胞菌肺炎有3類臨床表現:①長期無症狀帶菌。②數月內進行性惡化,反覆高熱,體重進行性減輕,反覆住院。③急劇致命的病情惡化,短期內死亡。女性病人臨床症狀常較男性嚴重且預後更差。典型的臨床過程為嚴重細菌感染,表現為反覆或持續的高熱,進行性消瘦,肺功能急劇下降,常合併其他嚴重疾病(如惡性腫瘤、囊性纖維化)。少數病人可能有菌血症。洋蔥假單胞菌性肺炎患者肺功能下降比銅綠假單胞菌性肺炎嚴重。
疾病病因
洋蔥假單胞菌肺炎微觀圖
洋蔥假單胞菌肺炎示意圖病理機理
洋蔥假單胞菌肺炎病理超微圖診斷檢查
洋蔥假單胞菌肺炎模式圖實驗室檢查:
1.細菌學檢驗不同的菌株或核糖分型有不同的致病力,核糖分型對囊性纖維化患者進行肺移植術前評價其感染的相對危險性是有用的。根據病情需要,可採取痰液、支氣管肺泡灌洗液、胸腔膿液、血液、腹水、尿等標本。血液標本必須先進行增菌培養後分離培養,其他標本可直接畫線接種血瓊脂和麥康凱瓊脂平板,根據其在血瓊脂或麥康凱瓊脂平板上的菌落特徵、形態、染色,結合進一步的生化反應試驗進行鑑定。在常規痰培養基上,洋蔥假單胞菌生長緩慢,菌落形態多種多樣,銅綠假單胞菌和洋蔥假單胞菌共生時,前者生長速度明顯超過後者,所以易和銅綠假單胞菌、金黃色葡萄球菌混淆。本菌的培養還可採用選擇性培養基,如多粘黴素-羧噻吩青黴素PC培養基。現已成功地套用種系特異的聚合酶鏈反應(PCR)和DNA雜交技術區別洋蔥假單胞菌和銅綠假單胞菌,痰製備、PCR、DNA雜交過程能在一天內完成,次日即可看到放射自顯影結果。洋蔥假單胞菌分型方法有:質粒分析,通過脈衝場凝膠電泳(PFGE)比較DNA指紋類型核糖分型,細菌素分型,血清分型,生化試驗,結合表型分析通過PFGE獲得DNA指紋,線粒體DNA限制性酶切片段類型分析,細胞外產物類型分析等。有研究發現洋蔥假單胞菌分離菌株的表現型多變,在一定時間內從一個病人身上分離到的細菌菌落外觀、抗生素敏感性、色素產物均不一樣。核糖分型可區分一個菌落衍生的所有分離菌。表現型的多樣性可能為不同基因表達的結果。
2.外周血白細胞增高,血沉加快,C-反應蛋白增多。
其他輔助檢查:X線表現:肺實質浸潤常為肺葉性,偶有廣泛性改變,可有空洞形成。肺功能FEV1、FEV1/FVC進行性下降。
診斷治療
洋蔥假單胞菌肺炎治療洋蔥假單胞菌天然對常用的大多數抗生素耐藥。它對第一代和第二代頭孢菌素及傳統的抗假單胞菌青黴素,如替卡西林(ticarcillin)耐藥。最近一研究提示:從37例洋蔥假單胞菌肺炎呼吸道中培養出的細菌體外藥敏試驗均對下列抗生素耐藥:哌拉西林(piperacillin),頭孢替安(cefotiam),頭孢哌酮/舒巴坦,拉氧頭孢(latamoxef),阿米卡星(amikacin),妥布黴素(tobramycin),氧氟沙星(ofloxacin),亞胺配南(伊米配能,imipenem),頭孢唑南。頭孢他啶(頭孢噻甲羧肟)對84.7%的菌株有效,米諾環素(minocycline)對63.5%的菌株有效。另一研究則提示:早期選擇性靜脈套用妥布黴素、頭孢他啶(頭孢噻甲羧肟)、氯黴素、磺胺甲噁唑可能有效,亦可霧化吸入妥布黴素。晚近研製的新藥美羅培南(meropenem)和喹諾酮類藥物PD127391可能成為新的抗洋蔥假單胞菌藥物。也有專家指出:儘管洋蔥假單胞菌體外藥敏試驗對大多數抗生素耐藥,聯合化療(如氨基甙類抗生素和β-內醯胺類抗生素合用)仍可能有效。這是因為:第1,體外抗生素敏感性不能代表肺內炎症反應時的內環境情況。換句話說,體內反應可能是抗生素的綜合作用。第2,現在用於洋蔥假單胞菌的抗生素敏感試驗可能不適當,該菌比銅綠假單胞菌生長慢,30℃時易生長。也可能洋蔥假單胞菌的大量生長會影響其他菌的辨別,如金黃色葡萄球菌和流感嗜血桿菌。
併發症及預防
候診的洋蔥假單胞菌肺炎患者預後:目前尚無資料。但預後較差。
預防:針對該菌通過直接接觸傳播和社會接觸傳播,感染洋蔥假單胞菌的病人應和未感染的病人隔離,並限制其社會活動,但後者往往遭到病人反對,且有爭議;醫務人員接觸病人後應洗手,以減少交叉感染機會;杜絕共同使用霧化吸入器,避免交叉感染,並每天將霧化吸入器拆開浸入次氯酸鈉溶液消毒,每周高壓滅菌1次。對患有鼻竇炎的病人,應進行鼻竇穿刺,減少感染源。
流行病學
洋蔥假單胞菌肺炎危險在英國,囊性纖維化患者該菌的感染率從1984年的1%上升致1989年8%。洋蔥假單胞菌肺部感染的流行病學特徵尚不十分清楚。一項回顧性研究發現已有嚴重的肺部疾病、近期住院和患囊性纖維化的同胞之間的傳播是洋蔥假單胞菌感染的危險因素,許多研究已證實存在患者間的接觸傳播,將病人隔離後感染率下降。然而晚近的一些研究指出:囊性纖維化患者肺部感染洋蔥假單胞菌不僅來源於接觸傳播,更可能與社會接觸有關,並且後者具有更大的危險性.患者之間可通過共同生活空間傳播,已發現2例參加一數天聚會後即發生交叉感染。院內感染的來源之一是受污染的醫療器械,如霧化吸入器、肺功能儀、呼吸機等。肺功能較差的病人更易感染洋蔥假單胞菌,感染1年後死亡率明顯增高,肺功能顯著下降,住院次數和住院時間均增加;相對健康的病人感染洋蔥假單胞菌後病情更易惡化;洋蔥假單胞菌肺炎對肺功能的影響在女性比男性為明顯。洋蔥假單胞菌肺炎的預後常較銅綠假單胞菌肺炎差。肺移植術後的洋蔥假單胞菌肺炎中位生存時間為28天。在不同的病人痰中分離出的菌株如有相同的表型和基因組,預示不久的將來可能發生交叉感染暴發。
